Abstract
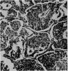
Forty-five percutaneous trephine lung biopsies using the Steel apparatus were performed on 38 patients. Tissue was obtained on 42 occasions (94%) leading to histological or culture diagnosis in 33 patients (87%). Pneumothoraces (12 patients), bleeding into the airways or pleural space (4 patients), and tumour seeding along the needle track (1 patient) occurred in 38% of biopsy attempts (45% of patients). In contrast to the Vim-Silverman technique, the Steel trephine appears to produce a higher tissue yield and superior specimens for histological study. Trephine lung biopsy is comparable to open lung biopsy in providing positive diagnoses. With anticipation and expeditious management of complications, trephine lung biopsy is both safe and useful in the diagnosis of pulmonary disease.
Full text
PDF





Images in this article
Selected References
These references are in PubMed. This may not be the complete list of references from this article.
- Aronovitch M., Chartier J., Kahana L. M., Meakins J. F., Groszman M. Needle Biopsy as an Aid to the Precise Diagnosis of Intrathoracic Disease. Can Med Assoc J. 1963 Jan 19;88(3):120–127. [PMC free article] [PubMed] [Google Scholar]
- GAENSLER E. A., MOISTER V. B., HAMM J. OPEN-LUNG BIOPSY IN DUFFUSE PULMONARY DISEASE. N Engl J Med. 1964 Jun 18;270:1319–1331. doi: 10.1056/NEJM196406182702501. [DOI] [PubMed] [Google Scholar]
- Libcke J. H. Heterotopic gastric mucosa in the cervical esophagus a possible cause of fatal aspiration. Pediatrics. 1969 Sep;44(3):447–448. [PubMed] [Google Scholar]
- SMITH W. G. NEEDLE BIOPSY OF THE LUNG. WITH SPECIAL REFERENCE TO DIFFUSE LUNG DISEASE AND THE USE OF A NEW NEEDLE. Thorax. 1964 Jan;19:68–78. doi: 10.1136/thx.19.1.68. [DOI] [PMC free article] [PubMed] [Google Scholar]
- Steel S. J., Winstanley D. P. Trephine biopsy of the lung and pleura. Thorax. 1969 Sep;24(5):576–584. doi: 10.1136/thx.24.5.576. [DOI] [PMC free article] [PubMed] [Google Scholar]





