Full text
PDF
















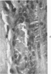
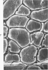
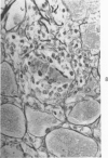
Images in this article
Selected References
These references are in PubMed. This may not be the complete list of references from this article.
- GIBSON W., LINENTHAL A. J., NORMAN L. R., PAUL M. H., ZOLL P. M. The effect of external electric currents on the heart; control of cardiac rhythm and induction and termination of cardiac arrhythmias. Circulation. 1956 Nov;14(5):745–756. doi: 10.1161/01.cir.14.5.745. [DOI] [PubMed] [Google Scholar]
- LOWN B., AMARASINGHAM R., NEUMAN J. New method for terminating cardiac arrhythmias. Use of synchronized capacitor discharge. JAMA. 1962 Nov 3;182:548–555. [PubMed] [Google Scholar]
- LOWN B., NEUMAN J., AMARASINGHAM R., BERKOVITS B. V. Comparison of alternating current with direct electroshock across the closed chest. Am J Cardiol. 1962 Aug;10:223–233. doi: 10.1016/0002-9149(62)90299-0. [DOI] [PubMed] [Google Scholar]
- LOWN B., PERLROTH M. G., KAIDBEY S., ABE T., HARKEN D. E. "Cardioversion" of atrial fibrillation. A report on the treatment of 65 episodes in 50 patients. N Engl J Med. 1963 Aug 15;269:325–331. doi: 10.1056/NEJM196308152690701. [DOI] [PubMed] [Google Scholar]
- MACKAY R. S., MOOSLIN K. E., LEEDS S. E. The effects of electric currents on the canine heart with particular reference to ventricular fibrillation. Ann Surg. 1951 Aug;134(2):173–185. doi: 10.1097/00000658-195108000-00003. [DOI] [PMC free article] [PubMed] [Google Scholar]
- MAIN F. B., ABERDEEN E., GERBODE F. L. COMPARISON OF VENTRICULAR FUNCTION SUBSEQUENT TO MULTIPLE DEFIBRILLATIONS UTILIZING THE ALTERNATING CURRENT AND THE DIRECT CURRENT DEFIBRILLATORS. Surg Forum. 1963;14:258–259. [PubMed] [Google Scholar]
- MORRIS J. J., Jr, KONG Y., NORTH W. C., MCINTOSH H. D. EXPERIENCE WITH "CARDIOVERSION" OF ATRIAL FIBRILLATION AND FLUTTER. Am J Cardiol. 1964 Jul;14:94–100. doi: 10.1016/0002-9149(64)90112-2. [DOI] [PubMed] [Google Scholar]
- ORAM S., DAVIES J. P., WEINBREN I., TAGGART P., KITCHEN L. D. Conversion of atrial fibrillation to sinus rhythm by direct-current shock. Lancet. 1963 Jul 27;2(7300):159–162. doi: 10.1016/s0140-6736(63)92799-5. [DOI] [PubMed] [Google Scholar]
- TAYLOR P. H., PUGSLEY L. Q., VOGEL E. H., Jr The intriguing electrical burn. A review of thirty-one electrical burn cases. J Trauma. 1962 Jul;2:309–326. [PubMed] [Google Scholar]
- TEDESCHI C. G., WHITE C. W., Jr A morphologic study of canine hearts subjected to fibrillation, electrical defibrillation and manual compression. Circulation. 1954 Jun;9(6):916–921. doi: 10.1161/01.cir.9.6.916. [DOI] [PubMed] [Google Scholar]
- YARBROUGH R., USSERY G., WHITLEY J. A COMPARISON OF THE EFFECTS OF A.C. AND D.C. COUNTERSHOCK ON VENTRICULAR FUNCTION IN THORACOTOMIZED DOGS. Am J Cardiol. 1964 Oct;14:504–512. doi: 10.1016/0002-9149(64)90034-7. [DOI] [PubMed] [Google Scholar]








