Abstract
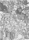
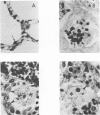
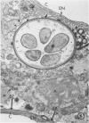
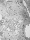
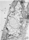
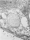
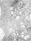
In order to characterize the alveolar response to Pneumocystis carinii pneumonia, light and electron miscropy were used to trace the development of experimental infections with P carinii in rats treated with cortisone acetate and a low-protein diet. The first changes were found by the eighth day of treatment and consisted of the selective attachment of Pneumocystis organisms, mostly trophozoites, to alveolar Type 1 pneumocytes; the host cells were undamaged, and no inflammatory response was seen. After approximately one month of treatment, the seemingly innocuous host-parasite interaction was succeeded by focal necrosis of the Type 1 pneumocytes adjacent to organisms; hyperplasia of nearby Type 2 pneumocytes also occurred, to replace the dead Type 1 pneumocytes. Even at this stage, inflammatory reaction was conspicuously absent except for occasional alveolar macrophages in the diseased alveoli; in addition, all cells of the alveolar-capillary membrane other than Type 1 pneumocytes appeared entirely normal. Not only does the present study clarify the nature of alveolar injury caused by Pneumocystis carinii, but it also provides an experimental animal model in which selective injury of the alveolar lining cells occurs.
Full text
PDF



























Images in this article
Selected References
These references are in PubMed. This may not be the complete list of references from this article.
- Adamson I. Y., Bowden D. H. The type 2 cell as progenitor of alveolar epithelial regeneration. A cytodynamic study in mice after exposure to oxygen. Lab Invest. 1974 Jan;30(1):35–42. [PubMed] [Google Scholar]
- Armstrong J. M., Lattimer N., Moncada S., Vane J. R. Comparison of the vasodepressor effects of prostacyclin and 6-oxo-prostaglandin F1alpha with those of prostaglandin E2 in rats and rabbits. Br J Pharmacol. 1978 Jan;62(1):125–130. doi: 10.1111/j.1476-5381.1978.tb07014.x. [DOI] [PMC free article] [PubMed] [Google Scholar]
- Bachofen M., Weibel E. R. Alterations of the gas exchange apparatus in adult respiratory insufficiency associated with septicemia. Am Rev Respir Dis. 1977 Oct;116(4):589–615. doi: 10.1164/arrd.1977.116.4.589. [DOI] [PubMed] [Google Scholar]
- Bachofen M., Weibel E. R. Basic pattern of tissue repair in human lungs following unspecific injury. Chest. 1974 Apr;65(Suppl):14S–19S. doi: 10.1378/chest.65.4_supplement.14s. [DOI] [PubMed] [Google Scholar]
- Barton E. G., Jr, Campbell W. G., Jr Pneumocystis carinii in lungs of rats treated with cortisone acetate. Ultrastructural observations relating to the life cycle. Am J Pathol. 1969 Feb;54(2):209–236. [PMC free article] [PubMed] [Google Scholar]
- Bolla J., Carson G. D., Challis J. R. Conversion of PGE2 to PGF2alpha by fetal sheep blood. Prostaglandins. 1977 Nov;14(5):873–879. doi: 10.1016/0090-6980(77)90303-3. [DOI] [PubMed] [Google Scholar]
- Bonta I. L., Parnham M. J. Prostaglandins and chronic inflammation. Biochem Pharmacol. 1978;27(12):1611–1623. doi: 10.1016/0006-2952(78)90169-7. [DOI] [PubMed] [Google Scholar]
- Burke B. A., Good R. A. Pneumocystis carinii infection. Medicine (Baltimore) 1973 Jan;52(1):23–51. doi: 10.1097/00005792-197301000-00002. [DOI] [PubMed] [Google Scholar]
- Craighead J. E. Pulmonary cytomegalovirus infection in the adult. Am J Pathol. 1971 Jun;63(3):487–504. [PMC free article] [PubMed] [Google Scholar]
- Crutchley D. J., Piper P. J., Seale J. P. The nature of prostaglandin-like substances released from guinea-pig lung in anaphylaxis. Eur J Pharmacol. 1977 Aug 15;44(4):319–323. doi: 10.1016/0014-2999(77)90305-3. [DOI] [PubMed] [Google Scholar]
- Crutchley D. J., Piper P. J. The behaviour of the pulmonary metabolites of prostaglandins in several simple thin-layer chromatography and bioassay systems. Prostaglandins. 1976 Jun;11(6):987–997. doi: 10.1016/0090-6980(76)90007-1. [DOI] [PubMed] [Google Scholar]
- English L., Morris B., Adams E. The modulating effects of lymph on the synthesis of immunoglobulins by lymphoblasts. Cell Immunol. 1977 Jan;28(1):90–100. doi: 10.1016/s0008-8749(77)80009-9. [DOI] [PubMed] [Google Scholar]
- Esterly J. A. Pneumocystis carinii in lungs of adults at autopsy. Am Rev Respir Dis. 1968 May;97(5):935–937. doi: 10.1164/arrd.1968.97.5.935. [DOI] [PubMed] [Google Scholar]
- Evans M. J., Cabral L. J., Stephens R. J., Freeman G. Renewal of alveolar epithelium in the rat following exposure to NO2. Am J Pathol. 1973 Feb;70(2):175–198. [PMC free article] [PubMed] [Google Scholar]
- Evans M. J., Dekker N. P., Cabral-Anderson L. J., Freeman G. Quantitation of damage to the alveolar epithelium by means of type 2 cell proliferation. Am Rev Respir Dis. 1978 Oct;118(4):787–790. doi: 10.1164/arrd.1978.118.4.787. [DOI] [PubMed] [Google Scholar]
- Frenkel J. K., Good J. T., Shultz J. A. Latent Pneumocystis infection of rats, relapse, and chemotherapy. Lab Invest. 1966 Oct;15(10):1559–1577. [PubMed] [Google Scholar]
- Frenkel J. K. Pneumocystis jiroveci n. sp. from man: morphology, physiology, and immunology in relation to pathology. Natl Cancer Inst Monogr. 1976 Oct;43:13–30. [PubMed] [Google Scholar]
- GREEN G. M., KASS E. H. THE ROLE OF THE ALVEOLAR MACROPHAGE IN THE CLEARANCE OF BACTERIA FROM THE LUNG. J Exp Med. 1964 Jan 1;119:167–176. doi: 10.1084/jem.119.1.167. [DOI] [PMC free article] [PubMed] [Google Scholar]
- GROCOTT R. G. A stain for fungi in tissue sections and smears using Gomori's methenamine-silver nitrate technic. Am J Clin Pathol. 1955 Aug;25(8):975–979. doi: 10.1093/ajcp/25.8_ts.0975. [DOI] [PubMed] [Google Scholar]
- Gentry L. O., Ruskin J., Remington J. S. Pneumocystis carinii pneumonia. Problems in diagnosis and therapy in 24 cases. Calif Med. 1972 Apr;116(4):6–14. [PMC free article] [PubMed] [Google Scholar]
- Gerkens J. F., Friesinger G. C., Branch R. A., Shand D. G., Gerber J. G. A comparison of the pulmonary, renal and hepatic extractions of PGI2 and PGE2 - PGI2 a potential circulating hormone. Life Sci. 1978 May 22;22(20):1837–1842. doi: 10.1016/0024-3205(78)90601-x. [DOI] [PubMed] [Google Scholar]
- Goodwin J. S., Bankhurst A. D., Messner R. P. Suppression of human T-cell mitogenesis by prostaglandin. Existence of a prostaglandin-producing suppressor cell. J Exp Med. 1977 Dec 1;146(6):1719–1734. doi: 10.1084/jem.146.6.1719. [DOI] [PMC free article] [PubMed] [Google Scholar]
- Goodwin J. S., Selinger D. S., Messner R. P., Reed W. P. Effect of indomethacin in vivo on humoral and cellular immunity in humans. Infect Immun. 1978 Feb;19(2):430–433. doi: 10.1128/iai.19.2.430-433.1978. [DOI] [PMC free article] [PubMed] [Google Scholar]
- Gordon D., Bray M. A., Morley J. Control of lymphokine secretion by prostaglandins. Nature. 1976 Jul 29;262(5567):401–402. doi: 10.1038/262401a0. [DOI] [PubMed] [Google Scholar]
- Gould V. E., Tosco R., Wheelis R. F., Gould N. S., Kapanci Y. Oxygen pneumonitis in man. Ultrastructural observations on the development of alveolar lesions. Lab Invest. 1972 May;26(5):499–508. [PubMed] [Google Scholar]
- Gueriguian F. L. Prostaglandin-macromolecule interactions. I. Noncovalent binding of prostaglandins A1, E1, F2alpha, and E2 by human and bovine serum albumins. J Pharmacol Exp Ther. 1976 May;197(2):391–401. [PubMed] [Google Scholar]
- HALL J. G., MORRIS B. The output of cells in lymph from the popliteal node of sheep. Q J Exp Physiol Cogn Med Sci. 1962 Oct;47:360–369. doi: 10.1113/expphysiol.1962.sp001620. [DOI] [PubMed] [Google Scholar]
- Hamberg M., Svensson J., Samuelsson B. Thromboxanes: a new group of biologically active compounds derived from prostaglandin endoperoxides. Proc Natl Acad Sci U S A. 1975 Aug;72(8):2994–2998. doi: 10.1073/pnas.72.8.2994. [DOI] [PMC free article] [PubMed] [Google Scholar]
- Hay J. B., Hobbs B. B., Johnston M. G., Movat H. Z. The role of hyperemia in cellular hypersensitivity reactions. Int Arch Allergy Appl Immunol. 1977;55(1-6):324–331. doi: 10.1159/000231943. [DOI] [PubMed] [Google Scholar]
- Hay J. B., Hobbs B. B. The flow of blood to lymph nodes and its relation to lymphocyte traffic and the immune response. J Exp Med. 1977 Jan 1;145(1):31–44. doi: 10.1084/jem.145.1.31. [DOI] [PMC free article] [PubMed] [Google Scholar]
- Hay J. B., Morris B. Generation and selection of specific reactive cells by antigen. Br Med Bull. 1976 May;32(2):135–140. doi: 10.1093/oxfordjournals.bmb.a071345. [DOI] [PubMed] [Google Scholar]
- Hendley J. O., Weller T. H. Activation and transmission in rats of infection with Pneumocystis. Proc Soc Exp Biol Med. 1971 Sep;137(4):1401–1404. doi: 10.3181/00379727-137-35798. [DOI] [PubMed] [Google Scholar]
- Herget J., Palecek F. Pulmonary arterial blood pressure in closed chest rats. Changes after catecholamines, histamine and serotonin. Arch Int Pharmacodyn Ther. 1972;198(1):107–117. [PubMed] [Google Scholar]
- Hughes W. T., Feldman S., Chaudhary S. C., Ossi M. J., Cox F., Sanyal S. K. Comparison of pentamidine isethionate and trimethoprim-sulfamethoxazole in the treatment of Pneumocystis carinii pneumonia. J Pediatr. 1978 Feb;92(2):285–291. doi: 10.1016/s0022-3476(78)80028-6. [DOI] [PubMed] [Google Scholar]
- Hughes W. T., Price R. A., Sisko F., Havron W. S., Kafatos A. G., Schonland M., Smythe P. M. Protein-calorie malnutrition. A host determinant for Pneumocystis carinii infection. Am J Dis Child. 1974 Jul;128(1):44–52. doi: 10.1001/archpedi.1974.02110260046008. [DOI] [PubMed] [Google Scholar]
- Johnston M. G., Hay J. B., Movat H. Z. Kinetics of prostaglandin production in various inflammatory lesions, measured in draining lymph. Am J Pathol. 1979 Apr;95(1):225–238. [PMC free article] [PubMed] [Google Scholar]
- Johnston M. G., Hay J. B., Movat H. Z. The modulation of enhanced vascular permeability by prostaglandins through alterations in blood flow (hyperemia). Agents Actions. 1976 Nov;6(6):705–711. doi: 10.1007/BF02026092. [DOI] [PubMed] [Google Scholar]
- Johnston M. G., Hay J. B., Movat H. Z. The role of prostaglandins in inflammation. Curr Top Pathol. 1979;68:259–287. doi: 10.1007/978-3-642-67311-5_10. [DOI] [PubMed] [Google Scholar]
- Kuhn C., 3rd Cytochemistry of pulmonary alveolar epithelial cells. Am J Pathol. 1968 Nov;53(5):809–833. [PMC free article] [PubMed] [Google Scholar]
- Lau W. K., Young L. S. Trimethoprim-sulfamethoxazole treatment of Pneumocystis carinii pneumonia in adults. N Engl J Med. 1976 Sep 23;295(13):716–718. doi: 10.1056/NEJM197609232951308. [DOI] [PubMed] [Google Scholar]
- Levine L. Antibodies to pharmacologically active molecules: specificities and some applications of antiprostaglandins. Pharmacol Rev. 1973 Jun;25(2):293–307. [PubMed] [Google Scholar]
- Lichtenstein L. M., Gillespie E., Bourne H. R., Henney C. S. The effects of a series of prostaglandins on in vitro models of the allergic response and cellular immunity. Prostaglandins. 1972 Dec;2(6):519–528. doi: 10.1016/s0090-6980(72)80040-6. [DOI] [PubMed] [Google Scholar]
- Moncada S., Vane J. R. Unstable metabolites of arachidonic acid and their role in haemostasis and thrombosis. Br Med Bull. 1978 May;34(2):129–135. doi: 10.1093/oxfordjournals.bmb.a071482. [DOI] [PubMed] [Google Scholar]
- Muscoplat C. C., Rakich P. M., Thoen C. O., Johnson D. W. Enhancement of lymphocyte blastogenic and delayed hypersensitivity skin responses by indomethacin. Infect Immun. 1978 Jun;20(3):627–631. doi: 10.1128/iai.20.3.627-631.1978. [DOI] [PMC free article] [PubMed] [Google Scholar]
- Pace-Asciak C. R., Rangaraj G. Prostaglandin biosynthesis and catabolism in the lamb ductus arteriosus, aorta and pulmonary artery. Biochim Biophys Acta. 1978 Apr 28;529(1):13–20. doi: 10.1016/0005-2760(78)90098-x. [DOI] [PubMed] [Google Scholar]
- Pelus L. M., Strausser H. R. Prostaglandins and the immune response. Life Sci. 1977 Mar 15;20(6):903–913. doi: 10.1016/0024-3205(77)90274-0. [DOI] [PubMed] [Google Scholar]
- Pifer L. L., Hughes W. T., Murphy M. J., Jr Propagation of Pneumocystis carinii in vitro. Pediatr Res. 1977 Apr;11(4):305–316. doi: 10.1203/00006450-197704000-00010. [DOI] [PubMed] [Google Scholar]
- Piper P. J., Vane J. R., Wyllie J. H. Inactivation of prostaglandins by the lungs. Nature. 1970 Feb 14;225(5233):600–604. doi: 10.1038/225600a0. [DOI] [PubMed] [Google Scholar]
- Price R. A., Hughes W. T. Histopathology of Pneumocystis carinii infestation and infection in malignant disease in childhood. Hum Pathol. 1974 Nov;5(6):737–752. doi: 10.1016/s0046-8177(74)80043-2. [DOI] [PubMed] [Google Scholar]
- Rao M., Steiner P., Victoria M. S., James P., Fikrig S., Goldenberg L., Kassner E. G. Pneumocystis carinii pneumonia. Occurrence in a healthy American infant. JAMA. 1977 Nov 21;238(21):2301–2301. doi: 10.1001/jama.238.21.2301. [DOI] [PubMed] [Google Scholar]
- Raz A. Interaction of prostaglandins with blood plasma proteins. Comparative binding of prostaglandins A 2 , F 2 and E 2 to human plasma proteins. Biochem J. 1972 Nov;130(2):631–636. doi: 10.1042/bj1300631. [DOI] [PMC free article] [PubMed] [Google Scholar]
- Raz A. Interaction of prostaglandins with blood plasma proteins. I. Binding of prostaglandin E 2 to human plasma proteins and its effect on the physiological activity of prostaglandin E 2 in vitro and in vivo. Biochim Biophys Acta. 1972 Dec 8;280(4):602–613. [PubMed] [Google Scholar]
- Robin E. D., Cross C. E., Zelis R. Pulmonary edema. 2. N Engl J Med. 1973 Feb 8;288(6):292–304. doi: 10.1056/NEJM197302082880606. [DOI] [PubMed] [Google Scholar]
- Rosen P., Armstrong D., Ramos C. Pneumocystis carinii pneumonia. A clinicopathologic study of twenty patients with neoplastic diseases. Am J Med. 1972 Oct;53(4):428–436. doi: 10.1016/0002-9343(72)90138-6. [DOI] [PubMed] [Google Scholar]
- SHELDON W. H. Subclinical pneumocystis pneumonitis. AMA J Dis Child. 1959 Mar;97(3):287–297. doi: 10.1001/archpedi.1959.02070010289005. [DOI] [PubMed] [Google Scholar]
- Smith R. J. Modulation of phagocytosis by and lysosomal enzyme secretion from guinea-pig neutrophils: effect of nonsteroid anti-inflammatory agents and prostaglindins. J Pharmacol Exp Ther. 1977 Mar;200(3):647–657. [PubMed] [Google Scholar]
- Sorokin S. P., Brain J. D. Pathways of clearance in mouse lungs exposed to iron oxide aerosols. Anat Rec. 1975 Mar;181(3):581–625. doi: 10.1002/ar.1091810304. [DOI] [PubMed] [Google Scholar]
- Sostman H. D., Matthay R. A., Putman C. E., Smith G. J. Methotrexate-induced pneumonitis. Medicine (Baltimore) 1976 Sep;55(5):371–388. doi: 10.1097/00005792-197609000-00002. [DOI] [PubMed] [Google Scholar]
- Spurr A. R. A low-viscosity epoxy resin embedding medium for electron microscopy. J Ultrastruct Res. 1969 Jan;26(1):31–43. doi: 10.1016/s0022-5320(69)90033-1. [DOI] [PubMed] [Google Scholar]
- Stockman G. D., Mumford D. M. The effect of prostaglandins on the in vitro blastogenic response of human peripheral blood lymphocytes. Exp Hematol. 1974;2(2):65–72. [PubMed] [Google Scholar]
- Szidon J. P., Pietra G. G., Fishman A. P. The alveolar-capillary membrane and pulmonary edema. N Engl J Med. 1972 Jun 1;286(22):1200–1204. doi: 10.1056/NEJM197206012862208. [DOI] [PubMed] [Google Scholar]
- Taylor A. E., Gaar K. A., Jr Estimation of equivalent pore radii of pulmonary capillary and alveolar membranes. Am J Physiol. 1970 Apr;218(4):1133–1140. doi: 10.1152/ajplegacy.1970.218.4.1133. [DOI] [PubMed] [Google Scholar]
- Vavra J., Kucera K. Pneumocystis carinii delanoë, its ultrastructure and ultrastructural affinities. J Protozool. 1970 Aug;17(3):463–483. doi: 10.1111/j.1550-7408.1970.tb04715.x. [DOI] [PubMed] [Google Scholar]
- Walzer P. D., Schnelle V., Armstrong D., Rosen P. P. Nude mouse: a new experimental model for Pneumocystis carinii infection. Science. 1977 Jul 8;197(4299):177–179. doi: 10.1126/science.301657. [DOI] [PubMed] [Google Scholar]
- Webb D. R., Nowowiejski I. The role of prostaglandins in the control of the primary 19S immune response to sRBC. Cell Immunol. 1977 Sep;33(1):1–10. doi: 10.1016/0008-8749(77)90129-0. [DOI] [PubMed] [Google Scholar]
- Webb D. R., Osheroff P. L. Antigen stimulation of prostaglandin synthesis and control of immune responses. Proc Natl Acad Sci U S A. 1976 Apr;73(4):1300–1304. doi: 10.1073/pnas.73.4.1300. [DOI] [PMC free article] [PubMed] [Google Scholar]
- Weber W. R., Askin F. B., Dehner L. P. Lung biopsy in Pneumocystis carinii pneumonia: a histopathologic study of typical and atypical features. Am J Clin Pathol. 1977 Jan;67(1):11–19. doi: 10.1093/ajcp/67.1.11. [DOI] [PubMed] [Google Scholar]
- Young R. C., DeVita V. T., Jr Treatment of Pneumocystis carinii pneumonia: current status of the regimens of pentamidine isethionate and pyrimethamine-sulfadiazine. Natl Cancer Inst Monogr. 1976 Oct;43:193–200. [PubMed] [Google Scholar]










