Abstract
The speed of water uptake by desiccated Nostoc commune was found to depend upon the duration of desiccation. The rehydration of desiccated colonies led to marked, time-dependent changes in structure and ultrastructure and fluctuations in the composition of the transcriptome. Physical evaporative water loss is an active process that was influenced by inhibitors of transcription and translation.
Certain cells can survive in a dry, metabolically inactive state, sometimes for long periods (8, 10). Such aged and desiccated cells rapidly recover their physiological capacities following the addition of water and then resume active growth. There is some understanding of the mechanisms that permit cells to withstand extreme fluctuations in water availability, including a knowledge of factors that lead to the damaging of cell components, as well as a knowledge of repair processes (1-4, 6, 13). Despite much study of the different strategies used to overcome acute water deficit, it is still unclear how physiological responses to drying and rehydration are controlled at the whole-cell level or how a complement of gene products could interact synergistically, through four dimensions, to provide desiccation tolerance.
Nostoc commune is an important source of fixed nitrogen in nutrient-depleted soils from the tropics to the polar regions (10). In these habitats, N. commune is subject to repeated cycles of desiccation and rewetting, with water availability being the critical modulator of the function and success of this microorganism. In order to match key physiological processes with the availability of water, we first measured rates of water uptake and evaporation from sample colonies. Desiccated colonies of N. commune were collected from Topsail Island, N.C. (N. commune TOP/1993), and were stored dry in sealed glass bottles in the dark until analysis (16). The colonies form thin, irregular, flattened, brittle fragments of thallus, which consist of filaments embedded within a complex extracellular polysaccharide (6, 10). When submerged in water, the colonies swell rapidly and assume a consistency comparable to that of an approximately 4-mm-thick, 10% (wt/vol) polyacrylamide gel. The rates of rewetting and drying of these colonies were evaluated with an automated analytical balance system consisting of a Mettler Toledo AB 2045 analytical balance connected through a serial interface to a personal computer operating Balance Talk version 4.0 software (Labtronics Inc.). The results were compared with those obtained with synthetic colonies (inanimate controls) made of cellulose and molded and compressed into the shape of Nostoc colonies.
Twenty-seven N. commune TOP/1993 colonies of different shapes and weights were used to measure the kinetics of water uptake and loss. In one rehydration experiment, six desiccated colonies with dry weights between 0.072 and 0.194 g were used. At the time of the first rehydration, the colonies had been in desiccation storage for 8 years. Desiccated colonies were rehydrated in petri dishes, through the addition of sterile distilled water, in the light (photon flux density of 150 μmol of photons m−2 s−1) at 25°C. As the colonies began to swell, they were removed from the petri dishes at regular intervals, excess water was removed by blotting them with paper tissue, and the colonies were weighed. The colonies were then returned to water in the petri dishes until equilibrium weight was attained. Colonies were judged to be at equilibrium weight when there was no further increase in weight. At the time of the first rehydration, the colonies required more than 30 h to reach equilibrium weight (Fig. 1A). After the equilibrium weight was reached, the colonies were removed from the water, blotted dry, and allowed to desiccate under passive conditions at 24.5°C and 25% relative humidity. Dry, brittle colonies formed under these conditions within 15 to 20 h with an equilibrium water content of 0.06 g of H2O g of colonies (dry weight)−1, which is equivalent to the water content of the colonies at the time of the first rehydration. When the same six desiccated colonies were rehydrated a second time under identical conditions, equilibrium weight was reached within 12 h. The rates of increase in weight during the first and second rehydrations had different kinetics and became higher with subsequent cycles of wetting and drying. After two cycles of drying and three rehydrations, the colonies reached equilibrium weight after only approximately 3 h (Fig. 1A, inset). The standard deviations of the mean weights varied from 0.07785 to 0.9350 in the first rehydration and from 0.04596 to 1.362 during the second rehydration. In each case, the standard deviations increased with increased time of rewetting with a mode of increase essentially identical to those observed for rates of increase in weight (Fig. 1A). Water uptake by desiccated colonies led to an approximate 20- to 40-fold increase in their mass as they achieved equilibrium weight, and most of this water was present within, and bound by, the extracellular polysaccharide (the glycan) (6, 7). For example, a desiccated colony of 0.1724 g achieved a mass of 4.300 g in less than 2.5 h, a 30-fold increase in mass (Fig. 1A, inset). The kinetics of water loss or gain from N. commune TOP/1993 colonies, under a given experimental condition, were reproducible in multiple trials with colonies of different sizes, surface areas, and weights; the data presented here are representative.
FIG. 1.
(A) Rates of water uptake are determined by duration of the prior desiccation event. Results are shown for N. commune TOP/1993 desiccated for 8 years at the time of rehydration (open circles). After 30 h of rehydration, the material was dried to equilibrium weight and then rehydrated a second time (closed circles). Data points are the means of the results of independent trials using six individual colonies with initial dry weights between 0.072 and 0.194 g; standard deviations are not shown for clarity (see text). (Inset) A colony of 0.172 g was subjected to three cycles of rehydration and two cycles of desiccation as described in the text. (B) Inhibitors of transcription and translation influence the rates of evaporative water loss. Shown are logarithmic data plots of control cells (□) or cells preincubated for 24 h with 50 μg of rifampin (○) or chloramphenicol (▵) ml−1 prior to drying; single data points are representative of trials with 18 independent colonies under the same conditions.
The rates of loss of water from rehydrated N. commune TOP/1993 colonies, as well as from rehydrated synthetic colonies, were exponential until the equilibrium weight was reached. Logarithmic rates of water loss (including those of controls) were linear functions of time with slope (exponent a in the equation below) values close to unity, independent of the shape and weight of the colony (Fig. 1B). Surprisingly, however, a different mode of water loss was observed when N. commune TOP/1993 was preincubated for 24 h with 50 μg of rifampin or chloramphenicol ml−1 before drying. With each inhibitor, the logarithmic rates of water loss deviated from linearity with an increase in the rate of drying as colonies approached equilibrium weight. At the late stages, the kinetics were described by the following:
![]() |
where m(T) is weight at a given time, m(0) is weight at time zero, C is a constant, and exponent a is the slope (>1). This corresponds to compressed exponential behavior. The data were fit to a polynomial distribution because even in the form of a plot of log[−log(weight/initial weight)] versus logT (Fig. 1B), the data do not fit a straight line, with no fixed exponent (a). The right hand side of the equation above is presumably a complicated function of T and not simply a power law. The effects of inhibitors were most pronounced with small colonies and were not observed in multiple trials when the preincubation time with either inhibitor was less than 5 h prior to drying (data not shown).
The swelling or shrinkage and change in rheological properties of colonies are functions of water uptake and reflect the properties of the abundant extracellular polysaccharide (the glycan) (6). To further understand the rehydration process, we performed structural and ultrastructural analyses on colonies in the presence of specific stains (7). Periodic acid-Schiff's reagent (PAS) provides a red-violet color in the presence of polysaccharide, through the reaction with Schiff's reagent of aldehydes formed by the oxidation of hydroxyl groups on adjacent carbon atoms or of adjacent hydroxyl and amino groups. Alcian blue, in conjunction with PAS, is commonly used to differentiate acid and neutral mucopolysaccharides (7). Analysis by scanning electron microscopy (SEM) and staining with PAS or alcian blue reagents for light microscopy confirmed that physical and chemical changes did occur in the glycan upon rehydration of desiccated colonies (Fig. 2). Physical changes included the accumulation of voids in the glycan (Fig. 2C, E, and F) and loss of rigidity with longer time of rehydration (compare Fig. 2A and F). The accumulation of voids after 30 min of rehydration was extensive (compare Fig. 2D and E). The apparent spaces around filaments in desiccated colonies, when observed by SEM, reflect the removal of volatile material during critical-point-drying preparation of the sample (Fig. 2A). Confirmation that material is present within the spaces was obtained through critical-point-drying electron microscopy (8). A comparison of Fig. 2A with Fig. 2D indicates that the volatile material(s) stains with alcian blue (Fig. 2D) and has different chemical properties than the bulk glycan (compare Fig. 2A and D). Although not yet known, the volatile material in the voids around filaments may be left by a dilute solution of sugars, which are trapped around filaments even in desiccated colonies (Fig. 2A). The pronounced swelling of colonies, changing of the rheological properties of the glycan, and binding of water to the glycan are consistent with the apparent increase in volume of large spaces with time of wetting. All of the structural, ultrastructural, and chemical changes described above accompany the increased rate of water uptake that was observed with successive rehydration and desiccation events (see above). In another system, the application of nuclear (1H) magnetic stray-field gradient methods demonstrated a clear link between the mobility and transport of water in a bacterial exopolysaccharide and emphasized an important role for acetyl and uronic acid groups in the regulation of this process (5). The marker compound nosturonic acid is a distinctive component of the N. commune glycan (6) and may possibly play a role in the water flux of the colonies.
FIG. 2.
The extracellular matrix undergoes physical and chemical changes upon rehydration. (A) SEM of a critical-point-dried section of a desiccated (8 years) colony showing filament (indicated by “F”) and dense extracellular polysaccharide (glycan; indicated by “G”). Filaments lie in spaces (indicated by “S”) throughout the glycan that form tunnels with cross walls (arrows). (B) Light microscopy of a thick section of a desiccated (8 years) colony. PAS staining emphasizes the discontinuity (through difference in intensity of staining) between the bulk glycan and the material surrounding the filaments that fails to stain (compare with panel A). Glycoprotein associated with differentiated heterocysts (indicated by “H”) appears red. (C) Light microscopy of a thick section prepared from material that was rehydrated for 5 min before being stained with PAS. During this time, accumulations of parallel spaces appeared and increased in frequency throughout the glycan (arrows). (D) The chemical properties of material present in spaces (tunnels visible in panel A) and the bulk glycan are different, as revealed by different staining properties following staining with alcian blue at pH 2.5. Arrows indicate cross walls (as described for panel A). The bulk glycan is dark blue, and the material in the spaces is pale blue and/or unstained. (E) After 8 days of rehydration followed by alcian blue staining at pH 2.5, the glycan has a reticulate appearance with many spaces that appear to coalesce. In comparison with the material described for panel D, there is no, or only small amounts, of the pale-blue-stained material. (F) The same material as described for panel E but prepared for SEM is shown. As seen in panel E, the glycan is diffuse and less dense than it appears in panel A. Filaments are much more apparent than those hidden in the glycan of dried colonies (A).
Desiccated colonies of N. commune recover their capacities for respiration, photosynthesis, and N2 fixation in a stepwise, orderly fashion following rehydration (12). The onset of respiration and some processes such as lipid biosynthesis appears to be instantaneous (15), while the recovery of the capacity for N2 fixation may require days of rehydration (11). The increase in standard deviations of mean weights according to time of rehydration suggests that the system becomes more chaotic with longer time of wetting. Such behavior is sometimes characteristic of “glassy” systems (9), although X-ray analysis and differential scanning calorimetry failed to identify any glass-like structure in desiccated colonies (unpublished data).
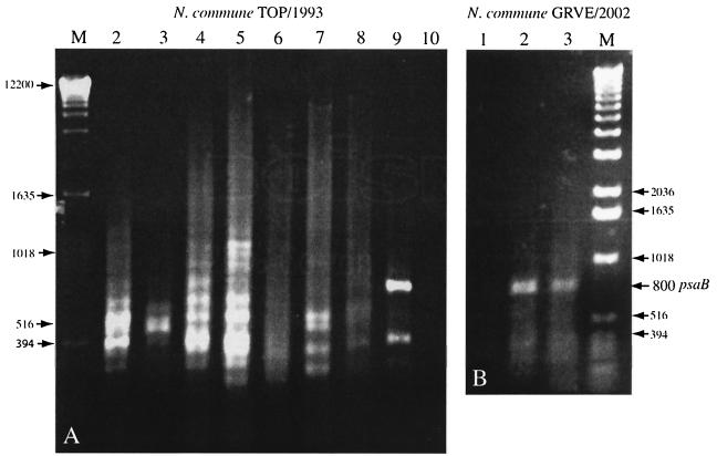
The responses of cells to water availability are complex, dynamic processes that are expected to involve interactions not only at the structural and physiological levels but also at the molecular level. In a previous study, Northern analysis confirmed that an increase in the sodF mRNA pool accompanied rehydration of desiccated N. commune CHEN/1986 (13). To understand how water availability may influence global gene expression in this system, reverse transcription (RT)-PCR assays were performed with RNA preparations (isolated as described in reference 13) from the same colonies used to study the kinetics of water flux (see above). Amplifications were performed using avian myeloblastosis virus reverse transcriptase and Tfl DNA polymerase following the recommendations of the manufacturer (Promega). The program for the RT-PCR assay was as follows: (i) 5 min at 95°C, after which time the avian myeloblastosis virus reverse transcriptase enzyme was added, and then 45 min at 40°C and 2 min at 95°C; (ii) 9 cycles of 1 min at 45°C, 2 min at 68°C, 30 s at 95°C (with a drop in the annealing temperature of 0.5°C per cycle); and then (iii) 29 cycles of 1 min at 40°C, 10 min at 68°C, and 30 s at 95°C. The primer was 5′-GWCWATCGCC-3′, where W is A or T. The primer is based upon a highly iterated palindromic repeat sequence present in the genome of N. commune DRH1 (14). The sizes of the major species of cDNAs and their size distribution, as well as their abundance, differed according to the time of rehydration of N. commune TOP/1993 (Fig. 3). To confirm that the cDNAs were derived from N. commune TOP/1993 RNA, the five predominant cDNA products from the 1-h rehydration sample (Fig. 3A, lane 4) were excised from the gels, cloned, and sequenced. The sequences were then used in database searches. The putative open reading frames (ORFs) that were identified showed the highest sequence similarity (between 82 and 97%) with the portions of proteins given in the draft sequence of Nostoc punctiforme ATCC 29133, including the following: ABC transporter (GenBank accession no. ZP_00107041), type 4 prepilin peptidase (ZP_00110977), hypothetical proteins (ZP_00111763 and ZP_00109504), and cell division cycle protein (ZP_00111906). N. punctiforme ATCC 29133 and form species N. commune are discriminated clearly on the basis of group I intron analysis (16). However, genome sequence analysis of N. commune DRH1 confirms that this form species strain and N. punctiforme ATCC 29133 share high homologies for numerous identified and unidentified ORFs (D. J. Wright, unpublished data). Very similar or identical series of signature cDNA profiles were obtained in multiple RT-PCR assays when the same set of RNA samples was used. Although the time points selected for the isolation of RNA were arbitrary, they do fall within the period when there are marked changes in the physiological capacity of cells (12,13). It was not unexpected to find some variability in the cDNA profiles with new RNA samples, obtained from the same source material, at the same rehydration time points (data not shown). It was significant, therefore, that the profile of cDNA products generated with total RNA from N. commune TOP/1993 that was rehydrated for 48 h (Fig. 3A, lane 9) was both qualitatively and quantitatively very similar to that obtained with RNA from N. commune GRVE/2002 that was rehydrated for 48 h (from rainfall) in situ (Fig. 3B, lane 2). The samples of N. commune GRVE/2002 were from the campus of Virginia Polytechnic Institute and State University and were processed in situ under conditions of rainfall, light, temperature, and convective drying which were different than those of the laboratory experiments. The products of 800 bp from both Nostoc populations had ORFs of 143 amino acids with highest sequence similarity (84%) with N. punctiforme ATCC 29133 photosystem I core protein A2 (accession no. ZP_00108269; residues 99 to 241). No cDNAs were recovered with RNA from N. commune GRVE/2002 that was rehydrated for 60 min in situ (Fig. 3B, lane 1). The profiles of bands obtained with RNA from cells after 48 h of rehydration (Fig. 3B, lane 2) or 48 h of rehydration followed by 8 h of desiccation (Fig. 3B, lane 3) were essentially identical. Although the system is clearly very complex, two conclusions may be drawn from these findings. First, it seems that the most marked changes in the composition of the transcriptome occur during initial rehydration, rather than during initial drying or after partial dehydration. Second, the very similar cDNA profiles of materials, which had identical amplified products after 48 h of rehydration and were collected from geographically distant sites, sampled independently 9 years apart, and processed under different conditions of rehydration, suggest that this time of rehydration can be considered an equilibrium state. This is consistent with the time needed to reach equilibrium weight (Fig. 1A) and the time taken for recovery of the capacity for photosynthesis (11). These data emphasize the control that this cyanobacterium may exercise over gene expression despite being subject to complex permutations of environmental stresses. A strain in liquid culture in exponential growth showed a quite different profile of RT-PCR products (Fig. 3C). In a recent study, it was demonstrated that the genomic DNA of desiccated N. commune becomes covalently modified during long-term desiccation and that this can lead to failure in PCR amplification of some gene loci (14). The modification is removed during rehydration of the cells, which leads to time-dependent changes in the patterns of products that can be obtained through a randomly amplified polymorphic DNA-PCR assay. It is probable that RNA is also modified during desiccation, which may account in part for the variability in products obtained here through RT-PCR assay.
FIG. 3.
The composition of the mRNA pool changes with time of rehydration. (A) RT-PCR assay of RNA from N. commune TOP/1993 desiccated for 8 years at the time of assay (lane 2) and rehydrated (see Fig. 1) for 15 min (lane 3), 30 min (lane 4), 1 h (lane 5), 3 h (lane 6), 6 h (lane 7), 24 h (lane 8), and 48 h (lane 9). Lane M, markers in base pairs; lane 10, blank control. (B) Results of RT-PCR assay of RNA from N. commune GRVE/2002 desiccated for approximately 1 week before rewetting in situ (rainfall) for 1 h (lane 1) or 48 h (lane 2) and after drying for 8 h (lane 3). (C) Results of RT-PCR assay of RNA from a liquid-grown culture (control) of N. commune DRH1 in the exponential phase of growth. Lane M, markers in base pairs; lane 2, RT-PCR products.
Colonies of N. commune accumulate in environments where water availability is intermittent. For example, many regions of the tropics and subtropics have distinct dry and wet seasons that last for several months each and sometimes longer. Typically, wetting events are initially erratic at the onset of the wet season, and drying events are initially erratic at the end of the wet season (10). The finding that the rate of increase in the weight of colonies becomes higher with subsequent cycles of wetting and drying may be of ecological relevance. Slow water uptake at the onset of the wet season (after a prolonged drought) would prevent cells from becoming overcommitted, in a metabolic sense, until there was a more regular availability of water. After such time, very rapid water uptake would ensure that cells were able to utilize even transient rainfall most efficiently.
The role of gene expression in the process of physical loss of water from colonies is unknown at this time. The data obtained by using inhibitors of transcription and translation suggest that water flux in the extracellular milieu of N. commune colonies is coupled to, and possibly regulated at, the level of gene expression. These findings emphasize the complexities of desiccation tolerance even in simple organisms.
Acknowledgments
This work was supported by a Multi University Research Initiative infrastructure award (N00014-01-1-0852), the Defense Advanced Research Programs Agency (N00173-98-1-G005-P00004 and N00173-02-1-G016), the National Science Foundation (DMR-0075725), and the Jeffress Memorial Trust (J-594).
REFERENCES
- 1.Battista, J. R., A. M. Earl, and M. J. Park. 1999. Why is Deinococcus radiodurans so resistant to ionizing radiation? Trends Microbiol. 7:362-365. [DOI] [PubMed] [Google Scholar]
- 2.Billi, D., D. J. Wright, R. F. Helm, T. Prickett, M. Potts, and J. H. Crowe. 2000. Engineering desiccation tolerance in Escherichia coli. Appl. Environ. Microbiol. 66:1680-1684. [DOI] [PMC free article] [PubMed] [Google Scholar]
- 3.Bloom, F., P. Price, G. Lao, J. L. Xia, J. H. Crowe, J. R. Battista, R. F. Helm, S. Slaughter, and M. Potts. 2001. Engineering mammalian cells for solid-state sensor applications. Biosens. Bioelectron. 16:603-608. [DOI] [PubMed] [Google Scholar]
- 4.Crowe, J. H., F. A. Hoekstra, and L. M. Crowe. 1992. Anhydrobiosis. Annu. Rev. Physiol. 54:579-599. [DOI] [PubMed] [Google Scholar]
- 5.Hart, T. D., A. H. L. Chamberlain, J. M. Lynch, B. Newling, and P. J. McDonald. 1999. A stray field magnetic resonance study of water diffusion in bacterial exopolysaccharides. Enzyme Microb. Technol. 24:339-347. [Google Scholar]
- 6.Helm, R. F., Z. Huang, D. Edwards, H. Leeson, W. Peery, and M. Potts. 2000. Structural characterization of the released polysaccharide of desiccation-tolerant Nostoc commune DRH-1. J. Bacteriol. 182:974-982. [DOI] [PMC free article] [PubMed] [Google Scholar]
- 7.Hill, D. R., A. Peat, and M. Potts. 1994. Biochemistry and structure of the glycan secreted by desiccation-tolerant Nostoc commune (Cyanobacteria). Protoplasma 182:126-148. [Google Scholar]
- 8.Hill, D. R., T. W. Keenan, R. F. Helm, M. Potts, L. M. Crowe, and J. H. Crowe. 1997. Extracellular polysaccharide of Nostoc commune (Cyanobacteria) inhibits fusion of membrane vesicles during desiccation. J. Appl. Phycol. 9:237-248. [Google Scholar]
- 9.Potts, M. 1994. Desiccation tolerance of prokaryotes. Microbiol. Rev. 58:755-805. [DOI] [PMC free article] [PubMed] [Google Scholar]
- 10.Potts, M. 2000. Nostoc, p. 465-504. In B. A. Whitton and M. Potts (ed.), The ecology of cyanobacteria: their diversity in time and space. Kluwer Academic Publishers, Dordrecht, The Netherlands.
- 11.Potts, M. 2001. Desiccation tolerance: a simple process? Trends Microbiol. 9:553-558. [DOI] [PubMed] [Google Scholar]
- 12.Scherer, S., A. Ernst, T.-W. Chen, and P. Böger. 1984. Rewetting of drought-resistant blue-green algae: time course of water uptake and reappearance of respiration, photosynthesis, and nitrogen fixation. Oecologia 62:418-423. [DOI] [PubMed] [Google Scholar]
- 13.Shirkey, B., D. P. Kovarcik, D. J. Wright, G. Wilmoth, T. F. Prickett, R. F. Helm, E. M. Gregory, and M. Potts. 2000. Active Fe-containing superoxide dismutase and abundant sodF mRNA in Nostoc commune (cyanobacteria) after years of desiccation. J. Bacteriol. 182:189-197. [DOI] [PMC free article] [PubMed] [Google Scholar]
- 14.Shirkey, B., N. J. McMaster, S. C. Smith, D. J. Wright, H. Rodriguez, P. Jaruga, M. Birincioglu, R. F. Helm, and M. Potts. 2003. Genomic DNA of Nostoc commune (Cyanobacteria) becomes covalently modified during long-term (decades) desiccation but is protected from oxidative damage and degradation. Nucleic Acids Res. 31:2995-3005. [DOI] [PMC free article] [PubMed] [Google Scholar]
- 15.Taranto, P. A., T. W. Keenan, and M. Potts. 1993. Rehydration induces rapid onset of lipid biosynthesis in desiccated Nostoc commune (Cyanobacteria). Biochim. Biophys. Acta 1168:228-237. [DOI] [PubMed] [Google Scholar]
- 16.Wright, D., T. Prickett, R. F. Helm, and M. Potts. 2001. Form species Nostoc commune (Cyanobacteria). Int. J. Syst. Evol. Microbiol. 51:1839-1852. [DOI] [PubMed] [Google Scholar]





