Abstract
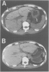
Fifteen patients with far-advanced gastric cancer were given surgical treatment followed by intraperitoneal hyperthermic perfusion (IPHP) with mitomycin C (MMC) and misonidazole (MIS), a thermosensitizing drug. Immediately after extensive resection of the abdominal tumors, a 2-hour IPHP was performed at the inflow temperature of 44.7 to 48.7 C, using equipment designed for treatment of cancerous peritoneal seeding as a closed circuit, and under hypothermic general anesthesia at 30 to 31 C. In nine of the 15 patients with peritoneal seeding and/or ascites, cancerous ascites was absent after this treatment. In all cases, repeated cytologic examinations of the lavage from Douglas's pouch were negative. The postoperative courses were uneventful except for Patients 1 and 10, in whom slight leakage occurred. All patients were discharged and are in good health at the time of this writing, 7.2 +/- 4.6 months after the treatment. The Case 4 Patient recently died in a traffic accident. In all patients, transient hepatic dysfunction and hypoproteinemia occurred after the operation. This extensive surgery combined with IPHP using MMC and MIS was well tolerated and is a safe antitumor treatment for gastric cancer with peritoneal dissemination. Neurotoxicity due to MIS was nil.
Full text
PDF





Images in this article
Selected References
These references are in PubMed. This may not be the complete list of references from this article.
- Balch C. M., Urist M. M., Soong S. J., McGregor M. A prospective phase II clinical trial of continuous FUDR regional chemotherapy for colorectal metastases to the liver using a totally implantable drug infusion pump. Ann Surg. 1983 Nov;198(5):567–573. doi: 10.1097/00000658-198311000-00001. [DOI] [PMC free article] [PubMed] [Google Scholar]
- Barlogie B., Corry P. M., Drewinko B. In vitro thermochemotherapy of human colon cancer cells with cis-dichlorodiammineplatinum(II) and mitomycin C. Cancer Res. 1980 Apr;40(4):1165–1168. [PubMed] [Google Scholar]
- Gerweck L. E. Hyperthermia in cancer therapy: the biological basis and unresolved questions. Cancer Res. 1985 Aug;45(8):3408–3414. [PubMed] [Google Scholar]
- Gianni L., Jenkins J. F., Greene R. F., Lichter A. S., Myers C. E., Collins J. M. Pharmacokinetics of the hypoxic radiosensitizers misonidazole and demethylmisonidazole after intraperitoneal administration in humans. Cancer Res. 1983 Feb;43(2):913–916. [PubMed] [Google Scholar]
- Hahn G. M. Metabolic aspects of the role of hyperthermia im mammalian cell inactivation and their possible relevance to cancer treatment. Cancer Res. 1974 Nov;34(11):3117–3123. [PubMed] [Google Scholar]
- Honess D. J., Morgan J. E., Bleehen N. M. The hyperthermic potentiation of the cytotoxic effect of misonidazole on the EMT6 mouse tumour: relevance of in vitro measurement of in vivo effect. Br J Cancer Suppl. 1978 Jun;3:173–177. [PMC free article] [PubMed] [Google Scholar]
- Iwatsuki S., Shaw B. W., Jr, Starzl T. E. Experience with 150 liver resections. Ann Surg. 1983 Mar;197(3):247–253. doi: 10.1097/00000658-198303000-00001. [DOI] [PMC free article] [PubMed] [Google Scholar]
- Janoff K. A., Moseson D., Nohlgren J., Davenport C., Richards C., Fletcher W. S. The treatment of state I melanoma of the extremities with regional hyperthermic isolation perfusion. Ann Surg. 1982 Sep;196(3):316–323. doi: 10.1097/00000658-198209000-00010. [DOI] [PMC free article] [PubMed] [Google Scholar]
- Kun L. E., Ho K. C., Moulder J. E. Fatal misonidazole-induced encephalopathy: an RTOG case report. Cancer. 1982 Feb 1;49(3):423–426. doi: 10.1002/1097-0142(19820201)49:3<423::aid-cncr2820490305>3.0.co;2-l. [DOI] [PubMed] [Google Scholar]
- McBride C. M., Sugarbaker E. V., Hickey R. C. Prophylactic isolation-perfusion as the primary therapy for invasive malignant melanoma of the limbs. Ann Surg. 1975 Sep;182(3):316–324. doi: 10.1097/00000658-197509000-00014. [DOI] [PMC free article] [PubMed] [Google Scholar]
- Phillips T. L., Wasserman T. H., Johnson R. J., Levin V. A., VanRaalte G. Final report on the United States Phase I Clinical Trial of the hypoxic cell radiosensitizer, misonidazole (Ro-07-0582; NSC #261037). Cancer. 1981 Oct 15;48(8):1697–1704. doi: 10.1002/1097-0142(19811015)48:8<1697::aid-cncr2820480802>3.0.co;2-w. [DOI] [PubMed] [Google Scholar]
- Rajaratnam S., Adams G. E., Stratford I. J., Clarke C. Enhancement of the cytotoxicity of radiosensitizers by modest hyperthermia: the electron-affinity relationship. Br J Cancer. 1982 Dec;46(6):912–917. doi: 10.1038/bjc.1982.301. [DOI] [PMC free article] [PubMed] [Google Scholar]
- Schwade J. G., Makuch R. W., Strong J. M., Glatstein E. Dose-response curves for predicting misonidazole-induced peripheral neuropathy. Cancer Treat Rep. 1982 Sep;66(9):1743–1750. [PubMed] [Google Scholar]
- Song C. W. Effect of local hyperthermia on blood flow and microenvironment: a review. Cancer Res. 1984 Oct;44(10 Suppl):4721s–4730s. [PubMed] [Google Scholar]
- Spratt J. S., Adcock R. A., Muskovin M., Sherrill W., McKeown J. Clinical delivery system for intraperitoneal hyperthermic chemotherapy. Cancer Res. 1980 Feb;40(2):256–260. [PubMed] [Google Scholar]
- Stern J. L., Denman S., Elias E. G., Didolkar M., Holyoke E. D. Evaluation of palliative resection in advanced carcinoma of the stomach. Surgery. 1975 Feb;77(2):291–298. [PubMed] [Google Scholar]
- Sugarbaker E. V., McBride C. M. Survival and regional disease control after isolation-perfusion for invasive stage I melanoma of the extremities. Cancer. 1976 Jan;37(1):188–198. doi: 10.1002/1097-0142(197601)37:1<188::aid-cncr2820370127>3.0.co;2-s. [DOI] [PubMed] [Google Scholar]
- Teicher B. A., Kowal C. D., Kennedy K. A., Sartorelli A. C. Enhancement by hyperthermia of the in vitro cytotoxicity of mitomycin C toward hypoxic tumor cells. Cancer Res. 1981 Mar;41(3):1096–1099. [PubMed] [Google Scholar]
- Wasserman T. H., Stetz J., Phillips T. L. Radiation Therapy Oncology Group clinical trials with misonidazole. Cancer. 1981 May 15;47(10):2382–2390. doi: 10.1002/1097-0142(19810515)47:10<2382::aid-cncr2820471010>3.0.co;2-f. [DOI] [PubMed] [Google Scholar]

