Abstract
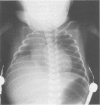
The clinical features of 14 neonates with congenital myotonic dystrophy were retrospectively reviewed. These babies represent all the new cases of congenital myotonic dystrophy seen in this department since 1982. Twelve babies were referred because of either difficulties in diagnosis or difficulties in the management of their respiratory problems. Of the 14 babies, 13 had birth asphyxia, 11 were premature, and four had intrauterine growth retardation. Ten babies required artificial ventilation from birth. Abnormalities on chest radiography included thin ribs (n =9) and raised right hemidiaphragms (n = 5). Recurrent episodes of collapse and consolidation of the lungs secondary to poor swallowing occurred in all ventilated babies. All babies ventilated for longer than four weeks died of respiratory complications before the age of 15 months. One baby was successfully extubated after diaphragmatic plication, but he died a few months later. Duration of ventilation was the best guide to prognosis.
Full text
PDF




Images in this article
Selected References
These references are in PubMed. This may not be the complete list of references from this article.
- Bell D. B., Smith D. W. Myotonic dystrophy in the neonate. J Pediatr. 1972 Jul;81(1):83–86. doi: 10.1016/s0022-3476(72)80378-0. [DOI] [PubMed] [Google Scholar]
- Bossen E. H., Shelburne J. D., Verkauf B. S. Respiratory muscle involvement in infantile myotonic dystrophy. Arch Pathol. 1974 Apr;97(4):250–252. [PubMed] [Google Scholar]
- Chudley A. E., Barmada M. A. Diaphragmatic elevation in neonatal myotonic dystrophy. Am J Dis Child. 1979 Nov;133(11):1182–1185. doi: 10.1001/archpedi.1979.02130110090018. [DOI] [PubMed] [Google Scholar]
- Cunningham M., Stocks J. Werdnig-Hoffmann disease. The effects of intrauterine onset on lung growth. Arch Dis Child. 1978 Dec;53(12):921–925. doi: 10.1136/adc.53.12.921. [DOI] [PMC free article] [PubMed] [Google Scholar]
- Dunn L. J., Dierker L. I. Recurrent hydramnios in association with myotonia dystrophica. Obstet Gynecol. 1973 Jul;42(1):104–106. [PubMed] [Google Scholar]
- Fried K., Pajewski M., Mundel G., Caspi E., Spira R. Thin ribs in neonatal myotonic dystrophy. Clin Genet. 1975 May-Jun;7(5):417–420. doi: 10.1111/j.1399-0004.1975.tb00351.x. [DOI] [PubMed] [Google Scholar]
- Gerhardt T., McCarthy J., Bancalari E. Effects of aminophylline on respiratory center and reflex activity in premature infants with apnea. Pediatr Res. 1983 Mar;17(3):188–191. doi: 10.1203/00006450-198303000-00003. [DOI] [PubMed] [Google Scholar]
- Harper P. S. Congenital myotonic dystrophy in Britain. I. Clinical aspects. Arch Dis Child. 1975 Jul;50(7):505–513. doi: 10.1136/adc.50.7.505. [DOI] [PMC free article] [PubMed] [Google Scholar]
- Harper P. S. Congenital myotonic dystrophy in Britain. II. Genetic basis. Arch Dis Child. 1975 Jul;50(7):514–521. doi: 10.1136/adc.50.7.514. [DOI] [PMC free article] [PubMed] [Google Scholar]
- Harper P. S., Dyken P. R. Early-onset dystrophia myotonica. Evidence supporting a maternal environmental factor. Lancet. 1972 Jul 8;2(7767):53–55. doi: 10.1016/s0140-6736(72)91548-6. [DOI] [PubMed] [Google Scholar]
- Moxham J., Green M. Aminophylline and the respiratory muscles. Bull Eur Physiopathol Respir. 1985 Jan-Feb;21(1):1–6. [PubMed] [Google Scholar]
- Osborne J. P., Murphy E. G., Hill A. Thin ribs on chest X-ray: a useful sign in the differential diagnosis of the floppy newborn. Dev Med Child Neurol. 1983 Jun;25(3):343–345. doi: 10.1111/j.1469-8749.1983.tb13768.x. [DOI] [PubMed] [Google Scholar]
- Pearse R. G., Höweler C. J. Neonatal form of dystrophia myotonica. Five cases in preterm babies and a review of earlier reports. Arch Dis Child. 1979 May;54(5):331–338. doi: 10.1136/adc.54.5.331. [DOI] [PMC free article] [PubMed] [Google Scholar]
- Regev R., de Vries L. S., Heckmatt J. Z., Dubowitz V. Cerebral ventricular dilation in congenital myotonic dystrophy. J Pediatr. 1987 Sep;111(3):372–376. doi: 10.1016/s0022-3476(87)80456-0. [DOI] [PubMed] [Google Scholar]
- Sarnat H. B., Silbert S. W. Maturational arrest of fetal muscle in neonatal myotonic dystrophy. A pathologic study of four cases. Arch Neurol. 1976 Jul;33(7):466–474. doi: 10.1001/archneur.1976.00500070008002. [DOI] [PubMed] [Google Scholar]
- Silver M. M., Vilos G. A., Silver M. D., Shaheed W. S., Turner K. L. Morphologic and morphometric analyses of muscle in the neonatal myotonic dystrophy syndrome. Hum Pathol. 1984 Dec;15(12):1171–1182. doi: 10.1016/s0046-8177(84)80312-3. [DOI] [PubMed] [Google Scholar]
- Swischuk L. E., Richardson C. J., Nichols M. M., Ingman M. J. Bilateral pulmonary hypoplasia in the neonate. AJR Am J Roentgenol. 1979 Dec;133(6):1057–1063. doi: 10.2214/ajr.133.6.1057. [DOI] [PubMed] [Google Scholar]
- Vilos G. A., McLeod W. J., Carmichael L., Probert C., Harding P. G. Absence or impaired response of fetal breathing to intravenous glucose is associated with pulmonary hypoplasia in congenital myotonic dystrophy. Am J Obstet Gynecol. 1984 Mar 1;148(5):558–562. doi: 10.1016/0002-9378(84)90747-6. [DOI] [PubMed] [Google Scholar]
- Wesström G., Bensch J., Schollin J. Congenital myotonic dystrophy. Incidence, clinical aspects and early prognosis. Acta Paediatr Scand. 1986 Sep;75(5):849–854. doi: 10.1111/j.1651-2227.1986.tb10301.x. [DOI] [PubMed] [Google Scholar]


