Abstract
We have reported previously that alterations to β-catenin occur frequently in adamantinomatous craniopharyngioma. Based on its histological resemblance to some odontogenic tumors, we suspected the presence of common genetic alterations among these tumors. To address this issue, 11 cases of calcifying odontogenic cyst (COC) and 20 cases of ameloblastoma were investigated for the presence of β-catenin mutations and β-catenin expression. Ten COCs were successfully analyzed by direct sequencing, and nine of them were found to harbor somatic β-catenin mutations. Immunohistochemically, all of the COCs showed nuclear and cytoplasmic expression of β-catenin with a heterogeneous pattern. No β-catenin mutations were found in ameloblastomas, except for one case of the follicular type. All follicular ameloblastomas exhibited moderate nuclear and cytoplasmic accumulation of β-catenin, in contrast to the predominantly membranous expression seen in the plexiform type. β-Catenin mutation is considered to be a characteristic genetic feature of COC, and may play a critical role in its histogenesis. Although ameloblastoma closely resembles COC histologically, the two have genetically distinctive features.
It has been well recognized that adamantinomatous craniopharyngiomas show a histological resemblance to some odontogenic tumors. 1-4 As its name indicates, many earlier reports have described the histological similarities between ameloblastoma (previously called adamantinoma of the jaw) and adamantinomatous craniopharyngioma. 1,2 There are common histological features among these tumors, such as peripherally palisading columnar epithelial cells and frequent central stellate reticulum-like areas.
Calcifying odontogenic cyst (COC) is a rare odontogenic lesion which bears a histological resemblance to ameloblastoma. 3,5,6 The histological features that differentiate COC from ameloblastoma include ghost cell formation, a predominantly cystic morphology, and frequent calcification. 3,6 Since these histological features of COC are common in adamantinomatous craniopharyngioma, COC has a more similar histological appearance to adamantinomatous craniopharyngioma than to ameloblastoma. 2-4 The nature of this lesion, whether it is a cyst or a neoplasm, has been a matter of debate for a long time. In the first World Health Organization classification of odontogenic tumor, COC was described as a non-neoplastic cystic lesion 7 ; later, however, its considerable histological diversity was gradually recognized. Although most of the lesions are cystic, some lesions are solid and may show infiltrative growth. 8-11 A malignant counterpart of COC and cases associated with other odontogenic tumors have also been described. 8,9,11-13 Currently, the “dualistic” concept is generally favored according to which COC contains two entities: a cyst and a neoplasm. 14
WNT signaling pathway plays an essential role in tooth development. Expression of the constituents of WNT signaling pathway, including WNTs, their receptor and nuclear transcriptional factors, are regulated in a complex manner during the process of tooth development. 15,16 Early arrest of tooth development in LEF1 (nuclear transcriptional factor interacting with β-catenin) deficient mice and Dickkopf1 (diffusible inhibitor of WNT action) transgenic mice demonstrated critical roles of the pathway in tooth development. 17,18 β-Catenin functions as a transcriptional activator of WNT signaling pathway. WNT signals cause stabilization of cytoplasmic β-catenin, its translocation to the nucleus, and formation of active transcription complexes with TCF/LEF1. Somatic mutations of β-catenin involving glycogen synthase kinase-3β (GSK-3β)-dependent phosphorylation sites have been reported in various tumors. 19 This results in stabilization of β-catenin by inhibiting proteosomal degradation and constitutive activation of TCF/LEF1-dependent transcription. 19
We have reported the frequent presence of β-catenin mutations in adamantinomatous craniopharyngiomas. 20 The histological resemblance between some odontogenic tumors and adamantinomatous craniopharyngiomas, and the critical role of WNT signaling pathway in tooth development prompted us to investigate whether β-catenin mutation is also present in these odontogenic tumors. In the present study, we examined β-catenin mutations and expression of β-catenin in a series of COCs and follicular and plexiform ameloblastomas.
Materials and Methods
Eleven COCs and 10 follicular and 10 plexiform ameloblastomas were examined in the present study. The samples were routinely fixed with 10% formalin and embedded in paraffin.
Sections of each specimen were stained briefly with hematoxylin and eosin and subjected to DNA extraction. The lining epithelium of COCs or tumor cell nests of ameloblastomas and reactive fibrous stromal cells were dissected separately under a microscope using sterilized toothpicks. The dissected samples were incubated in 30 μl DNA extraction buffer (50 mmol/L Tris-HCl, pH 8.0, 1 mmol/L ethylenediaminetetraacetic acid, 0.5% (v/v) Tween 20, 200 μg/ml proteinase K) at 37°C overnight, and then proteinase K was inactivated by heating at 100°C for 10 minutes.
For mutational analysis of β-catenin, the samples were subjected to PCR with a previously described pair of primers encompassing the GSK-3β-phosphorylation sites of β-catenin, CT-S-F (5′-ATGGAACCAGACAGAAAAGCG-3′) and CT-S-R (5′-CAGGATTGCCTTTACCACTCA-3′). 21 PCR was performed under the following conditions: 3 minutes at 95°C for initial denaturing, followed by 40 cycles at 94°C for 15 seconds, 58°C for 30 seconds, 72°C for 60 seconds, and a final extension at 72°C for 5 minutes. The PCR products were electrophoresed in a 2% (w/v) agarose gel, visualized under UV light with ethidium bromide staining, and recovered using a QIAquick Gel Extraction Kit (QIAGEN, Hilden, Germany). Isolated PCR products were sequenced on an Applied Biosystems 310 Genetic Analyzer (Applied Biosystems Inc., Foster City, CA). Each experiment was done at least two times, including DNA extraction.
In cases with mutations, the PCR products were subcloned into the pCR II plasmid vector using a TOPO TA cloning kit (Invitrogen, Carlsbad, CA). Then several clones were sequenced in each case to confirm the presence of both the mutant and the wild-type allele.
Immunohistochemical staining was performed by the avidin-biotin complex method. 20 The primary antibody used was monoclonal anti-β-catenin (C19220, 1:200 dilution; Transduction Laboratories, Lexington, KY). 3–3′-diaminobenzidine tetrahydrochloride was used as a chromogen.
Results
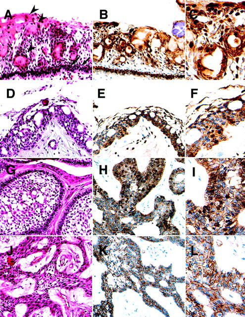
Histologically, all but one COC showed a cystic structure lined by odontogenic epithelium of variable thickness (Figure 1, A and D) ▶ . One specimen was fragmented, and its cystic nature was unclear. The lining epithelium was composed of a basal layer of palisading columnar cells and loosely arranged cells resembling stellate reticulum. Variable numbers of ghost cells were observed in all cases. Subepithelial dentinoid was present in two cases. Three cases were associated with a prominent foreign body reaction.
Figure 1.

Representative histology of cases (A, D, G, J) and immunohistochemistry for β-catenin (B, C, E, F, H, I, K, L). A: Calcifying odontogenic cyst. The lining epithelium consists of loosely cohesive cells showing a stellate reticulum-like appearance and a basal layer of palisading columnar cells (arrows). Clusters of ghost cells (arrowheads) are observed. B and C: Calcifying odontogenic cyst. Moderate cytoplasmic staining for β-catenin. Cells around the ghost cells show strong nuclear accumulation. Peripherally palisading cells show stronger nuclear and cytoplasmic expression. D: Calcifying odontogenic cyst. In this case, the cyst is lined by a relatively thin layer of epithelium with an inconspicuous basal cell layer. Only a few ghost cells are present. E and F: Calcifying odontogenic cyst. Moderate cytoplasmic staining for β-catenin. Cells with nuclear accumulation show a scattered distribution. G: Follicular ameloblastoma. Islands of epithelial cells composed of stellate reticulum-like areas and peripherally palisading cells. H and I: Follicular ameloblastoma. Moderate nuclear and cytoplasmic staining. J: Plexiform ameloblastoma. Interdigiting cords of epithelial cells. K and L: Predominantly membranous expression. Original magnifications: ×200 (A, B, D, E, G, H, J, K), ×400 (C, F, I, L).
Ameloblastomas showed the typical histological features of each subtype. Follicular ameloblastomas showed islands of cells, consisting of peripherally palisading columnar cells and a central loose meshwork of cells resembling stellate reticulum (Figure 1G) ▶ . Plexiform ameloblastomas demonstrated interdigitating cords of epithelial cells and scant stellate reticulum (Figure 1J) ▶ .
Nine COCs and one follicular ameloblastoma were found to harbor β-catenin mutations (Table 1 ▶ ; Figure 2 ▶ ). The presence of both the mutant and the wild-type allele was confirmed by subcloning, followed by sequencing in all of the cases with mutations. None of the samples obtained from reactive stromal cells showed β-catenin mutations. Analysis was unsuccessful in one COC, probably due to poor preservation of DNA (Case 5).
Table 1.
Results of Immunohistochemical and Mutational Analysis of COCs and a Mutation-Positive Follicular Ameloblastoma
| Case | Age/sex | Site | Cytoplasmic/nuclear staining | Affected codon | Mutation |
|---|---|---|---|---|---|
| 1 | 4/M | Maxilla | + | 32 | GAC(Asp)>AAC(Asn) |
| 2 | 11/M | Maxilla | + | ||
| 3 | 11/M | Mandible | + | 37 | TCT(Ser)>TGT(Cys) |
| 4 | 14/M | Mandible | + | 34 | GGA(Gly)>CGA(Arg) |
| 5 | 16/M | Maxilla | + | Not amplified | |
| 6 | 17/M | Mandible | + | 32 | GAC(Asp)>TAC(Tyr) |
| 7 | 19/F | Maxilla | + | 34 | GGA(Gly)>GTA(Val) |
| 8 | 20/M | Maxilla | + | 41 | ACC(Tyr)>ATC(Ile) |
| 9 | 31/M | Mandible | + | 41 | ACC(Tyr)>ATC(Ile) |
| 10 | 63/M | Mandible | + | 33 | TCT(Ser)>TTT(Phe) |
| 11 | 82/F | Maxilla | + | 33 | TCT(Ser)>TGT(Cys) |
| FA1 | 72/M | Mandible | + | 45 | TCT(Ser)>CCT(Pro) |
FA, Follicular ameloblastoma.
Figure 2.
Sequencing of β-catenin in a calcifying odontogenic cyst (case 10). Lining epithelium of calcifying odontogenic cyst harbor missense mutations affecting a serine residue at the GSK-3β phosphorylation site.
Immunohistochemistry for COCs showed a similar β-catenin expression pattern in all cases including two in which mutations were not identified (Figure 1, B, C, E, F) ▶ . The lining epithelium showed weak to moderate cytoplasmic staining. Cells around ghost cells tended to exhibit stronger nuclear accumulation. Peripherally palisading columnar cells showed somewhat stronger β-catenin expression in both the cytoplasm and the membrane. The β-catenin expression pattern was distinctive in each subtype of ameloblastoma. All follicular ameloblastomas exhibited moderate nuclear and cytoplasmic expression, whereas all plexiform ameloblastomas invariably showed predominantly membranous expression (Figure 1, H, I, K, L) ▶ . There was no particular feature of β-catenin expression in the case of follicular ameloblastoma with β-catenin mutation (Figure 3) ▶ . Mild to moderate nuclear and cytoplasmic β-catenin expression was observed in mesenchymal cells in some cases of COCs and ameloblastomas. However, these cells appeared to be reactive because they were sparsely distributed and showed no atypia.
Figure 3.

Follicular ameloblastoma with a β-catenin mutation. A to C: This case shows no distinctive histological features (A) and β-catenin expression (B and C), compared with the other follicular ameloblastomas. Original magnifications: ×200 (A and B), ×400 (C). D: Sequencing of β-catenin. A missense mutation affects a serine residue at the GSK-3β phosphorylation site.
Discussion
In the present study, somatic β-catenin mutations were found in 9 of 10 COCs analyzed successfully. All of the mutations found in the present study caused amino acid substitution of serine/threonine residues of GSK-3β phosphorylation sites or residues flanking the first serine residue of the phosphorylation sites. These genetic alterations are similar to the previously reported somatic mutations in various tumors, 19 which resulted in β-catenin stabilization by inhibiting GSK-3β-dependent phosphorylation and subsequent proteosomal degradation. 19 All of the cases of COC, including cases in which mutations were not identified, showed cytoplasmic and nuclear accumulation of β-catenin with a heterogeneous pattern similar to that of adamantinomatous craniopharyngiomas. 20
This high frequency of β-catenin mutation and β-catenin accumulation imply their critical role in the histogenesis of COC. Although β-catenin mutation was not identified in one successfully analyzed COC, this case also showed nuclear and cytoplasmic accumulation of β-catenin. It is possible that there is another mutation in molecules participating in β-catenin degradation, such as APC, Axin1, and Axin2, or a large deletion involving exon 3 of β-catenin.
WNT signaling pathway plays an essential role in regulation of tooth development. 15-18 Acquiring β-catenin mutation during odontogenesis causes stabilization of β-catenin and constitutive activation of TCF/LEF1-dependent transcription. This may disrupt the proper differentiation process coordinated by WNT signaling pathway, resulting in formation of COC. The present results suggest that COC is a neoplasm caused by an activating mutation of β-catenin.
In contrast, most of the ameloblastomas did not harbor β-catenin mutations. This indicates that COC and ameloblastoma are genetically distinct tumors, despite their histological resemblance. Our study revealed a β-catenin mutation in one follicular ameloblastoma. There have been reports describing ameloblastomas associated with COCs, indicating that some ameloblastomas could arise from COC. 8,9 The presence of ameloblastoma with β-catenin mutation suggests that some ameloblastomas could share their histogenetic mechanism with COC, even if there is no detectable COC component. Nevertheless, this might be rare, since ameloblastomas rarely had genetic alterations common to those in COC.
The β-catenin expression pattern was distinctive in each subtype of ameloblastoma. Follicular ameloblastomas exhibited moderate nuclear and cytoplasmic expression, whereas plexiform ameloblastomas showed predominantly membranous expression. Since β-catenin mutations were absent in most cases, there should be other mechanisms for nuclear and cytoplasmic expression in follicular ameloblastomas. One possibility might be the presence of genetic alteration of other molecules affecting β-catenin expression. Alternatively, β-catenin accumulation could be caused by physiological mechanisms regulating β-catenin expression in odontogenesis, reflecting the differentiation status of the odontogenic epithelium in each ameloblastoma subtype. For example, expression of WNTs or LEF1 could play a role in altering the expression of β-catenin.
We hypothesized the presence of a common genetic alteration based on the histological resemblance of adamantinomatous craniopharyngioma to odontogenic tumors, and found frequent β-catenin alterations in COCs. Additionally, pilomatrixoma of the skin, a tumor of the hair follicle also known as calcifying epithelioma, is also known to show a histological resemblance to COC. In the first report describing COC as a distinctive lesion, Gorlin et al 5 designated it as an odontogenic lesion which showed “a striking histological resemblance to the cutaneous calcifying epithelioma of Malherbe.” They suggested that ghost cell formation and frequent foreign body reaction were common histological features between COC and pilomatrixoma. 5 Remarkably, it has been shown that pilomatrixoma also frequently harbor β-catenin mutations. 21,22 The developmental processes of tooth and hair have much in common. In each case, epithelial-mesenchymal interaction leads to the formation of epithelial buds surrounded by condensed mesenchyme. Then, the mesenchymal cells are embraced by invaginating epithelium and form a papilla during early morphogenesis. WNT signaling pathway has also been shown to play an important role in hair development, and there is a resemblance in the expression pattern of LEF1 during hair and tooth development. 15 Both LEF1-knockout mice and Dickkopf1-transgenic mice similarly show impairment of both hair and tooth development. 17,18 The histological resemblance between COC and pilomatrixoma may be explained by a common genetic alteration affecting similar developmental processes, and may also reflect analogous roles of WNT signaling in hair and tooth development.
Footnotes
Address reprint requests to Setsuo Hirohashi, Pathology Division, National Cancer Center Research Institute, 5–1-1 Tsukiji, Chuo-ku, Tokyo 104-0045, Japan. E-mail: shirohas@ncc.go.jp.
Supported in part by a Grant-in-Aid for Second Term Comprehensive 10-year Strategy for Cancer Control from the Ministry of Health, Labor and Welfare, Japan.
References
- 1.Love JG, Marshall TM: Craniopharyngiomas (pituitary adamantinomas). Surg Gynecol Obstet 1950, 90:591-601 [PubMed] [Google Scholar]
- 2.Gorlin RJ, Chaudhry AP: The ameloblastoma and the craniopharyngioma: their similarities and differences. Oral Surg Oral Med Oral Pathol 1959, 12:199-205 [DOI] [PubMed] [Google Scholar]
- 3.Bernstein ML, Buchino JJ: The histologic similarity between craniopharyngioma and odontogenic lesions: a reappraisal. Oral Surg Oral Med Oral Pathol 1983, 56:502-511 [DOI] [PubMed] [Google Scholar]
- 4.Paulus W, Stockel C, Krauss J, Sorensen N, Roggendorf W: Odontogenic classification of craniopharyngiomas: a clinicopathological study of 54 cases. Histopathology 1997, 30:172-176 [DOI] [PubMed] [Google Scholar]
- 5.Gorlin RJ, Pindborg JJ, Clausen FP, Vickers RA: Calcifying odontogenic cyst: a possible analogue of the cutaneous calcifying epithelioma of Malherbe. Oral Surg Oral Med Oral Pathol 1962, 15:1235-1243 [DOI] [PubMed] [Google Scholar]
- 6.Gold L: The keratinizing and calcifying odontogenic cyst. Oral Surg Oral Med Oral Pathol 1962, 15:1235-1243 [DOI] [PubMed] [Google Scholar]
- 7.Pindborg JJ, Kramer IR: Histological typing of odontogenic tumours, jaw cysts, and allied lesions. WHO International Histological Classification of Tumors. 1971:p 28 World Health Organization Geneva
- 8.Buchner A: The central (intraosseous) calcifying odontogenic cyst: an analysis of 215 cases. J Oral Maxillofac Surg 1991, 49:330-339 [DOI] [PubMed] [Google Scholar]
- 9.Hong SP, Ellis GL, Hartman KS: Calcifying odontogenic cyst: a review of ninety-two cases with reevaluation of their nature as cysts or neoplasms, the nature of ghost cells, and subclassification. Oral Surg Oral Med Oral Pathol 1991, 72:56-64 [DOI] [PubMed] [Google Scholar]
- 10.Ellis GL: Odontogenic ghost cell tumor. Semin Diagn Pathol 1999, 16:288-292 [PubMed] [Google Scholar]
- 11.Li TJ, Yu SF: Clinicopathologic spectrum of the so-called calcifying odontogenic cysts: a study of 21 intraosseous cases with reconsideration of the terminology and classification. Am J Surg Pathol 2003, 27:372-384 [DOI] [PubMed] [Google Scholar]
- 12.Takata T, Lu Y, Ogawa I, Zhao M, Zhou Z, Mock D, Nikai H: Proliferative activity of calcifying odontogenic cysts as evaluated by proliferating cell nuclear antigen labeling index. Pathol Int 1998, 48:877-881 [DOI] [PubMed] [Google Scholar]
- 13.Lu Y, Mock D, Takata T, Jordan RC: Odontogenic ghost cell carcinoma: report of four new cases and review of the literature. J Oral Pathol Med 1999, 28:323-329 [DOI] [PubMed] [Google Scholar]
- 14.Toida M: So-called calcifying odontogenic cyst: review and discussion on the terminology and classification. J Oral Pathol Med 1998, 27:49-52 [DOI] [PubMed] [Google Scholar]
- 15.Kratochwil K, Dull M, Farinas I, Galceran J, Grosschedl R: Lef1 expression is activated by BMP-4 and regulates inductive tissue interactions in tooth and hair development. Genes Dev 1996, 10:1382-1394 [DOI] [PubMed] [Google Scholar]
- 16.Sarkar L, Sharpe PT: Expression of Wnt signalling pathway genes during tooth development. Mech Dev 1999, 85:197-200 [DOI] [PubMed] [Google Scholar]
- 17.van Genderen C, Okamura RM, Farinas I, Quo RG, Parslow TG, Bruhn L, Grosschedl R: Development of several organs that require inductive epithelial-mesenchymal interactions is impaired in LEF-1-deficient mice. Genes Dev 1994, 15:2691-2703 [DOI] [PubMed] [Google Scholar]
- 18.Andl T, Reddy ST, Gaddapara T, Millar SE: WNT signals are required for the initiation of hair follicle development. Dev Cell 2002, 2:643-653 [DOI] [PubMed] [Google Scholar]
- 19.Polakis P: Wnt signaling and cancer. Genes Dev 2000, 14:1837-1851 [PubMed] [Google Scholar]
- 20.Sekine S, Shibata T, Kokubu A, Morishita Y, Noguchi M, Nakanishi Y, Sakamoto M, Hirohashi S: Craniopharyngiomas of adamantinomatous type harbor β-catenin gene mutations. Am J Pathol 2002, 161:1997-2001 [DOI] [PMC free article] [PubMed] [Google Scholar]
- 21.Kajino Y, Yamaguchi A, Hashimoto N, Matsuura A, Sato N, Kikuchi K: β-Catenin gene mutation in human hair follicle-related tumors. Pathol Int 2001, 51:543-548 [DOI] [PubMed] [Google Scholar]
- 22.Chan EF, Gat U, McNiff JM, Fuchs E: A common human skin tumour is caused by activating mutations in β-catenin. Nat Genet 1999, 21:410-413 [DOI] [PubMed] [Google Scholar]

