Abstract
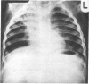
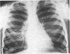
The results of pulmonary resection in 23 patients with cystic fibrosis are described. Before surgery, patients were classified into three groups on clinical and radiological grounds, those in whom (A) a good prognosis was expected after surgery, (B) surgery was considered palliative but it was hoped to improve general health and to reduce symptoms, (C) surgery might be immediately life saving. Preoperative and postoperative management is described, and the results are reviewed one year after operation and at the present time. It is concluded that pulmonary resection has a place in the management of cystic fibrosis: it may result in clearing of staphylococci from sputum and pharynx, with lessening of the generalized bronchial changes seen on chest x-ray. Careful selection is essential and surveillance must be continued after operation. Immediate postoperative complications may lead to an increase of localized disease. The ability of the parents or child to accept long-term supervision and medical management is a big factor in success.
Full text
PDF









Images in this article
Selected References
These references are in PubMed. This may not be the complete list of references from this article.
- DI SANT'AGNESE P. A. Bronchial obstruction with lobar atelectasis and emphysema in cystic fibrosis of the pancreas. Pediatrics. 1953 Aug;12(2):178–190. [PubMed] [Google Scholar]
- HODSON C. J., FRANCE N. E. Pulmonary changes in cystic fibrosis of the pancreas. A radio-pathological study. Clin Radiol. 1962 Jan;13:54–61. doi: 10.1016/s0009-9260(62)80011-7. [DOI] [PubMed] [Google Scholar]
- SCHUSTER S. R., SHWACHMAN H., HARRIS G. B., KHAW K. T. PULMONARY SURGERY FOR CYSTIC FIBROSIS. J Thorac Cardiovasc Surg. 1964 Nov;48:750–760. [PubMed] [Google Scholar]






