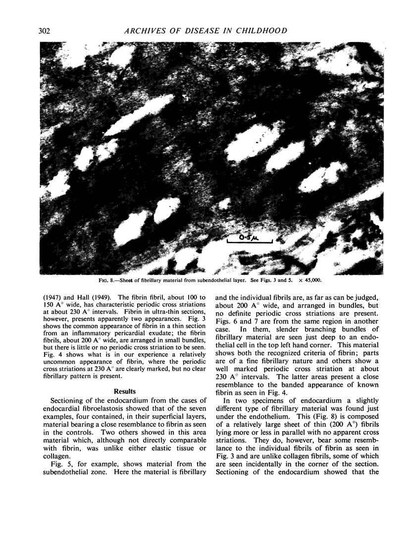
Full text
PDF





Images in this article
Selected References
These references are in PubMed. This may not be the complete list of references from this article.
- HALL D. A., REED R., TUNBRIDGE R. E. Electron miscroscope studies of elastic tissue. Exp Cell Res. 1955 Feb;8(1):35–48. doi: 10.1016/0014-4827(55)90041-0. [DOI] [PubMed] [Google Scholar]
- STILL W. J., BOULT E. H. Pathogenesis of endocardial fibro-elastosis. Lancet. 1956 Jul 21;271(6934):117–118. doi: 10.1016/s0140-6736(56)90864-9. [DOI] [PubMed] [Google Scholar]








