Full text
PDF











Images in this article
Selected References
These references are in PubMed. This may not be the complete list of references from this article.
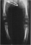
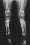
- COLEMAN E. N., FOOTE J. B. Craniostenosis with familial vitamin-D-resistant rickets. Br Med J. 1954 Mar 6;1(4861):561–562. doi: 10.1136/bmj.1.4861.561. [DOI] [PMC free article] [PubMed] [Google Scholar]
- PRITCHARD J. J. A cytological and histochemical study of bone and cartilage formation in the rat. J Anat. 1952 Jul;86(3):259–277. [PMC free article] [PubMed] [Google Scholar]
- SCHNEIDER R. W., CORCORAN A. C. Familial nephrogenic osteopathy due to excessive tubular reabsorption of inorganic phosphate; a new syndrome and a novel mode of relief. J Lab Clin Med. 1950 Dec;36(6):985–986. [PubMed] [Google Scholar]
- SIFFERT R. S. The role of alkaline phosphatase in osteogenesis. J Exp Med. 1951 May;93(5):415–426. doi: 10.1084/jem.93.5.415. [DOI] [PMC free article] [PubMed] [Google Scholar]
- SOBEL E. H., CLARK L. C., Jr, FOX R. P., ROBINOW M. Rickets, deficiency of alkaline phosphatase activity and premature loss of teeth in childhood. Pediatrics. 1953 Apr;11(4):309–322. [PubMed] [Google Scholar]











