Full text
PDF












Images in this article
Selected References
These references are in PubMed. This may not be the complete list of references from this article.
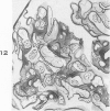
- FOGLIA V. G., MANCINI R. E., CARDEZA A. F. Glomerular lesions in the diabetic rat. Arch Pathol (Chic) 1950 Jul;50(1):75–83. [PubMed] [Google Scholar]
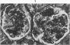
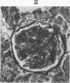
- Kimmelstiel P., Wilson C. Intercapillary Lesions in the Glomeruli of the Kidney. Am J Pathol. 1936 Jan;12(1):83–98.7. [PMC free article] [PubMed] [Google Scholar]
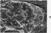
- Moritz A. R., Oldt M. R. Arteriolar Sclerosis in Hypertensive and Non-Hypertensive Individuals. Am J Pathol. 1937 Sep;13(5):679–728.7. [PMC free article] [PubMed] [Google Scholar]















