Abstract
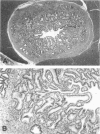
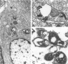
Enterocytozoon bieneusi is a common opportunistic pathogen of human patients with acquired immune deficiency syndrome (AIDS) causing significant morbidity and mortality. In a retrospective analysis utilizing conventional histochemical techniques, in situ hybridization, polymerase chain reaction, and ultrastructural examination, we identified 18 simian-immunodeficiency-virus-infected macaques (16 Macaca mulatta, 1 M. nemestrina, and 1 M. cyclopis) with Enterocytozoon infection of the hepatobiliary system and small intestine. The organisms were readily identified in the bile ducts and gall bladder by special stains and by in situ hybridization using a probe directed against the small subunit ribosomal RNA of human origin E. bieneusi. Infection of the biliary system was associated with a nonsuppurative and proliferative cholecystitis and choledochitis. Hepatic involvement was characterized by bridging portal fibrosis and nodular hepatocellular regeneration accompanied by marked bile ductular and septal duct hyperplasia. Ultrastructurally, all developmental stages of the organism were found in direct contact with the host cell cytoplasm; spores and sporoblasts contained a double layer of polar tubes. Sequencing of a 607-bp segment of the small subunit ribosomal RNA revealed 97 and 100% identity to two clones of small subunit ribosomal RNA derived from E. bieneusi of human origin. Extensive morphological and genetic similarities between the simian and human enterocytozoons suggest that experimentally infected macaques may serve as a useful model of microsporidial infection in AIDS.
Full text
PDF










Images in this article
Selected References
These references are in PubMed. This may not be the complete list of references from this article.
- Altschul S. F., Gish W., Miller W., Myers E. W., Lipman D. J. Basic local alignment search tool. J Mol Biol. 1990 Oct 5;215(3):403–410. doi: 10.1016/S0022-2836(05)80360-2. [DOI] [PubMed] [Google Scholar]
- Baskin G. B. Disseminated cytomegalovirus infection in immunodeficient rhesus monkeys. Am J Pathol. 1987 Nov;129(2):345–352. [PMC free article] [PubMed] [Google Scholar]
- Baskin G. B., Murphey-Corb M., Watson E. A., Martin L. N. Necropsy findings in rhesus monkeys experimentally infected with cultured simian immunodeficiency virus (SIV)/delta. Vet Pathol. 1988 Nov;25(6):456–467. doi: 10.1177/030098588802500609. [DOI] [PubMed] [Google Scholar]
- Beaugerie L., Teilhac M. F., Deluol A. M., Fritsch J., Girard P. M., Rozenbaum W., Le Quintrec Y., Chatelet F. P. Cholangiopathy associated with Microsporidia infection of the common bile duct mucosa in a patient with HIV infection. Ann Intern Med. 1992 Sep 1;117(5):401–402. doi: 10.7326/0003-4819-117-5-401. [DOI] [PubMed] [Google Scholar]
- Brown R. J., Hinkle D. K., Trevethan W. P., Kupper J. L., McKee A. E. Nosematosis in a squirrel monkey (Saimiri sciureus). J Med Primatol. 1973;2(2):114–123. doi: 10.1159/000460312. [DOI] [PubMed] [Google Scholar]
- Cali A., Kotler D. P., Orenstein J. M. Septata intestinalis N. G., N. Sp., an intestinal microsporidian associated with chronic diarrhea and dissemination in AIDS patients. J Eukaryot Microbiol. 1993 Jan-Feb;40(1):101–112. doi: 10.1111/j.1550-7408.1993.tb04889.x. [DOI] [PubMed] [Google Scholar]
- Cali A., Owen R. L. Intracellular development of Enterocytozoon, a unique microsporidian found in the intestine of AIDS patients. J Protozool. 1990 Mar-Apr;37(2):145–155. doi: 10.1111/j.1550-7408.1990.tb05885.x. [DOI] [PubMed] [Google Scholar]
- Canning E. U., Hollister W. S. Enterocytozoon bieneusi (Microspora): prevalence and pathogenicity in AIDS patients. Trans R Soc Trop Med Hyg. 1990 Mar-Apr;84(2):181–186. doi: 10.1016/0035-9203(90)90247-c. [DOI] [PubMed] [Google Scholar]
- Chupp G. L., Alroy J., Adelman L. S., Breen J. C., Skolnik P. R. Myositis due to Pleistophora (Microsporidia) in a patient with AIDS. Clin Infect Dis. 1993 Jan;16(1):15–21. doi: 10.1093/clinids/16.1.15. [DOI] [PubMed] [Google Scholar]
- Daniel M. D., Letvin N. L., King N. W., Kannagi M., Sehgal P. K., Hunt R. D., Kanki P. J., Essex M., Desrosiers R. C. Isolation of T-cell tropic HTLV-III-like retrovirus from macaques. Science. 1985 Jun 7;228(4704):1201–1204. doi: 10.1126/science.3159089. [DOI] [PubMed] [Google Scholar]
- De Groote M. A., Visvesvara G., Wilson M. L., Pieniazek N. J., Slemenda S. B., daSilva A. J., Leitch G. J., Bryan R. T., Reves R. Polymerase chain reaction and culture confirmation of disseminated Encephalitozoon cuniculi in a patient with AIDS: successful therapy with albendazole. J Infect Dis. 1995 May;171(5):1375–1378. doi: 10.1093/infdis/171.5.1375. [DOI] [PubMed] [Google Scholar]
- Desportes-Livage I., Harper F., Hilmarsdottir I., Benhamou Y., Ombrouck C., Gentilini M. The phospholipids in Enterocytozoon bieneusi: an electron spectroscopic imaging study. Folia Parasitol (Praha) 1993;40(4):275–278. [PubMed] [Google Scholar]
- Desportes I., Le Charpentier Y., Galian A., Bernard F., Cochand-Priollet B., Lavergne A., Ravisse P., Modigliani R. Occurrence of a new microsporidan: Enterocytozoon bieneusi n.g., n. sp., in the enterocytes of a human patient with AIDS. J Protozool. 1985 May;32(2):250–254. doi: 10.1111/j.1550-7408.1985.tb03046.x. [DOI] [PubMed] [Google Scholar]
- Desrosiers R. C. The simian immunodeficiency viruses. Annu Rev Immunol. 1990;8:557–578. doi: 10.1146/annurev.iy.08.040190.003013. [DOI] [PubMed] [Google Scholar]
- Didier E. S., Didier P. J., Friedberg D. N., Stenson S. M., Orenstein J. M., Yee R. W., Tio F. O., Davis R. M., Vossbrinck C., Millichamp N. Isolation and characterization of a new human microsporidian, Encephalitozoon hellem (n. sp.), from three AIDS patients with keratoconjunctivitis. J Infect Dis. 1991 Mar;163(3):617–621. doi: 10.1093/infdis/163.3.617. [DOI] [PubMed] [Google Scholar]
- Didier E. S., Varner P. W., Didier P. J., Aldras A. M., Millichamp N. J., Murphey-Corb M., Bohm R., Shadduck J. A. Experimental microsporidiosis in immunocompetent and immunodeficient mice and monkeys. Folia Parasitol (Praha) 1994;41(1):1–11. [PubMed] [Google Scholar]
- Eeftinck Schattenkerk J. K., van Gool T., van Ketel R. J., Bartelsman J. F., Kuiken C. L., Terpstra W. J., Reiss P. Clinical significance of small-intestinal microsporidiosis in HIV-1-infected individuals. Lancet. 1991 Apr 13;337(8746):895–898. doi: 10.1016/0140-6736(91)90215-b. [DOI] [PubMed] [Google Scholar]
- Field A. S., Hing M. C., Milliken S. T., Marriott D. J. Microsporidia in the small intestine of HIV-infected patients. A new diagnostic technique and a new species. Med J Aust. 1993 Mar 15;158(6):390–394. [PubMed] [Google Scholar]
- Gerber M. A., Chen M. L., Hu F. S., Baskin G. B., Petrovich L. Liver disease in rhesus monkeys infected with simian immunodeficiency virus. Am J Pathol. 1991 Nov;139(5):1081–1088. [PMC free article] [PubMed] [Google Scholar]
- Glasgow B. J., Anders K., Layfield L. J., Steinsapir K. D., Gitnick G. L., Lewin K. J. Clinical and pathologic findings of the liver in the acquired immune deficiency syndrome (AIDS). Am J Clin Pathol. 1985 May;83(5):582–588. doi: 10.1093/ajcp/83.5.582. [DOI] [PubMed] [Google Scholar]
- Greenson J. K., Belitsos P. C., Yardley J. H., Bartlett J. G. AIDS enteropathy: occult enteric infections and duodenal mucosal alterations in chronic diarrhea. Ann Intern Med. 1991 Mar 1;114(5):366–372. doi: 10.7326/0003-4819-114-5-366. [DOI] [PubMed] [Google Scholar]
- Hartskeerl R. A., Schuitema A. R., deWachter R. Secondary structure of the small subunit ribosomal RNA sequence of the microsporidium Encephalitozoon cuniculi. Nucleic Acids Res. 1993 Mar 25;21(6):1489–1489. doi: 10.1093/nar/21.6.1489. [DOI] [PMC free article] [PubMed] [Google Scholar]
- Hollister W. S., Canning E. U., Weidner E., Field A. S., Kench J., Marriott D. J. Development and ultrastructure of Trachipleistophora hominis n.g., n.sp. after in vitro isolation from an AIDS patient and inoculation into athymic mice. Parasitology. 1996 Jan;112(Pt 1):143–154. doi: 10.1017/s0031182000065185. [DOI] [PubMed] [Google Scholar]
- Horvath C. J., Hunt R. D., Simon M. A., Sehgal P. K., Ringler D. J. An immunohistologic study of granulomatous inflammation in SIV-infected rhesus monkeys. J Leukoc Biol. 1993 May;53(5):532–540. doi: 10.1002/jlb.53.5.532. [DOI] [PubMed] [Google Scholar]
- Horvath C. J., Simon M. A., Bergsagel D. J., Pauley D. R., King N. W., Garcea R. L., Ringler D. J. Simian virus 40-induced disease in rhesus monkeys with simian acquired immunodeficiency syndrome. Am J Pathol. 1992 Jun;140(6):1431–1440. [PMC free article] [PubMed] [Google Scholar]
- Ilyinskii P. O., Daniel M. D., Simon M. A., Lackner A. A., Desrosiers R. C. The role of upstream U3 sequences in the pathogenesis of simian immunodeficiency virus-induced AIDS in rhesus monkeys. J Virol. 1994 Sep;68(9):5933–5944. doi: 10.1128/jvi.68.9.5933-5944.1994. [DOI] [PMC free article] [PubMed] [Google Scholar]
- Kestler H. W., 3rd, Li Y., Naidu Y. M., Butler C. V., Ochs M. F., Jaenel G., King N. W., Daniel M. D., Desrosiers R. C. Comparison of simian immunodeficiency virus isolates. Nature. 1988 Feb 18;331(6157):619–622. doi: 10.1038/331619a0. [DOI] [PubMed] [Google Scholar]
- King N. W., Chalifoux L. V., Ringler D. J., Wyand M. S., Sehgal P. K., Daniel M. D., Letvin N. L., Desrosiers R. C., Blake B. J., Hunt R. D. Comparative biology of natural and experimental SIVmac infection in macaque monkeys: a review. J Med Primatol. 1990;19(2):109–118. [PubMed] [Google Scholar]
- Kwok S., Higuchi R. Avoiding false positives with PCR. Nature. 1989 May 18;339(6221):237–238. doi: 10.1038/339237a0. [DOI] [PubMed] [Google Scholar]
- Lackner A. A. Pathology of simian immunodeficiency virus induced disease. Curr Top Microbiol Immunol. 1994;188:35–64. doi: 10.1007/978-3-642-78536-8_3. [DOI] [PubMed] [Google Scholar]
- Letvin N. L., Daniel M. D., Sehgal P. K., Desrosiers R. C., Hunt R. D., Waldron L. M., MacKey J. J., Schmidt D. K., Chalifoux L. V., King N. W. Induction of AIDS-like disease in macaque monkeys with T-cell tropic retrovirus STLV-III. Science. 1985 Oct 4;230(4721):71–73. doi: 10.1126/science.2412295. [DOI] [PubMed] [Google Scholar]
- Mansfield K. G., Pauley D., Young H. L., Lackner A. A. Mycobacterium avium complex in macaques with AIDS is associated with a specific strain of simian immunodeficiency virus and prolonged survival after primary infection. J Infect Dis. 1995 Oct;172(4):1149–1152. doi: 10.1093/infdis/172.4.1149. [DOI] [PubMed] [Google Scholar]
- Margileth A. M., Strano A. J., Chandra R., Neafie R., Blum M., McCully R. M. Disseminated nosematosis in an immunologically compromised infant. Arch Pathol. 1973 Mar;95(3):145–150. [PubMed] [Google Scholar]
- McWhinney P. H., Nathwani D., Green S. T., Boyd J. F., Forrest J. A. Microsporidiosis detected in association with AIDS-related sclerosing cholangitis. AIDS. 1991 Nov;5(11):1394–1395. doi: 10.1097/00002030-199111000-00024. [DOI] [PubMed] [Google Scholar]
- Molina J. M., Sarfati C., Beauvais B., Lémann M., Lesourd A., Ferchal F., Casin I., Lagrange P., Modigliani R., Derouin F. Intestinal microsporidiosis in human immunodeficiency virus-infected patients with chronic unexplained diarrhea: prevalence and clinical and biologic features. J Infect Dis. 1993 Jan;167(1):217–221. doi: 10.1093/infdis/167.1.217. [DOI] [PubMed] [Google Scholar]
- Orenstein J. M. Microsporidiosis in the acquired immunodeficiency syndrome. J Parasitol. 1991 Dec;77(6):843–864. [PubMed] [Google Scholar]
- Pol S., Romana C. A., Richard S., Amouyal P., Desportes-Livage I., Carnot F., Pays J. F., Berthelot P. Microsporidia infection in patients with the human immunodeficiency virus and unexplained cholangitis. N Engl J Med. 1993 Jan 14;328(2):95–99. doi: 10.1056/NEJM199301143280204. [DOI] [PubMed] [Google Scholar]
- Pol S., Romana C., Richard S., Carnot F., Dumont J. L., Bouche H., Pialoux G., Stern M., Pays J. F., Berthelot P. Enterocytozoon bieneusi infection in acquired immunodeficiency syndrome-related sclerosing cholangitis. Gastroenterology. 1992 May;102(5):1778–1781. doi: 10.1016/0016-5085(92)91743-n. [DOI] [PubMed] [Google Scholar]
- Rabeneck L., Gyorkey F., Genta R. M., Gyorkey P., Foote L. W., Risser J. M. The role of Microsporidia in the pathogenesis of HIV-related chronic diarrhea. Ann Intern Med. 1993 Nov 1;119(9):895–899. doi: 10.7326/0003-4819-119-9-199311010-00005. [DOI] [PubMed] [Google Scholar]
- Rud E. W., Cranage M., Yon J., Quirk J., Ogilvie L., Cook N., Webster S., Dennis M., Clarke B. E. Molecular and biological characterization of simian immunodeficiency virus macaque strain 32H proviral clones containing nef size variants. J Gen Virol. 1994 Mar;75(Pt 3):529–543. doi: 10.1099/0022-1317-75-3-529. [DOI] [PubMed] [Google Scholar]
- Sandfort J., Hannemann A., Gelderblom H., Stark K., Owen R. L., Ruf B. Enterocytozoon bieneusi infection in an immunocompetent patient who had acute diarrhea and who was not infected with the human immunodeficiency virus. Clin Infect Dis. 1994 Sep;19(3):514–516. doi: 10.1093/clinids/19.3.514. [DOI] [PubMed] [Google Scholar]
- Sasseville V. G., Pauley D. R., MacKey J. J., Simon M. A. Concurrent central nervous system toxoplasmosis and simian immunodeficiency virus-induced AIDS encephalomyelitis in a Barbary macaque (Macaca sylvana). Vet Pathol. 1995 Jan;32(1):81–83. doi: 10.1177/030098589503200116. [DOI] [PubMed] [Google Scholar]
- Schwartz D. A., Abou-Elella A., Wilcox C. M., Gorelkin L., Visvesvara G. S., Thompson S. E., 3rd, Weber R., Bryan R. T. The presence of Enterocytozoon bieneusi spores in the lamina propria of small bowel biopsies with no evidence of disseminated microsporidiosis. Enteric Opportunistic Infections Working Group. Arch Pathol Lab Med. 1995 May;119(5):424–428. [PubMed] [Google Scholar]
- Schwartz D. A., Sobottka I., Leitch G. J., Cali A., Visvesvara G. S. Pathology of microsporidiosis: emerging parasitic infections in patients with acquired immunodeficiency syndrome. Arch Pathol Lab Med. 1996 Feb;120(2):173–188. [PubMed] [Google Scholar]
- Seibold H. R., Fussell E. N. Intestinal microsporidiosis in Callicebus moloch. Lab Anim Sci. 1973 Feb;23(1):115–118. [PubMed] [Google Scholar]
- Shadduck J. A., Baskin G. Serologic evidence of Encephalitozoon cuniculi infection in a colony of squirrel monkeys (Saimiri sciureus). Lab Anim Sci. 1989 Jul;39(4):328–330. [PubMed] [Google Scholar]
- Silveira H., Canning E. U. Vittaforma corneae n. comb. for the human microsporidium Nosema corneum Shadduck, Meccoli, Davis & Font, 1990, based on its ultrastructure in the liver of experimentally infected athymic mice. J Eukaryot Microbiol. 1995 Mar-Apr;42(2):158–165. doi: 10.1111/j.1550-7408.1995.tb01557.x. [DOI] [PubMed] [Google Scholar]
- Vogel P., Miller C. J., Lowenstine L. L., Lackner A. A. Evidence of horizontal transmission of Pneumocystis carinii pneumonia in simian immunodeficiency virus-infected rhesus macaques. J Infect Dis. 1993 Oct;168(4):836–843. doi: 10.1093/infdis/168.4.836. [DOI] [PubMed] [Google Scholar]
- Weber R., Bryan R. T., Owen R. L., Wilcox C. M., Gorelkin L., Visvesvara G. S. Improved light-microscopical detection of microsporidia spores in stool and duodenal aspirates. The Enteric Opportunistic Infections Working Group. N Engl J Med. 1992 Jan 16;326(3):161–166. doi: 10.1056/NEJM199201163260304. [DOI] [PubMed] [Google Scholar]
- Weber R., Bryan R. T., Schwartz D. A., Owen R. L. Human microsporidial infections. Clin Microbiol Rev. 1994 Oct;7(4):426–461. doi: 10.1128/cmr.7.4.426. [DOI] [PMC free article] [PubMed] [Google Scholar]
- Weber R., Kuster H., Keller R., Bächi T., Spycher M. A., Briner J., Russi E., Lüthy R. Pulmonary and intestinal microsporidiosis in a patient with the acquired immunodeficiency syndrome. Am Rev Respir Dis. 1992 Dec;146(6):1603–1605. doi: 10.1164/ajrccm/146.6.1603. [DOI] [PubMed] [Google Scholar]
- Zeman D. H., Baskin G. B. Encephalitozoonosis in squirrel monkeys (Saimiri sciureus). Vet Pathol. 1985 Jan;22(1):24–31. doi: 10.1177/030098588502200104. [DOI] [PubMed] [Google Scholar]
- Zhu X., Wittner M., Tanowitz H. B., Kotler D., Cali A., Weiss L. M. Small subunit rRNA sequence of Enterocytozoon bieneusi and its potential diagnostic role with use of the polymerase chain reaction. J Infect Dis. 1993 Dec;168(6):1570–1575. doi: 10.1093/infdis/168.6.1570. [DOI] [PubMed] [Google Scholar]
- da Silva A. J., Schwartz D. A., Visvesvara G. S., de Moura H., Slemenda S. B., Pieniazek N. J. Sensitive PCR diagnosis of Infections by Enterocytozoon bieneusi (microsporidia) using primers based on the region coding for small-subunit rRNA. J Clin Microbiol. 1996 Apr;34(4):986–987. doi: 10.1128/jcm.34.4.986-987.1996. [DOI] [PMC free article] [PubMed] [Google Scholar]
- van Gool T., Canning E. U., Gilis H., van den Bergh Weerman M. A., Eeftinck Schattenkerk J. K., Dankert J. Septata intestinalis frequently isolated from stool of AIDS patients with a new cultivation method. Parasitology. 1994 Sep;109(Pt 3):281–289. doi: 10.1017/s0031182000078318. [DOI] [PubMed] [Google Scholar]





