Abstract
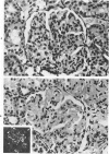
In the present work, 42 golden hamsters (Mesocricetus auratus) were infected by intracardiac injection of 5 X 10(6) amastigote forms of Leishmania donovani. Another group of 28 animals served as uninfected controls. Six hamsters of the infected group and four hamsters of the control group were selected randomly and sacrificed at Days 7, 14, 21, 28, 35, 42, and 49 after inoculation. The kidneys were studied by light microscopy, immunofluorescence and electron microscopy. The levels of serum and urinary immunoglobulins were determined. None of the control hamsters had kidney lesions. Light-microscopically the kidneys of infected hamsters showed a marked mesangial proliferation from Day 7 after infection. These changes were more pronounced at Day 21, when a discrete infiltration of mononuclear cells was frequent. These glomerular changes diminished after Day 28 and were replaced by deposits of amyloid. In the beginning these deposits were in the mesangium and progressively became more extensive, involving capillary loops, Bowman's capsule, and interstitium. The immunofluorescence study showed L donovani antigens and hamster immunoglobulins, primarily in the mesangial areas, by Days 7-14 after infection. These deposits extended into contiguous loops from Day 21 to Day 28. In the last 2 weeks the fluorescent staining for L donovani antigens remained intensely positive, whereas the staining for hamster immunoglobulins became moderate to slightly positive. The ultrastructural study revealed mesangial proliferation, mesangial and paramesangial electron-dense deposits, and amyloidosis in the glomeruli of infected animals. The serum immunoglobulins increased from Day 7 after infection, reaching a peak at Day 21 and falling thereafter until Day 49 to near control values. Immunoglobulins were detected in the urine of infected hamsters at day 21, increasing in amount thereafter. Since L donovani antigens and immunoglobulins were identified in the glomerular lesions, it is likely that they are implicated in the pathogenesis of the mesangial proliferative glomerulonephritis in hamsters experimentally infected with L donovani. The glomerular changes may also explain the loss of immunoglobulins in the urine and the consequent lowering of serum immunoglobulin levels.
Full text
PDF






Images in this article
Selected References
These references are in PubMed. This may not be the complete list of references from this article.
- Agu W. E., Farrell J. P., Soulsby E. J. Proliferative glomerulonephritis in experimental Leishmania donovani infection of the golden hamster. Comp Immunol Microbiol Infect Dis. 1981;4(3-4):353–368. doi: 10.1016/0147-9571(81)90021-7. [DOI] [PubMed] [Google Scholar]
- Allain D. S., Kagan I. G. A direct agglutination test for leishmaniasis. Am J Trop Med Hyg. 1975 Mar;24(2):232–236. doi: 10.4269/ajtmh.1975.24.232. [DOI] [PubMed] [Google Scholar]
- Andrade Z. A., Iabuki K. A nefropatía do calazar. Rev Inst Med Trop Sao Paulo. 1972 Jan-Feb;14(1):51–54. [PubMed] [Google Scholar]
- Campos-Neto A., Bunn-Moreno M. M. Polyclonal B cell activation in hamsters infected with parasites of the genus Leishmania. Infect Immun. 1982 Dec;38(3):871–876. doi: 10.1128/iai.38.3.871-876.1982. [DOI] [PMC free article] [PubMed] [Google Scholar]
- DE Brito T., Hoshino-Shimizu S., Neto V. A., Duarte I. S., Penna D. O. Glomerular involvement in human kala-azar. A light, immunofluorescent, and electron microscopic study based on kidney biopsies. Am J Trop Med Hyg. 1975 Jan;24(1):9–18. [PubMed] [Google Scholar]
- DIXON F. J. THE ROLE OF ANTIGEN-ANTIBODY COMPLEXES IN DISEASE. Harvey Lect. 1963;58:21–52. [PubMed] [Google Scholar]
- Dixon F. J. The pathogenesis of glomerulonephritis. Am J Med. 1968 Apr;44(4):493–498. doi: 10.1016/0002-9343(68)90050-8. [DOI] [PubMed] [Google Scholar]
- Duarte M. I., Sesso A., de Brito T. Relationship between glomerular mesangial cell proliferation and amyloid deposition as seen by ultrastructural and morphometric analysis in experimental kala-azar of the hamster. Am J Pathol. 1978 Jul;92(1):85–98. [PMC free article] [PubMed] [Google Scholar]
- Duarte M. I., Silva M. R., Goto H., Nicodemo E. L., Amato Neto V. Interstitial nephritis in human kala-azar. Trans R Soc Trop Med Hyg. 1983;77(4):531–537. doi: 10.1016/0035-9203(83)90131-1. [DOI] [PubMed] [Google Scholar]
- Kisilevsky R. Amyloidosis: a familiar problem in the light of current pathogenetic developments. Lab Invest. 1983 Oct;49(4):381–390. [PubMed] [Google Scholar]
- Mancini G., Carbonara A. O., Heremans J. F. Immunochemical quantitation of antigens by single radial immunodiffusion. Immunochemistry. 1965 Sep;2(3):235–254. doi: 10.1016/0019-2791(65)90004-2. [DOI] [PubMed] [Google Scholar]
- Mannik M., Striker G. E. Removal of glomerular deposits of immune complexes in mice by administration of excess antigen. Lab Invest. 1980 May;42(5):483–489. [PubMed] [Google Scholar]
- Meleney H. E. The Histopathology of Kala-Azar in the Hamster, Monkey, and Man. Am J Pathol. 1925 Mar;1(2):147–168.11. [PMC free article] [PubMed] [Google Scholar]
- Simpson L. The leishmania-leptomonad transformation of Leishmania donovani: nutritional requirements, respiration changes and antigenic changes. J Protozool. 1968 Feb;15(1):201–207. doi: 10.1111/j.1550-7408.1968.tb02112.x. [DOI] [PubMed] [Google Scholar]
- Weisinger J. R., Pinto A., Velazquez G. A., Bronstein I., Dessene J. J., Duque J. F., Montenegro J., Tapanes F., de Rousse A. R. Clinical and histological kidney involvement in human kala-azar. Am J Trop Med Hyg. 1978 Mar;27(2 Pt 1):357–359. doi: 10.4269/ajtmh.1978.27.357. [DOI] [PubMed] [Google Scholar]
- de PAOLA, da SILVA J. [The histopathology of kalazar]. Ergeb Allg Pathol Pathol Anat. 1960;39:1–52. [PubMed] [Google Scholar]



