The mucopolysaccharidoses (MPSs) are rare hereditary diseases. They are classified into six types by the distinct lysosomal accumulations of glycosaminoglycans, which give rise to the progressive clinical features with involvement of multisystems. Ophthalmic complications, such as corneal stromal opacity, pigmentary retinal degeneration, optic nerve atrophy, and glaucoma, are common in patients with MPSs.
Cysts in various organs have been reported in patients with MPSs—for example, multiple dentigerous cysts, multifocal large cysts in the white matter and arachnoid of the brain, and bone cysts.1,2 In the eye, membrane bound vacuoles in the non-pigmented epithelium of the ciliary processes have been observed by electron microscopy.3 However, iridociliary cysts have never been reported in patients with MPSs.
We present two cases of multiple iridociliary cysts in two patients with MPSs, one with Scheie syndrome and the other with Maroteaux-Lamy syndrome.
Case reports
Case 1
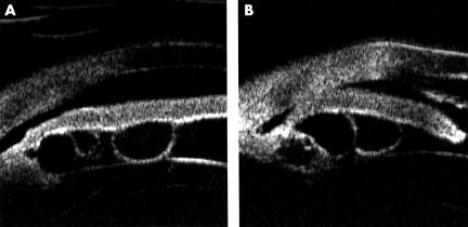
A 18 year old woman, who was diagnosed with Scheie syndrome (MPS type IS) by enzyme assay. The activity of α-l-iduronidase in peripheral blood lymphocytes was not detectable. She had bilateral corneal stromal opacities, shallow anterior chambers, and high intraocular pressures. On 6 April 1998 her corrected visual acuity was 20/50 in both eyes. Her right intraocular pressure was 24 mm Hg and the left was 20 mm Hg with topical medication. Ultrasound biomicroscopy revealed multiple round cystic lesions with uniformly low echoic density similar to anterior chamber fluid in all quadrants of the posterior iris, iridociliary sulcus, and pars plicata of both eyes (Fig 1).
Figure 1.
Cross sectional appearance of the iris by ultrasound biomicroscopy in case 1. Multiple iridociliary cysts are seen in the posterior iris of both eyes: (A) 1.2 mm diameter cyst in the right eye; (B) 0.8 mm diameter cyst in the left eye.
Case 2
A 23 year old woman, who was diagnosed with Maroteaux-Lamy syndrome (MPS type VI). The activity of arylsulphatase B in the peripheral blood lymphocytes was significantly low. At the age of 13 years, she underwent penetrating keratoplasty on her right eye because of corneal stromal opacity. At the age of 23 years, she underwent deep lamellar keratoplasty on her left eye. On 10 December 1997, slit lamp examination disclosed a clear graft and the shallow anterior chamber in both eyes. The corrected visual acuity in her right eye was 20/30 and left was 20/400. Her right intraocular pressure was 12 mm Hg and left was 18 mm Hg without medication.
Ultrasound biomicroscopy revealed multiple round low echoic lesions in the posterior iris and ciliary body similar to case 1 in both eyes (Fig 2).
Figure 2.
Cross sectional view of the iris by ultrasound biomicroscopy in case 2. Multiple iridociliary cysts are seen in the posterior iris of both eyes: (A) 0.8 mm, 0.4 mm, and 0.8 × 1.3 mm diameter cysts in the right eye; (B) 1.1 mm and 1.0 mm diameter cysts in the left eye.
We examined an additional two patients with Scheie syndrome; however, no iridociliary cysts were found in either patient.
Comment
We have demonstrated the presence of multiple round cystic lesions. From this echographic finding, we interpret these lesions as multiple iridociliary cysts. In previous reports, there is a wide gap in the incidence of ciliary body cysts on the posterior ciliary body because of the difficulty in detecting them by conventional methods. Marigo et al retrospectively reported that cystic lesions were identified in 108 eyes of 88 out of 4632 patients by ultrasound biomicroscopy and the incidence of the multiple cysts occupying more than 180° was 13.3%.4 Kunimatsu et al studied the ciliary body in 232 eyes of 116 healthy people by ultrasound biomicroscopy. They reported that ciliary body cysts were detected in 54.3%, and all the cysts were located at the iridociliary sulcus or pars plicata.5 The cysts in our patients were located at the posterior iris as well as in the iridociliary sulcus and pars plicata, and the number of cysts was much larger than that of healthy people in the previous reports.
Also, the reports concerning cysts in other organs in MPSs patients support the notion that iridociliary cysts in MPSs patients were different from usual cysts in normal patients. Because no evidence of the progression of the iris cysts was obtained, neither pathological examination nor the analysis of contents of cysts was performed in our cases.
All of our patients were diagnosed with glaucomas or ocular hypertension. It has been suggested that the high intraocular pressure was due to a blockage of the trabecular meshwork by the glycosaminoglycan, or a false high ocular pressure because of the higher rigidity of the cornea in the MPSs patients. On the other hand, angle closure that is caused by multiple iridociliary cysts in a patient without MPS has been reported.6 So we suggest that angle closure by the cysts may be another cause for the high intraocular pressure in some MPSs cases.
In summary, some of the patients with MPSs with shallow anterior chamber demonstrated the presence of multiple iridociliary cysts and ultrasound biomicroscopy is very useful tool for finding the cysts.
References
- 1.Roberts MW, Barton NW, Constantopoulos G, et al. Occurrence of multiple dentigerous cysts in a patient with the Maroteaux-Lamy syndrome (mucopolysaccharidosis, type VI). Oral Surg Oral Med Oral Pathol 1984;58:169–75. [DOI] [PubMed] [Google Scholar]
- 2.Lamon JM, Trojak JE, Abbott MA. Bone cysts in mucopolysaccharidosis I-S (Scheie syndrome). Johns Hopkins Med J 1980;146:73–5. [PubMed] [Google Scholar]
- 3.Topping TM, Kenyon KR, Goldberg MF, et al. Ultrastructural ocular pathology of Hunter’s syndrome. Arch Ophthalmol 1971;86:164–77. [DOI] [PubMed] [Google Scholar]
- 4.Marigo FA, Esaki K. Differential diagnosis of anterior segment cysts by ultrasound biomicroscopy. Ophthalmology 1999;106:2131–5. [DOI] [PubMed] [Google Scholar]
- 5.Kunimatsu S, Araie M. Ultrasound biomicroscopy of ciliary body cysts. Am J Ophthalmol 1999;127:48–55. [DOI] [PubMed] [Google Scholar]
- 6.Tanihara H, Akita J, et al. Angle closure caused by multiple bilateral iridociliary cysts. Acta Ophthalmol Scand 1997;75:216–17. [DOI] [PubMed] [Google Scholar]


