Abstract
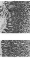
The development of behaviorally induced acute gastric “stress” ulcers was studied in rats. Rats were first trained to press a bar for food. During either 19 or 29 consecutive days of testing they continued to work for food but were also stressed by mild foot shock. This schedule has previously been shown to be impressively ulcerogenic, though otherwise not physically traumatic. Gastric lesions fell into two histologic classes: an acute ulcerative-hemorrhagic process with several different manifestations and a focal clear cell metaplasia of the gastric pit epithelium. The following explanation is tentatively offered to account for these findings: a) Stress induces constriction of the blood vessels of the muscularis mucosa and results in focal mucosal infarction. b) The gastric pit metaplasia may reflect a response to a stress-induced impairment of the protective mucous coat. In addition, preliminary data suggest that ulceration and healing occur continuously throughout the test period so that no ulcer progresses to perforation.
Full text
PDF













Images in this article
Selected References
These references are in PubMed. This may not be the complete list of references from this article.
- BONFILS S., ROSSI G., LIEFOOGHE G., LAMBLING A. Ulcère expérimental de contrainte du rat blanc. I. Méthodes; fréquence des lésions; modifications par certains procedés techniques et pharmacodynamiques. Rev Fr Etud Clin Biol. 1959 Feb;4(2):146–150. [PubMed] [Google Scholar]
- BRODIE D. A., HANSON H. M. A study of the factors involved in the production of gastric ulcers by the restraint technique. Gastroenterology. 1960 Mar;38:353–360. [PubMed] [Google Scholar]
- BRODIE D. A. LITERATURE REVIEW OF RESTRAINT INDUCED ULCERS. J Neuropsychiatr. 1963 Aug;4:388–390. [PubMed] [Google Scholar]
- Douglass H. O., Jr, LeVeen H. H. Stress ulcers. A clinical and experimental study showing the roles of mucosal susceptibility and hypersecretion. Arch Surg. 1970 Feb;100(2):178–181. doi: 10.1001/archsurg.1970.01340200066015. [DOI] [PubMed] [Google Scholar]
- FLETCHER D. G., HARKINS H. N. Acute peptic ulcer as a complication of major surgery, stress or trauma. Surgery. 1954 Aug;36(2):212–226. [PubMed] [Google Scholar]
- Goldman H., Rosoff C. B. Pathogenesis of acute gastric stress ulcers. Am J Pathol. 1968 Jan;52(1):227–244. [PMC free article] [PubMed] [Google Scholar]
- Goodman A. A., Frey C. F. Massive upper gastrointestinal hemorrhage following surgical operations. Ann Surg. 1968 Feb;167(2):180–184. doi: 10.1097/00000658-196802000-00004. [DOI] [PMC free article] [PubMed] [Google Scholar]
- Guth P. H., Hall P. Microcirculatory and mast cell changes in restraint-induced gastric ulcer. Gastroenterology. 1966 Apr;50(4):562–570. [PubMed] [Google Scholar]
- HANSON H. M. RESTRAINT AND GASTRIC ULCERS. J Neuropsychiatr. 1963 Aug;4:390–395. [PubMed] [Google Scholar]
- HOLLANDER F. The two-component mucous barrier; its activity in protecting the gastroduodenal mucosa against peptic ulceration. AMA Arch Intern Med. 1954 Jan;93(1):107–120. doi: 10.1001/archinte.1954.00240250117009. [DOI] [PubMed] [Google Scholar]
- JENNINGS M. A., FLOREY H. W. Autoradiographic observations on the mucous cells of the stomach and intestine. Q J Exp Physiol Cogn Med Sci. 1956 Apr;41(2):131–152. doi: 10.1113/expphysiol.1956.sp001171. [DOI] [PubMed] [Google Scholar]
- Lane B. P. Alterations in the cytologic detail of intestinal smooth muscle cells in various stages of contraction. J Cell Biol. 1965 Oct;27(1):199–213. doi: 10.1083/jcb.27.1.199. [DOI] [PMC free article] [PubMed] [Google Scholar]
- MENGUY R., MASTERS Y. F. Effect of cortisone on mucoprotein secretion by gastric antrum of dogs: pathogenesis of steroid ulcer. Surgery. 1963 Jul;54:19–28. [PubMed] [Google Scholar]
- MYREN J. ON SECRETION AND CELL STRUCTURE OF GASTRIC MUCOSA. Scand J Clin Lab Invest. 1963;15:SUPPL 76–76:39. [PubMed] [Google Scholar]
- Margaretten W., McKay D. G. Thrombotic ulcerations of the gastrointestinal tract. Arch Intern Med. 1971 Feb;127(2):250–253. [PubMed] [Google Scholar]
- Menguy R. Acute gastric mucosal bleeding. Annu Rev Med. 1972;23:297–312. doi: 10.1146/annurev.me.23.020172.001501. [DOI] [PubMed] [Google Scholar]
- O'Neill J. A., Jr, Pruitt B. A., Jr, Moncrief J. A., Switzer W. E. Studies related to the pathogenesis of Curling's ulcer. J Trauma. 1967 Mar;7(2):275–287. doi: 10.1097/00005373-196703000-00010. [DOI] [PubMed] [Google Scholar]
- OLDS M. E., OLDS J. Approach-avoidance analysis of rat diencephalon. J Comp Neurol. 1963 Apr;120:259–295. doi: 10.1002/cne.901200206. [DOI] [PubMed] [Google Scholar]
- ROSSI G., BONFILS S., LIEFFOGH F., LAMBLING A. Technique nouvelle pour produire des ulcérations gastriques chez le rat blanc: l'ulcère de contrainte. C R Seances Soc Biol Fil. 1956;150(12):2124–2126. [PubMed] [Google Scholar]
- SEGAL H. L. Ulcerogenic drugs and technics: experimental and clinical. Am J Med. 1960 Nov;29:780–792. doi: 10.1016/0002-9343(60)90112-1. [DOI] [PubMed] [Google Scholar]
- SPICER S. S. A correlative study of the histochemical properties of rodent acid mucopolysaccharides. J Histochem Cytochem. 1960 Jan;8:18–35. doi: 10.1177/8.1.18. [DOI] [PubMed] [Google Scholar]
- STEVENS C. E., LEBLOND C. P. Renewal of the mucous cells in the gastric mucosa of the rat. Anat Rec. 1953 Feb;115(2):231–245. doi: 10.1002/ar.1091150206. [DOI] [PubMed] [Google Scholar]
- Seligman M. E., Meyer B. Chronic fear and ulcers in rats as a function of the unpredictability of safety. J Comp Physiol Psychol. 1970 Nov;73(2):202–207. doi: 10.1037/h0030219. [DOI] [PubMed] [Google Scholar]
- WAGNER B. M., SHAPIRO S. H. Application of alcian blue as a histochemical method. Lab Invest. 1957 Sep-Oct;6(5):472–477. [PubMed] [Google Scholar]
- Weiss J. M. Effects of coping behavior in different warning signal conditions on stress pathology in rats. J Comp Physiol Psychol. 1971 Oct;77(1):1–13. doi: 10.1037/h0031583. [DOI] [PubMed] [Google Scholar]








