Abstract
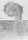
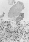
Gastrinomas are now being detected at an earlier stage than was formerly the case. Furthermore, with the ability to control acid secretion, emphasis has been placed on identifying gastrinoma patients who are potentially curable by tumor resection rather than by palliative gastrectomy. Despites estimates suggesting that 20-40% of sporadic gastrinoma patients can be successfully resected for cure, as many as 40% of such patients have occult tumors that elude detection. In an effort to better localize gastrinomas, we have used percutaneous transhepatic venous (THVS) gastrin sampling over the past 10 years. From 1978 to 1988, THVS was used in 46 patients in whom there was no other evidence of metastatic gastrinoma by conventional studies. Gastrinomas were found at operation in all but one patient. The purpose of this report is to emphasize that occult tumors are most often found in the duodenal wall, and frequently they may be no greater than 2 mm in diameter. Five recent cases illustrate that these small tumors or microgastrinomas may be the sole source of hypergastrinemia and can be cured by local excision. These recent cases emphasize that microgastrinomas are not usually palpable through the duodenal wall. They may be detected only after duodenotomy and meticulous evaluation of the mucosa by eversion and direct palpation. Duodenotomy and intraluminal exploration should be considered an essential component of the operation for patients with extrapancreatic gastrinomas.
Full text
PDF








Images in this article
Selected References
These references are in PubMed. This may not be the complete list of references from this article.
- Bonfils S., Landor J. H., Mignon M., Hervoir P. Results of surgical management in 92 consecutive patients with Zollinger-Ellison syndrome. Ann Surg. 1981 Dec;194(6):692–697. doi: 10.1097/00000658-198112000-00005. [DOI] [PMC free article] [PubMed] [Google Scholar]
- Brennan M. F., Jensen R. T., Wesley R. A., Doppman J. L., McCarthy D. M. The role of surgery in patients with Zollinger-Ellison syndrome (ZES) managed medically. Ann Surg. 1982 Sep;196(3):239–245. doi: 10.1097/00000658-198209000-00002. [DOI] [PMC free article] [PubMed] [Google Scholar]
- Burcharth F., Stage J. G., Stadil F., Jensen L. I., Fischermann K. Localization of gastrinomas by transhepatic portal catheterization and gastrin assay. Gastroenterology. 1979 Sep;77(3):444–450. [PubMed] [Google Scholar]
- Cherner J. A., Doppman J. L., Norton J. A., Miller D. L., Krudy A. G., Raufman J. P., Collen M. J., Maton P. N., Gardner J. D., Jensen R. T. Selective venous sampling for gastrin to localize gastrinomas. A prospective assessment. Ann Intern Med. 1986 Dec;105(6):841–847. doi: 10.7326/0003-4819-105-6-841. [DOI] [PubMed] [Google Scholar]
- Deveney C. W., Deveney K. E., Stark D., Moss A., Stein S., Way L. W. Resection of gastrinomas. Ann Surg. 1983 Oct;198(4):546–553. doi: 10.1097/00000658-198310000-00015. [DOI] [PMC free article] [PubMed] [Google Scholar]
- Deveney C. W., Deveney K. S., Way L. W. The Zollinger-Ellison syndrome--23 years later. Ann Surg. 1978 Sep;188(3):384–393. doi: 10.1097/00000658-197809000-00014. [DOI] [PMC free article] [PubMed] [Google Scholar]
- Friesen S. R. Treatment of the Zollinger-Ellison syndrome. A 25 year assessment. Am J Surg. 1982 Mar;143(3):331–338. doi: 10.1016/0002-9610(82)90102-7. [DOI] [PubMed] [Google Scholar]
- Glowniak J. V., Shapiro B., Vinik A. I., Glaser B., Thompson N. W., Cho K. J. Percutaneous transhepatic venous sampling of gastrin: value in sporadic and familial islet-cell tumors and G-cell hyperfunction. N Engl J Med. 1982 Jul 29;307(5):293–297. doi: 10.1056/NEJM198207293070507. [DOI] [PubMed] [Google Scholar]
- Harmon J. W., Norton J. A., Collin M. J., Krudy A. G., Shawker T. H., Doppman J. L., d'Avis J., Jensen R. T. Removal of gastrinomas for control of Zollinger-Ellison syndrome. Ann Surg. 1984 Oct;200(4):396–404. doi: 10.1097/00000658-198410000-00002. [DOI] [PMC free article] [PubMed] [Google Scholar]
- Imamura M., Takahashi K., Adachi H., Minematsu S., Shimada Y., Naito M., Suzuki T., Tobe T., Azuma T. Usefulness of selective arterial secretin injection test for localization of gastrinoma in the Zollinger-Ellison syndrome. Ann Surg. 1987 Mar;205(3):230–239. doi: 10.1097/00000658-198703000-00003. [DOI] [PMC free article] [PubMed] [Google Scholar]
- Ingemansson S., Larsson L. I., Lunderquist A., Stadil F. Pancreatic vein catheterization with gastrin assay in normal patients and in patients with the Zollinger-Ellison syndrome. Am J Surg. 1977 Nov;134(5):558–563. doi: 10.1016/0002-9610(77)90433-0. [DOI] [PubMed] [Google Scholar]
- Isenberg J. I., Walsh J. H., Passaro E., Jr, Moore E. W., Grossman M. I. Unusual effect of secretin on serum gastrin, serum calcium, and gastric acid secretion in a patient with suspected Zollinger-Ellison syndrome. Gastroenterology. 1972 Apr;62(4):626–631. [PubMed] [Google Scholar]
- Malagelada J. R., Edis A. J., Adson M. A., van Heerden J. A., Go V. L. Medical and surgical options in the management of patients with gastrinoma. Gastroenterology. 1983 Jun;84(6):1524–1532. [PubMed] [Google Scholar]
- McCarthy D. M. Report on the United States experience with cimetidine in Zollinger-Ellision syndrome and other hypersecretory states. Gastroenterology. 1978 Feb;74(2 Pt 2):453–458. [PubMed] [Google Scholar]
- McGuigan J. E., Wolfe M. M. Secretin injection test in the diagnosis of gastrinoma. Gastroenterology. 1980 Dec;79(6):1324–1331. [PubMed] [Google Scholar]
- Norton J. A., Cromack D. T., Shawker T. H., Doppman J. L., Comi R., Gorden P., Maton P. N., Gardner J. D., Jensen R. T. Intraoperative ultrasonographic localization of islet cell tumors. A prospective comparison to palpation. Ann Surg. 1988 Feb;207(2):160–168. doi: 10.1097/00000658-198802000-00008. [DOI] [PMC free article] [PubMed] [Google Scholar]
- Norton J. A., Doppman J. L., Collen M. J., Harmon J. W., Maton P. N., Gardner J. D., Jensen R. T. Prospective study of gastrinoma localization and resection in patients with Zollinger-Ellison syndrome. Ann Surg. 1986 Oct;204(4):468–479. doi: 10.1097/00000658-198610000-00015. [DOI] [PMC free article] [PubMed] [Google Scholar]
- Norton J. A., Sugarbaker P. H., Doppman J. L., Wesley R. A., Maton P. N., Gardner J. D., Jensen R. T. Aggressive resection of metastatic disease in selected patients with malignant gastrinoma. Ann Surg. 1986 Apr;203(4):352–359. doi: 10.1097/00000658-198604000-00003. [DOI] [PMC free article] [PubMed] [Google Scholar]
- OBERHELMAN H. A., Jr, NELSEN T. S., DRAGSTEDT L. R. Peptic ulcer associated with tumors of the pancreas. AMA Arch Surg. 1958 Sep;77(3):402–415. doi: 10.1001/archsurg.1958.01290030102012. [DOI] [PubMed] [Google Scholar]
- Oberhelman H. A., Jr Excisional therapy for ulcerogenic tumors of the duodenum: long-term results. Arch Surg. 1972 Apr;104(4):447–453. doi: 10.1001/archsurg.1972.04180040061011. [DOI] [PubMed] [Google Scholar]
- Roche A., Raisonnier A., Gillon-Savouret M. C. Pancreatic venous sampling and arteriography in localizing insulinomas and gastrinomas: procedure and results in 55 cases. Radiology. 1982 Dec;145(3):621–627. doi: 10.1148/radiology.145.3.6292994. [DOI] [PubMed] [Google Scholar]
- Rothenberg R. E., Radulescu O. V., LaRaja R. D., Lobbato V. J. The surgical treatment of the Zollinger-Ellison syndrome: an update. Am Surg. 1987 Oct;53(10):573–574. [PubMed] [Google Scholar]
- Stabile B. E., Morrow D. J., Passaro E., Jr The gastrinoma triangle: operative implications. Am J Surg. 1984 Jan;147(1):25–31. doi: 10.1016/0002-9610(84)90029-1. [DOI] [PubMed] [Google Scholar]
- Stabile B. E., Passaro E., Jr Benign and malignant gastrinoma. Am J Surg. 1985 Jan;149(1):144–150. doi: 10.1016/s0002-9610(85)80024-6. [DOI] [PubMed] [Google Scholar]
- Thompson J. C., Lewis B. G., Wiener I., Townsend C. M., Jr The role of surgery in the Zollinger-Ellison syndrome. Ann Surg. 1983 May;197(5):594–607. doi: 10.1097/00000658-198305000-00014. [DOI] [PMC free article] [PubMed] [Google Scholar]
- Thompson N. W., Vinik A. I., Eckhauser F. E., Strodel W. E. Extrapancreatic gastrinomas. Surgery. 1985 Dec;98(6):1113–1120. [PubMed] [Google Scholar]
- Vinik A. I., Thompson N. Controversies in the management of Zollinger-Ellison syndrome. Ann Intern Med. 1986 Dec;105(6):956–959. doi: 10.7326/0003-4819-105-6-956. [DOI] [PubMed] [Google Scholar]
- Vogel S. B., Wolfe M. M., McGuigan J. E., Hawkins I. F., Jr, Howard R. J., Woodward E. R. Localization and resection of gastrinomas in Zollinger-Ellison syndrome. Ann Surg. 1987 May;205(5):550–556. doi: 10.1097/00000658-198705000-00014. [DOI] [PMC free article] [PubMed] [Google Scholar]
- Wolfe M. M., Alexander R. W., McGuigan J. E. Extrapancreatic, extraintestinal gastrinoma: effective treatment by surgery. N Engl J Med. 1982 Jun 24;306(25):1533–1536. doi: 10.1056/NEJM198206243062506. [DOI] [PubMed] [Google Scholar]
- Wolfe M. M., Jain D. K., Edgerton J. R. Zollinger-Ellison syndrome associated with persistently normal fasting serum gastrin concentrations. Ann Intern Med. 1985 Aug;103(2):215–217. doi: 10.7326/0003-4819-103-2-215. [DOI] [PubMed] [Google Scholar]
- Wolfe M. M., Jensen R. T. Zollinger-Ellison syndrome. Current concepts in diagnosis and management. N Engl J Med. 1987 Nov 5;317(19):1200–1209. doi: 10.1056/NEJM198711053171907. [DOI] [PubMed] [Google Scholar]
- Zollinger R. M., Ellison E. C., Fabri P. J., Johnson J., Sparks J., Carey L. C. Primary peptic ulcerations of the jejunum associated with islet cell tumors. Twenty-five-year appraisal. Ann Surg. 1980 Sep;192(3):422–430. doi: 10.1097/00000658-198009000-00018. [DOI] [PMC free article] [PubMed] [Google Scholar]









