Abstract
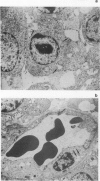
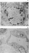
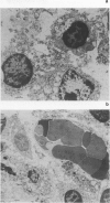
Ge(IV) phthalocyanine (GePc) with two axially ligated cholesterol moieties was prepared by chemical synthesis and incorporated in a monomeric state into small unilamellar liposomes (CGP 55398). Upon photoexcitation with light wavelengths around its intense absorption peak at 680 nm, GePc shows an efficient photosensitising activity towards biological substrates through a mechanism which largely involves the intermediacy of singlet oxygen. GePc injected systemically into mice bearing an intramuscularly implanted MS-2 fibrosarcoma is quantitatively transferred to serum lipoproteins and localises in the tumour tissue with good efficiency: at 24 h post injection the GePc content in the tumour is 0.74 and 1.87 micrograms per g of tissue with a tumour/peritumoral ratio of 4.35 and 5.67 for injected doses of 0.76 and 1.52 mg kg-1 respectively. At this time the red-light irradiation of the GePc-loaded fibrosarcoma causes a fast and massive tumour necrosis involving both malignant cells and blood vessels.
Full text
PDF








Images in this article
Selected References
These references are in PubMed. This may not be the complete list of references from this article.
- Bellemo C., Jori G., Rihter B. D., Kenney M. E., Rodgers M. A. Si(IV)-naphthalocyanine: modulation of its pharmacokinetic properties through the use of hydrophilic axial ligands. Cancer Lett. 1992 Aug 14;65(2):145–150. doi: 10.1016/0304-3835(92)90159-s. [DOI] [PubMed] [Google Scholar]
- Bellnier D. A., Ho Y. K., Pandey R. K., Missert J. R., Dougherty T. J. Distribution and elimination of Photofrin II in mice. Photochem Photobiol. 1989 Aug;50(2):221–228. doi: 10.1111/j.1751-1097.1989.tb04152.x. [DOI] [PubMed] [Google Scholar]
- Beltramini M., Firey P. A., Ricchelli F., Rodgers M. A., Jori G. Steady-state and time-resolved spectroscopic studies on the hematoporphyrin-lipoprotein complex. Biochemistry. 1987 Oct 20;26(21):6852–6858. doi: 10.1021/bi00395a040. [DOI] [PubMed] [Google Scholar]
- Ben-Hur E., Rosenthal I. The phthalocyanines: a new class of mammalian cells photosensitizers with a potential for cancer phototherapy. Int J Radiat Biol Relat Stud Phys Chem Med. 1985 Feb;47(2):145–147. doi: 10.1080/09553008514550211. [DOI] [PubMed] [Google Scholar]
- Chapman M. J. Comparative analysis of mammalian plasma lipoproteins. Methods Enzymol. 1986;128:70–143. doi: 10.1016/0076-6879(86)28063-5. [DOI] [PubMed] [Google Scholar]
- Cuomo V., Jori G., Rihter B., Kenney M. E., Rodgers M. A. Tumour-localising and -photosensitizing properties of liposome-delivered Ge(IV)-octabutoxy-phthalocyanine. Br J Cancer. 1991 Jul;64(1):93–95. doi: 10.1038/bjc.1991.247. [DOI] [PMC free article] [PubMed] [Google Scholar]
- Dougherty T. J. Photosensitizers: therapy and detection of malignant tumors. Photochem Photobiol. 1987 Jun;45(6):879–889. doi: 10.1111/j.1751-1097.1987.tb07898.x. [DOI] [PubMed] [Google Scholar]
- Ginevra F., Biffanti S., Pagnan A., Biolo R., Reddi E., Jori G. Delivery of the tumour photosensitizer zinc(II)-phthalocyanine to serum proteins by different liposomes: studies in vitro and in vivo. Cancer Lett. 1990 Jan;49(1):59–65. doi: 10.1016/0304-3835(90)90139-o. [DOI] [PubMed] [Google Scholar]
- Goldstein J. L., Brown M. S., Anderson R. G., Russell D. W., Schneider W. J. Receptor-mediated endocytosis: concepts emerging from the LDL receptor system. Annu Rev Cell Biol. 1985;1:1–39. doi: 10.1146/annurev.cb.01.110185.000245. [DOI] [PubMed] [Google Scholar]
- Gomer C. J., Ferrario A. Tissue distribution and photosensitizing properties of mono-L-aspartyl chlorin e6 in a mouse tumor model. Cancer Res. 1990 Jul 1;50(13):3985–3990. [PubMed] [Google Scholar]
- Gorman A. A., Rodgers M. A. Current perspectives of singlet oxygen detection in biological environments. J Photochem Photobiol B. 1992 Jul 15;14(3):159–176. doi: 10.1016/1011-1344(92)85095-c. [DOI] [PubMed] [Google Scholar]
- Gotto A. M., Jr, Pownall H. J., Havel R. J. Introduction to the plasma lipoproteins. Methods Enzymol. 1986;128:3–41. doi: 10.1016/0076-6879(86)28061-1. [DOI] [PubMed] [Google Scholar]
- Henderson B. W., Bellnier D. A. Tissue localization of photosensitizers and the mechanism of photodynamic tissue destruction. Ciba Found Symp. 1989;146:112–130. doi: 10.1002/9780470513842.ch8. [DOI] [PubMed] [Google Scholar]
- Jori G., Reddi E. The role of lipoproteins in the delivery of tumour-targeting photosensitizers. Int J Biochem. 1993 Oct;25(10):1369–1375. doi: 10.1016/0020-711x(93)90684-7. [DOI] [PubMed] [Google Scholar]
- Kessel D., Thompson P., Saatio K., Nantwi K. D. Tumor localization and photosensitization by sulfonated derivatives of tetraphenylporphine. Photochem Photobiol. 1987 Jun;45(6):787–790. doi: 10.1111/j.1751-1097.1987.tb07883.x. [DOI] [PubMed] [Google Scholar]
- Moan J., Berg K. Photochemotherapy of cancer: experimental research. Photochem Photobiol. 1992 Jun;55(6):931–948. doi: 10.1111/j.1751-1097.1992.tb08541.x. [DOI] [PubMed] [Google Scholar]
- Polo L., Reddi E., Garbo G. M., Morgan A. R., Jori G. The distribution of the tumour photosensitizers Zn(II)-phthalocyanine and Sn(IV)-etiopurpurin among rabbit plasma proteins. Cancer Lett. 1992 Oct 21;66(3):217–223. doi: 10.1016/0304-3835(92)90250-y. [DOI] [PubMed] [Google Scholar]
- Reddi E., Lo Castro G., Biolo R., Jori G. Pharmacokinetic studies with zinc(II)-phthalocyanine in tumour-bearing mice. Br J Cancer. 1987 Nov;56(5):597–600. doi: 10.1038/bjc.1987.247. [DOI] [PMC free article] [PubMed] [Google Scholar]
- Reddi E., Rodgers M. A., Spikes J. D., Jori G. The effect of medium polarity on the hematoporphyrin-sensitized photooxidation of L-tryptophan. Photochem Photobiol. 1984 Oct;40(4):415–421. doi: 10.1111/j.1751-1097.1984.tb04611.x. [DOI] [PubMed] [Google Scholar]
- Reddi E., Zhou C., Biolo R., Menegaldo E., Jori G. Liposome- or LDL-administered Zn (II)-phthalocyanine as a photodynamic agent for tumours. I. Pharmacokinetic properties and phototherapeutic efficiency. Br J Cancer. 1990 Mar;61(3):407–411. doi: 10.1038/bjc.1990.89. [DOI] [PMC free article] [PubMed] [Google Scholar]
- Reed M. W., Miller F. N., Wieman T. J., Tseng M. T., Pietsch C. G. The effect of photodynamic therapy on the microcirculation. J Surg Res. 1988 Nov;45(5):452–459. doi: 10.1016/0022-4804(88)90195-3. [DOI] [PubMed] [Google Scholar]
- Scherphof G. L., Spanjer H. H., Derksen J. T., Lázár G., Roerdink F. H. Targeting of liposomes to liver cells. Horiz Biochem Biophys. 1989;9:281–291. [PubMed] [Google Scholar]
- Smith P. K., Krohn R. I., Hermanson G. T., Mallia A. K., Gartner F. H., Provenzano M. D., Fujimoto E. K., Goeke N. M., Olson B. J., Klenk D. C. Measurement of protein using bicinchoninic acid. Anal Biochem. 1985 Oct;150(1):76–85. doi: 10.1016/0003-2697(85)90442-7. [DOI] [PubMed] [Google Scholar]
- Spikes J. D. Phthalocyanines as photosensitizers in biological systems and for the photodynamic therapy of tumors. Photochem Photobiol. 1986 Jun;43(6):691–699. doi: 10.1111/j.1751-1097.1986.tb05648.x. [DOI] [PubMed] [Google Scholar]
- Zhou C. N. Mechanisms of tumor necrosis induced by photodynamic therapy. J Photochem Photobiol B. 1989 Jun;3(3):299–318. doi: 10.1016/1011-1344(89)80035-1. [DOI] [PubMed] [Google Scholar]
- Zhou C. N., Milanesi C., Jori G. An ultrastructural comparative evaluation of tumors photosensitized by porphyrins administered in aqueous solution, bound to liposomes or to lipoproteins. Photochem Photobiol. 1988 Oct;48(4):487–492. doi: 10.1111/j.1751-1097.1988.tb02850.x. [DOI] [PubMed] [Google Scholar]
- van Lier J. E., Spikes J. D. The chemistry, photophysics and photosensitizing properties of phthalocyanines. Ciba Found Symp. 1989;146:17–32. doi: 10.1002/9780470513842.ch3. [DOI] [PubMed] [Google Scholar]





