Abstract
We have previously shown that hedamycin, a GC-rich DNA-binding antitumor agent, downregulates survivin transcription (Wu et al. (2005) Molecular mechanism of inhibition of survivin transcription by the GC-rich sequence selective DNA-binding antitumor agent, hedamycin: evidence of survivin downregulation associated with drug sensitivity. J. Biol. Chem., 280, 9745–9751). Here, we report that treatment of cancer cells with Hoechst33342, an AT-rich DNA-binding ligand, upregulated survivin protein, mRNA and promoter activity. Functional analysis of survivin promoter-luciferase constructs followed by in vivo footprinting experiments identified a 28-bp AT-rich DNA element (−908 to −881, designated as H369W) that mediates a major effect of Hoechst33342 on the upregulation of survivin promoter activity. Electrophoresis mobility shift assay (EMSA) experiments showed that Hoechst33342 binds to H369W and abrogates H369W–protein interactions. Intriguingly, there is a highly conserved DNA-binding motif for growth factor independence 1 (Gfi-1), a transcriptional repressor protein, in the H369W DNA element. Accordingly, EMSA experiments demonstrated that either the cold canonical Gfi-1-binding DNA oligonucleotide or the cold H369W specifically competes with H369W–protein complexes. Consistently, anti-Gfi-1 antibody is able to supershift the H369W–protein complex on the EMSA gel. Lastly, our data reveal that upregulation of survivin by Hoechst33342 is involved in cancer drug resistance. We propose that hindrance of H369W–Gfi-1 interactions in the survivin promoter, initiated by Hoechst33342, contributes to upregulation of survivin transcription, and as a consequence, hampers Hoechst33342's cytotoxicity.
INTRODUCTION
Survivin, a novel member of the inhibitor of apoptosis (IAP) family proteins (1–3), is known to be involved in the regulation of apoptosis and the control of cell division (4–6). Survivin expression in cancer cells is associated with tumorigenesis (7), cancer progression, poor prognosis, shortened patient survival and drug/radiation resistance (4,6). We previously reported that hedamycin, a GC-rich sequence-selective DNA-binding antitumor agent, transcriptionally downregulates the expression of survivin (8). We have shown that the downregulation of survivin transcription by hedamycin is, at least in part, due to the binding of hedamycin to a 21-bp GC-rich DNA motif in the survivin promoter, which abrogates the binding of Sp-1 or Sp1-like transcription factors (8). We have further shown that downregulation of survivin expression by hedamycin is a contributor to hedamycin-induced cancer cell death (8). In the present study, we report that an AT-rich sequence-selective DNA-binding ligand, Hoechst33342, upregulates survivin transcription and, in so doing, plays a role in Hoechst33342 resistance. Mechanistically, we discovered that upregulation of survivin transcription by Hoechst33342 is at least partially due to Hoechst33342 binding to and abolishment of the DNA–protein interactions in a 28-bp AT-rich DNA element, designated as H369W, in the survivin enhancer region. This includes, but may not be limited to, disturbance of the interaction between the transcription repressor protein Gfi-1 or Gfi1-like proteins and the H369W DNA motif. We further showed that Hoechst33342-induced survivin transcription is a contributing factor to Hoechst33342 resistance.
MATERIALS AND METHODS
Cell culture and reagents
HeLa cervical epithelial carcinoma cells were maintained in Dulbecco's modified Eagle's medium (DMEM), while HCT116 colon cancer cells and U937 histiocytic lymphoma cells were maintained in RPMI1640, supplemented with 10% fetal bovine serum (Mediatech Cellgro, Herndon, VA, USA) and 100 units/ml of penicillin/100 μg/ml of streptomycin (Invitrogen, Carlsbad, CA, USA) in a humid atmosphere incubator with 5% CO2 at 37°C. Cells were routinely subcultured twice weekly. The anti-survivin antibody (FL-142) and anti-Gfi-1 antibody (N-20) were purchased from Santa Cruz (Santa Cruz, CA, USA). Hoechst33342, propidium iodide (PI), dimethyl sulfate (DMS), piperidine, 4′,6-diamidino-2-phenylindole (DAPI), Distamycin, anti-actin antibody and goat peroxidase-conjugated anti-rabbit IgG antibody were purchased from Sigma (St. Louis, MO, USA). Dual-Luciferase Reporter Assay System and T4 DNA ligase were purchased from Promega (Madison, WI, USA). Vent DNA polymerase and restriction enzymes were from New England Biolabs (Beverly, MA, USA). Lipofectamine™ 2000 reagents were purchased from Invitrogen (Carlsbad, CA, USA). Fugene HD transfection reagents were purchased form Roche (Indianapolis, IN, USA).
Ligand treatment and western blot
Cells were treated with Hoechst33342 using complete medium containing 10% fetal bovine serum (FBS) in all experiments. Western blot analysis of survivin and actin expression was performed as previously described (9). Survivin and actin signals were detected using an HRPL kit (National Diagnostics/LPS, Rochester, NY, USA) and visualized by autoradiography after various times (20–120 s) of exposure.
Total RNA isolation and northern blot
Total RNAs were isolated from cells with or without DNA-binding drug treatments. The mRNAs for survivin and glyceraldehydes 3-phosphate dehydrogenase (GAPDH) were analyzed by northern blot as we previously described (10).
Quantitative real-time PCR (real-time QPCR)
Total RNA was extracted from cells using the Absolutely RNA Miniprep kit (Stratagene, La Jolla, CA, USA). Total RNA (0.5 μg) was converted to cDNA using the StrataScript QPCR cDNA Synthesis Kit (Stratagene). Quantitative real-time PCR was performed using cDNA converted from 25 ng total RNA, and analyzed on the Applied Biosystems 7300 Real-Time PCR System to determine mRNA levels of survivin, Gfi-1 and actin (internal control). The iTaq SYBR Green Supermix with ROX (Bio-Rad, Hercules, CA, USA) was used for all real-time PCR reactions. The primers used in this study were: hSv5′P1 (GAGGCTGGCTTCATCCACTG) and hSv3′P2 (GCACTTTCTTCGCAGTTTCCTC) for the survivin PCR product (277 bp); Gfi1-f4 (AGCCGTGCACTCGCAGGAAC) and Gfi1-r4 (GTGAGGCTTCTCACCAGTGT) for the Gfi-1 PCR product (196 bp); and Actin-f (ATGGGTCAGAAGGATTCCTAT) and Actin-r (AAGGTCTCAAACATGATCTGGG) for the β-actin PCR product (242 bp). The real-time QPCR condition is 95°C for 3 min as a pre-denature step, followed by 40 PCR cycles at 95°C for 15 s and 60°C for 45 s. Data presented in this study was collected at 60°C applying a threshold of 0.002 and normalized to actin using the default RQ ddCt study software.
Contiguously nested deletion of the survivin promoter luciferase construct
Contiguous deletion of the region from 1430 to 649 bp in pLuc-1430c was carried out using the Erase-a-Base System (Promega, Madison, WI, USA). Briefly, pLuc-1430c (100–150 µg/ml) was entirely digested with Sal I, followed by filling-in with Klenow DNA polymerase (Promega) in the presence of α-phosphorothioate dNTP and 1 mM DTT. After heat inactivation of the enzyme, the end-blocked DNA was phenol extracted, ethanol precipitated and digested with BamH I, followed by a second phenol extraction and quantification. Five microgram of the digested DNA were incubated at 25°C in 60 µl Exo III digestion buffer containing 66 mM Tris/HCl (pH 8.0), 0.66 mM MgCl2 and 400 units of exonuclease III. Aliquots (2.5 µl) from the above solution were mixed with the S1 digestion buffer (7.5 µl) containing 40 mM potassium acetate (pH 4.6), 340 mM NaCl, 1.35 mM ZnSO4, 7% glycerol and S1 nuclease (300 units/ml) every 15–30 s intervals per time point. The aliquot mixtures from each time point were incubated at 22°C for 30 min, stopped with 1 µl of 0.3 M Tris-base and 0.05 M EDTA and heat inactivated for 10 min at 70°C. Contiguous deleted DNA samples from each time point were blunted with 100–150 units of Klenow/ml for 10 min at 37°C, re-ligated in 50 mM Tris/HCl (pH 7.6), 10 mM MgCl2, 1 mM ATP, 5% poly (ethylene glycol), 1 mM DTT and 5 units of T4 ligase/ml at 16°C overnight, and transformed into competent Escherichia coli by electroporation. The clones carrying progressive deletions from the 5′-end were identified by PCR amplifications of 10–20 colonies from each time point. The exact deletion sites in each clone containing the expected size were determined by sequencing.
Transfection and luciferase reporter assay
HeLa cells were seeded in 24-well plates (5 × 104 per well) and grown at ∼50–60% confluence for transfection. Each of the relevant survivin promoter-luciferase constructs generated previously (11) or in this study was cotransfected with pRL-TK (TK promoter-Renilla-luciferase construct, internal control) into cells as follows: Briefly, 490 ng of a pLuc-survivin construct and 10 ng of pRL-TK in 50 μl serum-free DMEM was mixed in a 1.5 ml tube containing 50 μl serum-free DMEM and 0.75 μl Lipofectamine™ 2000. After incubation at room temperature for 20–25 min, the DNA/Lipofectamine 2000 mixture (100 μl) was added to each well of 24-well plates, which already contained 400 μl DMEM complete growth medium. The DNA/Lipofectamine 2000 mixture was replaced by new complete growth medium after incubation for 6 h (replacing medium is not necessary but will decrease toxicity to transfected cells). Cells were treated with Hoechst33342 24 h after transfection. Cells were processed for luciferase assays 8–24 h after drug treatment. For the luciferase assay, a Dual-Luciferase Reporter Assay System (Promega) was used. The transfected cells in 24-well plates were washed with PBS and lysed with 200 μl 1 × passive lysis buffer on a shaker for up to 1 h at 4°C. Twenty microliter cell lysate per well was used to measure the Firefly and Renilla luciferase activity in a Luminometer by subsequently adding 20 μl luciferase assay reagent and 20 μl Stop-Glo reagent. Data were normalized to Renilla luciferase activity (internal control) as arbitrary units and plotted as a histogram from three independent experiments. For U937 cells, transfection of survivin promoter constructs was performed using Fugene HD Reagents (Roche). Two microgram DNA in 100 μl Opti-1 medium were mixed with 12 μl Fugene HD Reagent for 30 min at 25°C. The DNA–Fugene HD complex was then added into each well of a 6-well plate containing 2 million freshly seeded cells. We replaced media with or without drugs 6 h after transfection. Luciferase activity was measured 36 h after drug treatment.
MTT (3-[4,5-dimethylthiazol-2-yl]-2,5-diphenyltetrazolium bromide, a tetrazolium salt) assay for cell growth
HeLa cells were seeded in 96-well plates and grown to ∼40% of confluence. Cells were then treated with and without Hoechst33342 at various concentrations for 48 and 72 h. Cell viability was then determined using MTT assay as previously described (12,13). Cell absorbance in each well was determined at 570 nm with an Ultra Microplate Reader (Bio-Tek Instruments). Results are reported as the mean ± SD derived from 5–10 replicates at each time point.
In vivo footprinting
The ligation-mediated polymerase chain reaction (LM-PCR) was used for the in vivo footprinting experiment. LM-PCR was carried out as described elsewhere, with a number of modifications (8). Briefly, after cells were permeabilized with DMS and washed with PBS, they were treated with or without Hoechst33342 and were then lysed with lysis solution. Resultant lysates were incubated at 37°C for 3–16 h, and DNA was extracted with phenol/chloroform/isoamyl alcohol. The genomic DNA in the supernatant was precipitated with isopropanol and ethanol sequentially. The resulted DNA was re-dissolved and adjusted to a concentration of 0.5–2 μg/μl. DNA isolated from cells without Hoechst33342 treatment were treated with DMS and quenched with DMS stop solution. DNA derived from cells treated with Hoechst33342 was also mixed with DMS stop solution and was then precipitated with ethanol. The above wet DNA was dissolved and treated in 1M piperidine and was then precipitated with ethanol and isopropanol sequentially. The resultant purified DNA was resuspended in dH2O, dried in a SpeedVac and re-dissolved in TE to a concentration of 0.4–0.6 μg/μl for LM-PCR. Two linker primers (20 μM each), LM25 (GCGGTGACCCGGGAGATCTGAATTC) and LM11 (GAATTCAGATC), were annealed for LM-PCR. Three microgram of DNA template per reaction and Vent DNA polymerase were used for the first strand synthesis with atFP1 or atFPr1 (refer to Figure 3 for sequence information), followed by ligation of the annealing linker primer to the first strand DNA at 16°C overnight using T4 DNA ligase. Ten microgram yeast tRNA was added to the ligated DNA in each reaction, and the DNA was precipitated with ethanol. The resultant DNA was used as templates for PCR using LM25 and atFP2 or atFPr2 (refer to Figure 3) with Vent DNA polymerase for 21 PCR cycles, followed by 2 additional PCR cycles after adding γ-32P-ATP labeled atFP3 or atFPr3. The DNA in each reaction was extracted by phenol:chloroform:isoamyl alcohol, and the supernatant was evenly divided into three tubes. The DNA in each tube was precipitated with ethanol and dried by allowing evaporation in air. Each of the resultant samples was resuspended in 4–8 μl loading buffers and denatured at 90°C for 3–4 min. Two to four microliter for each sample was run on a 6% PAGE gel along with 32P-labeled ϕX174 DNA/Hinf I markers.
Figure 3.
Mapping the survivin promoter region that mediates Hoechst33342's effects on the induction of survivin promoter activity. (A) The 781-bp DNA region between pLuc-1430 and pLuc-649 was identified to mediate the upregulation of survivin promoter activity by Hoechst33342. HeLa cells were transfected with various survivin promoter-luciferase constructs as shown and treated with or without Hoechst33342 (5 μM) 24 h after transfection. Cells were lysed and luciferase activities were determined 24 h after treatment. (B) Nested deletion of the 781-bp DNA region between pLuc-1430 and pLuc-649 identified a 117-bp DNA region mediating a major effect of Hoechst33342. Transfection, drug treatment and luciferase assay are as in (A). In both (A) and (B), luciferase activities were normalized to Renilla luciferase internal controls as arbitrary units and are shown as a histogram. Each bar is the mean ± SD from the experiment in triplicate.
Isolation of cell nuclear extracts
The isolation of cell nuclear extracts was described in detail in our recent publication (8). Briefly, HeLa or U937 cells were scraped into ice-cold PBS and collected by centrifugation. Cell pellets were then gently resuspended with 3 × cpv (cells pellet volume) of the ice-cold buffer A, without TritonX-100, to wash the cells. Cells were then pelleted gently and resuspended well in 3 × cpv of ice-cold buffer A with 0.1% TritonX-100 (w/v). The resuspended cells were allowed to swell for 12–15 min on ice. Cell nuclei were then collected by centrifugation (3440 g) for 15 min at 2°C and resuspended in 1 × pnv (packed nuclei volume) of ice-cold buffer C. The cell suspension was incubated on ice (∼2°C) for 30 min with continuous mixing. The cell nuclear extracts (supernatant) were collected by centrifugation at 25 000 g for 30 min at 2°C. The nuclear extracts were frozen in liquid nitrogen in aliquots (50–100 μl/each 1.5 ml tube) and stored at −80°C for gel shift experiments.
Electrophoretic gel mobility shift assay (EMSA)
The EMSA protocol used in this study was described in detail in our recent publication (8). Briefly, DNA oligonucleotides (H369W, 5′ACA CAC TGA TTT TTT TTT TAA TAG GCT G3′) were labeled at the 5′-end with [γ-32P]ATP and used as probes. Nuclear extracts (8–15 μg) were pre-incubated in the binding buffer for 20 min at 25°C in a volume of 19 μl with and without unlabeled oligonucleotide competitors in the presence and absence of Hoechst33342, or in the presence and absence of anti-Gfi-1 antibody (EMSA supershift assay). After addition of 1 μl labeled DNA (1–2 × 105 c.p.m.), the mixture was incubated for an additional 20 min at 25°C. Each reaction mixture was then run on a 4% non-denaturing polyacrylamide gel and electrophoresed at 200 V in 1 × TBE buffer at 25°C for 1–2 h. To determine the direct interaction of the 28-bp H369W DNA element with Hoechst33342, the reaction was run on a 12% instead of a 4% non-denaturing polyacrylamide gel. Gels were peeled off with Waterman paper and covered by Saran wrap, followed by autoradiography to visualize the protein–DNA interaction complexes. The DNA sequences for Sp-1 and Gfi-1 used as cold DNA competitors in this study are 5′- ATT CGA TCG GGG CGG GGC GAG C-3′ for Sp-1, and 5′- GAG TCC TAA ATC ACT GCA CCT GA-3′ for Gfi-1, respectively.
Transfection of survivin-targeting expression vectors and cell death assay
The expression vectors for survivin dominant-negative mutant (C84A) (14) and survivin small hairpin RNA (shRNA) (pG-shRNA1L) (15) were characterized previously. HeLa cells were seeded in 12-well plates (1 × 105 per well) for fluorescence microscopy studies. Cells at ∼40–50% confluence were transfected with either pEGFPc1 (control vector, Clontech) or with the expression vectors survivin C84A (pG-C84A) or survivin shRNA (pG-shRNA1L) (15). Briefly, 1 μg vector DNA in 100 μl serum-free DMEM was mixed with 1.8 μl Lipofectamine™ 2000 in 100 μl serum-free DMEM in a 1.5 ml tube for each well of 12-well plates. The DNA/Lipofectamine™ 2000 mixture was added to each well containing 600 μl complete cell growth medium after incubation at room temperature for 20–40 min. The DNA/Lipofectamine™ 2000 complex was replaced by complete growth medium after incubation for 6 h (replacement of medium, while not imperative, decreases non-specific toxicity). Twenty-four hours after transfection, cells were treated with Hoechst33342 for 16 h. Cells were fixed with 4% paraformaldehyde containing 0.25% TritonX-100 for 10 min, mounted using mounting solution containing 0.05% DAPI and sealed with round cover glasses.
Statistical analysis
A two-group t-test was performed for a pairwise comparison of each experimental group with the control assuming equal variance. When necessary, a square-root transformation was applied to standardize the residuals to be approximately normal. The significance (P-value) was set at the nominal level of less than or equal to 0.05.
RESULTS
Hoechst33342 upregulates the expression of survivin protein, mRNA and promoter activity
We previously reported that hedamycin, a GC-rich sequence-selective DNA-binding antitumor agent, downregulates survivin expression and its promoter activity in cancer cells (8). In contrast with this finding, we show here that treatment of HeLa and HCT116 cancer cells with Hoechst33342, an AT-rich sequence-selective DNA-binding ligand, increased survivin protein level (Figure 1A) and its mRNA level (Figure 1B) as determined by western and northern blots, respectively. We further confirmed these data by real-time QPCR in HeLa cells (Figure 1C) as well as in U937 cells (Figure 1D). To determine whether survivin mRNA increase reflects survivin transcriptional regulation, we subsequently performed survivin promoter-luciferase reporter assay, which indicated that Hoechst33342 ligand indeed increases survivin promoter activity (Figure 1E). These results are not only consistent with the differential sensitivity of cell death to different DNA-binding ligands (Figure 2), but also suggest a potential mechanism underlying cancer cell resistance following exposure to Hoechst33342, which correlates with the transcriptional upregulation of the survivin gene by Hoechst33342.
Figure 1.
Hoechst33342 upregulates survivin expression and its promoter activity (A) Hoechst33342 induces the expression of survivin protein. HeLa and HCT116 cells were treated as indicated for 20 h. Survivin expression was determined by western blots. β-actin expression was used as an internal control for total protein loading. (B) Hoechst33342 induces survivin mRNA expression. HeLa cells were treated as indicated. Survivin mRNA expression was determined by northern blots. GAPDH mRNA expression was used as an internal control for total RNA loading. (C) and (D) Quantitative real-time PCR. The induction of survivin mRNA expression by Hoechst33342 in HeLa cells (C) and in U937 cells (D). Real-time QPCR was performed as described in the Materials and methods section. Each bar is the mean ± SD derived from three independent assays. (E) Hoechst33342 upregulates survivin promoter activity. HeLa cells were transfected with the survivin promoter-luciferase construct, pLuc-6270 together with the internal control vector, pRL-TK. Cells were then treated with Hoechst33342 as indicated for 24 h. Luciferase activities were measured using the Dual Luciferase Reporter System (Promega). Data were derived from the experiment in triplicate after normalization to the Renilla luciferase activities (internal control) and are shown as a histogram. Each bar is the mean ± SD (standard deviation).
Figure 2.
Comparison of the cytotoxicity of Hoechst33342 with hedamycin HeLa cells were seeded in 24-well plates and grown to a 50% of confluence. Cells were then treated with and without various concentration of Hoechst33342 (A) or hedamycin (B) as shown. Cell images were taken under an inverted phase-contrast microscope with a digital camera at 24 and 48 h after treatment. (C) HeLa cell growth inhibition after Hoechst33342 treatment. Cells were seeded in 96-well plates and grown to ∼40% of confluence. Cells were then treated with and without Hoechst33342, as shown. Cell viability was determined by MTT assay. Absorbance at 570 nm for the control (no Hoechst33342) is set as 1 and results are reported in a histogram (the mean ± SD from 5–10 measurements for each point).
A 117-bp DNA element between pLuc-956 and pLuc-839 plays a major role in Hoechst33342-induced survivin promoter activity
To investigate the mechanism by which Hoechst33342 upregulates survivin expression and promoter activity (Figure 1), a series of truncated survivin promoter-luciferase constructs previously characterized (11) were transfected into HeLa cells, and treated with or without Hoechst33342 for 24 h, followed by a quantification of luciferase activity. The experiment revealed that a 718-bp DNA fragment between pLuc-1430 and pLuc-649 constructs appears to mediate the effect of Hoechst33342 on the induction of survivin promoter activity (Figure 3A). Next, we performed a detailed contiguous deletion from 1430 to 649 in the survivin promoter-luciferase construct. The resultant new survivin promoter-luciferase constructs were transfected into HeLa cells, followed by Hoechst33342 treatment and luciferase activity assays. The experiment further revealed that the 117-bp DNA element between pLuc-956 and pLuc-839 mediates a major effect of Hoechst33342 on the upregulation of survivin promoter activity (Figure 3B).
In vivo footprinting revealed an alteration of DNA–protein interactions in an AT-rich DNA element after Heochst33342 treatment
Next, we employed the ligation-mediated (LM)-PCR in vivo footprinting technique to determine whether Hoechst33342 could alter the DNA–protein interactions in the functionally identified 117-bp DNA element (Figure 4A). The in vivo footprinting analyses indicated that Hoechst33342 treatment increases the sensitivity of cells to DMS-mediated piperidine digestion at the AT-rich DNA element within the 117-bp DNA region (compare lane 2 with lane 1, Figure 4B). This result is consistent with the fact that there is only one AT-rich DNA element in the functionally identified 117-bp DNA element (Figure 4A).
Figure 4.
In vivo footprinting identified the alteration of DNA–protein interactions in an AT-rich DNA element in the functionally identified 117-bp fragment after Hoechst33342 treatment. (A) DNA sequences from −779 to −1108 containing the functionally identified 117-bp DNA fragment. The primers used for LM-PCR and the 28-bp AT-rich DNA element in bold are indicated. (B) Hoechst33342 protected an AT-rich DNA element from in vivo DMS-mediated piperidine digestion. HeLa cells were treated with (lane 2) or without (lane 1) 50 nM Hoechst33342 for 16 h and then processed DMS-mediated piperidine digestions and LM-PCR. Positions of the AT-rich DNA element and the protected band in lane 1 from forward (atFP3) and reverse (atFPr3) directed LM-PCR are indicated.
Hoechst33342 binds to the 28-bp AT-rich DNA element and alters its DNA–protein interactions
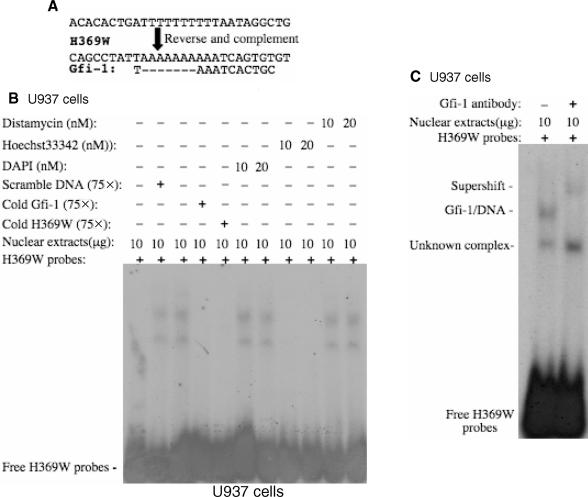
Next, we tested whether Hoechst33342 indeed binds to the 28-bp AT-rich DNA element (designated as H369W) using EMSA experiments. Consistent with the fact that Hoechst33342 has a net positive charge in aqueous solution together with a unique pattern of H-bond acceptors/donors presented by a concave surface (Figure 5A), EMSA experiments revealed that Hoechst33342 strongly binds to H369W (Figure 5B). To test whether any transcription repressor protein binds to this 28-bp AT-rich DNA element, with which Hoechst33342 treatment might interfere, we searched for potential transcription factor-binding sites in H369W and found that the consensus DNA-binding site for the transcription repressor protein Gfi-1 is highly homologous to a part of the 28-bp AT-rich DNA element (Figure 6A). To test whether the Gfi-1 protein or Gfi1-like proteins may bind to the H369W DNA element, a competitive EMSA was performed using HeLa cell nuclear extracts. This experiment showed that cold canonical Gfi-1 oligonucleotides competed with the DNA–protein complex, while the cold canonical Sp-1 oligonucleotides were unable to compete with the DNA–protein complex (not shown). It was previously reported that U937 cells highly express Gfi-1 proteins (16). Therefore, nuclear extracts isolated from U937 cells were also used in EMSA. The results from this cell type indicated that both the cold H369W DNA element and the canonical DNA motif for Gfi-1 binding could effectively compete with the DNA–protein complex, while the non-specific (scramble) DNA could not do so (Figure 6B). Further, consistent with the data from in vivo footprinting showing that Hoechst33342 treatment sensitizes this DNA element to DMS-mediated piperidine digestion at the H369W AT-rich DNA element (Figure 4), Hoechst33342 was able to compete with the H369W–protein complex, while DAPI and Distamycin failed to do so under these conditions (Figure 6B), even though both were shown to bind to AT-rich DNA sequences (17,18). These observations strongly point to the specificity of the interaction between Hoechst33342 and H369W. The presence of Gfi-1 proteins in the DNA–protein complex was further confirmed by gel supershift assay experiments in which a supershift band appeared in the presence of Gfi-1 antibody (Figure 6C). Thus, the protein binding to H369W probes shown in Figure 6B at least partially represents the Gfi-1 suppressor's binding to this DNA motif. Using U937 cells, we further demonstrated that Hoechst33342 could effectively upregulate survivin promoter activity only from the pLuc-957 construct containing the H369W motif, while it failed to do so from the pLuc-839 construct lacking the H369W motif (Figure 6D). Moreover, consistent with the fact that Gfi-1 expression is much higher in U937 cells than that in HeLa cells, Hoechst33342 showed a stronger upregulation of survivin promoter activity in U937 cells (Figure 6D) as compared to HeLa cells (Figure 3B). Additionally, real-time QPCR (Figure 6E) and western blot analysis (Figure 6F) indicated that Hoechst33342 is unable to downregulate Gfi-1 mRNA (which actually increases) or protein expression. Finally, a Bioinformatics search in the whole human genome revealed that the 28-bp AT-rich motif is highly conserved in the putative promoter region of the cell division cycle associated 2 gene and a hypothetical gene. Further, this DNA motif is also conserved (≥20 bp) in the first intron of other human genes (see Discussion section for more detail). Together, these observations imply that the identified DNA element may represent a functional motif for gene transcription control in general.
Figure 5.
Hoechst33342 directly binds to the 28-bp AT-rich DNA element. (A) Structure of the Hoechst33342 ligand. (B) EMSA shows the direct interaction of the 28-bp AT-rich DNA element (H369W) with Hoechst33342. The 28-bp H369W AT-rich DNA probe in the absence (lane 1) or presence (lanes 2–4, 1, 10 and 100 nM) of Hoechst33342 was run on a 12% non-denatured PAGE gel.
Figure 6.
Hoechst33342 disrupts the interaction of Gfi-1 or Gfi-1 like proteins with the 28-bp AT-rich DNA element (H369W). (A) H369W harbors a Gfi-1-like DNA-binding site. (B) Hoechst33342 abrogates the interaction of Gfi-1 or Gfi-1 like proteins with the H369W DNA element. DNA–protein-binding reactions were run on a 4% non-denatured PAGE gel. Combinations of the H369W DNA element probe with nuclear extracts, Hoechst33342, specific DNA competitors (cold H369W or cold Gfi-1) and non-specific competitors (scramble DNA oligonucleotides) as well as two other ligands (DAPI and Distamycin) are indicated. (C) Gfi-1 antibodies supershift the upper H369W–protein complex. The experiment condition is as in (B). As indicated, in the presence of anti-Gfi-1 antibody, the upper DNA–protein complex was supershifted (see Discussion section for the lower band). (D) Hoechst33342 strongly induces survivin promoter activity in pLuc-957 possessing the 28-bp DNA element, while it has no significant effect on survivin promoter activity in the pLuc-839 construct without the 28-bp DNA element. The histogram data were derived from three independent experiments. Each bar is the mean ± SD. (E) and (F) Hoechst33342 induces Gfi-1 mRNA expression (E), while it has no significant effect on Gfi-1 protein expression (F). Data in (E) represents real-time QPCR from three independent testing. Each bar is the mean ± SD. Data in (F) is western blot analysis. Actin is the internal protein loading control.
Upregulation of survivin by Hoechst33342 is a drug-resistant factor
To investigate whether upregulation of survivin by Hoechst33342 is involved in Hoechst33342 resistance and debilitates Hoechst33342's effects on cell-death induction, we took advantage of the previously characterized survivin antagonists, C84A dominant-negative mutant (14) or survivin shRNA (15). We transfected these expression vectors into HeLa cells to counteract the induction of survivin expression by Hoechst33342. Cell death (condensed small nuclei) in the transfected cells (green) was then monitored under a fluorescence microscope. These experiments indicated that, in comparison with the empty vector-transfected control cells, targeting survivin significantly increased the percentage of cells with condensed small nuclei (an apoptotic hallmark) after Hoechst33342 treatment (Figure 7A and B). These observations suggest that induction of survivin expression by Hoechst33342 plays a role in Hoechst33342-resistance and, moreover, counteracting the Hoechst33342-mediated induction of survivin with survivin antagonists, sensitizes cancer cells to ligand-induced death. Consistent with this conclusion, pretreatment of HeLa cells with a low concentration (sufficient to induce survivin expression but not to cause cell death, compare Figure 8A-b and Figure 8A-c) of Hoechst33342 in order to counteract the downregulation of survivin by hedamycin, suppressed hedamycin-induced cell death (Figure 8A and B). Furthermore, the survivin promoter-luciferase activity assay indicated that pretreatment of cells with Hoechst33342 has a superior ability to inhibit the downregulation of survivin promoter activity, achieved with hedamycin, as compared to concurrent treatment of cells with these two drugs (Figure 8C, compare lanes 2, 3 with lanes 5, 6). Conversely, it appears that hedamycin can also attenuate the Hoechst33342-mediated induction of survivin promoter activity (Figure 8C, compare lanes 2, 3 with lanes 7, 8).
Figure 7.
Targeting survivin by survivin dominant-negative mutant (C84A) or survivin shRNA sensitizes cells to Hoechst33342-induced cell death. (A) HeLa cells at 40–50% confluence were transfected with control vector (pEGFPc1) or with expression vectors for survivin C84A or survivin shRNA as indicated. Twenty-four hours after transfection, cells were treated with or without Hoechst33342 (500 nM) for 16 h. Cells were then fixed and stained with DAPI. Apoptotic cells (condensed small nuclei) in the transfected (green) cells were morphologically evaluated. Examples of non-apoptotic cells (upper panel) and apoptotic cells (middle and lower panels) with EGFP positive (green) are arrowed. (B) The histogram shows the percentage of cell death in each condition derived from the calculation of dead cells among total green cells from four microscopic fields. Each bar is the mean ± SD from three independent calculations.
Figure 8.
A low concentration of Hoechst33342 protects cells from death induced by hedamycin. (A) HeLa cells were equally seeded in 24-well plates. Cells grown to 70–80% confluence were treated without (a) and with Hoechst33342 (b), hedamycin (c) or Hoechst33342/hedamycin combination (d) as shown. Note: Hoechst33342 was added 2 h before adding hedamycin. Images were taken 36 h after adding hedamycin. (B) Trypan blue exclusion assays were used to count the number of alive cells after treatment in (A). Data presented in a histogram are the mean ± SD derived from three independent well countings. (C) Modulation of survivin promoter activity by hedamycin (Hed) and Hoechst33342 (Hoe) alone and in combination. HeLa cells were transfected with survivin promoter-luciferase construct pLuc-1430. Cells were treated with Hed (0.5 and 1 nM) and Hoe (250 nM) alone or in combination as shown. Luciferase activity was measured 36 h after drug treatment. Each bar in the histogram is the mean ± SD derived from three independent testings. Seq, sequentially (Hed was added to cells after Hoe treatment for 2 h); con, concurrently.
DISCUSSION
It is known that expression of survivin in cancer is associated with cancer progression and drug resistance (6). Inhibition of survivin expression or survivin function appears to be important for cancer treatment (19). Current studies indicate that various transcriptional factors and/or signaling molecules appear to transcriptionally and post-transcriptionally control the expression of survivin (20). Importantly, growing evidence reveals that the transcriptional and/or post-transcriptional regulation of survivin expression appears to be different in cancer cells versus normal cells (20,21). This important insight could provide exciting opportunities for cancer therapy without or with low toxicity to normal cells and tissues. Additionally, given the multiple subcellular localizations and multiple functions of survivin (4,6), both understanding survivin transcriptional control at the molecular level and finding an easy way to modulate survivin transcription, has significant translational implications for the development of novel approaches for cancer treatment. We recently reported that a GC-rich sequence-selective DNA-binding antitumor agent, hedamycin, transcriptionally downregulates survivin expression through abrogation of Sp-1 or Sp1-like proteins, which bind to a 21-bp GC-rich motif in the survivin core promoter region and, that downregulation of survivin transcription by hedamycin, is associated with the enhancement of hedamycin's effectiveness to induce cancer cell death (8). In the current study, we have characterized the effect of Hoechst33342, an AT-rich sequence-selective DNA-binding ligand, on the regulation of survivin gene transcription. We found that in contrast to the inhibition of survivin transcription by hedamycin, Hoechst33342 increases survivin protein, mRNA and promoter activity (Figure 1). Importantly, this opposite or inverse modulation of survivin promoter activity by hedamycin compared to Hoechst33342 is achieved using an equi-cytotoxic concentration of the ligands, respectively. An equi-toxic concentration allowed us to make the unambiguous conclusion that the opposite effect on survivin expression is attributable to the opposite actions of the hedamycin and Hoechst33342. Specifically, Hoechst33342 upregulates survivin promoter activity at concentrations of 5, 10 and 20 μM (Figure 1E), while hedamycin in the equi-cytotoxic range of concentrations (Figure 2) of 10, 25 and 50 nM strikingly downregulates survivin promoter activity (8). Using survivin promoter-luciferase reporter assay, in vivo footprinting, and EMSA experiments, we identified a 28-bp AT-rich DNA element (H369W) in which Hoechst33342 interacted with and abrogated DNA–protein interactions at this locus (Figures 3–6). Our in vivo footprinting experiments revealed that Hoechst33342 treatment sensitizes the H369W AT-rich DNA element to DMS-mediated piperidine digestion, suggesting the abrogation of the DNA–protein interaction within the region (Figure 4). This in vivo data were further confirmed by the in vitro DNA–protein interaction experiments (Figures 5–6). Using U937 cell nuclear extracts, we demonstrated that the cold canonical Gfi-1 binding DNA motif could compete with the H369W DNA–protein complex while the scramble DNA failed to do so (Figure 6B). Consistently, the canonical Gfi-1 transcriptional repressor-binding site is highly conserved in the 28-bp AT-rich DNA element (H369W, Figure 6A). This may explain the high efficiency of cold canonical Gfi-1 binding DNA oligonucleotides to compete with the H369W–protein complexes in the EMSA experiment (Figure 6B). It is likely that Gfi-1 or Gfi1-like proteins bind to the H369W AT-rich DNA element before Hoechst33342 treatment. This was further confirmed by gel supershift assay experiments (Figure 6C). However, we notice that while cold canonical Gfi-1 or H369W oligonucleotides effectively competed with the DNA–protein complexes (Figure 6B), anti-Gfi-1 antibody was only able to supershift the upper band but not the lower band (Figure 6C). A couple of possibilities may account for this inconsistency. First, the anti-Gfi-1 antibody we used in this study may not be able to recognize Gfi1-like protein. Second, the proteins in the lower band may be irrelevant to Gfi-1 or Gfi1-like proteins. In any case, the lower DNA–protein complex band shown in Figure 6C is unlikely a non-specific DNA–protein complex since cold non-specific/scramble DNA could not compete with this DNA–protein complex but both cold canonical Gfi-1 and H369W oligonucleotides could do so (Figure 6B). Nevertheless, the involvement of the identified 28-bp AT-rich DNA element (H369W) in survivin gene regulation was further supported by the fact that Hoechst33342 could upregulate survivin promoter activity from the pLuc-957 survivin promoter-luciferase construct containing the H369W motif but not from the pLuc-839 construct lacking H369W motif (Figure 6D).
The possibility that Gfi-1 may suppress survivin gene transcription is suggested in the literature as well. For example, it has been demonstrated that Gfi-1 restricts hematopoietic stem cell proliferation (22–24) and consistently, survivin is known to be involved in the promotion of cell proliferation (6). It is possible that Gfi-1 inhibits cell proliferation through the suppression of survivin gene transcription. Thus, one explanation for the Hoechst33342-mediated increase survivin promoter activity is that the interaction of Hoechst33342 with the H369W AT-rich DNA element results in the dissociation of Gfi-1 or Gfi-1-like proteins from H369W, enhancing the permissiveness for survivin transcription. Here, we should point out that the characterized 28-bp AT-rich DNA elements may not be the only DNA element involved in Hoechst33342's effects on the upregulation of survivin promoter activity, although this DNA element appears to play a major role. For example, based on the functional data shown in Figure 3B, the DNA fragment between pLuc-1332 and pLuc-1242 appears to be involved in the ligand's effect on survivin promoter activity as well. Consistent with this notion, there is an AT-rich DNA sequence within this region (−1303TACTAAAAATACAAAAATTA−1284).
It was previously reported that Hoechst33342 could affect the initiation of RNA polymerase II activity by altering the formation of the TATA-box binding protein (TBP) within the TATA box motif from the adenovirus-major-late-promoter in EMSA experiments (25). The presence of Hoechst33342 (26.7 μM) decreased the amount of the control complex and increased the presence of lower molecular weight species, suggesting the degradation of nuclear TBP and/or the release of other transcription factors from the complex (25). However, the above finding is unlikely to explain Hoechst33342's effects on survivin transcription. This is because the survivin promoter is a GC-rich promoter without a TATA-box motif. While there is no TATA-box motif within the survivin core promoter, several AT-rich elements exist upstream of the GC-rich core promoter region of survivin. One of these AT-rich elements is the 28-bp cis-acting motif identified in this report (designated as H369W). Interestingly, in addition to the previous finding that Hoechst33342 interferes with the TBP/TATA-box motif complex formation to suppress gene transcription (25), our experiments suggest an alternative ligand–DNA–protein interaction model in which Hoechst33342 actually displaces Gfi-1 or Gfi-1-like transcription suppressor proteins from the 28-bp AT-rich DNA element. However, we should point out that while our study identified a role of the 28-bp AT-rich DNA element in survivin gene transcription, this study has not excluded potential roles of other AT-rich sequences in survivin transcriptional controls. Furthermore, in the EMSA experiment both distamycin and DAPI at their equal concentrations to that of Hoechst33342 (10–20 nM) were unable to compete with the DNA–protein complexes (Figure 6B). This does not exclude the possibility that at higher concentrations, distamycin or DAPI would still be unable to do so. Our experiments indicate that distamycin, at very high concentrations (10–400 μM), enhances survivin promoter activity (not shown), with the highest increase in survivin promoter activity at 400 μM. But this is in striking contrast to the dynamic pattern for Hoechst33342 in this study (Figure 1E). Additionally, DAPI at the tested concentrations of 2, 10, 20, 100 and 1000 nM showed no effect on survivin promoter activity. These observations argue for the differential specificity for these ligand actions.
Hoechst33342 has been reported to be a cell death-inducing agent (26). However, our experiments show that, compared to hedamycin, Hoechast33342 appears to be much less potent. Our data shown in Figure 2 indicate that hedamycin is at least over a hundred times more effective than Hoechst33342 at inducing cancer cell death. This is consistent with our observation that hedamycin downregulates but Hoechst33342 upregulates the expression of survivin. To determine whether upregulation of survivin by Hoechst33342 indeed contributes to Hoechst33342 resistance, we took advantage of our previously characterized survivin antagonists (14,15) to counter the induction of survivin by Hoechst33342 during treatment (Figure 7). Consistent with our previous finding that taxol/paclitaxel upregulates survivin, which increases cell viability and drug resistance (9), forced expression of survivin antagonists sensitized cells to death induced by Hoechst33342 (Figure 7). Given that survivin requires its Baculovirus IAP Repeat (BIR) domain to inhibit apoptosis and promote cell division, the sensitization of cells to drug-induced death could be either due to the induction of apoptosis or through forcing cells into a state (such as growth arrest), in which cells are easily attacked by antitumor agents. Nevertheless, using a low concentration of Hoechst33342 that does not induce cell death but substantially upregulates the expression of survivin, we demonstrated that Hoechst33342 at this concentration alleviates hedamycin-induced cell death, apparently a consequence of the induction of survivin expression by Hoechst33342. Together, these observations suggest that upregulation of the drug-resistant factor survivin by Hoechst33342 diminishes the effectiveness of the Hoechst33342 ligand to induce cell death.
Finally, it would be interesting to know if the identified 28-bp DNA element has general roles in transcriptional control of other genes. A comprehensive sequence search of the whole human genome indicated that the 28-bp AT-rich DNA element is highly conserved (≥20 bp of identify) in the putative promoter region of the CDCA2 (cell division cycle associated 2) gene as well as in the first intron of 17 additional human genes. Examples of these genes include the syndecan-binding protein (Syntenin/SDCBP), which was found to promote cell migration in metastatic breast and gastric cancer cells (27), and the target of the myb1-like2 (TOM1L2) gene. Together, these findings argue that the identified AT-rich DNA element may play an important role in the regulation of gene transcription in general.
In conclusion, in this report, we have exposed a novel molecular mechanism by which Hoechst33342 upregulates survivin transcription. Our finding may provide new opportunities for the development of novel approaches and/or new ligands to modulate the expression of the survivin gene for cancer treatment.
ACKNOWLEDGEMENT
We would like to thank Dr Brian Bundy for helping with the statistical analyses of the relevant data in this study and Dr Terry Beerman for providing DNA-binding drugs for the initial studies. This work was sponsored in part by an NIH R01 Grant (CA109481), the Concern Foundation (Beverly Hill, CA, USA) Grant and the Susan G. Komen Foundation Grant (BCTR63806) to FL as well as a NIH CCSG Core Grant (CA16056) to Rowell Park Cancer institute. Funding to pay the Open Access publication charges for this article was provided by NIH/NCI R01 Grant (CA109481).
Conflict of interest statement. None declared.
REFERENCES
- 1.Deveraux QL, Reed JC. IAP family proteins – suppressors of apoptosis. Genes Dev. 1999;13:239–252. doi: 10.1101/gad.13.3.239. [DOI] [PubMed] [Google Scholar]
- 2.Liston P, Fong WG, Korneluk RG. The inhibitors of apoptosis: there is more to life than Bcl2. Oncogene. 2003;22:8568–8580. doi: 10.1038/sj.onc.1207101. [DOI] [PubMed] [Google Scholar]
- 3.Salvesen GS, Duckett CS. IAP proteins: blocking the road to death's door. Nat. Rev. Mol. Cell. Biol. 2002;3:401–410. doi: 10.1038/nrm830. [DOI] [PubMed] [Google Scholar]
- 4.Li F. Survivin study: what is the next wave? J. Cell. Physiol. 2003;197:8–29. doi: 10.1002/jcp.10327. [DOI] [PubMed] [Google Scholar]
- 5.Altieri DC. Survivin, versatile modulation of cell division and apoptosis in cancer. Oncogene. 2003;22:8581–8589. doi: 10.1038/sj.onc.1207113. [DOI] [PubMed] [Google Scholar]
- 6.Li F, Ling X. Survivin study: an update of “What is the next wave?”. J. Cell. Physiol. 2006;208:476–486. doi: 10.1002/jcp.20634. [DOI] [PMC free article] [PubMed] [Google Scholar]
- 7.Li F. Role of survivin and its splice variants in tumorigenesis. Br. J. Cancer. 2005;92:212–216. doi: 10.1038/sj.bjc.6602340. [DOI] [PMC free article] [PubMed] [Google Scholar]
- 8.Wu J, Ling X, Pan D, Apontes P, Song L, Liang P, Altieri DC, Beerman T, Li F. Molecular mechanism of inhibition of survivin transcription by the GC-rich sequence selective DNA-binding antitumor agent, hedamycin: evidence of survivin downregulation associated with drug sensitivity. J. Biol. Chem. 2005;280:9745–9751. doi: 10.1074/jbc.M409350200. [DOI] [PMC free article] [PubMed] [Google Scholar]
- 9.Ling X, Bernacki RJ, Brattain MG, Li F. Induction of survivin expression by taxol (paclitaxel) is an early event which is independent on taxol-mediated G2/M arrest. J. Biol. Chem. 2004;279:15196–15203. doi: 10.1074/jbc.M310947200. [DOI] [PubMed] [Google Scholar]
- 10.Li F, Ling X, Huang H, Brattain L, Apontes P, Wu J, Binderup L, Brattain MG. Differential regulation of survivin expression and apoptosis by vitamin D(3) compounds in two isogenic MCF-7 breast cancer cell sublines. Oncogene. 2005;24:1385–1395. doi: 10.1038/sj.onc.1208330. [DOI] [PMC free article] [PubMed] [Google Scholar]
- 11.Li F, Altieri DC. Transcriptional analysis of human survivin gene expression. Biochem. J. 1999;344(Pt 2):305–311. doi: 10.1042/0264-6021:3440305. [DOI] [PMC free article] [PubMed] [Google Scholar]
- 12.Ling X, Yang J, Tan D, Ramnath N, Younis T, Bundy BN, Slocum HK, Yang L, Zhou M, et al. Differential expression of survivin-2B and survivin-DeltaEx3 is inversely associated with disease relapse and patient survival in non-small-cell lung cancer (NSCLC) Lung Cancer. 2005;49:353–361. doi: 10.1016/j.lungcan.2005.03.037. [DOI] [PMC free article] [PubMed] [Google Scholar]
- 13.Ghadersohi A, Pan D, Fayazi Z, Hicks DG, Winston JS, Li F. Prostate-derived Ets transcription factor (PDEF) downregulates survivin expression and inhibits breast cancer cell growth in vitro and xenograft tumor formation in vivo. Breast Cancer Res. Treat. 2006;102:19–30. doi: 10.1007/s10549-006-9314-9. (Aug 8, Epub ahead of hard copy) [DOI] [PMC free article] [PubMed] [Google Scholar]
- 14.Li F, Ambrosini G, Chu EY, Plescia J, Tognin S, Marchisio PC, Altieri DC. Control of apoptosis and mitotic spindle checkpoint by survivin. Nature. 1998;396:580–584. doi: 10.1038/25141. [DOI] [PubMed] [Google Scholar]
- 15.Ling X, Li F. Silencing of antiapoptotic survivin gene by multiple approaches of RNA interference technology. BioTechniques. 2004;36:450–454. doi: 10.2144/04363RR01. 456–460. [DOI] [PubMed] [Google Scholar]
- 16.Duan Z, Horwitz M. Targets of the transcriptional repressor oncoprotein Gfi-1. Proc. Natl Acad. Sci. USA. 2003;100:5932–5937. doi: 10.1073/pnas.1031694100. [DOI] [PMC free article] [PubMed] [Google Scholar]
- 17.Portugal J, Waring MJ. Assignment of DNA binding sites for 4′,6-diamidine-2-phenylindole and bisbenzimide (Hoechst 33258). A comparative footprinting study. Biochim. Biophys. Acta. 1988;949:158–168. doi: 10.1016/0167-4781(88)90079-6. [DOI] [PubMed] [Google Scholar]
- 18.Schmid M, Feichtinger W, Deubelbeiss C, Weller E. The fragile site (17)(p12): induction by AT-specific DNA-ligands and population cytogenetics. Hum. Genet. 1987;77:118–121. doi: 10.1007/BF00272376. [DOI] [PubMed] [Google Scholar]
- 19.Li F. Survivin, other IAPs, Smac/DIABLO, and Omi/HtrA2 – modulation of the advancing apoptotic process. In: Los M, Gibson SB, editors. “Apoptotic pathways as target for novel therapies in cancer and other diseases”. New York: Kluwer Press; 2005. pp. 137–155. (ISBN: 0-387-23384-9) [Google Scholar]
- 20.Zhang M, Yang J, Li F. Transcriptional and post-transcriptional controls of survivin in cancer cells: novel approaches for cancer treatment. J. Exp. Clin. Cancer Res. 2006;25:391–402. [PMC free article] [PubMed] [Google Scholar]
- 21.Spaulding B, Pan D, Ghadersohi A, Nielsen G, Jensen S, Gellert F, Ling X, Zhang M, Black A, et al. Characterization of the 12C4 survivin monoclonal antibody and insight into the expression of survivin in human adult tissues. Histopathology. 2006;49:622–633. doi: 10.1111/j.1365-2559.2006.02556.x. [DOI] [PMC free article] [PubMed] [Google Scholar]
- 22.Hock H, Hamblen MJ, Rooke HM, Schindler JW, Saleque S, Fujiwara Y, Orkin SH. Gfi-1 restricts proliferation and preserves functional integrity of haematopoietic stem cells. Nature. 2004;431:1002–1007. doi: 10.1038/nature02994. [DOI] [PubMed] [Google Scholar]
- 23.Zeng H, Yucel R, Kosan C, Klein-Hitpass L, Moroy T. Transcription factor Gfi1 regulates self-renewal and engraftment of hematopoietic stem cells. EMBO J. 2004;23:4116–4125. doi: 10.1038/sj.emboj.7600419. [DOI] [PMC free article] [PubMed] [Google Scholar]
- 24.Moroy T. The zinc finger transcription factor Growth factor independence 1 (Gfi1) Int. J. Biochem. Cell. Biol. 2005;37:541–546. doi: 10.1016/j.biocel.2004.08.011. [DOI] [PubMed] [Google Scholar]
- 25.Zhang X, Kiechle FL. Hoechst 33342 induces apoptosis and alters tata box binding protein/DNA complexes in nuclei from BC3H-1 myocytes. Biochem. Biophys. Res. Commun. 1998;248:18–21. doi: 10.1006/bbrc.1998.8906. [DOI] [PubMed] [Google Scholar]
- 26.Zhang X, Kiechle FL. Hoechst 33342-induced apoptosis is associated with intracellular accumulation of E2F-1 protein in BC3H-1 myocytes and HL-60 cells. Arch. Pathol. Lab. Med. 2001;125:99–104. doi: 10.5858/2001-125-0099-HIAIAW. [DOI] [PubMed] [Google Scholar]
- 27.Koo TH, Lee JJ, Kim EM, Kim KW, Kim HD, Lee JH. Syntenin is overexpressed and promotes cell migration in metastatic human breast and gastric cancer cell lines. Oncogene. 2002;21:4080–4088. doi: 10.1038/sj.onc.1205514. [DOI] [PubMed] [Google Scholar]









