Abstract
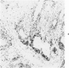
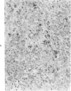
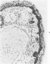
The biotinylated monoclonal IgM antibody, anti-Leu 7 (HNK-1) was used to localize, by 2-step avidin-biotin immunocytochemistry, an antigen that appears in olfactory nasal epithelium of male Syrian Golden hamsters during N-nitrosodiethylamine (DEN) carcinogenesis. In normal young adult and adult hamsters, Leu 7 was not immunoreactive with nasal olfactory epithelium. In hamsters that had been given multiple doses of DEN, Leu 7 immunoreactivity was found throughout the olfactory epithelium. The carcinogen produced dysplastic and hyperplastic lesions in the olfactory epithelium as well as carcinoma in situ and poorly differentiated carcinomas, occasionally with rosette-like structures, all of which were immunoreactive with the Leu 7 monoclonal antibody. Other preneoplastic lesions and tumors (adenomas of nasal glands, papillomas, adenocarcinomas) in olfactory and respiratory nasal epithelium were never immunoreactive. Hamster fetuses expressed Leu 7 diffusely on olfactory epithelial cell membranes, neonatal hamsters had much less antigen, and 14- and 28-day-old hamsters contained few immunoreactive cells. Thus, evidence was provided that Leu 7 reacts with a fetal olfactory antigen which reappears during stages of chemically induced nasal carcinogenesis in Syrian Golden hamsters.
Full text
PDF





Images in this article
Selected References
These references are in PubMed. This may not be the complete list of references from this article.
- Abo T., Balch C. M. A differentiation antigen of human NK and K cells identified by a monoclonal antibody (HNK-1). J Immunol. 1981 Sep;127(3):1024–1029. [PubMed] [Google Scholar]
- Abo T., Cooper M. D., Balch C. M. Characterization of HNK-1+ (Leu-7) human lymphocytes. I. Two distinct phenotypes of human NK cells with different cytotoxic capability. J Immunol. 1982 Oct;129(4):1752–1757. [PubMed] [Google Scholar]
- Bunn P. A., Jr, Linnoila I., Minna J. D., Carney D., Gazdar A. F. Small cell lung cancer, endocrine cells of the fetal bronchus, and other neuroendocrine cells express the Leu-7 antigenic determinant present on natural killer cells. Blood. 1985 Mar;65(3):764–768. [PubMed] [Google Scholar]
- Caillaud J. M., Benjelloun S., Bosq J., Braham K., Lipinski M. HNK-1-defined antigen detected in paraffin-embedded neuroectoderm tumors and those derived from cells of the amine precursor uptake and decarboxylation system. Cancer Res. 1984 Oct;44(10):4432–4439. [PubMed] [Google Scholar]
- Dobersen M. J., Gascon P., Trost S., Hammer J. A., Goodman S., Noronha A. B., O'Shannessy D. J., Brady R. O., Quarles R. H. Murine monoclonal antibodies to the myelin-associated glycoprotein react with large granular lymphocytes of human blood. Proc Natl Acad Sci U S A. 1985 Jan;82(2):552–555. doi: 10.1073/pnas.82.2.552. [DOI] [PMC free article] [PubMed] [Google Scholar]
- Feizi T. Demonstration by monoclonal antibodies that carbohydrate structures of glycoproteins and glycolipids are onco-developmental antigens. Nature. 1985 Mar 7;314(6006):53–57. doi: 10.1038/314053a0. [DOI] [PubMed] [Google Scholar]
- HERROLD K. M. INDUCTION OF OLFACTORY NEUROEPITHELIAL TUMORS IN SYRIAN HAMSTERS BY DIETHYLNITROSAMINE. Cancer. 1964 Jan;17:114–121. doi: 10.1002/1097-0142(196401)17:1<114::aid-cncr2820170115>3.0.co;2-q. [DOI] [PubMed] [Google Scholar]
- Ilyas A. A., Quarles R. H., Brady R. O. The monoclonal antibody HNK-1 reacts with a human peripheral nerve ganglioside. Biochem Biophys Res Commun. 1984 Aug 16;122(3):1206–1211. doi: 10.1016/0006-291x(84)91220-8. [DOI] [PubMed] [Google Scholar]
- Inuzuka T., Quarles R. H., Noronha A. B., Dobersen M. J., Brady R. O. A human lymphocyte antigen is shared with a group of glycoproteins in peripheral nerve. Neurosci Lett. 1984 Sep 28;51(1):105–111. doi: 10.1016/0304-3940(84)90270-2. [DOI] [PubMed] [Google Scholar]
- Lipinski M., Braham K., Caillaud J. M., Carlu C., Tursz T. HNK-1 antibody detects an antigen expressed on neuroectodermal cells. J Exp Med. 1983 Nov 1;158(5):1775–1780. doi: 10.1084/jem.158.5.1775. [DOI] [PMC free article] [PubMed] [Google Scholar]
- McGarry R. C., Helfand S. L., Quarles R. H., Roder J. C. Recognition of myelin-associated glycoprotein by the monoclonal antibody HNK-1. Nature. 1983 Nov 24;306(5941):376–378. doi: 10.1038/306376a0. [DOI] [PubMed] [Google Scholar]
- Montesano R., Saffiotti U. Carcinogenic response of the respiratory tract of Syrain golden hamsters to different doses of diethylnitrosamine. Cancer Res. 1968 Nov;28(11):2197–2210. [PubMed] [Google Scholar]
- Pour P., Cardesa A., Althoff J., Mohr U. Tumorigenesis in the nasal olfactory region of Syrian golden hamsters as a result of di-n-propylnitrosamine and related compounds. Cancer Res. 1974 Jan;34(1):16–26. [PubMed] [Google Scholar]
- Reznik-Schüller H. M. Labeling in cells of the nasal cavity of hamsters treated with tritiated N-nitrosodiethylamine. Cancer Lett. 1982 May-Jun;16(1):109–114. doi: 10.1016/0304-3835(82)90098-2. [DOI] [PubMed] [Google Scholar]
- Reznik-Schüller H. Ultrastructure of N-diethylnitrosamine induced tumours in the nasal olfactory region of the Syrian golden hamster. J Pathol. 1978 Mar;124(3):161–164. doi: 10.1002/path.1711240306. [DOI] [PubMed] [Google Scholar]
- Schuller-Petrovic S., Gebhart W., Lassmann H., Rumpold H., Kraft D. A shared antigenic determinant between natural killer cells and nervous tissue. Nature. 1983 Nov 10;306(5939):179–181. doi: 10.1038/306179a0. [DOI] [PubMed] [Google Scholar]
- Sukumar S., Notario V., Martin-Zanca D., Barbacid M. Induction of mammary carcinomas in rats by nitroso-methylurea involves malignant activation of H-ras-1 locus by single point mutations. Nature. 1983 Dec 15;306(5944):658–661. doi: 10.1038/306658a0. [DOI] [PubMed] [Google Scholar]
- Takahashi S., Iwanaga T., Takahashi Y., Nakano Y., Fujita T. Neuron-specific enolase, neurofilament protein and S-100 protein in the olfactory mucosa of human fetuses. An immunohistochemical study. Cell Tissue Res. 1984;238(2):231–234. doi: 10.1007/BF00217293. [DOI] [PubMed] [Google Scholar]
- Ward J. M., Argilan F., Reynolds C. W. Immunoperoxidase localization of large granular lymphocytes in normal tissues and lesions of athymic nude rats. J Immunol. 1983 Jul;131(1):132–139. [PubMed] [Google Scholar]
- Young J. T. Histopathologic examination of the rat nasal cavity. Fundam Appl Toxicol. 1981 Jul-Aug;1(4):309–312. doi: 10.1016/s0272-0590(81)80037-1. [DOI] [PubMed] [Google Scholar]








