Abstract
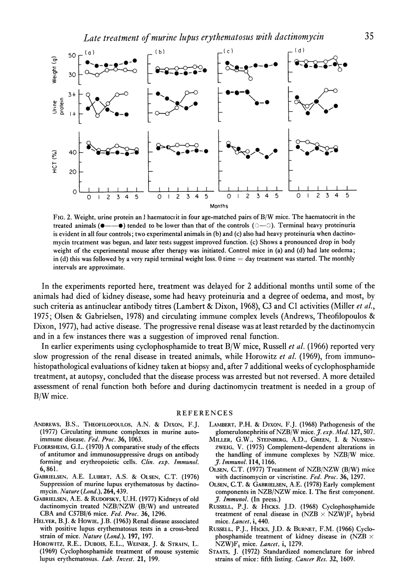
Dactinomycin treatment a of group of (NZB X NZW)F1 hybrid female mice was delayed until the age of 6-6 1/2 months, by which time the immune complex disease was well established. Three animals of the original twenty-eight had already died, ten had heavy proteinuria and a few were oedematous. The dactinomycin dose was 3.5 microgram per day, which was suspended when significant weight loss occurred. Twelve of the thirteen experimental mice were alive at 12 months of age, eleven at 15 months, but only eight by 20 months, whereas all twelve control animals had died by the age of 11 months. These results and the supporting data on body weight and renal function indicate that dactinomycin can at least arrest the disease process and may improve it. The mechanism is not known, but it may be the result of a reduced availability of DNA or an alteration in its properties following combination with dactinomycin.
Full text
PDF


Selected References
These references are in PubMed. This may not be the complete list of references from this article.
- Floersheim G. L. A comparative study of the effects of anti-tumour and immunosuppressive drugs on antibody-forming and erythropoietic cells. Clin Exp Immunol. 1970 Jun;6(6):861–870. [PMC free article] [PubMed] [Google Scholar]
- Gabrielsen A. E., Lubert A. S., Olsen C. T. Suppression of murine lupus erythematosus by dactinomycin. Nature. 1976 Dec 2;264(5585):439–440. doi: 10.1038/264439a0. [DOI] [PubMed] [Google Scholar]
- HELYER B. J., HOWIE J. B. Renal disease associated with positive lupus erythematosus tests in a cross-bred strain of mice. Nature. 1963 Jan 12;197:197–197. doi: 10.1038/197197a0. [DOI] [PubMed] [Google Scholar]
- Horowitz R. E., Dubois E. L., Weiner J., Strain L. Cyclophosphamide treatment of mouse systemic lupus erythematosus. Lab Invest. 1969 Sep;21(3):199–206. [PubMed] [Google Scholar]
- Lambert P. H., Dixon F. J. Pathogenesis of the glomerulonephritis of NZB/W mice. J Exp Med. 1968 Mar 1;127(3):507–522. doi: 10.1084/jem.127.3.507. [DOI] [PMC free article] [PubMed] [Google Scholar]
- Miller G. W., Steinberg A. D., Green I., Nussenzweig V. Complement-dependent alterations in the handling of immune complexes by NZB/W mice. J Immunol. 1975 Apr;114(4):1166–1170. [PubMed] [Google Scholar]
- Russell P. J., Hicks J. D. Cyclophosphamide treatment of renal disease in (NZB x NZW) F1 hybrid mice. Lancet. 1968 Mar 2;1(7540):440–441. doi: 10.1016/s0140-6736(68)92778-5. [DOI] [PubMed] [Google Scholar]
- Staats J. Standardized nomenclature for inbred strains of mice: fifth listing. Cancer Res. 1972 Aug;32(8):1609–1646. [PubMed] [Google Scholar]
