Abstract
Long QT syndrome type 2 is caused by mutations in the human ether-a-go-go-related gene (hERG). We previously reported that the N470D mutation is retained in the endoplasmic reticulum (ER) but can be rescued to the plasma membrane by hERG channel blocker E-4031. The mechanisms of ER retention and how E-4031 rescues the N470D mutant are poorly understood. In this study, we investigated the interaction of hERG channels with ER chaperone protein calnexin. Using coimmunoprecipitation, we showed that the immature forms of both wild type hERG and N470D associated with calnexin. The association required N-linked glycosylation of hERG channels. Pulse-chase analysis revealed that N470D had a prolonged association with calnexin compared to wild type hERG, and E-4031 shortened the time course of calnexin association with N470D. To test whether the prolonged association of N470D with calnexin is due to defective folding of mutant channels, we studied hERG channel folding using trypsin digestion method. We found that N470D and the immature form of wild type hERG were more sensitive to trypsin digestion than the mature form of wild type hERG. In the presence of E-4031, N470D became more resistant to trypsin even in the conditions that its ER-to-Golgi transport was blocked by brefeldin A. These results suggest that defective folding of N470D contributes to its prolonged association with calnexin and ER retention, and that E-4031 may restore proper folding of the N470D channel leading to its cell surface expression.
Long QT syndrome is a disease associated with delayed cardiac repolarization and prolonged QT intervals on the electrocardiogram, which can lead to ventricular arrhythmias and sudden death (1). Mutations in the human ether-a-go-go-related gene (hERG) cause long QT syndrome type 2 (LQT2) (2). hERG encodes the pore-forming subunit of the rapidly activating delayed rectifier potassium channel in the heart (3-5). To date, more than 200 mutations have been identified in hERG from patients with LQT2 (6-8). One of the mechanisms in LQT2 is defective trafficking of the hERG protein (9, 10). More than 20 LQT2 mutations have been reported to cause trafficking defects of mutant hERG channels (9-15). These LQT2 mutations are retained in the endoplasmic reticulum (ER) as the core-glycosylated immature form and are rapidly degraded by the ubiquitin proteasome pathway (9, 16).
We have previously shown that the maturation of newly synthesized hERG protein in the ER is under stringent surveillance by the quality control system (16). The ER quality control system ensures that only properly folded and assembled proteins are exported from the ER to the Golgi. Misfolded, incompletely folded and unassembled proteins are retained in the ER by the quality control system (17, 18). The ER quality control system involves molecular chaperones that transiently associate with newly synthesized proteins and promote their proper folding and assembly. However, proteins that are unable to fold and assemble correctly often exhibit prolonged association with these chaperones, which may contribute to their retention in the ER (17, 18). Although LQT2 mutant channels have been shown to display prolonged association with cytosolic chaperones Hsp70 and Hsp90, the interaction of hERG channels with ER molecular chaperones has not been reported (19).
Calnexin is an ER resident integral membrane chaperone protein that plays an important role in the biogenesis and quality control of glycolproteins (17, 18). Calnexin specifically interacts with glycan moieties of the glycoproteins and associates transiently with newly synthesized glycoproteins until they fold properly. If the proteins never fold correctly, the interaction between calnexin and the misfolded proteins is prolonged, leading to their retention in the ER. Because hERG undergoes N-linked glycosylation (20), we want to know whether calnexin interacts with hERG channels and whether calnexin plays a role in the ER retention of LQT2 mutant channels.
We previously showed that the LQT2 mutation N470D exhibits temperature-sensitive protein trafficking defects (21). The N470D mutant is retained in the ER when expressed at 37°C, whereas at 27°C its trafficking to the plasma membrane is markedly improved. We also showed that the N470D mutant channel can be rescued by hERG channel blocking drugs including E-4031, astemizole and cisapride (21, 22). The mechanisms of pharmacological rescue of trafficking defective hERG mutant channels are poorly understood. It has been proposed that hERG channel blocking agents may act as pharmacological chaperones to promote proper protein folding in a conformation that permits trafficking to the plasma membrane (10-12). However, the folding of LQT2 mutant proteins and effects of pharmacological chaperones on the folding have not been studied.
In the present work, we studied the role of calnexin in the quality control of mutant hERG channels. In addition, we analyzed protein folding of hERG channels using trypsin digestion and detergent extraction methods. We showed that both wild type and N470D mutant proteins associated with calnexin. However, the N470D mutant exhibited a prolonged association with calnexin. The prolonged association of N470D with calnexin may be due to defective folding of the mutant protein as evidenced by its increased sensitivity to trypsin digestion than wild type hERG. E-4031 improves the folding of the N470D mutant protein and shortens the time course of its association with calnexin, leading to the cell surface expression of the mutant channel.
EXPERIMENTAL PROCEDURES
Reagents and cell transfection
Anti-calnexin and anti-calreticulin antibodies were purchased from Stressgen (Victoria, BC, Canada). EXPRE35S protein labeling mix was purchased from PerkinElmer Life Sciences (Boston, MA). Anti-hERG antibody was raised against the hERG C-terminal region as previously described (9). Stable transfection of HEK293 cells with wild type hERG, N470D, and N598Q has been previously described (5, 20, 21). The cells were cultured in minimal essential medium (MEM) supplemented with 10% fetal bovine serum.
Western blot analysis
Membrane protein preparation and Western blot were performed as previously described (5, 9). The membrane proteins were subjected to SDS-polyacrylamide gel electrophoresis and then electrophoretically transferred onto nitrocellulose membranes. The membranes were incubated with anti-hERG or anti-calnexin antibodies and visualized with the ECL detection kit.
Co-immunoprecipitation of calnexin and hERG
HEK293 cells stably transfected with wild type hERG, N470D, and N598Q were lysed in 500 μl of immunoprecipitation buffer (50 mM Tris-HCl, pH 8.0 containing 150 mM NaCl, 1 mM CaCl2 and 1% Triton X-100) with protease inhibitors. After centrifugation at 13,000 × g for 10 min at 4°C, the cell lysates were precleared by incubation with protein A-agarose beads. The calnexin-hERG complexes were immuno-precipitated by incubating with 2 μg of antibody against calnexin at 4°C overnight. The antigen-antibody complexes were isolated with protein A-agarose beads and washed with the immunoprecipitation buffer. The bound antigens were eluted from the protein A-agarose beads by Laemmli sample buffer, and analyzed by immunoblotting with anti-hERG antibody.
Pulse-chase and sequential immunoprecipitation of calnexin and hERG
HEK293 cells stably transfected with wild type hERG or N470D mutant were labeled with [35S] methionine/cysteine for 30 min and chased with 2 mM unlabeled methionine/cysteine for time intervals up to 8 h. At the end of the chase period, cells were lysed in 500 μl of the immunoprecipitation buffer, and immunoprecipitated with anti-calnexin antibody. For the second round precipitation, the immune complexes from the first precipitation were treated with immunoprecipitation buffer containing 1% SDS, and the supernatants were then diluted with 10 volumes of the immunoprecipitation buffer. hERG antiserum (1:100 dilution) was added, and the mixtures were incubated at 4°C overnight. The antigen-antibody complexes were isolated with protein A-agarose beads. The immunoprecipitates were washed with the immunoprecipitation buffer. The bound antigen were eluted from the protein A-agarose beads by Laemmli sample buffer, subjected to SDS-polyacrylamide gel electrophoresis, and visualized with autoradiography.
Trypsin digestion
Membrane proteins from HEK293 cells transfected with wild type hERG or the N470D mutant were prepared as previously described (5) and resuspended in Tris-buffer saline (50mM Tris-HCl, pH7.4 and 150mM NaCl). Ten μg of membrane protein (1mg/ml) was treated for 5 min at room temperature with various amounts of trypsin (Sigma, 13,000 BAEE units/mg protein). The final concentrations of trypsin were 0, 0.01, 0.1, 1, 10, 100, and 1000 μg/ml. The reactions were stopped by addition of lima bean trypsin inhibitor (Sigma) to a final concentration of 1mg/ml. The samples were then solublized by addition of 6 × Laemmli sample buffer and analyzed by immunoblotting with anti-hERG antibody.
Detergent extraction
HEK293 cells stably transfected with wild type hERG or the N470D mutant were harvested in lysis buffer with protease inhibitor cocktail (50mM Tris-HCl, pH7.4 and 150mM NaCl, 1mM EDTA and different concentrations of Triton X-100) and incubated at 4°C for 30 min. Detergent soluble and insoluble proteins were separated by centrifugation at 100,000 × g for 20 min. The pellets were resuspended in the buffer containing 50mM Tris-HCl, pH7.4 and 150mM NaCl, 1mM EDTA, 0.1% SDS, and protease inhibitor cocktail. Equal fractions from supernatant (detergent soluble) and pellet (detergent insoluble) were analyzed by immunoblotting with anti-hERG antibody.
RESULTS
Interaction of calnexin with wild type hERG and the N470D mutant
To study the mechanism of defective trafficking of the N470D mutant, we examined the interaction of calnexin with wild type hERG and the N470D mutant. In these experiments, the physical association of hERG channels with calnexin was determined by immunoprecipitation with anti-calnexin antibody followed by Western blot with anti-hERG antibody. As shown in Fig. 1, hERG channels were coimmunoprecipitated with calnexin in wild type hERG and N470D transfected cells. For both wild type hERG and the N470D mutant, calnexin associated with the core-glycosylated immature form of channel proteins, but not with the fully glycosylated mature form. This is consistent with the function of calnexin as an ER chaperone. It is noted that the proportion of calnexin association with the hERG channel protein was greater for the N470D mutant than for wild type hERG, indicating that the mutant may have a prolonged association with calnexin. Similar analysis with anti-calreticulin antibody failed to detect any association of calreticulin with hERG channels (data not shown).
Figure 1.

Association of hERG channels with calnexin. Cell lysates of HEK293 cells stably expressing wild type hERG, N470D, N598Q or untransfected HEK293 cells (control) were immunoprecipitated with anti-calnexin antibody. The precipitates were subjected to SDS-polyacrylamide gel electrophoresis and immunoblotted with anti-hERG antibody. The lower panels are inputs probed by anti-calnexin and anti-hERG antibodies.
Interaction of calnexin with hERG requires N-linked glycosylation
Calnexin is a lectin chaperone protein that interacts with glycan moieties of the glycoproteins. To study the role of N-linked glycosylation in the interaction of hERG channels and calnexin, we performed coimmunoprecipitation experiments in cells expressing the N598Q mutant. We have previously shown that the N598Q mutant disrupts N-linked glycosylation of hERG channels (20). Although the N598Q mutant was readily detected in Western blot analysis with anti-hERG antibody, it was not coimmunoprecipitated with calnexin (Fig. 1, lane 3). This result suggests that N-linked glycosylation at N598 is required for the interaction of calnexin with hERG channels.
Prolonged association of the N470D mutant with calnexin
The ER retention of many mutant proteins has been linked to a prolonged association with calnexin (23-25). To determine whether the N470D mutant has a prolonged association with calnexin, we performed pulse-chase and sequential immunoprecipitation analysis (Fig. 2). In these experiments, HEK293 cells expressing either wild type hERG or the N470D mutant were labeled with [35S]-methionine/cysteine, and then chased with unlabeled methionine/cysteine for various intervals up to 8 h. Following the chase, cell lysates were subjected to sequential immunoprecipitation with anti-calnexin antibody followed by anti-hERG antibody. Calnexin only transiently associated with the immature form of wild type hERG. By 8 h post labeling, none of the wild type hERG was associated with calnexin. By contrast, the N470D mutant had a prolonged association with calnexin with more than 40% of the labeled protein remaining associated with calnexin after 8 h post labeling. Fig. 2D shows the time course of association of calnexin with wild type hERG and N470D. The estimated half-life of the calnexin interaction with wild type hERG was about 1 h, whereas the half-life of the calnexin interaction with N470D was about 6 h. Taken together, these data suggest that the N470D mutant protein was unable to undergo the forward folding reaction in the ER, which results in its prolonged association with calnexin. The prolonged association of the mutant channel with calnexin may contribute to its defective trafficking and ER retention.
Figure 2.

Time course of the association of calnexin with wild type hERG and N470D. HEK293 cells stably transfected with wild type hERG (A) and N470D, treated without (B) or with 5 μM E-4031 (C), were pulse-labeled for 30 min and chased for the indicated periods of time. The cells lysates were immunoprecipitated with polyclonal anti-calnexin antibody followed by reimmunoprecipitation with anti-hERG antibody. The immunoprecipitates were subjected to SDS-polyacrylamide gel electrophoresis and autoradiography. The amount of hERG was quantified by phosphorimaging analysis and plotted as percentage of the value at time point 0 (D). The data points are means ± standard error of the mean from three independent experiments.
E-4031 shortens the time course of association of the N470D mutant with calnexin
To study the effects of hERG channel blockers on chaperone interaction of hERG mutant channels, we carried out pulse-chase experiments in the presence of 5 μM E-4031 and performed sequential immunoprecipitation analysis with anti-calnexin antibody followed by anti-hERG antibody as described above. In the presence of E4031, the time course of the association of calnexin with the N470D mutant was shortened (Fig. 2C) and the half-life of the calnexin interaction with N470D was reduced to about 1.5 h. These results suggest that E-4031 allows the mutant channel to escape the prolonged association with calnexin.
Study of hERG channel folding by trypsin digestion and detergent extraction
To determine possible folding defects in hERG mutant channels, we performed trypsin digestion experiments. This method has been used to study protein folding of a variety of membrane proteins including CFTR, aquaporin-2, and P-glycoprotein (26-28). The rationale is that if there were differences in folding between wild type hERG and LQT2 mutants, exposure of trypsin-sensitive sites would be different, leading to variation in trypsin sensitivity. Crude membranes prepared from HEK293 cells stably expressing wild type hERG or the N470D mutant were treated with various concentrations of trypsin from 0.01 to 1000 μg/ml. The hERG channel proteins were then analyzed by Western blot using anti-hERG antibody. As shown in Fig. 3, wild type hERG expressed two protein bands: a lower band of 135 kDa and an upper band of 155 kDa, whereas the N470D mutant expressed primarily the 135 kDa band (5, 9). The 135 kDa band represents the core-glycosylated immature form of the channel protein located in the ER and the 155 kDa band represents the complex-glycosylated mature form of the channel protein located in the plasma membrane (9, 20). The mature form of wild type hERG was quite resistant to trypsin, requiring more than 1000 μg/ml for complete digestion. In contrast, the immature forms of wild type hERG and the N470D mutant were much more sensitive to trypsin digestion. They were almost completely digested after treatment with 1-10 μg/ml of trypsin. These results suggest that the core-glycosylated immature forms of both wild type hERG and the N470D mutant are more loosely folded than the complex-glycosylated mature form of wild type hERG.
Figure 3.

Protease sensitivity of wild type hERG and the N470D mutant. Total cell membranes from cells expressing wild type hERG and the N470D mutant were treated with trypsin followed by immunoblotting with anti-hERG antibody.
To rule out the possibility that the difference in protease sensitivity is due to differences in the subcellular localization or glycosylation status of two forms of hERG proteins, we performed trypsin digestion experiments in the presence of brefeldin A (BFA). BFA is a fungal metabolite that causes disassembly of the Golgi apparatus and inhibits ER-to-Golgi transport. As shown in Fig. 4A, 5 μM BFA completely inhibited the trafficking of wild type hERG to the Golgi and the plasma membrane as evidenced by the disappearance of the 155 kDa form at 24 and 30 h after BFA treatment. We therefore treated wild type hERG and the N470D mutant cells with 5 μM BFA for 24 h, and membrane proteins were then isolated and treated with trypsin. Fig. 4B shows that in the presence of BFA, a fraction of the 135 kDa form of wild type hERG exhibited similar trypsin sensitivity as the 155 kDa plasma membrane form. The N470D mutant, however, was still more sensitive to trypsin than wild type hERG, indicating that the increased protease sensitivity in the N470D mutant is not due to subcellular localization or glycosylation status.
Figure 4.

Effect of brefeldin A treatment on protease sensitivity of wild type hERG and the N470D mutant. A: HEK293 cells stably transfected with wild type hERG were treated with 5 μM brefeldin A for the indicated times followed by immunoblot analysis with anti-hERG antibody. B: HEK293 cells expressing wild type hERG and the N470D mutant were treated with brefeldin A for 24 h prior to the isolation of total cell membranes. The membranes were treated with trypsin followed by immunoblotting with anti-hERG antibody.
The second method we used to study folding of the hERG channel protein was detergent extractability. The rationale is that misfolded proteins may aggregate and become resistant to detergent extraction (28, 29). In these experiments, cells stably expressing wild type hERG or N470D were tested for solubility in various concentrations of Triton X-100. Supernatant (soluble) and pellet (insoluble) fractions were prepared by centrifugation. As shown in Fig. 5, both wild type hERG and the N470D mutant were completely soluble in Triton X-100 at concentrations as low as 0.1%. Similar results were obtained when NP-40 was used to extract hERG channel protein (data not shown). These data suggest that the N470D mutant does not cause significant aggregation of the hERG channel protein.
Figure 5.

Detergent extractability of wild type hERG and the N470D mutant. HEK293 cells stably transfected with wild type hERG or N470D mutant were solubilized in lysis buffer containing different concentrations of Triton X-100. Detergent soluble and insoluble proteins were separated by centrifugation. Equal fractions from supernatants (S) and pellets (P) were analyzed by immunoblotting with anti-hERG antibody.
Effect of E-4031 on the folding of the N470D mutant
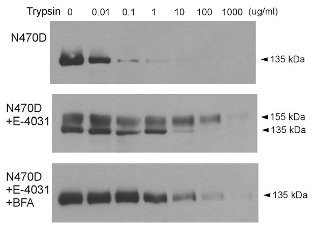
To study whether hERG channel blocker E-4031 can promote proper folding of the N470D mutant, we treated the cells with 5 μM E-4031 for 24 h. As shown in Fig. 6, E-4031 treatment rescued the N470D mutant as evidenced by the appearance of the 155 kDa complex-glycosylated mature form. We showed previously that the mature form of N470D is expressed on the cell surface and forms functional hERG channels (21). Similar to wild type hERG, the mature form of N470D was quite resistant to trypsin, requiring 1000 μg/ml trypsin for complete digestion. The effect of E-4031 on trypsin sensitivity of N470D was independent of subcellullar localization, because in the presence of BFA, the core-glycosylated form of N470D had similar trypsin sensitivity to the complex-glycosylated mature form. These results indicate that E-4031 improves folding of N470D even in the conditions that its trafficking from the ER to the Golgi was blocked by BFA.
Figure 6.

Effect of E-4031 on protease sensitivity of the N470D mutant. HEK293 cells stably transfected with the N470D mutant were cultured in the presence of 5 μM E-4031 (N470D+E-4031) or 5 μM E-4031 plus 5 μM BFA (N470D+E-4031+BFA) for 24 h. Total cell membranes from the cells were treated with trypsin followed by immunoblotting with anti-hERG antibody.
DISCUSSION
The present experiments demonstrate that both wild type hERG and the N470D mutant associated with calnexin. The association of hERG channels with calnexin requires N-linked glycosylation. Recently, it has been reported that more than one glycan is needed for efficient trimming of glucose by glucosidase II and as a consequence, many glycoproteins with a single glycan fail to associate with calnexin (30). We have previously shown that although hERG contains two consensus N-linked glycosylation sites N598 and N629, only N598 is used for glycosylation (20). The fact that newly synthesized hERG proteins associate with calnexin suggests that a single glycan is sufficient to mediate the interaction with calnexin. Several other glycoproteins with a single glycan, especially membrane proteins such as erythrocyte anion exchanger AE1, V2 vasopressin receptor, and Kv1.2 potassium channel, have been reported to associate with calnexin (25, 31-33). One possibility is that many of these membrane proteins are known to form dimers or tetramers, and activation of glucosidase II may occur during oligomerization (14, 25, 30, 33, 34).
The observation that only the immature, but not the mature form of hERG associates with calnexin is consistent with the function of calnexin as an ER chaperone. Calnexin is a lectin chaperone protein that interacts with glycan moieties of the glycoproteins. Calnexin plays an important role in the quality control of glycoproteins in a process termed calnexin cycle. In this process, calnexin associates with glycoproteins that are monoglucosylated intermediates of the N-linked core glycan. The association of calnexin with monoglucosylated glycoproteins is regulated by a cycle of deglucosylation, by glucosidase II, and reglucosylation, by UDP-glucose:glycoprotein glucosyltransferase (UGGT). Since UGGT preferentially acts on unfolded proteins, only the incompletely folded proteins reenter the cycle, while the properly folded proteins leave the ER and move further along the secretory pathway. Thus, our results suggest that the wild type hERG channel transiently associates with calnexin during the early stages of biogenesis, and dissociates from calnexin when it folds properly. In contrast, the N470D mutant has a prolonged association with calnexin, suggesting that N470D fails to fold properly, is recognized by UGGT, and reenters the calnexin cycle.
The interaction of calnexin with voltage-gated potassium channels has been reported in Shaker and Kv1.2 channels (33, 35). For Shaker channels, calnexin is not involved in the quality control and ER retention of mutant Shaker channels (35). However, transient calnexin interaction confers long-term stability of folded Shaker channel proteins in the ER and promotes surface expression of correctly assembled Shaker channels (36, 37). Similarly, calnexin facilitates cell surface expression of Kv1.2 potassium channels (33).
In order to study the folding of hERG channels, we performed trypsin digestion experiments. The results show that the immature and mature forms of wild type hERG were different in their sensitivity to digestion by trypsin. The core-glycosylated hERG was about 100-fold more sensitive to trypsin digestion than the complex-glycosylated mature form. This suggests that the trypsin-sensitive sites are more readily accessible in the core-glycosylated immature form but are probably hidden in the mature form as a result of proper folding. Our results also show that in the presence of BFA, a fraction of the 135 kDa form of wild type hERG is in a folding conformation that is comparable to the 155 kDa mature form even though its trafficking to the Golgi is blocked by BFA. This fraction may represent the properly folded hERG protein that would have trafficked to the cell surface in the absence of BFA. This result suggests that the conformation change from the loosely folded form to the proper folded form occurs in the ER.
Defective protein trafficking has been recognized as an important mechanism for an increasing number of inherited human diseases (38). In many cases, trafficking defective mutant proteins are functional if they can be rescued to their final destinations. Recently, the use of specific ligands as pharmacological chaperones has emerged as a strategy for rescue of trafficking defective proteins (39, 40). It has been hypothesized that binding of specific ligands to the unfolded or misfolded proteins promotes correct folding. We and other investigators found that the trafficking defective LQT2 mutations R28E, T65P, N470D and G601S can be rescued by hERG channel blockers (21, 41-43). It has been shown that pharmacological rescue requires binding of the drugs to the inner vestibule of the pore region of the hERG channel (41).
Our present results show that in the presence of E-4031, the N470D mutant is able to escape the calnexin cycle and exit the ER. Therefore, E-4031 binding may improve proper folding of the mutant channel so that it is no longer a substrate for UGGT. The protease sensitivity experiments show that the complex-glycosylated mature form of the N470D mutant protein rescued by E-4031 becomes more resistant to trypsin digestion, suggesting that it has a compact conformation that is similar to the mature form of wild type hERG. In addition, the results demonstrate that pharmacological rescue of the N470D mutant by E-4031 is associated with its increased resistance to trypsin even in the conditions that its trafficking from the ER to the Golgi is blocked by BFA. This indicates that the E-4031 induced conformational changes take place in the ER.
LQT2 mutations that can be rescued by hERG channel blocking agents appear to express small amplitude currents under control conditions 21, 41-43). This observation is consistent with our trypsin sensitivity findings that the conformation of N470D is similar to wild type folding intermediates in the ER, as both show a similar sensitivity to trypsin. In addition, the fact that both wild type hERG and N470D were completely soluble in 0.1% Triton X-100 in the detergent extraction experiments suggests that the N470D mutant does not cause significant aggregation of the hERG channel protein. Our previous pulse-chase experiments showed that the immature form of wild type hERG can be efficiently converted to the mature form, whereas the immature form of N470D cannot (9, 16, 21). This observation indicated that the immature form of wild type hERG is in an incompletely folded intermediate state, which can become the properly folded mature form and traffic to the plasma membrane. However, the presence of the mutation in N470D may result in the formation of a hemodynamic hurdle that inhibits maturation of the mutant channel and consequently causes its ER retention. Taken together, the results from the protease digestion and detergent extraction studies, and previous pulse-chase experiments suggest that the N470D mutant is not grossly misfolded but is trapped as partially folded intermediates that are structurally similar to the immature form of wild type protein. Similar findings have been reported for the CFTR ΔF508 and mutant P-glycoproteins (26, 27). Thus, the LQT2 mutations that can be rescued by hERG channel blockers may represent a mild phenotype with subtle folding defects and a low efficiency of maturation, and hERG channel blocking agents may act as pharmacological chaperones to increase the maturation efficiency of these mutant channels by promoting correct folding of channel proteins.
The use of pharmacological chaperones to rescue trafficking defective mutant proteins has been shown in a variety of human diseases (39, 40). In most cases, however, the mechanisms of pharmacological rescue are not fully understood. Our present findings provide evidence that hERG channel blocker E-4031 restores proper folding of trafficking defective mutant channels and promotes their cell surface expression. Although pharmacological rescue of trafficking defective mutant channels has potential implications as a therapeutic approach for LQT2 patients, the hERG channel blocking agents such as E-4031 are not suitable for this purpose. However, elucidating the mechanisms by which E-4031 rescues hERG mutant channels will facilitate the search for new pharmacological chaperones that can restore trafficking of mutant channels without channel blocking properties.
Acknowledgement
This work was supported by grant HL68854 (to Z. Z.) from the National Institute of Health.
Footnotes
The abbreviations used are: hERG, human ether-a-go-go related gene; LQT2, long QT syndrome type 2; ER, endoplasmic reticulum; UGGT, UDP-glucose:glycoprotein glucosyltransferase; BFA, brefeldin A
REFERENCES
- 1.Keating MT, Sanguinetti MC. Science. 1996;272:681–685. doi: 10.1126/science.272.5262.681. [DOI] [PubMed] [Google Scholar]
- 2.Curran ME, Splawski I, Timothy KW, Vincent GM, Green ED, Keating MT. Cell. 1995;80:795–803. doi: 10.1016/0092-8674(95)90358-5. [DOI] [PubMed] [Google Scholar]
- 3.Sanguinetti MC, Jiang C, Curran ME, Keating MT. Cell. 1995;81:299–307. doi: 10.1016/0092-8674(95)90340-2. [DOI] [PubMed] [Google Scholar]
- 4.Trudeau MC, Warmke JW, Ganetzky B, Robertson GA. Science. 1995;269:92–95. doi: 10.1126/science.7604285. [DOI] [PubMed] [Google Scholar]
- 5.Zhou Z, Gong Q, Ye B, Fan Z, Makielski JC, Robertson GA, January CT. Biophys J. 1998;74:230–241. doi: 10.1016/S0006-3495(98)77782-3. [DOI] [PMC free article] [PubMed] [Google Scholar]
- 6.Splawski I, Shen J, Timothy KW, Lehmann MH, Priori S, Robinson JL, Moss AJ, Schwartz PJ, Towbin JA, Vincent GM, Keating MT. Circulation. 2000;102:1178–1185. doi: 10.1161/01.cir.102.10.1178. 2000. [DOI] [PubMed] [Google Scholar]
- 7.Fodstad H, Swan H, Laitinen P, Piippo K, Paavonen K, Viitasalo M, Toivonen L, Kontula K. Ann Med. 2004;36(S1):153–163. doi: 10.1080/17431380410032689. [DOI] [PubMed] [Google Scholar]
- 8.Tester DJ, Will ML, Haglund CM, Ackerman MJ. Heart Rhythm. 2005;2:07–517. doi: 10.1016/j.hrthm.2005.01.020. [DOI] [PubMed] [Google Scholar]
- 9.Zhou Z, Gong Q, Epstein ML, January CT. J Biol Chem. 1998;273:21061–21066. doi: 10.1074/jbc.273.33.21061. [DOI] [PubMed] [Google Scholar]
- 10.January CT, Gong Q, Zhou Z. J Cardiovasc Electrophysiol. 2000;11:1413–1418. doi: 10.1046/j.1540-8167.2000.01413.x. [DOI] [PubMed] [Google Scholar]
- 11.Delisle BP, Anson BD, Rajamani S, January CT. Circ Res. 2004;94:1418–1428. doi: 10.1161/01.RES.0000128561.28701.ea. [DOI] [PubMed] [Google Scholar]
- 12.Thomas D, Kiehn J, Katus HA, Karle CA. Cardiovasc Res. 2003;60:235–241. doi: 10.1016/j.cardiores.2003.08.002. [DOI] [PubMed] [Google Scholar]
- 13.Bellocq C, Wilders R, Schott JJ, Louerat-Oriou B, Boisseau P, Le Marec H, Escande D, Baro I. Mol Pharmacol. 2004;66:1093–1102. doi: 10.1124/mol.104.001065. [DOI] [PubMed] [Google Scholar]
- 14.Gong Q, Keeney DR, Robinson JC, Zhou Z. J Mol Cell Cardiol. 2004;37:1225–1233. doi: 10.1016/j.yjmcc.2004.10.002. [DOI] [PubMed] [Google Scholar]
- 15.Chugh SS, Senashova O, Watts A, Tran PT, Zhou Z, Gong Q, Titus JL, Hayflick SJ. J Am Coll Cardiol. 2004;43:1625–1629. doi: 10.1016/j.jacc.2003.11.052. [DOI] [PubMed] [Google Scholar]
- 16.Gong Q, Keeney DR, Molinari M, Zhou Z. J Biol Chem. 2005;280:19419–19425. doi: 10.1074/jbc.M502327200. [DOI] [PubMed] [Google Scholar]
- 17.Ellgaard L, Molinari M, Helenius A. Science. 1999;286:1882–1888. doi: 10.1126/science.286.5446.1882. [DOI] [PubMed] [Google Scholar]
- 18.Ellgaard L, Helenius A. Nat Rev Mol Cell Biol. 2003;4:181–191. doi: 10.1038/nrm1052. [DOI] [PubMed] [Google Scholar]
- 19.Ficker E, Dennis AT, Wang L, Brown AM. Circ Res. 2003;92:87–100. doi: 10.1161/01.RES.0000079028.31393.15. [DOI] [PubMed] [Google Scholar]
- 20.Gong Q, Anderson CL, January CT, Zhou Z. Am J Physiol Heart Circ Physiol. 2002;283:H77–H84. doi: 10.1152/ajpheart.00008.2002. [DOI] [PubMed] [Google Scholar]
- 21.Zhou Z, Gong Q, January CT. J. Biol. Chem. 1999;274:31123–3112. doi: 10.1074/jbc.274.44.31123. [DOI] [PubMed] [Google Scholar]
- 22.Gong Q, Anderson CL, January CT, Zhou Z. Am J Physiol Heart Circ Physiol. 2004;287:H652–H658. doi: 10.1152/ajpheart.00052.2004. [DOI] [PubMed] [Google Scholar]
- 23.Loo TW, Clarke DM. J Biol Chem. 1994;269:28683–28689. [PubMed] [Google Scholar]
- 24.Pind S, Riordan JR, Williams DB. J Biol Chem. 1994;269:12784–12788. [PubMed] [Google Scholar]
- 25.Morello JP, Salahpour A, Petaja-Repo UE, Laperriere A, Lonergan M, Arthus MF, Nabi IR, Bichet DG, Bouvier M. Biochemistry. 2001;40:6766–6775. doi: 10.1021/bi002699r. [DOI] [PubMed] [Google Scholar]
- 26.Loo TW, Clarke DM. J Biol Chem. 1998;273:14671–14674. doi: 10.1074/jbc.273.24.14671. [DOI] [PubMed] [Google Scholar]
- 27.Zhang F, Kartner N, Lukacs GL. Nat Struct Biol. 1998;5:180–183. doi: 10.1038/nsb0398-180. [DOI] [PubMed] [Google Scholar]
- 28.Tamarappoo BK, Yang B, Verkman AS. J Biol Chem. 1999;274:34825–34831. doi: 10.1074/jbc.274.49.34825. [DOI] [PubMed] [Google Scholar]
- 29.Manganas LN, Akhtar S, Antonucci DE, Campomanes CR, Dolly JO, Trimmer JS. J Biol Chem. 2001;276:49427–49434. doi: 10.1074/jbc.M109325200. [DOI] [PubMed] [Google Scholar]
- 30.Deprez P, Gautschi M, Helenius A. Mol Cell. 2005;19:183–195. doi: 10.1016/j.molcel.2005.05.029. [DOI] [PubMed] [Google Scholar]
- 31.Andersson H, Nilsson I, von Heijne G. FEBS Lett. 1996;397:321–324. doi: 10.1016/s0014-5793(96)01207-0. [DOI] [PubMed] [Google Scholar]
- 32.Popov M, Reithmeier RA. J Biol Chem. 1999;274:17635–17642. doi: 10.1074/jbc.274.25.17635. [DOI] [PubMed] [Google Scholar]
- 33.Manganas LN, Trimmer JS. Biochem Biophys Res Commun. 2004;322:577–584. doi: 10.1016/j.bbrc.2004.06.182. [DOI] [PubMed] [Google Scholar]
- 34.Zhang D, Kiyatkin A, Bolin JT, Low PS. Blood. 2000;96:2925–2933. [PubMed] [Google Scholar]
- 35.Nagaya N, Schulteis CT, Papazian DM. Receptors Channels. 1999;6:229–239. [PubMed] [Google Scholar]
- 36.Khanna R, Lee EJ, Papazian DM. J Cell Sci. 2004;117:2897–2908. doi: 10.1242/jcs.01141. [DOI] [PubMed] [Google Scholar]
- 37.Higgins MK, Demir M, Tate CG. Biochim Biophys Acta. 2003;1610:124–132. doi: 10.1016/s0005-2736(02)00715-0. [DOI] [PubMed] [Google Scholar]
- 38.Aridor M, Hannan LA. Traffic. 2000;1:836–851. doi: 10.1034/j.1600-0854.2000.011104.x. [DOI] [PubMed] [Google Scholar]
- 39.Schulein R. Rev Physiol Biochem Pharmacol. 151:45–91. doi: 10.1007/s10254-004-0022-8. [DOI] [PubMed] [Google Scholar]
- 40.Bernier V, Lagace M, Bichet DG, Bouvier M. Trends Endocrinol Metab. 2004;15:222–228. doi: 10.1016/j.tem.2004.05.003. [DOI] [PubMed] [Google Scholar]
- 41.Ficker E, Obejero-Paz CA, Zhao S, Brown AM. J Biol Chem. 2002;277:4989–4998. doi: 10.1074/jbc.M107345200. [DOI] [PubMed] [Google Scholar]
- 42.Paulussen A, Raes A, Matthijs G, Snyders DJ, Cohen N, Aerssens J. J Biol Chem. 2002;277:48610–48616. doi: 10.1074/jbc.M206569200. [DOI] [PubMed] [Google Scholar]
- 43.Rossenbacker T, Mubagwa K, Jongbloed RJ, Vereecke J, Devriendt K, Gewillig M, Carmeliet E, Collen D, Heidbuchel H, Carmeliet P. Circulation. 2005;111:961–968. doi: 10.1161/01.CIR.0000156327.35255.D8. [DOI] [PubMed] [Google Scholar]
