Abstract
Comparison studies have been undertaken on the hepatocarcinogen 2-acetamidofluorene (AAF) and its nonhepatocarcinogenic analog 2-acetamidophenanthrene (AAP). Previous studies have shown that amount of compound acutely and persistently bound to rat liver DNA is comparable for the two compounds following single injections into adult Fischer rats, but that AAP fails to initiate tumors in weanling Sprague-Dawley rats. In this work we show that the amount of bound adduct from AAF and AAP is also comparable after three weeks of feeding compound to weanling Sprague-Dawley male rats. Three of the adducts found in RNA of AAP-treated rats cochromatographed on Sephadex LH-20 with two adenosine adducts and one guanosine adduct prepared by reaction of the nucleosides with N-acetoxy-N-trifluoroacetyl-2-aminophenanthrene at neutrality.
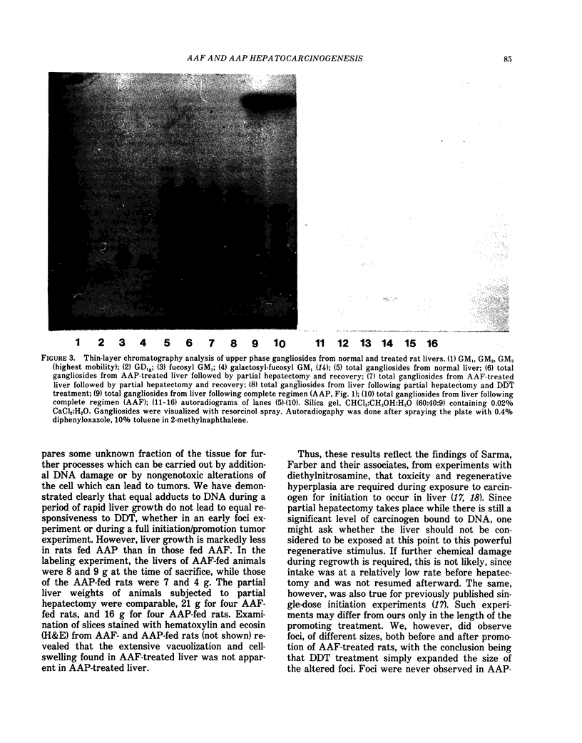
Because of the lack of initiating ability of AAP in liver, we have also investigated early biochemical alterations in liver after various regimens. Feeding of either AAF or AAP to male weanling rats, followed by three weeks of DDT feeding produced no alteration in either histochemically detected γ-glutamyltranspeptidase or in ganglioside complement in total liver homogenate. Partial hepatectomy after feeding of either AAF or AAP resulted in the appearance of new fucoganglioside and alteration in the distribution of the major gangliosides. DDT feeding after partial hepatectomy resulted in foci of elevated gamma-glutamyltranspeptidase in AAF-fed rats but not in AAP-fed rats. These results support a previous proposal that AAP may initiate tumorigenesis in rat liver, but that the promoting regimens now in use lack the ability to cause further progression of the initiated cells. The data also suggests that ganglioside synthesis may be a more sensitive marker for early stages in carcinogenesis than are the various histochemical stains now in use.
Full text
PDF





Images in this article
Selected References
These references are in PubMed. This may not be the complete list of references from this article.
- Columbano A., Rajalakshmi S., Sarma D. S. Requirement of cell proliferation for the initiation of liver carcinogenesis as assayed by three different procedures. Cancer Res. 1981 Jun;41(6):2079–2083. [PubMed] [Google Scholar]
- Holmes E. H., Hakomori S. Isolation and characterization of a new fucoganglioside accumulated in precancerous rat liver and in rat hepatoma induced by N-2-acetylaminofluorene. J Biol Chem. 1982 Jul 10;257(13):7698–7703. [PubMed] [Google Scholar]
- Kadlubar F. F., Miller J. A., Miller E. C. Guanyl O6-arylamination and O6-arylation of DNA by the carcinogen N-hydroxy-1-naphthylamine. Cancer Res. 1978 Nov;38(11 Pt 1):3628–3638. [PubMed] [Google Scholar]
- MILLER J. A., SANDIN R. B., MILLER E. C., RUSCH H. P. The carcinogenicity of compounds related to 2-acetylaminofluorene. II. Variations in the bridges and the 2-substituent. Cancer Res. 1955 Mar;15(3):188–199. [PubMed] [Google Scholar]
- Miller E. C., Lotlikar P. D., Pitot H. C., Fletcher T. L., Miller J. A. N-hydroxy metabolites of 2-acetylaminophenanthrene and 7-fluoro-2-acetylaminofluorene as proximate carcinogens in the rat. Cancer Res. 1966 Nov;26(11):2239–2247. [PubMed] [Google Scholar]
- Ogawa K., Solt D. B., Farber E. Phenotypic diversity as an early property of putative preneoplastic hepatocyte populations in liver carcinogenesis. Cancer Res. 1980 Mar;40(3):725–733. [PubMed] [Google Scholar]
- Peraino C., Fry R. J., Staffeldt E., Christopher J. P. Comparative enhancing effects of phenobarbital, amobarbital, diphenylhydantoin, and dichlorodiphenyltrichloroethane on 2-acetylaminofluorene-induced hepatic tumorigenesis in the rat. Cancer Res. 1975 Oct;35(10):2884–2890. [PubMed] [Google Scholar]
- Poirier M. C., True B., Laishes B. A. Determination of 2-acetylaminofluorene adducts by immunoassay. Environ Health Perspect. 1983 Mar;49:93–99. doi: 10.1289/ehp.834993. [DOI] [PMC free article] [PubMed] [Google Scholar]
- Rutenburg A. M., Kim H., Fischbein J. W., Hanker J. S., Wasserkrug H. L., Seligman A. M. Histochemical and ultrastructural demonstration of gamma-glutamyl transpeptidase activity. J Histochem Cytochem. 1969 Aug;17(8):517–526. doi: 10.1177/17.8.517. [DOI] [PubMed] [Google Scholar]
- Scribner J. D., Koponen G. Binding of the carcinogen 2-acetamidophenanthrene to rat liver nucleic acids: lack of correlation with carcinogenic activity, and failure of the hydroxamic acid ester model for in vivo activation. Chem Biol Interact. 1979 Dec;28(2-3):201–209. doi: 10.1016/0009-2797(79)90161-3. [DOI] [PubMed] [Google Scholar]
- Scribner J. D., Miller J. A., Miller E. C. Nucleophilic substitution on carcinogenic N-acetoxy-N-arylacetamides. Cancer Res. 1970 Jun;30(6):1570–1579. [PubMed] [Google Scholar]
- Scribner J. D., Mottet N. K. DDT acceleration of mammary gland tumors induced in the male Sprague-Dawley rat by 2-acetamidophenanthrene. Carcinogenesis. 1981;2(12):1235–1239. doi: 10.1093/carcin/2.12.1235. [DOI] [PubMed] [Google Scholar]
- Scribner J. D., Scribner N. K., Koponen G. Metabolism and nucleic acid binding of 7-fluoro-2-acetamidofluorene in rats: oxidative defluorination and apparent dissociation from hepatocarcinogenesis of 8-(N-arylamide) guanine adducts on DNA. Chem Biol Interact. 1982 May;40(1):27–43. doi: 10.1016/0009-2797(82)90026-6. [DOI] [PubMed] [Google Scholar]
- Weeks C. E., Allaben W. T., Tresp N. M., Louie S. C., Lazear E. J., King C. M. Effects of structure of N-acyl-N-2-fluorenylhydroxylamines on arylhydroxamic acid acyltransferase, sulfotransferase, and deacylase activities, and on mutations in Salmonella typhimurium TA 1538. Cancer Res. 1980 Apr;40(4):1204–1211. [PubMed] [Google Scholar]
- Westra J. G. A rapid and simple synthesis of reactive metabolites of carcinogenic aromatic amines in high yield. Carcinogenesis. 1981;2(4):355–357. doi: 10.1093/carcin/2.4.355. [DOI] [PubMed] [Google Scholar]
- Ying T. S., Sarma D. S., Farber E. Role of acute hepatic necrosis in the induction of early steps in liver carcinogenesis by diethylnitrosamine. Cancer Res. 1981 Jun;41(6):2096–2102. [PubMed] [Google Scholar]

