Full text
PDF












Images in this article
Selected References
These references are in PubMed. This may not be the complete list of references from this article.
- CORBETT M. K. Purification of potato virus X without aggregation. Virology. 1961 Sep;15:8–15. doi: 10.1016/0042-6822(61)90070-8. [DOI] [PubMed] [Google Scholar]
- Gresser I., Lang D. J. Relationships between viruses and leucocytes. Prog Med Virol. 1966;8:62–130. [PubMed] [Google Scholar]
- HARFORD C. G., HAMLIN A., MIDDELKAMP J. N., BRIGGS D. D., Jr Electron microscopic examination of cells infected with reovirus. J Lab Clin Med. 1962 Aug;60:179–193. [PubMed] [Google Scholar]
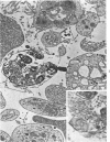
- HASSAN S. A., RABIN E. R., MELNICK J. L. REOVIRUS MYOCARDITIS IN MICE: AN ELECTRON MICROSCOPIC, IMMUNOFLUORESCENT, AND VIRUS ASSAY STUDY. Exp Mol Pathol. 1965 Feb;76:66–80. doi: 10.1016/0014-4800(65)90024-9. [DOI] [PubMed] [Google Scholar]
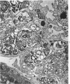
- JENSON A. B., RABIN E. R., PHILLIPS C. A., MELNICK J. L. REOVIRUS ENCEPHALITIS IN NEWBORN MICE: AN ELECTRON MICROSCOPIC AND VIRUS ASSAY STUDY. Am J Pathol. 1965 Aug;47:223–239. [PMC free article] [PubMed] [Google Scholar]
- MIMS C. A. ASPECTS OF THE PATHOGENESIS OF VIRUS DISEASES. Bacteriol Rev. 1964 Mar;28:30–71. doi: 10.1128/br.28.1.30-71.1964. [DOI] [PMC free article] [PubMed] [Google Scholar]
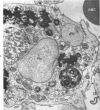
- Papadimitriou J. M. Electron micrographic features of acute murine reovirus hepatitis. Am J Pathol. 1965 Oct;47(4):565–585. [PMC free article] [PubMed] [Google Scholar]
- RAPP F. Localization of antinuclear factors from lupus erythematosus sera in tissue culture. J Immunol. 1962 Jun;88:732–740. [PubMed] [Google Scholar]
- RHIM J. S., SMITH K. O., MELNICK J. L. Complete and coreless forms of reovirus (ECHO 10). Ratio of number of virus particles to infective units in the one-step growth cycle. Virology. 1961 Dec;15:428–435. doi: 10.1016/0042-6822(61)90110-6. [DOI] [PubMed] [Google Scholar]
- TOURNIER P., PLISSIER M. [The intracellular development of the reovirus studied with the electron microscope]. Presse Med. 1960 Apr 9;68:683–688. [PubMed] [Google Scholar]
- Wallis C., Melnick J. L., Rapp F. Effects of pancreatin on the growth of reovirus. J Bacteriol. 1966 Jul;92(1):155–160. doi: 10.1128/jb.92.1.155-160.1966. [DOI] [PMC free article] [PubMed] [Google Scholar]





