Abstract
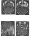
The authors present an unusual case of solitary intramedullary plasmacytoma. Awareness of this entity can facilitate appropriate surgical planning, which may include a limited biopsy prior to considering more extensive skull base surgery.
Full text
PDF




Images in this article
Selected References
These references are in PubMed. This may not be the complete list of references from this article.
- Atweh G. F., Jabbour N. Intracranial solitary extraskeletal plasmacytoma resembling meningioma. Arch Neurol. 1982 Jan;39(1):57–59. doi: 10.1001/archneur.1982.00510130059017. [DOI] [PubMed] [Google Scholar]
- Benli K., Inci S. Solitary dural plasmacytoma: case report. Neurosurgery. 1995 Jun;36(6):1206–1209. doi: 10.1227/00006123-199506000-00025. [DOI] [PubMed] [Google Scholar]
- Bindal A. K., Bindal R. K., van Loveren H., Sawaya R. Management of intracranial plasmacytoma. J Neurosurg. 1995 Aug;83(2):218–221. doi: 10.3171/jns.1995.83.2.0218. [DOI] [PubMed] [Google Scholar]
- Holland J., Trenkner D. A., Wasserman T. H., Fineberg B. Plasmacytoma. Treatment results and conversion to myeloma. Cancer. 1992 Mar 15;69(6):1513–1517. doi: 10.1002/1097-0142(19920315)69:6<1513::aid-cncr2820690633>3.0.co;2-x. [DOI] [PubMed] [Google Scholar]
- Kutcher R., Ghatak N. R., Leeds N. E. Plasmacytoma of the calvaria. Radiology. 1974 Oct;113(1):111–115. doi: 10.1148/113.1.111. [DOI] [PubMed] [Google Scholar]
- Losa M., Terreni M. R., Tresoldi M., Marcatti M., Campi A., Triulzi F., Scotti G., Giovanelli M. Solitary plasmacytoma of the sphenoid sinus involving the pituitary fossa: a case report and review of the literature. Surg Neurol. 1992 May;37(5):388–393. doi: 10.1016/0090-3019(92)90010-k. [DOI] [PubMed] [Google Scholar]
- Marais J., Brookes G. B., Lee C. C. Solitary plasmacytoma of the skull base. Ann Otol Rhinol Laryngol. 1992 Aug;101(8):665–668. doi: 10.1177/000348949210100807. [DOI] [PubMed] [Google Scholar]
- Miyachi S., Negoro M., Saito K., Nehashi K., Sugita K. Myeloma manifesting as a large jugular tumor: case report. Neurosurgery. 1990 Dec;27(6):971–977. doi: 10.1097/00006123-199012000-00018. [DOI] [PubMed] [Google Scholar]
- New P. F., Hesselink J. R., O'Carroll C. P., Kleinman G. M. Malignant meningiomas: CT and histologic criteria, including a new CT sign. AJNR Am J Neuroradiol. 1982 May-Jun;3(3):267–276. [PMC free article] [PubMed] [Google Scholar]
- Osborne D. R., Dubois P., Drayer B., Sage M., Burger P., Heinz E. R. Primary intracranial meningeal and spinal hemangiopericytoma: radiologic manifestations. AJNR Am J Neuroradiol. 1981 Jan-Feb;2(1):69–74. [PMC free article] [PubMed] [Google Scholar]
- Russell E. J., George A. E., Kricheff I. I., Budzilovich G. Atypical computed tomography features of intracranial meningioma: radiological-pathological correlation in a series of 131 consecutive cases. Radiology. 1980 Jun;135(3):673–682. doi: 10.1148/radiology.135.3.7384454. [DOI] [PubMed] [Google Scholar]
- Wax M. K., Yun K. J., Omar R. A. Extramedullary plasmacytomas of the head and neck. Otolaryngol Head Neck Surg. 1993 Nov;109(5):877–885. doi: 10.1177/019459989310900517. [DOI] [PubMed] [Google Scholar]
- Zimmerman R. D., Fleming C. A., Saint-Louis L. A., Lee B. C., Manning J. J., Deck M. D. Magnetic resonance imaging of meningiomas. AJNR Am J Neuroradiol. 1985 Mar-Apr;6(2):149–157. [PMC free article] [PubMed] [Google Scholar]



