Abstract
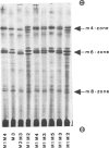
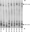
PI variants and PI M subtypes were examined by isoelectric focusing in a preformed immobilized pH gradient. Conditions were found that permit reliable classification of PI variants and of most PI M subtypes: the pH gradient ranges from 4.3 to 4.8 on a polyacrylamide gel with a length of 20 cm and a separation distance of approximately 16-17 cm (delta pH = 0.025 U/cm). The PI phenotypes observed are presented.
Full text
PDF








Images in this article
Selected References
These references are in PubMed. This may not be the complete list of references from this article.
- Allen R. C., Harley R. A., Talamo R. C. A new method for determination of alpha-1-antitrypsin phenotypes using isoelectric focusing on polyacrylamide gel slabs. Am J Clin Pathol. 1974 Dec;62(6):732–739. doi: 10.1093/ajcp/62.6.732. [DOI] [PubMed] [Google Scholar]
- Arnaud P., Chapuis-Cellier C., Creyssel R. Polymorphisme de l'alpha1 antitrypsine plasmatique (système Pi). Mise en évidence par électrofocalisation sur gel de polyacrylamide. C R Seances Soc Biol Fil. 1974;168(1):58–64. [PubMed] [Google Scholar]
- Bjellqvist B., Ek K., Righetti P. G., Gianazza E., Görg A., Westermeier R., Postel W. Isoelectric focusing in immobilized pH gradients: principle, methodology and some applications. J Biochem Biophys Methods. 1982 Sep;6(4):317–339. doi: 10.1016/0165-022x(82)90013-6. [DOI] [PubMed] [Google Scholar]
- Constans J., Viau M., Gouaillard C. Pi M4: an additional Pi M subtype. Hum Genet. 1980;55(1):119–121. doi: 10.1007/BF00329137. [DOI] [PubMed] [Google Scholar]
- Constans J., Viau M. Une nouvelle mutation PiN au locus Pi dans les populations humaines. C R Acad Sci Hebd Seances Acad Sci D. 1975 Nov 3;281(18):1361–1364. [PubMed] [Google Scholar]
- Cox D. W., Johnson A. M., Fagerhol M. K. Report of Nomenclature Meeting for alpha 1-antitrypsin, INSERM, Rouen/Bois-Guillaume-1978. Hum Genet. 1980;53(3):429–433. doi: 10.1007/BF00287070. [DOI] [PubMed] [Google Scholar]
- Davrinche C., Charlionet R., Rivat C., Sesboue R., Bayorek M., Arnone M. Genetic variants of human B component (BF system) and alpha-1-antitrypsin (PI system) in a population from Sardinia. Hum Hered. 1984;34(5):297–302. doi: 10.1159/000153483. [DOI] [PubMed] [Google Scholar]
- Fagerhol M. K., Cox D. W. The Pi polymorphism: genetic, biochemical, and clinical aspects of human alpha 1-antitrypsin. Adv Hum Genet. 1981;11:1-62, 371-2. [PubMed] [Google Scholar]
- Frants R. R., Eriksson A. W. Reliable classification of six Pi M subtypes by separator isoelectric focusing. Hum Hered. 1978;28(3):201–209. doi: 10.1159/000152959. [DOI] [PubMed] [Google Scholar]
- Frants R. R., Eriksson A. W. alpha1-antitrypsin: common subtypes of Pi M. Hum Hered. 1976;26(6):435–440. doi: 10.1159/000152838. [DOI] [PubMed] [Google Scholar]
- Genz T., Martin J. P., Cleve H. Classification of alpha1-antitrypsin (Pi) phenotypes by isoelectrofocusing. Distinction of six subtypes of the PiM phenotype. Hum Genet. 1977 Oct 14;38(3):325–332. doi: 10.1007/BF00402159. [DOI] [PubMed] [Google Scholar]
- Görg A., Postel W., Westermeier R., Gianazza E., Righetti P. G. Gel gradient electrophoresis, isoelectric focusing and two-dimensional techniques in horizontal, ultrathin polyacrylamide layers. J Biochem Biophys Methods. 1980 Nov;3(5):273–284. doi: 10.1016/0165-022x(80)90008-1. [DOI] [PubMed] [Google Scholar]
- Klasen E. C., Franken C., Volkers W. S., Bernini L. F. Population genetics of alpha1-antitrypsin in the Netherlands. Description of a new electrophoretic variant. Hum Genet. 1977 Jul 26;37(3):303–313. doi: 10.1007/BF00393613. [DOI] [PubMed] [Google Scholar]
- Kueppers F. Alpha 1 antitrypsin M1: a new common genetically determined variant. Am J Hum Genet. 1976 Jul;28(4):370–377. [PMC free article] [PubMed] [Google Scholar]
- Weidinger S., Cleve H., Patutschnick W. Alpha1-antitrypsin: evidence for a fourth PiM allele. Distribution of the PiM subtypes in Southern Germany. Z Rechtsmed. 1982;88(3):203–211. doi: 10.1007/BF00200725. [DOI] [PubMed] [Google Scholar]




