Abstract
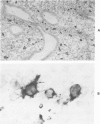
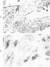
In the present study, the presence of major histocompatibility complex antigens (MHC) and the degree and nature of inflammatory response in the human placenta were determined by staining frozen tissue sections with monoclonal antibodies and an immunoperoxidase technique. Although class I (HLA-A, B, and C) and Class II (HLA-DR, Ia-like) MHC antigens were not demonstrated in the syncytiotrophoblast, Class I antigens were found in trophoblast of the placental septum, shell, and implantation site and in the chorionic villous stroma. There was no staining for Ia-like antigens in the fetal components of the placenta. T cells were scarce and evenly scattered in the normal implantation site. No T cells infiltrated the chorionic villi. B cells and natural killer cells were not identified in the human placenta. Macrophages constituted more than 20% of the decidual cells and had morphologic features identical to those of "small decidual cells." The lack of T-cell infiltration of the fetal placental structures and their scarcity in the implantation site support the notion that T-cell-mediated immune response against placental antigens is not generated by the maternal host in normal pregnancy. The abundance of macrophages at the implantation site may be related to their possible role in the suppression of immune response.
Full text
PDF








Images in this article
Selected References
These references are in PubMed. This may not be the complete list of references from this article.
- Abo T., Miller C. A., Gartland G. L., Balch C. M. Differentiation stages of human natural killer cells in lymphoid tissues from fetal to adult life. J Exp Med. 1983 Jan 1;157(1):273–284. doi: 10.1084/jem.157.1.273. [DOI] [PMC free article] [PubMed] [Google Scholar]
- Balch C. M., Dougherty P. A., Tilden A. B. Excessive prostaglandin E2 production by suppressor monocytes in head and neck cancer patients. Ann Surg. 1982 Dec;196(6):645–650. doi: 10.1097/00000658-198212001-00005. [DOI] [PMC free article] [PubMed] [Google Scholar]
- Beer A. E., Billingham R. E. Maternal immunological recognition mechanisms during pregnancy. Ciba Found Symp. 1978;(64):293–322. doi: 10.1002/9780470720479.ch13. [DOI] [PubMed] [Google Scholar]
- Bernard O., Scheid M. P., Ripoche M. A., Bennett D. Immunological studies of mouse decidual cells. I. Membrane markers of decidual cells in the days after implantation. J Exp Med. 1978 Aug 1;148(2):580–591. doi: 10.1084/jem.148.2.580. [DOI] [PMC free article] [PubMed] [Google Scholar]
- Bhan A. K., Mihm M. C., Jr, Dvorak H. F. T cell subsets in allograft rejection. In situ characterization of T cell subsets in human skin allografts by the use of monoclonal antibodies. J Immunol. 1982 Oct;129(4):1578–1583. [PubMed] [Google Scholar]
- Bhan A. K., Nadler L. M., Stashenko P., McCluskey R. T., Schlossman S. F. Stages of B cell differentiation in human lymphoid tissue. J Exp Med. 1981 Sep 1;154(3):737–749. doi: 10.1084/jem.154.3.737. [DOI] [PMC free article] [PubMed] [Google Scholar]
- Bhan A. K., Reinherz E. L., Poppema S., McCluskey R. T., Schlossman S. F. Location of T cell and major histocompatibility complex antigens in the human thymus. J Exp Med. 1980 Oct 1;152(4):771–782. doi: 10.1084/jem.152.4.771. [DOI] [PMC free article] [PubMed] [Google Scholar]
- Bieber C. P., Howard F. D., Pennock J., Wong J., Shorthouse R., Stinson E. B. Preparation, characterization, and primate testing of monoclonal antithymocyte globulin. Transplantation. 1981 Apr;31(4):283–289. doi: 10.1097/00007890-198104000-00010. [DOI] [PubMed] [Google Scholar]
- Billington W. D., Jenkinson E. J., Searle R. F., Sellens M. H. Alloantigen expression during early embryogenesis and placental ontogeny in the mouse: immunoperoxidase and mixed hemadsorption studies. Transplant Proc. 1977 Jun;9(2):1371–1377. [PubMed] [Google Scholar]
- Breard J., Reinherz E. L., Kung P. C., Goldstein G., Schlossman S. F. A monoclonal antibody reactive with human peripheral blood monocytes. J Immunol. 1980 Apr;124(4):1943–1948. [PubMed] [Google Scholar]
- Cerf-Bensussan N., Schneeberger E. E., Bhan A. K. Immunohistologic and immunoelectron microscopic characterization of the mucosal lymphocytes of human small intestine by the use of monoclonal antibodies. J Immunol. 1983 Jun;130(6):2615–2622. [PubMed] [Google Scholar]
- Chatterjee-Hasrouni S., Lala P. K. Localization of H-2 antigens on mouse trophoblast cells. J Exp Med. 1979 May 1;149(5):1238–1253. doi: 10.1084/jem.149.5.1238. [DOI] [PMC free article] [PubMed] [Google Scholar]
- Chatterjee-Hasrouni S., Lala P. K. Localization of paternal H-2K antigens on murine trophoblast cells in vivo. J Exp Med. 1982 Jun 1;155(6):1679–1689. doi: 10.1084/jem.155.6.1679. [DOI] [PMC free article] [PubMed] [Google Scholar]
- DALLENBACH-HELLWEG G., NETTE G. MORPHOLOGICAL AND HISTOCHEMICAL OBSERVATIONS ON TROPHOBLAST AND DECIDUA OF THE BASAL PLATE OF THE HUMAN PLACENTA AT TERM. Am J Anat. 1964 Sep;115:309–326. doi: 10.1002/aja.1001150207. [DOI] [PubMed] [Google Scholar]
- Dimitriu-Bona A., Burmester G. R., Waters S. J., Winchester R. J. Human mononuclear phagocyte differentiation antigens. I. Patterns of antigenic expression on the surface of human monocytes and macrophages defined by monoclonal antibodies. J Immunol. 1983 Jan;130(1):145–152. [PubMed] [Google Scholar]
- Evans R. L., Wall D. W., Platsoucas C. D., Siegal F. P., Fikrig S. M., Testa C. M., Good R. A. Thymus-dependent membrane antigens in man: inhibition of cell-mediated lympholysis by monoclonal antibodies to TH2 antigen. Proc Natl Acad Sci U S A. 1981 Jan;78(1):544–548. doi: 10.1073/pnas.78.1.544. [DOI] [PMC free article] [PubMed] [Google Scholar]
- Faulk W. P., Sanderson A. R., Temple A. Distribution of MHC antigens in human placental chorionic villi. Transplant Proc. 1977 Jun;9(2):1379–1384. [PubMed] [Google Scholar]
- Faulk W. P., Temple A. Distribution of beta2 microglobulin and HLA in chorionic villi of human placentae. Nature. 1976 Aug 26;262(5571):799–802. doi: 10.1038/262799a0. [DOI] [PubMed] [Google Scholar]
- Fox H., Kharkongor N. F. Enzyme histochemistry of the Hofbauer cells of the human placenta. J Obstet Gynaecol Br Commonw. 1969 Oct;76(10):918–921. doi: 10.1111/j.1471-0528.1969.tb15730.x. [DOI] [PubMed] [Google Scholar]
- Galbraith G. M., Galbraith R. M., Temple A., Faulk W. P. Demonstration of transferrin receptors on human placental trophoblast. Blood. 1980 Feb;55(2):240–242. [PubMed] [Google Scholar]
- Goding J. W., Burns G. F. Monoclonal antibody OKT-9 recognizes the receptor for transferrin on human acute lymphocytic leukemia cells. J Immunol. 1981 Sep;127(3):1256–1258. [PubMed] [Google Scholar]
- Kearns M., Lala P. K. Bone marrow origin of decidual cell precursors in the pseudopregnant mouse uterus. J Exp Med. 1982 May 1;155(5):1537–1554. doi: 10.1084/jem.155.5.1537. [DOI] [PMC free article] [PubMed] [Google Scholar]
- Kirkwood K. J. Immunoglobulin and complement receptor-bearing cells in cultures of mouse decidual tissue. J Reprod Fertil. 1981 Jul;62(2):345–352. doi: 10.1530/jrf.0.0620345. [DOI] [PubMed] [Google Scholar]
- Koyama K., Fukunishi T., Barcos M., Tanigaki N., Pressman D. Human Ia-like antigens in non-lymphoid organs. Immunology. 1979 Oct;38(2):333–341. [PMC free article] [PubMed] [Google Scholar]
- Laguens R. M., Laguens R. P. Isolation and characteristics of a macrophage population of human uterine mucosa. Gynecol Obstet Invest. 1983;16(3):136–141. doi: 10.1159/000299242. [DOI] [PubMed] [Google Scholar]
- Lala P. K., Chatterjee-Hasrouni S., Kearns M., Montgomery B., Colavincenzo V. Immunobiology of the feto-maternal interface. Immunol Rev. 1983;75:87–116. doi: 10.1111/j.1600-065x.1983.tb01092.x. [DOI] [PubMed] [Google Scholar]
- Ledbetter J. A., Evans R. L., Lipinski M., Cunningham-Rundles C., Good R. A., Herzenberg L. A. Evolutionary conservation of surface molecules that distinguish T lymphocyte helper/inducer and cytotoxic/suppressor subpopulations in mouse and man. J Exp Med. 1981 Feb 1;153(2):310–323. doi: 10.1084/jem.153.2.310. [DOI] [PMC free article] [PubMed] [Google Scholar]
- Monahan R. A., Dvorak H. F., Dvorak A. M. Ultrastructural localization of nonspecific esterase activity in guinea pig and human monocytes, macrophages, and lymphocytes. Blood. 1981 Dec;58(6):1089–1099. [PubMed] [Google Scholar]
- Moscicki R. A., Amento E. P., Krane S. M., Kurnick J. T., Colvin R. B. Modulation of surface antigens of a human monocyte cell line, U937, during incubation with T lymphocyte-conditioned medium: detection of T4 antigen and its presence on normal blood monocytes. J Immunol. 1983 Aug;131(2):743–748. [PubMed] [Google Scholar]
- Murphy G. F., Bhan A. K., Sato S., Harrist T. J., Mihm M. C., Jr Characterization of Langerhans cells by the use of monoclonal antibodies. Lab Invest. 1981 Nov;45(5):465–468. [PubMed] [Google Scholar]
- Nadler L. M., Stashenko P., Hardy R., Pesando J. M., Yunis E. J., Schlossman S. F. Monoclonal antibodies defining serologically distinct HLA-D/DR related Ia-like antigens in man. Hum Immunol. 1981 Feb;2(1):77–90. doi: 10.1016/0198-8859(81)90009-4. [DOI] [PubMed] [Google Scholar]
- Natali P. G., Quaranta V., Nicotra M. R., Apollonj C., Pellegrino M. A., Ferrone S. Tissue distribution of Ia-like antigens in different species: analysis with monoclonal antibodies. Transplant Proc. 1981 Mar;13(1 Pt 2):1026–1029. [PubMed] [Google Scholar]
- Nehemiah J. L., Schnitzer J. A., Schulman H., Novikoff A. B. Human chorionic trophoblasts, decidual cells, and macrophages: a histochemical and electron microscopic study. Am J Obstet Gynecol. 1981 Jun 1;140(3):261–268. doi: 10.1016/0002-9378(81)90271-4. [DOI] [PubMed] [Google Scholar]
- Nishi T., Bhan A. K., Collins A. B., McCluskey R. T. Effect of circulating immune complexes on Fc and C3 receptors of Kupffer cells in vivo. Lab Invest. 1981 May;44(5):442–448. [PubMed] [Google Scholar]
- Omary M. B., Trowbridge I. S., Battifora H. A. Human homologue of murine T200 glycoprotein. J Exp Med. 1980 Oct 1;152(4):842–852. doi: 10.1084/jem.152.4.842. [DOI] [PMC free article] [PubMed] [Google Scholar]
- Pober J. S., Gimbrone M. A., Jr, Cotran R. S., Reiss C. S., Burakoff S. J., Fiers W., Ault K. A. Ia expression by vascular endothelium is inducible by activated T cells and by human gamma interferon. J Exp Med. 1983 Apr 1;157(4):1339–1353. doi: 10.1084/jem.157.4.1339. [DOI] [PMC free article] [PubMed] [Google Scholar]
- Poppema S., Bhan A. K., Reinherz E. L., McCluskey R. T., Schlossman S. F. Distribution of T cell subsets in human lymph nodes. J Exp Med. 1981 Jan 1;153(1):30–41. doi: 10.1084/jem.153.1.30. [DOI] [PMC free article] [PubMed] [Google Scholar]
- Reinherz E. L., Kung P. C., Goldstein G., Schlossman S. F. A monoclonal antibody reactive with the human cytotoxic/suppressor T cell subset previously defined by a heteroantiserum termed TH2. J Immunol. 1980 Mar;124(3):1301–1307. [PubMed] [Google Scholar]
- Reinherz E. L., Kung P. C., Goldstein G., Schlossman S. F. Further characterization of the human inducer T cell subset defined by monoclonal antibody. J Immunol. 1979 Dec;123(6):2894–2896. [PubMed] [Google Scholar]
- Slapsys R., Clark D. A. Active suppression of host-versus-graft reaction in pregnant mice. V. Kinetics, specificity, and in vivo activity of non-T suppressor cells localized to the genital tract of mice during first pregnancy. Am J Reprod Immunol. 1983 Mar;3(2):65–71. doi: 10.1111/j.1600-0897.1983.tb00217.x. [DOI] [PubMed] [Google Scholar]
- Stashenko P., Nadler L. M., Hardy R., Schlossman S. F. Characterization of a human B lymphocyte-specific antigen. J Immunol. 1980 Oct;125(4):1678–1685. [PubMed] [Google Scholar]
- Sunderland C. A., Redman C. W., Stirrat G. M. HLA A, B, C antigens are expressed on nonvillous trophoblast of the early human placenta. J Immunol. 1981 Dec;127(6):2614–2615. [PubMed] [Google Scholar]
- Tekelioğlu-Uysal M., Edwards R. G., Kişnişi H. A. Ultrastructural relationships between decidua, trophoblast and lymphocytes at the beginning of human pregnancy. J Reprod Fertil. 1975 Mar;42(3):431–438. doi: 10.1530/jrf.0.0420431. [DOI] [PubMed] [Google Scholar]
- Tiilikainen A., Schröder J., De la Chapelle A. Fetal leukocytes in the maternal circulation after delivery. II. Masking of HL-A antigens. Transplantation. 1974 Apr;17(4):355–360. [PubMed] [Google Scholar]
- Ugolini V., Nunez G., Smith R. G., Stastny P., Capra J. D. Initial characterization of monoclonal antibodies against human monocytes. Proc Natl Acad Sci U S A. 1980 Nov;77(11):6764–6768. doi: 10.1073/pnas.77.11.6764. [DOI] [PMC free article] [PubMed] [Google Scholar]
- Van Wauwe J., Goossens J., Decock W., Kung P., Goldstein G. Suppression of human T-cell mitogenesis and E-rosette formation by the monoclonal antibody OKT11A. Immunology. 1981 Dec;44(4):865–871. [PMC free article] [PubMed] [Google Scholar]
- ZACKS S. I., WISLOCKI G. B. Placental esterases. Proc Soc Exp Biol Med. 1953 Nov;84(2):438–441. doi: 10.3181/00379727-84-20671. [DOI] [PubMed] [Google Scholar]







