Abstract
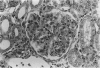
In a telescoped model of antiglomerular basement membrane (GBM) antibody induced nephritis, Lewis strain rats were injected in the footpad with rabbit IgG on day 0 and then given a single intravenous injection of rabbit anti-rat GBM antibody on day 5. Proteinuria developed within 24 h and renal histology 7 days later showed a focal or diffuse proliferative glomerulonephritis. In this study rats treated as above were given Cyclosporin A (CyA) 20 mg/kg daily by intraperitoneal injection from day 0 or from day 5. Rats given CyA plus anti-GBM antibody developed extensive glomerular infiltration with polymorphs and glomerular thrombosis, lesions not seen with unmodified anti-GBM nephritis or in rats who received CyA alone. The mechanism by which CyA given prior to or at the onset of immunological insult in this model worsens glomerular injury is unclear.
Full text
PDF






Images in this article
Selected References
These references are in PubMed. This may not be the complete list of references from this article.
- Adu D., Dobson J., Williams D. G. DNA-anti-DNA circulating complexes in the nephritis of systemic lupus erythematosus. Clin Exp Immunol. 1981 Mar;43(3):605–614. [PMC free article] [PubMed] [Google Scholar]
- Bhan A. K., Schneeberger E. E., Collins A. B., McCluskey R. T. Evidence for a pathogenic role of a cell-mediated immune mechanism in experimental glomerulonephritis. J Exp Med. 1978 Jul 1;148(1):246–260. doi: 10.1084/jem.148.1.246. [DOI] [PMC free article] [PubMed] [Google Scholar]
- Bolton C., Borel J. F., Cuzner M. L., Davison A. N., Turner A. M. Immunosuppression by cyclosporin A of experimental allergic encephalomyelitis. J Neurol Sci. 1982 Nov;56(2-3):147–153. doi: 10.1016/0022-510x(82)90138-1. [DOI] [PubMed] [Google Scholar]
- Bonser R. S., Adu D., Franklin I., McMaster P. Cyclosporin-induced haemolytic uraemic syndrome in liver allograft recipient. Lancet. 1984 Dec 8;2(8415):1337–1337. doi: 10.1016/s0140-6736(84)90842-0. [DOI] [PubMed] [Google Scholar]
- Israel-Biet D., Noel L. H., Bach M. A., Dardenne M., Bach J. F. Marked reduction of DNA antibody production and glomerulopathy in thymulin (FTS-Zn) or cyclosporin A treated (NZB X NZW) F1 mice. Clin Exp Immunol. 1983 Nov;54(2):359–365. [PMC free article] [PubMed] [Google Scholar]
- Moncada S., Higgs E. A., Vane J. R. Human arterial and venous tissues generate prostacyclin (prostaglandin x), a potent inhibitor of platelet aggregation. Lancet. 1977 Jan 1;1(8001):18–20. doi: 10.1016/s0140-6736(77)91655-5. [DOI] [PubMed] [Google Scholar]
- Naish P. F., Thomson N. M., Simpson I. J., Peters D. K. The role of polymorphonuclear leucocytes in the autologous phase of nephrotoxic nephritis. Clin Exp Immunol. 1975 Oct;22(1):102–111. [PMC free article] [PubMed] [Google Scholar]
- Neild G. H., Ivory K., Williams D. G. Glomerular thrombosis and cortical infarction in cyclosporin-treated rabbits with acute serum sickness. Br J Exp Pathol. 1984 Feb;65(1):133–144. [PMC free article] [PubMed] [Google Scholar]
- Shulman H., Striker G., Deeg H. J., Kennedy M., Storb R., Thomas E. D. Nephrotoxicity of cyclosporin A after allogeneic marrow transplantation: glomerular thromboses and tubular injury. N Engl J Med. 1981 Dec 3;305(23):1392–1395. doi: 10.1056/NEJM198112033052306. [DOI] [PubMed] [Google Scholar]
- Tipping P. G., Neale T. J., Holdsworth S. R. T lymphocyte participation in antibody-induced experimental glomerulonephritis. Kidney Int. 1985 Mar;27(3):530–537. doi: 10.1038/ki.1985.43. [DOI] [PubMed] [Google Scholar]
- VASSALLI P., MCCLUSKEY R. T. THE PATHOGENIC ROLE OF THE COAGULATION PROCESS IN RABBIT MASUGI NEPHRITIS. Am J Pathol. 1964 Oct;45:653–677. [PMC free article] [PubMed] [Google Scholar]



