Abstract
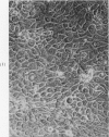
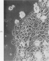
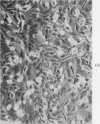
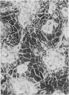
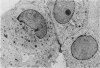
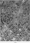
Ten cell lines of human squamous carcinomas of the tongue and larynx have been established from surgical specimens removed from 36 unselected patients, in order to provide systems for investigating the invasive and tissue-destructive capacity of squamous carcinomas of the head and neck. The morphology, ultrastructure and growth characteristics of the 10 lines are described. Detailed cytogenetic analysis of the first 4 lines indicates that each is karyotypically unique, with no evidence of cross-contamination. Nine of the 10 cell lines secrete immunoreactive beta human chorionic gonadotrophin (beta-hCG) in the culture medium. No correlation was demonstrated between the ability of the cell lines to secrete plasminogen activator and their capacity to grow in soft agar or as xenografts in immune-deficient mice.
Full text
PDF













Images in this article
Selected References
These references are in PubMed. This may not be the complete list of references from this article.
- Carter R. L., Pittam M. R. Squamous carcinomas of the head and neck: some patterns of spread. J R Soc Med. 1980 Jun;73(6):420–427. doi: 10.1177/014107688007300606. [DOI] [PMC free article] [PubMed] [Google Scholar]
- Carter R. L., Tanner N. S., Clifford P., Shaw H. J. Direct bone invasion in squamous carcinomas of the head and neck: pathological and clinical implications. Clin Otolaryngol Allied Sci. 1980 Apr;5(2):107–116. doi: 10.1111/j.1365-2273.1980.tb01636.x. [DOI] [PubMed] [Google Scholar]
- Carter R. L., Tanner N. S., Clifford P., Shaw H. J. Perineural spread in squamous cell carcinomas of the head and neck: a clinicopathological study. Clin Otolaryngol Allied Sci. 1979 Aug;4(4):271–281. doi: 10.1111/j.1365-2273.1979.tb01900.x. [DOI] [PubMed] [Google Scholar]
- Carter R. L., Tanner N. S. Local invasion by laryngeal carcinoma--the importance of focal (metaplastic) ossification within laryngeal cartilage. Clin Otolaryngol Allied Sci. 1979 Aug;4(4):283–290. doi: 10.1111/j.1365-2273.1979.tb01901.x. [DOI] [PubMed] [Google Scholar]
- Chou J. Y., Robinson J. C., Wang S. S. Effects of sodium butyrate on synthesis of human chorionic gonadotrophin in trophoblastic and non-trophoblastic tumours. Nature. 1977 Aug 11;268(5620):543–544. doi: 10.1038/268543a0. [DOI] [PubMed] [Google Scholar]
- Clifford P. Prospectives in head and neck oncology. J Laryngol Otol. 1976 Mar;90(3):221–251. doi: 10.1017/s0022215100082013. [DOI] [PubMed] [Google Scholar]
- Dennington M. L., Carter D. R., Meyers A. D. Distant metastases in head and neck epidermoid carcinoma. Laryngoscope. 1980 Feb;90(2):196–201. doi: 10.1288/00005537-198002000-00002. [DOI] [PubMed] [Google Scholar]
- EAGLE H. Propagation in a fluid medium of a human epidermoid carcinoma, strain KB. Proc Soc Exp Biol Med. 1955 Jul;89(3):362–364. doi: 10.3181/00379727-89-21811. [DOI] [PubMed] [Google Scholar]
- Edwards P. A., Easty D. M., Foster C. S. Selective culture of epithelioid cells from a human squamous carcinoma using a monoclonal antibody to kill fibroblasts. Cell Biol Int Rep. 1980 Oct;4(10):917–922. doi: 10.1016/0309-1651(80)90193-9. [DOI] [PubMed] [Google Scholar]
- FJELDE A. Human tumor cells in tissue culture. Cancer. 1955 Jul-Aug;8(4):845–851. doi: 10.1002/1097-0142(1955)8:4<845::aid-cncr2820080434>3.0.co;2-4. [DOI] [PubMed] [Google Scholar]
- Giard D. J., Aaronson S. A., Todaro G. J., Arnstein P., Kersey J. H., Dosik H., Parks W. P. In vitro cultivation of human tumors: establishment of cell lines derived from a series of solid tumors. J Natl Cancer Inst. 1973 Nov;51(5):1417–1423. doi: 10.1093/jnci/51.5.1417. [DOI] [PubMed] [Google Scholar]
- Gusterson B. A., Monaghan P. Keratinocyte differentiation of human buccal mucosa in vitro. Invest Cell Pathol. 1979 Jul-Sep;2(3):171–179. [PubMed] [Google Scholar]
- Heyderman E., Neville A. M. A shorter immunoperoxidase technique for the demonstration of carcinoembryonic antigen and other cell products. J Clin Pathol. 1977 Feb;30(2):138–140. doi: 10.1136/jcp.30.2.138. [DOI] [PMC free article] [PubMed] [Google Scholar]
- Huang D. P., Ho J. H., Poon Y. F., Chew E. C., Saw D., Lui M., Li C. L., Mak L. S., Lai S. H., Lau W. H. Establishment of a cell line (NPC/HK1) from a differentiated squamous carcinoma of the nasopharynx. Int J Cancer. 1980 Aug;26(2):127–132. doi: 10.1002/ijc.2910260202. [DOI] [PubMed] [Google Scholar]
- Jones P. A., Laug W. E., Benedict W. F. Fibrinolytic activity in a human fibrosarcoma cell line and evidence for the induction of plasminogen activator secretion during tumor formation. Cell. 1975 Oct;6(2):245–252. doi: 10.1016/0092-8674(75)90015-x. [DOI] [PubMed] [Google Scholar]
- Laurence D. J., Stevens U., Bettelheim R., Darcy D., Leese C., Turberville C., Alexander P., Johns E. W., Neville A. M. Role of plasma carcinoembryonic antigen in diagnosis of gastrointestinal, mammary, and bronchial carcinoma. Br Med J. 1972 Sep 9;3(5827):605–609. doi: 10.1136/bmj.3.5827.605. [DOI] [PMC free article] [PubMed] [Google Scholar]
- MOLLENHAUER H. H. PLASTIC EMBEDDING MIXTURES FOR USE IN ELECTRON MICROSCOPY. Stain Technol. 1964 Mar;39:111–114. [PubMed] [Google Scholar]
- MOORE A. E., SABACHEWSKY L., TOOLAN H. W. Culture characteristics of four permanent lines of human cancer cells. Cancer Res. 1955 Oct;15(9):598–602. [PubMed] [Google Scholar]
- Nishihira T., Kasai M., Mori S., Watanabe T., Kuriya Y., Suda M., Kitamura M., Hirayama K., Akaishi T., Sasaki T. Characteristics of two cell lines (TE-1 and TE-2) derived from human squamous cell carcinoma of the esophagus. Gan. 1979 Oct;70(5):575–584. [PubMed] [Google Scholar]
- Probert J. C., Thompson R. W., Bagshaw M. A. Patterns of spread of distant metastases in head and neck cancer. Cancer. 1974 Jan;33(1):127–133. doi: 10.1002/1097-0142(197401)33:1<127::aid-cncr2820330119>3.0.co;2-l. [DOI] [PubMed] [Google Scholar]
- Stell P. M. The management of cervical lymph nodes in head and neck cencer. Proc R Soc Med. 1975 Feb;68(2):83–85. doi: 10.1177/003591577506800207. [DOI] [PMC free article] [PubMed] [Google Scholar]
- Tanner N. S., Carter R. L., Dalley V. M., Clifford P., Shaw H. J. The irradiated radical neck dissection in squamous carcinoma: a clinico-pathological study. Clin Otolaryngol Allied Sci. 1980 Aug;5(4):259–271. doi: 10.1111/j.1365-2273.1980.tb01656.x. [DOI] [PubMed] [Google Scholar]
- Tsao S. W., Burman J. F., Easty D. M., Easty G. C., Carter R. L. Some mechanisms of local bone destruction by squamous carcinomas of the head and neck. Br J Cancer. 1981 Mar;43(3):392–401. doi: 10.1038/bjc.1981.60. [DOI] [PMC free article] [PubMed] [Google Scholar]
- Vaitukaitis J. L., Braunstein G. D., Ross G. T. A radioimmunoassay which specifically measures human chorionic gonadotropin in the presence of human luteinizing hormone. Am J Obstet Gynecol. 1972 Jul 15;113(6):751–758. doi: 10.1016/0002-9378(72)90553-4. [DOI] [PubMed] [Google Scholar]














