Full text
PDF



























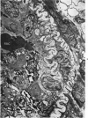
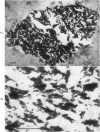
Images in this article
Selected References
These references are in PubMed. This may not be the complete list of references from this article.
- BOTTI R. E., RATNOFF O. D. STUDIES ON THE PATHOGENESIS OF THROMBOSIS: AN EXPERIMENTAL "HYPERCOAGULABLE" STATE INDUCED BY THE INTRAVENOUS INJECTION OF ELLAGIC ACID. J Lab Clin Med. 1964 Sep;64:385–398. [PubMed] [Google Scholar]
- BRECHER G., CRONKITE E. P. Morphology and enumeration of human blood platelets. J Appl Physiol. 1950 Dec;3(6):365–377. doi: 10.1152/jappl.1950.3.6.365. [DOI] [PubMed] [Google Scholar]
- Botti R. E. Assessment of the hypercoagulable state and ellagic acid. Thromb Diath Haemorrh Suppl. 1966;20:49–52. [PubMed] [Google Scholar]
- CONNOR W. E., CARTER J. R. Influence of soybean phosphatide on blood coagulation and its use in the thromboplastin generation test. Proc Soc Exp Biol Med. 1958 Jan;97(1):38–43. doi: 10.3181/00379727-97-23640. [DOI] [PubMed] [Google Scholar]
- DES PREZ R. M., HOROWITZ H. I., HOOK E. W. Effects of bacterial endotoxin on rabbit platelets. I. Platelet aggregation and release of platelet factors in vitro. J Exp Med. 1961 Dec 1;114:857–874. doi: 10.1084/jem.114.6.857. [DOI] [PMC free article] [PubMed] [Google Scholar]
- HEIFFER M. H., MUNDY R. L., MEHLMAN B. Effect of lethal doses of bacterial endotoxin (E. coli) on sympathetic neurohormones in the rabbit. Am J Physiol. 1960 Jun;198:1307–1311. doi: 10.1152/ajplegacy.1960.198.6.1307. [DOI] [PubMed] [Google Scholar]
- HOROWITZ H. I., DES PREZ R. M., HOOK E. W. Effects of bacterial endotoxin on rabbit platelets. II. Enhancement of platelet factor 3 activity in vitro and in vivo. J Exp Med. 1962 Nov 1;116:619–633. doi: 10.1084/jem.116.5.619. [DOI] [PMC free article] [PubMed] [Google Scholar]
- MARGARETTEN W., ZUNKER H. O., MCKAY D. G. PRODUCTION OF THE GENERALIZED SHWARTZMAN REACTION IN PREGNANT RATS BY INTRAVENOUS INFUSION OF THROMBIN. Lab Invest. 1964 Jun;13:552–559. [PubMed] [Google Scholar]
- McKAY D. G., SHAPIRO S. S., SHANBERGE J. N. Alterations in the blood coagulation system induced by bacterial endotoxins. II. In vitro. J Exp Med. 1958 Mar 1;107(3):369–376. doi: 10.1084/jem.107.3.369. [DOI] [PMC free article] [PubMed] [Google Scholar]
- Muller-Berghaus G., Davidson E., McKay D. G. Prevention of the generalized Shwartzman reaction in pregnant rats by alpha-adrenergic blockade. Effects on the coagulation mechanism. Obstet Gynecol. 1967 Dec;30(6):774–778. [PubMed] [Google Scholar]
- Müller-Berghaus G., Goldfinger D., Margaretten W., McKay D. G. Platelet factor 3 and the generalized Shwartzman reaction. Thromb Diath Haemorrh. 1967 Dec 31;18(3-4):726–735. [PubMed] [Google Scholar]
- Müller-Berghaus G., McKay D. G. Prevention of the generalized Shwartzman reaction in pregnant rats by alpha-adrenergic blocking agents. Lab Invest. 1967 Sep;17(3):276–280. [PubMed] [Google Scholar]
- O'BRIEN J. R. A COMPARISON OF PLATELET AGGREGATION PRODUCED BY SEVEN COMPOUNDS AND A COMPARISON OF THEIR INHIBITORS. J Clin Pathol. 1964 May;17:275–281. doi: 10.1136/jcp.17.3.275. [DOI] [PMC free article] [PubMed] [Google Scholar]
- PHILLIPS L. L., SKRODELIS V. The fibrinolytic enzyme system in normal, hemorrhagic and disease states. J Clin Invest. 1958 Jul;37(7):965–973. doi: 10.1172/JCI103692. [DOI] [PMC free article] [PubMed] [Google Scholar]
- PROCTOR R. R., RAPAPORT S. I. The partial thromboplastin time with kaolin. A simple screening test for first stage plasma clotting factor deficiencies. Am J Clin Pathol. 1961 Sep;36:212–219. doi: 10.1093/ajcp/36.3.212. [DOI] [PubMed] [Google Scholar]
- Price H. L. The significance of catecholamine release during anaesthesia. Br J Anaesth. 1966 Sep;38(9):705–711. doi: 10.1093/bja/38.9.705. [DOI] [PubMed] [Google Scholar]
- RATNOFF O. D., CRUM J. D. ACTIVATION OF HAGEMAN FACTOR BY SOLUTIONS OF ELLAGIC ACID. J Lab Clin Med. 1964 Mar;63:359–377. [PubMed] [Google Scholar]
- RATNOFF O. D., MENZIE C. A new method for the determination of fibrinogen in small samples of plasma. J Lab Clin Med. 1951 Feb;37(2):316–320. [PubMed] [Google Scholar]
- STEFANINI M. New one-stage procedures for the quantitative determination of prothrombin and labile factor. Am J Clin Pathol. 1950 Mar;20(3):233–240. doi: 10.1093/ajcp/20.3.233. [DOI] [PubMed] [Google Scholar]









