Abstract
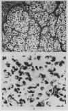
Heterotransplantation of a human colonic neoplasm with classical morphologic characteristics of a carcinoid was sucessful in the cheek pouches of unconditioned, adult golden hamsters after a short sojourn in cell-impermeable chambers in rats. Although no mucin-secreting cells were detected in the donor carcinoid, the cheek pouch transplants exclusively exhibited mucinsecreting tumour cells of signet-ring type consistent with adenocarcinoma. This transplantable tumour, designated GW-77, has retained this appearance as well as expansive growth characteristics in xenogeneic hosts for a period of 4 years.
These findings represent strong biological evidence consonant with views, based upon morphological findings, advocating a histogenetic relationship between colonic carcinoid and adenocarcinoma. It is believed that colonic adenocarcinoma has a selective advantage over carcinoid for serial propagation in an alien environment, indicating the less differentiated nature of its cellular components. Since the donor carcinoid cells failed to exhibit argentaffin reactions, these conclusions may be limited only to the nonreactive forms of carcinoid.
Full text
PDF






Images in this article
Selected References
These references are in PubMed. This may not be the complete list of references from this article.
- Black W. C., 3rd Enterochromaffin cell types and corresponding carcinoid tumors. Lab Invest. 1968 Nov;19(5):473–486. [PubMed] [Google Scholar]
- Black W. C., Haffner H. E. Diffuse hyperplasia of gastric argyrophil cells and multiple carcinoid tumors. An historical and ultrastructural study. Cancer. 1968 Jun;21(6):1080–1099. doi: 10.1002/1097-0142(196806)21:6<1080::aid-cncr2820210609>3.0.co;2-1. [DOI] [PubMed] [Google Scholar]
- Goldenberg D. M., Witte S., Elster K. GW-39: a new human tumor serially transplantable in the golden hamster. Transplantation. 1966 Nov;4(6):760–763. doi: 10.1097/00007890-196611000-00013. [DOI] [PubMed] [Google Scholar]
- Hernandez F. J., Reid J. D. Mixed carcinoid and mucus-secreting intestinal tumors. Arch Pathol. 1969 Nov;88(5):489–496. [PubMed] [Google Scholar]
- LILLIE R. D., GLENNER G. G. Histochemical reactions in carcinoid tumors of the human gastrointestinal tract. Am J Pathol. 1960 Jun;36:623–651. [PMC free article] [PubMed] [Google Scholar]
- Masson P. The Significance of the Muscular "Stroma" of Argentaffin Tumors (Carcinoids). Am J Pathol. 1930 Sep;6(5):499–514.3. [PMC free article] [PubMed] [Google Scholar]
- PEARSON C. M., FITZGERALD P. J. Carcinoid tumors; a re-emphasis of their malignant nature; review of 140 cases. Cancer. 1949 Nov;2(6):1005-26, illust. doi: 10.1002/1097-0142(194911)2:6<1005::aid-cncr2820020608>3.0.co;2-1. [DOI] [PubMed] [Google Scholar]
- RITCHIE A. C. Carcinoid tumors. Am J Med Sci. 1956 Sep;232(3):311–328. [PubMed] [Google Scholar]
- Stout A. P. Carcinoid Tumors of the Rectum Derived from Erspamer's Pre-enterochrome Cells. Am J Pathol. 1942 Nov;18(6):993–1009. [PMC free article] [PubMed] [Google Scholar]
- Toker C. Observations on the composition of certain colonic tumors. Cancer. 1969 Aug;24(2):256–260. doi: 10.1002/1097-0142(196908)24:2<256::aid-cncr2820240207>3.0.co;2-6. [DOI] [PubMed] [Google Scholar]
- WARREN K. W., COYLE E. B. Carcinoid tumors of the gastrointestinal tract. Am J Surg. 1951 Sep;82(3):372–377. doi: 10.1016/0002-9610(51)90329-7. [DOI] [PubMed] [Google Scholar]
- WILLIAMS E. D., SANDLER M. The classification of carcinoid tum ours. Lancet. 1963 Feb 2;1(7275):238–239. doi: 10.1016/s0140-6736(63)90951-6. [DOI] [PubMed] [Google Scholar]


