Abstract
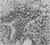
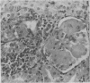
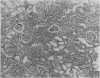
Coombs tests became positive coincident with the development of plasmacytosis in experimentally infected mink. These observations are discussed as possible evidence of an auto-immune phenomenon. Several mechanisms are suggested in which a virus as primary etiologic agent might promote the observed plasmacytosis, hypergammaglobulinemia, and erythrocyte sensitization.
Full text
PDF





Images in this article
Selected References
These references are in PubMed. This may not be the complete list of references from this article.
- Burnet M., Holmes M. C. Genetic investigations of autoimmune disease in mice. Nature. 1965 Jul 24;207(995):368–371. doi: 10.1038/207368a0. [DOI] [PubMed] [Google Scholar]
- HELMBOLDT C. F., JUNGHERR E. L. The pathology of Aleutian disease in mink. Am J Vet Res. 1958 Jan;19(70):212–222. [PubMed] [Google Scholar]
- HENSON J. B., LEADER R. W., GORHAM J. R. Hypergammaglobulinemia in mink. Proc Soc Exp Biol Med. 1961 Aug-Sep;107:919–920. doi: 10.3181/00379727-107-26795. [DOI] [PubMed] [Google Scholar]
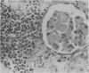
- KARSTAD L. VIRAL PLASMACYTOSIS (ALEUTIAN DISEASE) IN MINK. V. THE OCCURRENCE OF HYALIN GLOMERULAR LESIONS AND FIBRINOID ARTERITIS IN EXPERIMENTAL INFECTIONS. Can J Comp Med Vet Sci. 1965 Mar;29:66–74. [PMC free article] [PubMed] [Google Scholar]
- Karstad L., Pridham T. J. Aleutian Disease of Mink: I. Evidence of its Viral Etiology. Can J Comp Med Vet Sci. 1962 May;26(5):97–102. [PMC free article] [PubMed] [Google Scholar]
- LEADER R. W. LOWER ANIMALS, SPONTANEOUS DISEASE, AND MAN. Arch Pathol. 1964 Oct;78:390–404. [PubMed] [Google Scholar]
- LEADER R. W., WAGNER B. M., HENSON J. B., GORHAM J. R. Structural and histochemical observations of liver and kidney in Aleutian disease of mink. Am J Pathol. 1963 Jul;43:33–53. [PMC free article] [PubMed] [Google Scholar]
- RASK-NIELSEN R. COOMBS-POSITIVE HEMOLYTIC ANEMIA AND GENERALIZED AMYLOIDOSIS IN MICE FOLLOWING TRANSMISSION OF SUBCELLULAR LEUKEMIC MATERIAL. Proc Soc Exp Biol Med. 1964 Aug-Sep;116:1154–1159. doi: 10.3181/00379727-116-29478. [DOI] [PubMed] [Google Scholar]




