Abstract
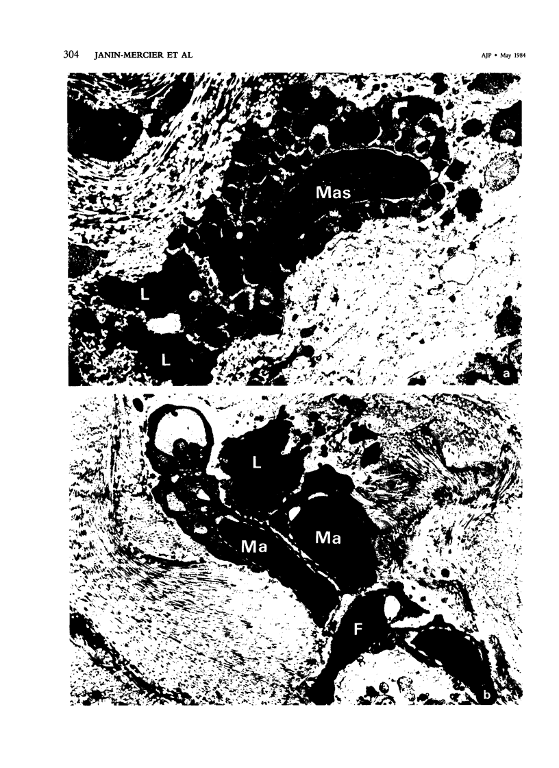
Thirteen skin biopsies were performed on 8 patients at different stages of skin sclerosis in chronic graft-versus-host disease (GVHD). On the same skin biopsies an immunostaining with antibodies directed against Types I and III procollagen, Types I, III, IV, V collagen, and laminin, and an ultrastructural study were performed. Alterations were observed at the dermal-epidermal junction and in the superficial dermis with a large deposit on Type III procollagen in the incipient scleroses and of Type I procollagen in the oldest ones. In this sclerotic superficial dermis, collagen fibers of irregular diameter were associated with mast cells and active fibroblasts, macrophages, and lymphocytes in close contact. The skin sclerosis in chronic GVHD might be considered a form of cutaneous fibrosis with features of excessive tissue repair related to an immunologic reaction between lymphocytes of the graft and tissue host cells.
Full text
PDF










Images in this article
Selected References
These references are in PubMed. This may not be the complete list of references from this article.
- Asboe-Hansen G. The mast cell in health and disease. Acta Derm Venereol Suppl (Stockh) 1973;73:139–147. [PubMed] [Google Scholar]
- BRAUN-FALCO O., RUPEC M. COLLAGEN FIBRILS OF THE SCLERODERMA IN ULTRA-THIN SKIN SECTIONS. Nature. 1964 May 16;202:708–709. doi: 10.1038/202708a0. [DOI] [PubMed] [Google Scholar]
- Bailey A. J., Bazin S., Delaunay A. Changes in the nature of the collagen during development and resorption of granulatin tissue. Biochim Biophys Acta. 1973 Dec 6;328(2):383–390. doi: 10.1016/0005-2795(73)90272-9. [DOI] [PubMed] [Google Scholar]
- Bernuau D., Gisselbrecht C., Devergie A., Feldmann G., Gluckman E., Marty M., Boiron M. Histological and ultrastructural appearance of the liver during graft-versus-host disease complicating bone marrow transplantation. Transplantation. 1980 Mar;29(3):236–244. doi: 10.1097/00007890-198003000-00015. [DOI] [PubMed] [Google Scholar]
- Bortin M. M., Rimm A. A. Severe combined immunodeficiency disease. Characterization of the disease and results of transplantation. JAMA. 1977 Aug 15;238(7):591–600. [PubMed] [Google Scholar]
- Burgeson R. E., El Adli F. A., Kaitila I. I., Hollister D. W. Fetal membrane collagens: identification of two new collagen alpha chains. Proc Natl Acad Sci U S A. 1976 Aug;73(8):2579–2583. doi: 10.1073/pnas.73.8.2579. [DOI] [PMC free article] [PubMed] [Google Scholar]
- De Dobbeleer G. D., Ledoux-Corbusier M. H., Achten G. A. Graft versus host reaction. An ultrastructural study. Arch Dermatol. 1975 Dec;111(12):1597–1902. doi: 10.1001/archderm.111.12.1597. [DOI] [PubMed] [Google Scholar]
- Eady R. A. The mast cells: distribution and morphology. Clin Exp Dermatol. 1976 Dec;1(4):313–321. doi: 10.1111/j.1365-2230.1976.tb01436.x. [DOI] [PubMed] [Google Scholar]
- Foidart J. M., Reddi A. H. Immunofluorescent localization of type IV collagen and laminin during endochondral bone differentiation and regulation by pituitary growth hormone. Dev Biol. 1980 Mar;75(1):130–136. doi: 10.1016/0012-1606(80)90149-9. [DOI] [PubMed] [Google Scholar]
- Graze P. R., Gale R. P. Chronic graft versus host disease: a syndrome of disordered immunity. Am J Med. 1979 Apr;66(4):611–620. doi: 10.1016/0002-9343(79)91171-9. [DOI] [PubMed] [Google Scholar]
- Grogan T. M., Odom R. B., Burgess J. H. Graft-vs-host reaction. Arch Dermatol. 1977 Jun;113(6):806–812. [PubMed] [Google Scholar]
- Jaffee B. D., Claman H. N. Chronic graft-versus-host disease (GVHD) as a model for scleroderma. I. Description of model systems. Cell Immunol. 1983 Apr 1;77(1):1–12. doi: 10.1016/0008-8749(83)90001-1. [DOI] [PubMed] [Google Scholar]
- Janin-Mercier A., Saurat J. H., Bourges M., Sohier J., Didierjean L., Gluckman E. Ultrastructure de la phase lichénienne de la réaction chronique du greffon contre l'hôte. Similitudes avec le lichen plan idiopathique. Ann Dermatol Venereol. 1981;108(1):49–56. [PubMed] [Google Scholar]
- Janin-Mercier A., Saurat J. H., Bourges M., Sohier J., Jean L. D., Gluckman E. The lichen planus like and sclerotic phases of the graft versus host disease in man: an ultrastructural study of six cases. Acta Derm Venereol. 1981;61(3):187–193. [PubMed] [Google Scholar]
- Johnson R. L., Ziff M. Lymphokine stimulation of collagen accumulation. J Clin Invest. 1976 Jul;58(1):240–252. doi: 10.1172/JCI108455. [DOI] [PMC free article] [PubMed] [Google Scholar]
- Kondo H., Rabin B. S., Rodnan G. P. Cutaneous antigen-stimulating lymphokine production by lymphocytes of patients with progressive systemic sclerosis (scleroderma). J Clin Invest. 1976 Dec;58(6):1388–1394. doi: 10.1172/JCI108594. [DOI] [PMC free article] [PubMed] [Google Scholar]
- Lenaers A., Lapiere C. M. Type III procollagen and collagen in skin. Biochim Biophys Acta. 1975 Jul 21;400(1):121–131. doi: 10.1016/0005-2795(75)90132-4. [DOI] [PubMed] [Google Scholar]
- Mackel A. M., DeLustro F., Harper F. E., LeRoy E. C. Antibodies to collagen in scleroderma. Arthritis Rheum. 1982 May;25(5):522–531. doi: 10.1002/art.1780250505. [DOI] [PubMed] [Google Scholar]
- Orkin R. W., Gehron P., McGoodwin E. B., Martin G. R., Valentine T., Swarm R. A murine tumor producing a matrix of basement membrane. J Exp Med. 1977 Jan 1;145(1):204–220. doi: 10.1084/jem.145.1.204. [DOI] [PMC free article] [PubMed] [Google Scholar]
- Rennard S. I., Berg R., Martin G. R., Foidart J. M., Robey P. G. Enzyme-linked immunoassay (ELISA) for connective tissue components. Anal Biochem. 1980 May 1;104(1):205–214. doi: 10.1016/0003-2697(80)90300-0. [DOI] [PubMed] [Google Scholar]
- Sale G. E., Lerner K. G., Barker E. A., Shulman H. M., Thomas E. D. The skin biopsy in the diagnosis of acute graft-versus-host disease in man. Am J Pathol. 1977 Dec;89(3):621–636. [PMC free article] [PubMed] [Google Scholar]
- Saurat J. H. Cutaneous manifestations of graft-versus-host disease. Int J Dermatol. 1981 May;20(4):249–256. doi: 10.1111/j.1365-4362.1981.tb04329.x. [DOI] [PubMed] [Google Scholar]
- Scheinman J. I., Foidart J. M., Michael A. F. The immunohistology of glomerular antigens. V. The collagenous antigens of the glomerulus. Lab Invest. 1980 Oct;43(4):373–381. [PubMed] [Google Scholar]
- Shulman H. M., Sale G. E., Lerner K. G., Barker E. A., Weiden P. L., Sullivan K., Gallucci B., Thomas E. D., Storb R. Chronic cutaneous graft-versus-host disease in man. Am J Pathol. 1978 Jun;91(3):545–570. [PMC free article] [PubMed] [Google Scholar]
- Shulman H. M., Sullivan K. M., Weiden P. L., McDonald G. B., Striker G. E., Sale G. E., Hackman R., Tsoi M. S., Storb R., Thomas E. D. Chronic graft-versus-host syndrome in man. A long-term clinicopathologic study of 20 Seattle patients. Am J Med. 1980 Aug;69(2):204–217. doi: 10.1016/0002-9343(80)90380-0. [DOI] [PubMed] [Google Scholar]
- Slavin R. E., Santos G. W. The graft versus host reaction in man after bone marrow transplantation: pathology, pathogenesis, clinical features, and implication. Clin Immunol Immunopathol. 1973 Jul;1(4):472–498. doi: 10.1016/0090-1229(73)90005-6. [DOI] [PubMed] [Google Scholar]
- Stuart J. M., Postlethwaite A. E., Kang A. H. Evidence for cell-mediated immunity to collagen in progressive systemic sclerosis. J Lab Clin Med. 1976 Oct;88(4):601–607. [PubMed] [Google Scholar]
- Sullivan K. M., Shulman H. M., Storb R., Weiden P. L., Witherspoon R. P., McDonald G. B., Schubert M. M., Atkinson K., Thomas E. D. Chronic graft-versus-host disease in 52 patients: adverse natural course and successful treatment with combination immunosuppression. Blood. 1981 Feb;57(2):267–276. [PubMed] [Google Scholar]
- Tertian G., Dy M., Yung Y. P., Guy-Grand D., Moore M. A., Hamburger J. Production d'un facteur de croissance des mastocytes dans les cultures lymphocytaires stimulées par un mitogène ou des cellules allogéniques. C R Seances Acad Sci D. 1980 Dec 15;291(13):1041–1046. [PubMed] [Google Scholar]
- Thomas E. D. Bone marrow transplantation. A lifesaving applied art. An interview with E. Donnall Thomas, MD. JAMA. 1983 May 13;249(18):2528–2536. doi: 10.1001/jama.249.18.2528. [DOI] [PubMed] [Google Scholar]
- Timpl R., Rohde H., Robey P. G., Rennard S. I., Foidart J. M., Martin G. R. Laminin--a glycoprotein from basement membranes. J Biol Chem. 1979 Oct 10;254(19):9933–9937. [PubMed] [Google Scholar]
- Wahl S. M., Wahl L. M., McCarthy J. B. Lymphocyte-mediated activation of fibroblast proliferation and collagen production. J Immunol. 1978 Sep;121(3):942–946. [PubMed] [Google Scholar]
- Weedon D., Searle J., Kerr J. F. Apoptosis. Its nature and implications for dermatopathology. Am J Dermatopathol. 1979 Summer;1(2):133–144. [PubMed] [Google Scholar]
- Woodruff J. M., Butcher W. I., Hellerstein L. J. Early secondary disease in the rhesus monkey. II. Electron microscopy of changes in mucous membranes and external epithelia as demonstrated in the tongue and lip. Lab Invest. 1972 Jul;27(1):85–98. [PubMed] [Google Scholar]
- Yaoita H., Foidart J. M., Katz S. I. Localization of the collagenous component in skin basement membrane. J Invest Dermatol. 1978 Apr;70(4):191–193. doi: 10.1111/1523-1747.ep12541313. [DOI] [PubMed] [Google Scholar]








