Abstract
Background
Over the past five years in situ hybridization techniques employing tyramide amplification reagents have been developed and promise the potential detection of low/single-copy nucleic acid sequences. However the increased sensitivity that tyramide amplification brings about may also lead to problems of background staining that confound data interpretation.
Methods
In this study those factors enabling background-free biotinyl-tyramide based in situ hybridization assay of formalin-fixed paraffin-embedded tissues have been examined. SiHa, HeLa and CaSki cell lines known to contain HPV integrated into the cell genome, and archival cervical pre-invasive lesions and carcinomas have been successfully assessed using biotinylated HPV and centromeric probes.
Results
The single most important factor both for sensitivity and clean background was a tissue unmasking regimen that included treatment with 10 mM sodium citrate pH 6.0 at 95°C followed by digestion with pepsin/0.2 M HCl. Concentrations both of probe and primary streptavidin-peroxidase conjugate and pH of hybridization mix and stringency washes were also critical for sensitivity. Certain probes were more associated with background staining than others. This problem was not related to probe purity or size. In these instances composition of hybridization mix solution was especially critical to avoid background. 3-amino-9-ethylcarbazole was preferred over 3,3'-diaminobenzidene as a chromogen because background was cleaner and the 1–2 copies of HPV16 integrated in SiHa cells were readily demonstrable. HPV detection on metaphase spreads prepared from SiHa cells was only successful when a fluorescent detection method was combined with tyramide reagent. 'Punctate' and 'diffuse' signal patterns were identified amongst tissues consistent with the former representing integration and 'diffuse' representing episomal HPV. Only punctate signals were detected amongst the cell lines and were common amongst high-grade pre-invasive lesions and carcinomas. However it remains to be determined why single/low-copy episomal HPV in basal/parabasal cells of low-grade lesions is not also detectable using tyramide-based techniques and whether every punctate signal represents integration.
Conclusions
A tyramide-based in situ hybridization methodology has been established that enables sensitive, background-free assay of clinical specimens. As punctate signals characterize HPV in high-grade cervical lesions the method may have potential for clinical applications.
Background
Over the past five years, in situ hybridization techniques employing tyramide amplification reagents have been developed and promise the potential detection of low/single-copy nucleic acid sequences. However the increased sensitivity that tyramide amplification brings about may also lead to problems of background staining that confound data interpretation. In this study factors that allow reproducible, sensitive, and clean biotinyl-tyramide based in situ hybridization assay have been investigated. Formalin-fixed paraffin-embedded (FFPE) human papillomavirus (HPV) positive cell-lines (SiHa, HeLa and CaSki,) as well as FFPE cervical lesions (pre-invasive and invasive) infected with HPV have been used as model systems. In addition metaphase chromosome spreads prepared from SiHa cells have been examined.
Materials
Cell Lines
SiHa cells which contain 1–2 copies of HPV 16 integrated at chromosome 13q21-31, HeLa cells which contain up to 50 copies of HPV 18 integrated at 5 sites and CaSki cells which contain up to 600 copies of HPV 16 integrated at multiple sites [1] were obtained from the ATCC, Manassas, VA. After culture, cells were fixed with 4% paraformaldehyde/PBS and then suspended in 2% agar in normal saline. The plug of fixed cells was then paraffin-embedded by routine processing. Slides of paraffin-embedded SiHa cells were also supplied with the GenPoint tyramide reagent kit (DAKO, Carpinteria, CA).
Cervical Lesions
A selection of formalin-fixed, paraffin-embedded (FFPE) cervical lesions was collected from the Department of Pathology archives, observing Institution Review Board guidelines. HPV type was determined using a modification of GP5+/6+ PCR assay [2].
Probes
Full-length (~8 kb) HPV type specific sequences contained in plasmid vectors were obtained. HPV types 11 and 16 were received courtesy of Dr E-M de Villiers Deutsches Krebsforschungszentrum (DKFZ), Heidelberg, Germany [3,4]. HPV type 33 DNA was received from Dr G Orth, Institut Pasteur, Paris, France [5]. HPV types 6, 18, 31, 35, 43 and 56 were obtained from the American Type Culture Collection (ATCC, http://www.atcc.org/Home.cfm) [ATCC catalog numbers: 45150 (HPV 6); 45152 (HPV 18); 65446 (HPV 31); 40330 and 40331 (HPV-35); 40338 and 40339 (HPV 43); 40549 (HPV 56)]. Human chromosome DNA specific to alpha-satellite centromeric regions was also obtained from the ATCC [catalog numbers: 61078 (D9Z3, chromosome 9); 61396 (D10S71, chromosome 10); 65438 (D11Z1 chromosome 11); 61398 (D12Z1, chromosome 12) and 65442 (D17Z1, chromosome 17). Plasmid/insert DNA sequences were isolated from bacterial cultures by column purification (Qiagen, Valencia, CA) and were biotin-labeled by nick-translation (Invitrogen, Carlsbad, CA).
Methods and Results
In situ hybridization can be divided into five phases: section preparation, tissue unmasking, hybridization, post-hybridization washes, and, detection. For each of these phases there are multiple potential variables that could affect sensitivity and background staining. The effects of a variety of these factors on sensitivity and background have been examined for each phase. Clearly, when there are so many potential variables, it is not practicable to test each variable relative to every other. The factors strictly controlled as variables are indicated in the description for each phase. Experimental regimens were tested on cell lines and a minimum of 3 up to 24 tissue sections from 1 to 8 patients. The HPV-type present in a particular lesion was determined by GP5+/6+ assay [2] and in situ hybridization was then performed using the appropriate HPV plasmid probe. If the specific HPV-type probe was not available wide-spectrum probe 1a (DAKO) was used.
Section Preparation and Dewaxation
Six-micrometer thick sections were floated onto slides using autoclaved distilled water in the preparation bath. ADCELL™ slides (Erie Scientific Company, Portsmouth, NH) were found to provide excellent retention of tissues during NISH processing and were marginally better than 'home' prepared silane coated slides in terms of non-specific staining of glass. Sections were baked onto slides overnight at 55°C. Sections were dewaxed with xylene, washed with 100% ethanol, 90% ethanol and 75% ethanol and rehydrated with sterile distilled water.
Tissue Unmasking
Non-Protease Unmasking
Five regimens were tested: no pretreatment; 10 mM sodium citrate pH6.0, 90–95°C 30–40 minutes, with and without the addition of 0.1% Triton; 100 mM Tris-HCl pH 6.0 – pH 10.0, 80 – 95°C 15 – 40 minutes; 1 M sodium thiocyanate 80°C 10 minutes. After dewaxation and air-drying, slides were immersed in these solutions in Coplin jars pre-heated to temperature in water baths. After incubation, Coplin jars were removed from the water bath and slides immersed in sodium citrate or Tris-HCl and were allowed to sit in solution for a further 20 minutes before being rinsed with water and air-dried. Non-inclusion of one of these steps predisposed to background staining. Cleanest results were obtained with a sodium citrate step. There was no benefit to sensitivity of background by inclusion of Triton, which tended to result in loss of tissue from slides. Several other pre-treatments regimens were not tested. These include the use of 1 mM EDTA pH8.0 at high-temperature, and 'tissue unmasking' solutions available from BioGenex, DAKO, Zymed and other companies.
Protease Unmasking
Protease digestion was essential to enable target signal detection with any of the above unmasking aids. Three proteases were tested: pepsin/0.2 M HCl, proteinase K / PBS and protease VIII / PBS. Pepsin/0.2 M HCl digest preceded by sodium citrate treatment yielded the cleanest and most sensitive detection of viral and chromosomal sequences. The pepsin solution was prepared by heating 50 mls of 0.2 M HCl to 37°C and then mixing in 100 mg of pepsin (Sigma P-7012, Sigma, St Louis, MO). Pepsin was allowed to dissolve for 20 minutes then 2 ml was mixed with 38 ml 0.2 M HCl at room temperature (25°C) to yield a 100μg/ml solution. Slides were incubated with this solution at 25°C for 2 minutes (fixed cell lines) up to 35 minutes (CIN) lesions. The majority of FFPE pathology specimens required 15 minutes digestion. Slides were then rinsed with water, washed in three changes of PBS/0.05% Tween 20 for a total of 15 minutes and then rinsed in water. Tissues were then immersed in methanol/0.6% hydrogen peroxide for 30 minutes as a precaution against endogenous peroxidase followed by water rinses for 15 minutes and were then air-dried. The three proteases were tested in the absence of non-protease unmasking steps. Pepsin and proteinase K were tested with all four non-protease unmasking steps and protease VIII was only tested in combination with sodium citrate unmasking. Overall tissue unmasking was found to be one of the most critical steps for sensitive detection.
Post-digestion fixation
Including post-digestion fixation steps with 4% paraformaldehyde or methanol/acetic acid (4:1) in the NISH assay were investigated when pepsin or proteinase K were used with or without sodium citrate. No benefits to sensitivity or background cleanliness were identified.
Hybridization
Hybridization Mix Components
Dextran Sulfate (Sigma) was tested at concentrations ranging from 0% to 20%, and formamide (Sigma) at concentrations ranging from 20% to 60% (using pepsin with or without sodium citrate unmasking regimen). Other proteases used were tested with 10% dextran sulphate, 50% formamide. The following buffer solutions were tested: 2X SSC (300 mM NaCl, 30 mM sodium citrate), 2X SSPE (300 mM NaCl, 20 mM NaH2PO4, 2 mM EDTA), and, 2X STE (300 mM NaCl, 50 mM Tris-HCl, 2 mM EDTA). Solutions were tested at pH 6.0, 6.5, 7.0, 7.5, and 8.0 using a pepsin/sodium citrate regimen. Otherwise the proteases used (with or without tissue pretreatment) were tested only with 2X SSC pH7.0. Sonicated human placental DNA (Sigma D3287) at a concentration of 400 ng/μl hybridization mix was included when using an HPV probe. Sonicated salmon sperm DNA (Sigma) at the same concentration was included when human sequence centromeric probes were used. A commercially available hybridization mix (DAKO S3305) was also assessed.
HPV or centromeric plasmid was labeled with biotin by nick-translation (Invitrogen Life Technologies, Carlsbad, CA). Nick-translation reactions were allowed to progress for different lengths of time to enable the effect of probe size to be examined. Size of heat denatured (i.e. single strand) probe fragments was checked by agarose gel electrophoresis of denatured probe followed by Southern transfer and demonstration of biotin by BluGene kit (Invitrogen Life Technologies). Probes were purified through mini-columns (Qiagen) and tested at concentrations ranging from 0.1 up to 2 ng/μl hybridization mix. This assessment was performed for tissues treated according to the protocol listed in Table 1.
Table 1.
Summary of Optimized Protocol for FFPE Tissues
| 1. | Cut sections onto ADCELL™ coated slides using molecular biology grade water. |
| 2. | Dewax and treat with 10 mM sodium citrate pH6.0 at 95°C. |
| 3. | Digest with 100μg/ml pepsin/0.2 M HCL at room temperature. |
| 4. | Treat slides with 0.6%H2O2/methanol. |
| 5. | Apply probe/hybridization mix (pH7.0) to section, seal under coverslip, heat denature at 95°C. |
| 6. | Hybridize overnight at 37°C. |
| 7. | Remove coverslip under 2X SSC/0.05% Tween20 pH7.0 at room temperature. |
| 8. | Wash slides in 0.2X SSC/0.05% Tween20 pH7.0 at 55°C. |
| 9. | Apply primary streptavidin-peroxidase conjugate (DAKO) diluted 1:500 (HPV) or 1:5000 (centromeric probes). |
| 10. | Apply biotinyl-tyramide and secondary streptavidin peroxidase (DAKO). |
| 11. | Demonstrate hybridization signal with 3-amino-9-ethylcarbazole (AEC) applied for ~10 minutes. |
Absence of dextran sulfate resulted in background problems and at a concentration of 20% sensitivity was significantly reduced. The tested range of formamide concentrations had little effect on background staining. Hybridization mixes prepared with STE invariably gave background problems. There was little difference between SSC and SSPE buffers. Hybridization mix pH was found to be important. Sensitivity was significantly reduced at pH < 7.0. Background was significantly increased at pH > 7.5. It was noted that the pH of a 2X SSC solution diluted from 20X SSC pH 7.0 had a pH of ~7.8 and that it was preferable to adjust pH hybridization mix (buffer, formamide, dextran sulfate) directly. Probes nick-translated to yield denatured fragments primarily ranging in size from 500 bases to 100 bases yielded strongest and cleanest signals. Sensitivity was significantly lowered when single-strand probe fragment size was predominantly below < 200 bases in length. Probe concentration was important for sensitivity, which dropped noticeably when the concentration was below 0.5 ng/μl. It was not possible to compensate for loss in sensitivity by subsequently increasing the concentration of detection reagents. To detect the 1–2 copies of HPV 16 in SiHa cells HPV probe at a concentration of 1 ng/μl was sufficient. Centromeric probes were used at 0.5 ng/μl concentration.
"Dirty Probes"
Background-free results were obtained for all centromeric probes tested and most HPV type probes tested. However certain HPV probes such as that for type 31 were consistently associated with non-specific background staining. This problem remained despite repeat preparation of plasmid by column extraction (Qiagen), repeat nick-translation of probe to yield different sized fragments, and repeat purifications of labeled probe through mini-columns (Qiagen) or by isopropanol precipitation. This suggests the staining is somehow related to the physical properties of the probe sequence structure and is not due to some unidentified contaminant. However this non-specific staining was virtually eliminated when the commercially supplied hybridization mix (DAKO) was used together with pH controlled post-hybridization washes (see below). A number of other hybridization mix additives that may benefit sensitivity/background were not tested. These include ficoll, polyvinylpyrolidone, bovine serum albumin, (individually or together [i.e. Denhardt's reagent]), sodium dodecyl sulfate, Tween 20 and Triton X-100. Hybridization mix is also available from other commercial companies such as BioGenex.
Denaturation
Hybridization mix was applied to sections and coverslips were sealed with rubber cement. Slides were placed into Terasaki plates containing 2 mls 5X SSC. The Terasaki plates were then placed onto a 2 cm thick aluminum block preheated in an oven set at 95°C. Terasaki plates were removed after 17 minutes. This form of denaturation was found to be marginally more effective than placing slides directly onto the heated block for 5 minutes.
Hybridization temperature and time
Hybridization conditions and post-hybridization washes determine ISH assay stringency, i.e. the number of matched/mismatched sequences permitted between a probe and its target. The melting temperature Tm is determined by a number of factors that include temperature, monovalent cation concentration, formamide, pH, probe fragment length, GC content and mismatched hybrids. Herrington and colleagues have specifically examined Tm as it applies to ISH and have defined the term "tissue Tm", (Tm t ), having noted that the theoretical Tm (derived from analysis of solution kinetics) did not match the empirically derived value for Tm in HPV ISH assays using full-length probes, suggesting that hybridization involving tissue sections involves additional determinants of Tm. After several studies [6-8] it was concluded that the main difference between Tm and Tm t is (probably) due to the use of a different end-point for measurement (e.g. a chromogenic stain following application of intermediary reagents) rather than biochemical alteration of DNA-DNA interactions (measured by spectrophotometry) [8]. It was also concluded that mismatched probe targets should be removed using empirically derived post-hybridization washing conditions in order to achieve specificity and that appropriate conditions should be determined by experiment rather than calculated theoretically from Tm. In a later study Herrington et al. [9] examined the ability of ISH to discriminate HPV types using full-length plasmid probes. It was concluded that when using a high sensitivity system in which high-copy number infection is present then ISH can lead to erroneous typing data. Accordingly, HPV typing of lesions in the present study was determined by PCR assay and hybridization/wash conditions were then optimized empirically for sensitivity and clean background using the appropriate HPV-type probe as indicated following the PCR. Hybridizations (that included sonicated human placental DNA in the hybridization mix) were tested at 42°C and 37°C for 2 hours or overnight. Highest sensitivity and cleanest background was obtained with overnight 37°C incubations followed by high-stringency washes (see below).
Controls
Nick-translated biotin-labeled pUC18 plasmid was used as a control for non-specific probe binding and HPV probes were also applied to normal cervical tissues. It was confirmed that a plasmid vector probe did not result in hybridization signal with an HPV-positive lesion and that HPV probe did not result in signal with normal tissue.
Post-Hybridization Washes
SSC, SSPE and STE buffers at pH 6.0, 6.5, 7.0, 7.5 and 8.0 were tested as variables of the protocol listed in Table 1. After pealing away rubber cement, slides were immersed in 2X buffer/0.05% Tween 20 and coverslips were eased off slides. Slides were then washed at stringency: 2X – 0.1X buffer/0.05% Tween 20 at 37°C -55°C with or without 50% – 60% formamide.
As with hybridization mix, wash buffer pH was an important factor for a clean result. Background tended to occur at pH6.0 and at pH8.0. Sensitivity was reduced at < pH7.0. STE buffer gave background problems possibly because the pH of this buffer tended to decrease as temperature increased whereas SSC and SSPE better retained pH. The use or otherwise of formamide did not alter background-staining status. HPV signal in SiHa cells remained detectable washing in up to 0.2X SSC/0.05% Tween 20 at 55°C.
Detection of Biotin
Biotin signal was demonstrated by serial application of primary streptavidin-peroxidase, biotinyl-tyramide and secondary streptavidin-peroxidase [GenPoint Catalyzed Signal Amplification System] (DAKO). Primary streptavidin-peroxidase was tested at dilutions ranging from 1:250 to 1:15 000 in PBS/0.05% Tween 20. For the demonstration of HPV 16 in SiHa cells a 1:500 dilution applied for 30 minutes at room temperature was sufficient. Centromeric probes were very readily detectable. Dilutions of < 1:5000 were sufficient. Biotinyl-tyramide and secondary streptavidin-peroxidase were applied according to kit instructions. Tissues were washed with PBS/0.05% Tween 20 between incubations.
Chromogen
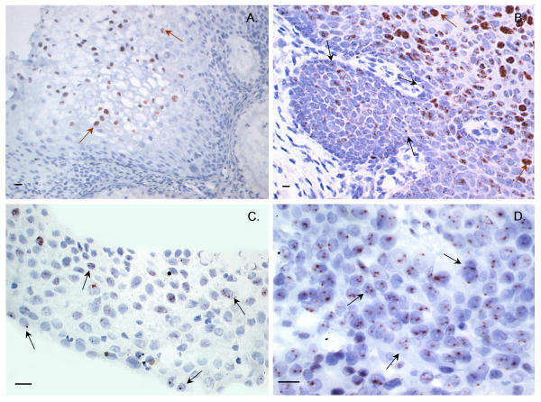
Peroxidase was demonstrated using either DAB [3,3'-diaminobenzidene] (DAKO) or AEC [3-amino-9-ethylcarbazole] (Sigma). Use of AEC was of particular benefit in avoiding non-specific background staining. In addition the signal from AEC tended to be more discrete than that from DAB. The 1–2 copies of HPV 16 in SiHa cells were readily detectable using AEC, which was applied for 5 – 10 minutes. A more intense stain was obtained with DAB, which was applied for 1–3 minutes. Tissues were counterstained with hematoxylin. 'Punctate' signals indicative of integration (see discussion) were demonstrated with CaSki, HeLa, SiHa, and carcinoma samples (Figure 1A,1B,1C,1D,1E,1F). 'Diffuse' signals (indicative of episomal HPV), 'diffuse' and 'punctate', or 'punctate' signals alone were demonstrated amongst pre-invasive lesion samples (Figure 2A,2B and 2C). These lesions were deliberately over- or under-digested. There was no evidence that punctate signals were a consequence of inadequate tissue unmasking. Punctate signal patterns in a tissue unmasked at one set of digestion conditions continued to be detectable as punctate signal under more severe unmasking conditions. Similarly diffuse signal patterns did not appear as punctate when tissue was subject to less severe unmasking conditions. Aneusomic chromosome counts were also demonstrated following assay with centromeric probes (Figure 2D).
Figure 1.
Punctate Signals. A. CaSki cells tissue section (6μm) demonstrating HPV-16 DNA integration at multiple sites. B. HeLa cells tissue section (6μm) demonstrating HPV-18 DNA integration at multiple sites. C. SiHa cell section (supplied by DAKO) demonstrating HPV-16 DNA integration at a single site. D. Section (6μm) of an HPV-16 positive FFPE cervical squamous cell carcinoma demonstrating punctate signals (arrows) indicative of integrated DNA. E. & F. Metaphase spreads prepared from SiHa cells demonstrating hybridization signal consistent with integration of HPV 16 at chromosome 13q21-31. Scale Bar: 10μm Note: Images were digitally captured using an Olympus BX50 research microscope fitted with an Optronics digital color camera interfaced to a PC and operated using Universal Imaging MetaMorph software. Using the 'Exposure', 'White Balance' and 'Red Green Blue Snap' default settings, the brick-red color of the AEC stain tended to be represented with a browner color. In addition there has been some loss of detail in the conversion of Figures (up to 35 megabytes in size) to pdf files ~250 kilobytes in size.
Figure 2.
HPV Diffuse and Punctate Signals; Centromeric Probe Signals. A. HPV 51 sequences detected in a CIN1 lesion (6μm section). Diffuse signals only (brown arrows) were detected. Signal was absent from basal/parabasal layers suggesting low-copy number episomal HPV DNA may be undetectable by the assay. B. A CIN3 lesion (6μm section) positive for HPV16. Punctate signals (black arrows) were detected throughout the thickness of the epithelium and diffuse ones were also common, more so in superficial layers. C. An HPV 18 positive CIN2 lesion (6μm section) demonstrating only punctate signals. [The epithelium became dissociated from stromal tissues during tissue processing]. D. Section (6μm) of a FFPE carcinoma (see Figure 1D.) demonstrating chromosome 17 aneusomy following hybridization with a centromeric probe (D17Z1). Scale Bar: 10μm
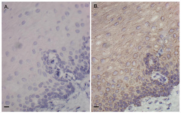
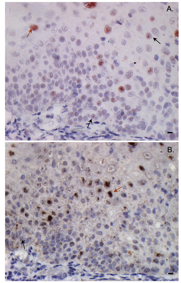
Comparisons of AEC and DAB on cervical tissues ISH processed with DAKO wide-spectrum probe are shown in Figures 3 (normal tissue), 5 (condylomatous lesion); 6 (CIN I); 8 (CIN II); 9 (CIN III); and 10 (squamous cell carcinoma). Figures 4 and 7 demonstrate normal cervix and CIN I tissues hybridized with biotin-labeled pUC18 vector. Samples (Figures 34,5,6,7,8,9,10) were similarly processed apart from incubation with AEC or DAB. The authors prefer AEC because:
Figure 3.
Normal Cervix Hybridized with HPV Probe. A. Normal cervix hybridized with DAKO wide spectrum probe and developed with AEC substrate (applied for 10 minutes) results in a clean background. B. A section from the same normal cervix treated with the same protocol as A. but using DAB (applied for 3 minutes) as substrate. There is generalized brown staining of epithelial cytoplasm and a tendency for 'punctate-like' signal to 'aggregate' around nuclei circumferences. There are occasional 'punctate-like' signals within nuclei and also associated with cytoplasm. Taken together with the data in Figure 4., it is concluded the staining represents non-specific background. Scale Bar: 10μm
Figure 4.
Normal Cervix Hybridized with Biotin-Labeled pUC18. A. Normal cervix hybridized with biotin-labeled pUC18 and developed with AEC substrate (applied for 10 minutes) results in a clean background. B. Normal cervix hybridized with biotin-labeled pUC18 and developed with DAB substrate (applied for 3 minutes) results in brown-stained cytoplasm and punctate-like signals especially at nuclei circumferences and in the cytoplasm. Scale Bar: 10μm
Figure 7.
CIN I Lesion Hybridized with Biotin-Labeled pUC18. A. A CIN I lesion (Figure 6.) hybridized with biotin-labeled pUC18 resulting in a background-free section. AEC was applied for 10 minutes. B. A CIN I lesion (Figure 6.) hybridized with biotin-labeled pUC18 resulting in punctate-like signals around cells and in the cytoplasm. DAB was applied for 3 minutes. This non-specific staining demonstrates that care is required when interpreting DAB signals, and illustrates the necessity to perform proper control assays when using tyramide reagents. Scale Bar: 20μm
Figure 5.
Cervical Condyloma Hybridized with HPV Probe. A. A cervical condyloma hybridized with DAKO wide spectrum probe. Diffuse signals (brown arrows) are present in the upper layers and occasional punctate signal is detectable in basal/parabasal layers. AEC was applied for 10 minutes. The authors have previously noted punctate signals in cervical condylomas in mid-/superficial layers [2], and Huang et al. [14] have also reported punctate signals deep in the basal layers of a laryngeal papilloma. B. A section of the same condyloma treated as A . except for use of DAB as substrate (applied for 3 minutes). Diffuse and punctate signals are evident however background staining that includes 'punctate' signals at nuclei circumferences and associated with cytoplasm compromises data interpretation. Scale Bar: 10μm
Figure 6.
CIN I Lesion Hybridized with HPV Probe. A. A CIN I lesion hybridized with DAKO wide spectrum probe. Diffuse signals are evident in the superficial layers. AEC was applied for 10 minutes. B. A section from the same lesion treated with DAB for 3 minutes. There are diffuse signals at the superficial layers. There are numerous fine punctate-like signals throughout the epithelial thickness, however as before these are frequently found on the circumference of nuclei and associated with cytoplasm making their interpretation as genuine HPV-related hybridization signal unreliable. Scale Bar: 20μm
Figure 8.
CIN II Lesion Hybridized with HPV Probe. A. A CIN II lesion hybridized with DAKO wide-spectrum probe and incubated with AEC for 10 minutes. Diffuse and punctate signals are evident (arrows). B. Tissue from the same lesion incubated with DAB for 3 minutes. Diffuse and puncate signals are evident but there are also numerous punctate-like signals not associated with cell nuclei that compromise interpretation. Scale Bar: 10μm
Figure 9.
CIN III Lesion Hybridized with HPV Probe. A. A CIN III lesion processed using AEC substrate (applied for 10 minutes). Punctate signals are prominent in the basal layers. Diffuse signal is also present. B. A section from the same lesion processed using DAB (applied for 1 minute). Diffuse and punctate signals are detectable. There is also considerable background staining. Note: A. and B. are both slightly over-digested as indicated by the weak hematoxylin staining and loss of tissue morphology. Tissue over-digestion generally resulted in increased background with DAB but with AEC background remained clean.Scale Bar: 10μm
Figure 10.
Carcinoma Hybridized with HPV Probe. A. HPV hybridization signals in a cervical squamous cell carcinoma demonstrated with AEC (applied for 10 minutes). B. A section from the same carcinoma with hybridization signal demonstrated with DAB (applied for 3 minutes). A given signal is more intense with DAB than with AEC, however overall the information about the carcinoma that is gained with DAB is also obtained with AEC as a similar proportion of cells demonstrate 1 or 2 HPV signals after application of either substrate. Background is relatively clean with DAB on this sample. Scale Bar: 10μm
1. Single-copy HPV-16 in SiHa cells is detectable using AEC.
2. In the author's hands DAB generally tended to result in background staining using the optimized protocol (Table 1) or the protocol supplied with the GenPoint kit. Background was found to be present even after 1 minute substrate incubation. This staining has a 'grainy' appearance that could be mistaken for punctate signals. Punctate-like signals were found even with normal cervix hybridized with HPV probe (Figure 4B) or lesion hybridized with plasmid vector control probe (Figure 7B), and were commonly found congregated around nuclei circumferences and also in cytoplasm (Figures 3B,4B,5B,6B,7B,8B,9B,10B).
3. AEC did not result in this type of staining. Leaving specimens in AEC for up to 20 minutes only tended to result in a pinkish blush to tissues and not the 'grainy' background obtained with DAB. Therefore it was easy to interpret signals obtained using AEC as genuine HPV-related correlates whereas with DAB, diffuse signals were easy to interpret, but the interpretation of punctate signals was generally open to question. Occasionally non-specific staining was noted with AEC at the surperficial layers of normal epithelium demonstrating parakeratosis.
Metaphase Spreads
SiHa Metaphase Chromosome Spread Preparation
Cells were split, media changed and 0.1μg/ml colcemid added, 48 h, 24 h and 4–6 h prior to chromosome preparation respectively. After trypsinization cells were centrifuged at 400 g for 5 min, swollen in 75 mM KCl for 10 min at 37°C, re-centrifuged and fixed in methanol:acetic acid (3:1) at 4°C, before dropping cells onto slides.
Hybridization
Slides of metaphase spreads were treated with 2% paraformaldehyde/PBS then rinsed with 0.2% glycine / PBS, PBS and water then air-dried. Hybridization, wash and detection conditions were then applied as above except that chromosomes were denatured by placing slides directly onto a heating block set at 75°C for 7 min. HPV 16 signal was not detected by staining with AEC or DAB. Detection conditions were modified to enable fluorescent assay, which successfully revealed integrated signal.
Following application of primary streptavidin-peroxidase (1:300) and biotinyl-tyramide, streptavidin-FITC (Sigma S3762) was applied at a final concentration of 0.0125 mg/ml diluted in PBS/0.05% Tween 20 and incubated at room temperature with the chromosome spreads for 30 minutes. After staining with DAPI, chromosomes were visualized by fluorescence microscopy.
HPV 16 has been shown to be integrated at 13q21-q31 by in situ hybridization analysis with 3 H-labeled probe and chromosome identification by Geimsa staining [10] and by detection of biotin-labeled HPV probe detected with avidin-FITC, which enabled detection of integrated HPV in metaphase spreads as a 'pin-prick' signal [11]. The SiHa cell line is aneusomic and has been found to contain 66 – 72 chromosomes, but to be diploid for the acrocentric chromosome 13 [10].
Metaphase spreads hybridized with biotin-labeled HPV-16 probe detected with biotinyl-tyramide and streptavidin-FITC, consistently demonstrated intense signal in the central region of the long arm of an acrocentric chromosome (Figures 1E and 1F). By comparison with previous studies [10,11] and because of the consistency of this result, it is concluded that this signal represents the integrated HPV 16 on chromosome 13. There is no commercially available centromeric probe for chromosome 13 to enable additional support for this interpretation.
Discussion
In this study the factors that enable consistent, sensitive but background free in situ hybridization for DNA sequences using biotinyl-tyramide reagent have been investigated. Different protocols were compared and assessed according to two criteria. Firstly whether the protocol was sufficiently sensitive to routinely detect single copy (~8 kb) HPV-16 in SiHa cells/chromosome spreads, and, secondly, whether the protocol routinely gave a clean background on archival FFPE tissues. According to these criteria a protocol has been optimized for routine use (Table 1) that allows detection of the 1–2 copies of HPV 16 DNA integrated into the genome of SiHa cells utilizing a chromogenic end-point. This protocol has been successfully applied to cell-line models (Figures 1A,1B,1C) and to examine HPV infections amongst archival FFPE cervical carcinoma (Figure 1D) and CIN lesions (Figures 2A,2B,2C). Integration of HPV16 in metaphase chromosome spreads prepared from the SiHa cell-line has also been demonstrated using a fluorescent reporter molecule (Figures 1E and 1F).
The most important factors for high sensitivity were the use a sodium citrate step followed by the use of pepsin/HCl for tissue unmasking, the use of probes at a concentration of > 0.5 ng/μl hybridization mix, and, the concentration of primary streptavidin-peroxidase. That HPV DNA integrated into metaphase chromosomes was detectable by fluorescence but not chromogenic stains indicates an additional order of sensitivity is possible by combination of biotinyl-tyramide with reagents such as FITC.
A sodium citrate tissue-unmasking step was also of key importance for the elimination of background staining. AEC was the chromogen of choice for clean background. Certain probes were more "dirty" than others. Composition and pH of hybridization mix and post-hybridization wash buffer pH were important in these instances.
The optimized protocol was applied to archival FFPE cervical carcinomas and CIN lesions for the detection of HPV DNA. "Punctate" signals were detected amongst carcinomas and high-grade CIN lesions but were rare amongst (non-conylomatous) CIN I lesions, which were characterized by "diffuse" signals occupying entire nuclei and detectable in the mid/superficial layers. These observations are consistent with earlier studies that a punctate signal is representative of integration and a diffuse signal of episomal HPV, and with the theory that integration is an important factor in lesion progression [2,12]. The data suggest the optimized method may be useful in screening CIN lesions for integration. However, further studies are required to confirm a punctate signal is only representative of integration. The demonstration of 1–2 copies of integrated HPV DNA detected as punctate signal begs the question as to why single/low-copy episomal HPV is not also detectable as punctate signal. Initial infection with HPV is understood to occur in the basal layer of the epithelium, and productive replication is tied to cell differentiation/maturation (Figure 2A.) [13]. HPV was not detected by the assay in basal/parabasal cells of (non-condylomatous) CIN I lesions (> 30 examined; unless HPV-16 positive [2]) suggesting low-copy number episomal HPV was not detectable and indicating a limit to the sensitivity of the assay.
A possible explanation maybe that that ~8 kilo-base single/low-copy episomal HPV sequences may be subject to relatively more degradation and loss from tissues during routine processing than HPV DNA that is physically integrated into the human chromosome (~50 – 250 mega-base pairs). Excessive degradation may affect retention of DNA sequences during in situ hybridization assay as well as hybridization efficiency. Additionally/alternatively, the sensitivity of the assay on archival tissues may be less than that on the SiHa cell-line model despite attempting equivalent procedures through formalin-fixation and routine paraffin embedding. If this is the case, then punctate signal detected in carcinomas and high-grade CIN lesions may only represent integration of multiple copies of HPV at sites within the genome, and low-copy episomal (or integrated) DNA may remain sub-threshold on archival FFPE samples. Episomal HPV can also occur in the form of concatamers comprising multiple copies of the HPV genome compounded into 'super-molecules'. It can be speculated that these forms could also give rise to punctate signals.
Centromeric probe signal was readily demonstrable using biotinyl-tyramide based in situ hybridization (Figure 2D). Currently numerical chromosome count is generally determined by hybridization with directly labeled fluorescent probes. This has the advantages of allowing simultaneous assay of two or more differently labeled probes and detection directly after post-hybridization washes. The disadvantage is the requirement for specialized microscopy, visualization of tissue specimens through multiple filters, multiple image capture, and the relatively short half-life during which signal is visible. Biotinyl-tyramide assay has the disadvantage of requiring several incubations to detect biotin label. It has the advantages of allowing hematoxylin counterstaining that allows easier determination of cell/tissue morphology, visualization by bright field microscopy, and signal that is available for counting more than one year after test application (slides have been kept in the dark). Unequivocal signal was also demonstrated (to the authors' knowledge for first time by a tyramide based assay) of the 1–2 copies of HPV16 integrated at chromosome 13q21-31 (Figure 1E and 1F) on metaphase spreads prepared from SiHa cells.
There are many variables associated with tyramide-ISH. In this study a number of these have been systematically examined and a sensitive background-free assay has been demonstrated. In this study biotin-labeled probes and biotinylated-tyramide were utilized. Background may also be reduced by using digoxigenin-labeled probe and anti-digoxigenin antibody conjugated with horseradish peroxidase before the amplification step of biotinyl-tyramide (Dr. Chao-Cheng Huang, personal communication). Possibly oligonucleotide probes may also give less background than full-length sequences. Non-biotin-based-tyramide reagents, including fluorescent reagents are available from PerkinElmer Life Sciences and from DAKO. These reagents (used in conjunction with non-biotin-labeled probes) may be particularly beneficial for applications on tissues where endogenous biotin is problematic. An additional level of sensitivity may be possible on tissues using fluorescene given the finding that HPV integrated on chromosome spreads could be demonstrated with FITC but not AEC or DAB.
Conclusions
A biotinyl-tyramide-based in situ hybridization protocol has been optimized that allows sensitive detection of DNA sequences in FFPE tissues and metaphase spreads. The protocol is especially robust with respect to absence of background staining that can limit assay interpretation. As such the protocol may have clinical utility in the survey of routine cervical samples for HPV 'punctate' signals that are associated with high-grade lesions. Additionally the method can be used to detect numerical chromosome aberrations in archival pathology samples and so represents an alternative to the use of FISH assays that require specialized microscopy.
Competing interests
None declared.
Authors' Contributions
MFE conceived the study, performed the in situ hybridization assays and drafted the manuscript. HAA prepared cell culture lines and metaphase spreads. KC participated in the design of the study. All authors read and approved the final manuscript.
Pre-publication history
The pre-publication history for this paper can be accessed here:
Acknowledgments
Acknowledgements
This research was aided by a grant from the Vermont Cancer Center and the Lake Champlain Cancer Research Organization.
Contributor Information
Mark F Evans, Email: mark.evans@uvm.edu.
Holly A Aliesky, Email: Holly.Aliesky@cshs.org.
Kumarasen Cooper, Email: kum.cooper@vtmednet.org.
References
- Meissner JD. Nucleotide sequences and further characterization of human papillomavirus DNA present in the CaSki, SiHa and HeLa cervical carcinoma cell lines. J Gen Virol. 1999;80:1725–1733. doi: 10.1099/0022-1317-80-7-1725. [DOI] [PubMed] [Google Scholar]
- Evans MF, Mount SL, Beatty BG, Cooper K. Biotinyl-tyramide-based in situ hybridization signal patterns distinguish human papillomavirus type and grade of cervical intraepithelial neoplasia. Mod Pathol. 2002;15:1339–47. doi: 10.1038/modpathol.3880698. [DOI] [PubMed] [Google Scholar]
- Dartmann K, Schwarz E, Gissmann L, zur Hausen H. The nucleotide sequence and genome organization of human papilloma virus type 11. Virology. 1986;151:124–30. doi: 10.1016/0042-6822(86)90110-8. [DOI] [PubMed] [Google Scholar]
- Seedorf K, Krammer G, Durst M, Suhai S, Rowekamp WG. Human papillomavirus type 16 DNA sequence. Virology. 1985;145:181–5. doi: 10.1016/0042-6822(85)90214-4. [DOI] [PubMed] [Google Scholar]
- Beaudenon S, Kremsdorf D, Croissant O, Jablonska S, Wain-Hobson S, Orth G. A novel type of human papillomavirus associated with genital neoplasias. Nature. 1986;321:246–9. doi: 10.1038/321246a0. [DOI] [PubMed] [Google Scholar]
- Herrington CS, Graham AK, Flannery DM, Burns J, McGee JO. Discrimination of closely homologous HPV types by nonisotopic in situ hybridization: definition and derivation of tissue melting temperatures. Histochem J. 1990;22:545–54. doi: 10.1007/BF01005977. [DOI] [PubMed] [Google Scholar]
- Herrington CS, Anderson SM, Graham AK, McGee JO. The discrimination of high-risk HPV types by in situ hybridization and the polymerase chain reaction. Histochem J. 1993;25:191–8. doi: 10.1007/BF00163814. [DOI] [PubMed] [Google Scholar]
- Herrington CS, McGee JO. Discrimination of closely homologous human genomic and viral sequences in cells and tissues: further characterization of Tm t . Histochem J. 1994;26:545–52. doi: 10.1007/BF00158588. [DOI] [PubMed] [Google Scholar]
- Southern SA, Graham DA, Herrington CS. Discrimination of human papillomavirus types in low and high-grade cervical squamous neoplasia by in situ hybridization. Diagn Mol Pathol. 1998;7:114–21. doi: 10.1097/00019606-199804000-00009. [DOI] [PubMed] [Google Scholar]
- Mincheva A, Gissman L, zur Hausen H. Chromosomal integration sites of human papillomavirus DNA in three cervical cancer cell lines mapped by in situ hybridization. Medical Microbiol and Immunol. 1987;176:245–256. doi: 10.1007/BF00190531. [DOI] [PubMed] [Google Scholar]
- Callahan DE, Karim A, Zheng G. Quantitation and mapping of integrated human papillomavirus on human metaphase chromosomes using a fluorescence microscope imaging system. Cytometry. 1992;13:453–461. doi: 10.1002/cyto.990130502. [DOI] [PubMed] [Google Scholar]
- Cooper K, Herrington CS, Stickland JE, Evans MF, McGee JO. Episomal and integrated human papillomavirus in cervical neoplasia shown by non-isotopic in situ hybridisation. J Clin Pathol. 1991;44:990–996. doi: 10.1136/jcp.44.12.990. [DOI] [PMC free article] [PubMed] [Google Scholar]
- Syrjanen K, Syrjanen S. Molecular Biology of Papillomaviruses. In: Syrjanen K, Syrjanen S, editor. Papillomavirus infections in human pathology. New York, John Wiley and Sons; 2000. pp. 11–51. [Google Scholar]
- Huang CC, Qiu JT, Kashima ML, Kurman RJ, Wu TC. Generation of type-specific probes for the detection of single-copy human papillomavirus by a novel in situ hybridization method. Mod Pathol. 1998;11:971–7. [PubMed] [Google Scholar]










