Full text
PDF











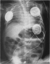
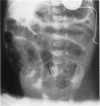
Images in this article
Selected References
These references are in PubMed. This may not be the complete list of references from this article.
- BERDON W. E., GROSSMAN H., BAKER D. H., MIZRAHI A., BARLOW O., BLANC W. A. NECROTIZING ENTEROCOLITIS IN THE PREMATURE INFANT. Radiology. 1964 Nov;83:879–887. doi: 10.1148/83.5.879. [DOI] [PubMed] [Google Scholar]
- Filler R. M., Eraklis A. J., Rubin V. G., Das J. B. Long-term total parenteral nutrition in infants. N Engl J Med. 1969 Sep 11;281(11):589–594. doi: 10.1056/NEJM196909112811104. [DOI] [PubMed] [Google Scholar]
- HYDE G. A., Jr, SANTULLI T. V. Idiopathic perforation of the small intestine in the neonatal period. Pediatrics. 1960 Aug;26:261–264. [PubMed] [Google Scholar]
- MIZRAHI A., BARLOW O., BERDON W., BLANC W. A., SILVERMAN W. A. NECROTIZING ENTEROCOLITIS IN PREMATURE INFANTS. J Pediatr. 1965 Apr;66:697–705. doi: 10.1016/s0022-3476(65)80003-8. [DOI] [PubMed] [Google Scholar]
- Miskin M., Reilly B. J. Gas in the intestinal wall and portal venous system in infants. Can Med Assoc J. 1969 Aug 9;101(3):129–134. [PMC free article] [PubMed] [Google Scholar]
- Rabinowitz J. G., Wolf B. S., Feller M. R., Krasna I. Colonic changes following necrotizing enterocolitis in the newborn. Am J Roentgenol Radium Ther Nucl Med. 1968 Jun;103(2):359–364. doi: 10.2214/ajr.103.2.359. [DOI] [PubMed] [Google Scholar]
- WALDHAUSEN J. A., HERENDEEN T., KING H. NECROTIZING COLITIS OF THE NEWBORN: COMMONCAUSE OF PERFORATION OF THE COLON. Surgery. 1963 Aug;54:365–372. [PubMed] [Google Scholar]
- Wilmore D. W., Groff D. B., Bishop H. C., Dudrick S. J. Total parenteral nutrition in infants with catastrophic gastrointestinal anomalies. J Pediatr Surg. 1969 Apr;4(2):181–189. doi: 10.1016/0022-3468(69)90389-3. [DOI] [PubMed] [Google Scholar]





