Full text
PDF


Images in this article
Selected References
These references are in PubMed. This may not be the complete list of references from this article.
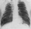
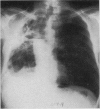
- Lake K. B., Van Dyke J. J., Gerberg E., Browne P. M. Legionnaires' disease and pulmonary cavitation. Arch Intern Med. 1979 Apr;139(4):485–486. [PubMed] [Google Scholar]
- Saravolatz L. D., Burch K. H., Fisher E., Madhavan T., Kiani D., Neblett T., Quinn E. L. The compromised host and Legionnaires' disease. Ann Intern Med. 1979 Apr;90(4):533–537. doi: 10.7326/0003-4819-90-4-533. [DOI] [PubMed] [Google Scholar]
- Tsai T. F., Finn D. R., Plikaytis B. D., McCauley W., Martin S. M., Fraser D. W. Legionnaires' disease: clinical features of the epidemic in Philadelphia. Ann Intern Med. 1979 Apr;90(4):509–517. doi: 10.7326/0003-4819-90-4-509. [DOI] [PubMed] [Google Scholar]
- Venkatachalam K. K., Saravolatz L. D., Christopher K. L. Legionnaires' disease. A cause of lung abscess. JAMA. 1979 Feb 9;241(6):597–598. doi: 10.1001/jama.241.6.597. [DOI] [PubMed] [Google Scholar]




