Abstract
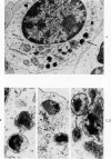
Parallel tubular inclusions were found in peripheral blood lymphocytes from 18 patients with various hematologic disorders, primarily lymphoproliferative processes, and 1 apparently healthy individual. The inclusions varied in size from 1000 to 6000 A and were usually membrane bounded. The microtubule-like structures comprising the inclusions ranged in size from 150 to 300 A and were packed in wall-to-wall contact with each other. Dense amorphous material and small dark crystalloids were frequently noted in the inclusions. There appeared to be a spatial and structural relationship of the inclusions with the centriole. The highest percent of lymphocytes with inclusionss (greater than 90%) were found in a patient with a lympho-proliferative disorder in whom 95% of the peripheral blood lymphocytes typed as T cells by spontaneous rosette formation with sheep red blood cells. (Am J Pathol 78:59-70, 1975)
Full text
PDF











Images in this article
Selected References
These references are in PubMed. This may not be the complete list of references from this article.
- Bariety J., Amor B., Kahan A., Balafrej J. L., Delbarre F. Ultrastructural anomalies in mononuclear cells of peripheral blood in S.L.E.: Presence of virus-like inclusions. Rev Eur Etud Clin Biol. 1971 Aug-Sep;16(7):715–720. [PubMed] [Google Scholar]
- Baringer J. R., Swoveland P. Tubular aggregates in endoplasmic reticulum: evidence against their viral nature. J Ultrastruct Res. 1972 Nov;41(3):270–276. doi: 10.1016/s0022-5320(72)90069-x. [DOI] [PubMed] [Google Scholar]
- CAULFIELD J. B. Effects of varying the vehicle for OsO4 in tissue fixation. J Biophys Biochem Cytol. 1957 Sep 25;3(5):827–830. doi: 10.1083/jcb.3.5.827. [DOI] [PMC free article] [PubMed] [Google Scholar]
- Chandra S., Moore G. E., Brandt P. M. Similarity between leukocyte cultures from cancerous and noncancerous human subjects: an electron microscopic study. Cancer Res. 1968 Oct;28(10):1982–1989. [PubMed] [Google Scholar]
- Goodman J. R., Sylvester R. A., Talal N., Tuffanelli D. L. Virus-like structures in lymphocytes of patients with systemic and discoid lupus erythematosus. Ann Intern Med. 1973 Sep;79(3):396–402. doi: 10.7326/0003-4819-79-3-396. [DOI] [PubMed] [Google Scholar]
- Hovig T., Jeremic M., Stavem P. A new type of inclusion bodies in lymphocytes. Scand J Haematol. 1968;5(2):81–96. doi: 10.1111/j.1600-0609.1968.tb01723.x. [DOI] [PubMed] [Google Scholar]
- Huhn D. Neue Organelle im peripheren Lymphozyten? Dtsch Med Wochenschr. 1968 Nov 1;93(44):2099–2100. doi: 10.1055/s-0028-1110887. [DOI] [PubMed] [Google Scholar]
- Pothier L., Uzman B. G., Kasac M. M., Saito H., Adams R. A. Immunoglobulin synthesis and tubular arrays in the endoplasmic reticulum in transplanted human tumors of lymphoid origin. Lab Invest. 1973 Dec;29(6):607–613. [PubMed] [Google Scholar]
- REYNOLDS E. S. The use of lead citrate at high pH as an electron-opaque stain in electron microscopy. J Cell Biol. 1963 Apr;17:208–212. doi: 10.1083/jcb.17.1.208. [DOI] [PMC free article] [PubMed] [Google Scholar]
- Schaff Z., Barry D. W., Grimley P. M. Cytochemistry of tubuloreticular structures in lymphocytes from patients with systemic lupus erythematosus and in cultured human lymphoid cells: comparison to a paramyxovirus. Lab Invest. 1973 Dec;29(6):577–586. [PubMed] [Google Scholar]
- Schaff Z., Heine U., Dalton A. J. Ultramorphological and ultracytochemical studies on tubuloreticular structures in lymphoid cells. Cancer Res. 1972 Dec;32(12):2696–2706. [PubMed] [Google Scholar]
- Sheldon P. J., Hemsted E. H., Papamichail M., Holborow E. J. Thymic origin of atypical lymphoid cells in infectious mononucleosis. Lancet. 1973 May 26;1(7813):1153–1155. doi: 10.1016/s0140-6736(73)91148-3. [DOI] [PubMed] [Google Scholar]
- Uzman B. G., Saito H., Kasac M. Tubular arrays in the endoplasmic reticulum in human tumor cells. Lab Invest. 1971 Jun;24(6):492–498. [PubMed] [Google Scholar]
- White J. G. Giant organelles containing tubules in Chediak-Higashi lymphocytes. Am J Pathol. 1972 Nov;69(2):225–238. [PMC free article] [PubMed] [Google Scholar]
- White J. G. Lymphocyte inclusions. Ann Intern Med. 1972 Jun;76(6):1042–1043. doi: 10.7326/0003-4819-76-6-1042. [DOI] [PubMed] [Google Scholar]





