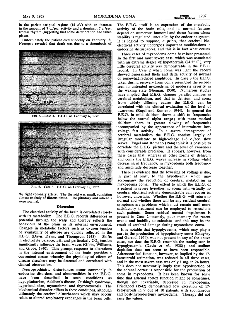
Full text
PDF




Images in this article
Selected References
These references are in PubMed. This may not be the complete list of references from this article.
- BIEMOND A. Sur le coma myxoedémateux. Folia Psychiatr Neurol Neurochir Neerl. 1955 Aug;58(4):217–223. [PubMed] [Google Scholar]
- BOULET P., MIROUZE J. L'insuffisance mixte thyroidienne et cortico-surrénale; problèmes théorique et pratique. Montp Med. 1955 Jul-Aug;48(1):37–52. [PubMed] [Google Scholar]
- CAUGHEY J. E., GARROD O. Coma and allied disturbances of consciousness in hypopituitarism. Br Med J. 1954 Sep 4;2(4887):554–560. doi: 10.1136/bmj.2.4887.554. [DOI] [PMC free article] [PubMed] [Google Scholar]
- DUNDEE J. W., SCOTT W. E., MESHAM P. R. The production of hypothermia. Br Med J. 1953 Dec 5;2(4848):1244–1246. doi: 10.1136/bmj.2.4848.1244. [DOI] [PMC free article] [PubMed] [Google Scholar]
- DYSON A., WOOD M. W. Triiodothyronine in myxoedema coma. Lancet. 1956 Oct 13;271(6946):757–759. doi: 10.1016/s0140-6736(56)90963-1. [DOI] [PubMed] [Google Scholar]
- HILL S. R., Jr, REISS R. S., FORSHAM P. H., THORN G. W. The effect of adrenocorticotropin and cortisone on thyroid function; thyroid-adrenocortical interrelationships. J Clin Endocrinol Metab. 1950 Nov;10(11):1375–1400. doi: 10.1210/jcem-10-11-1375. [DOI] [PubMed] [Google Scholar]
- HUBBLE D. Endocrine relations. Lancet. 1955 Jan 1;268(6853):1–5. doi: 10.1016/s0140-6736(55)93207-4. [DOI] [PubMed] [Google Scholar]
- LE MARQUAND H. S., HAUSMANN W., HEMSTED E. H. Death in myxoedema coma. Br Med J. 1955 Sep 24;2(4942):773–773. doi: 10.1136/bmj.2.4942.773. [DOI] [PMC free article] [PubMed] [Google Scholar]
- SALMON H. A. Case of hypopituitary coma with serial electroencephalography. Br Med J. 1956 Jun 16;1(4980):1397–1399. doi: 10.1136/bmj.1.4980.1397. [DOI] [PMC free article] [PubMed] [Google Scholar]
- SHEEHAN H. L., SUMMERS V. K. Treatment of hypopituitary coma. Br Med J. 1952 Jun 7;1(4770):1214–1215. doi: 10.1136/bmj.1.4770.1214. [DOI] [PMC free article] [PubMed] [Google Scholar]
- SURTEES S. J., GINSBERG S. A case of myxoedema coma successfully treated with tri-iodo-thyronine. Postgrad Med J. 1958 Aug;34(394):443–445. doi: 10.1136/pgmj.34.394.443. [DOI] [PMC free article] [PubMed] [Google Scholar]
- SWAN H., ZEAVIN I., BLOUNT S. G., Jr, VIRTUE R. W. Surgery by direct vision in the open heart during hypothermia. J Am Med Assoc. 1953 Nov 21;153(12):1081–1085. doi: 10.1001/jama.1953.02940290013005. [DOI] [PubMed] [Google Scholar]






