Abstract
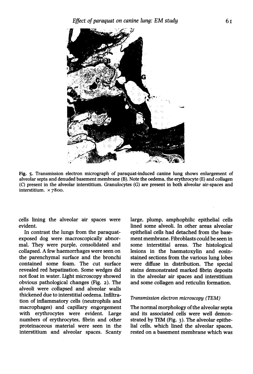
The herbicide paraquat induces irreversible progressive pulmonary fibrosis in human beings and animals. The mechanisms of the fibrosis are still unresolved. There is histological and ultrastructural evidence that an early destructive phase followed by a proliferative phase occurs in the lungs post paraquat-exposure. In this study, lungs obtained from a dog 7 days following intravenous administration of paraquat (12 mg paraquat dichloride per kg bodyweight) are compared with lungs obtained from a normal dog. Examination included gross post mortem inspection, histology, transmission electron microscopy (TEM) and scanning electron microscopy (SEM). Comparison of the TEM of the paraquat affected canine lung with the normal showed: alveolar collapse; detachment of alveolar epithelial cells from the basement membrane; alteration of the type II alveolar cell morphology; infiltration of granulocytes and erythrocytes into both the interstitium and alveolar air spaces; and fibroblasts associated with collagen fibrils. The SEM of the paraquat-exposed canine lung, reported here for the first time, demonstrated irregular, alveolar walls with type I alveolar epithelial cell detachment, and erythrocyte and alveolar macrophage infiltration. These findings suggest that the detachment of alveolar epithelial cells and the alveolar macrophage play a significant role in paraquat-induced pulmonary fibrosis.
Full text
PDF











Images in this article
Selected References
These references are in PubMed. This may not be the complete list of references from this article.
- Campbell S. Death from paraquat in a child. Lancet. 1968 Jan 20;1(7534):144–144. doi: 10.1016/s0140-6736(68)92754-2. [DOI] [PubMed] [Google Scholar]
- Darke P. G., Gibbs C., Kelly D. F., Morgan D. G., Pearson H., Weaver B. M. Acute respiratory distress in the dog associated with paraquat poisoning. Vet Rec. 1977 Apr 2;100(14):275–277. doi: 10.1136/vr.100.14.275. [DOI] [PubMed] [Google Scholar]
- Johnson R. P., Huxtable C. R. Paraquat poisoning in a dog and cat. Vet Rec. 1976 Mar 6;98(10):189–191. doi: 10.1136/vr.98.10.189. [DOI] [PubMed] [Google Scholar]
- Longstaffe J. A., Humphreys D. J., Hayward A. H., Stodulski J. B. Paraquat poisoning in dogs and cats--differences between accidental and malicious poisoning. J Small Anim Pract. 1981 Mar;22(3):153–156. doi: 10.1111/j.1748-5827.1981.tb00595.x. [DOI] [PubMed] [Google Scholar]
- Smith P., Heath D. The ultrastructure and time sequence of the early stages of paraquat lung in rats. J Pathol. 1974 Dec;114(4):177–184. doi: 10.1002/path.1711140402. [DOI] [PubMed] [Google Scholar]
- Vijeyaratnam G. S., Corrin B. Experimental paraquat poisoning: a histological and electron-optical study of the changes in the lung. J Pathol. 1971 Feb;103(2):123–129. doi: 10.1002/path.1711030207. [DOI] [PubMed] [Google Scholar]












