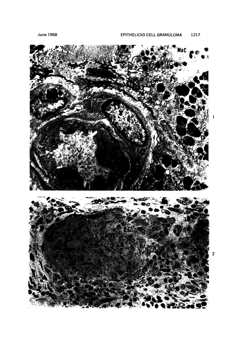
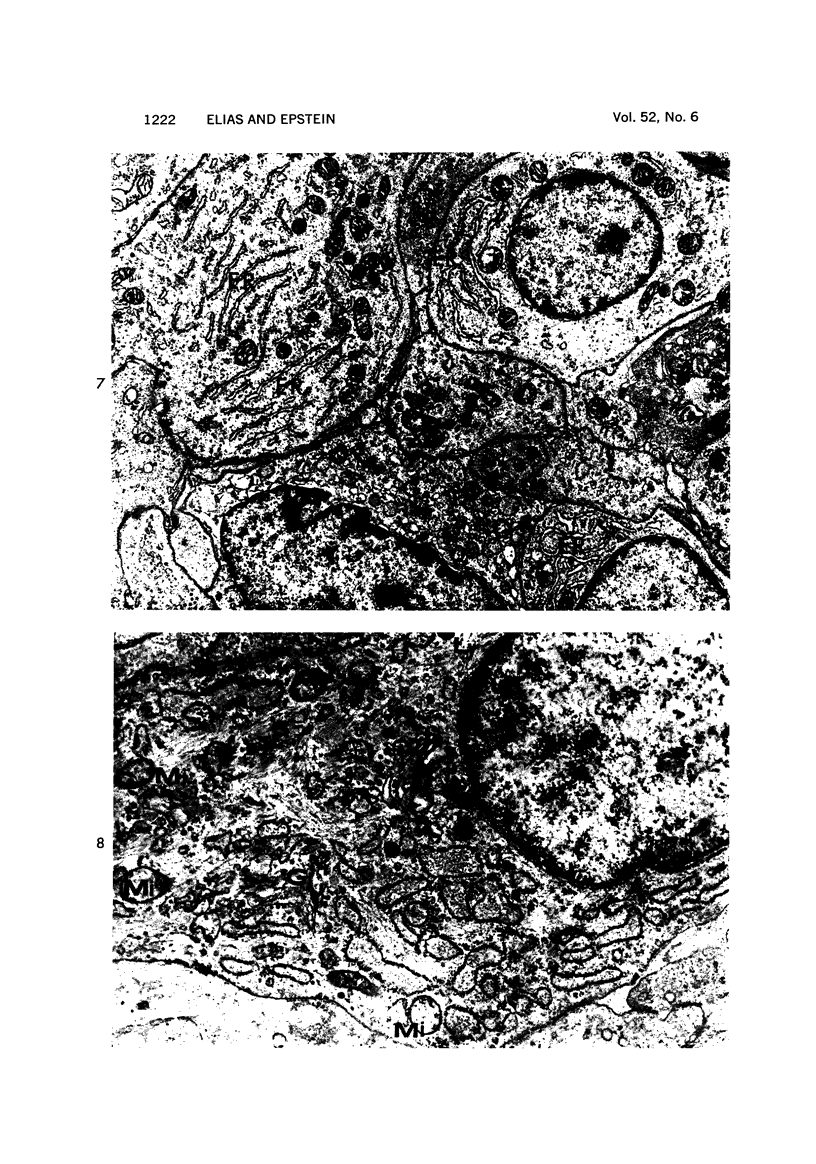
Full text
PDF
















Images in this article
Selected References
These references are in PubMed. This may not be the complete list of references from this article.
- Adam W. S. Fine structure of experimentally produced subsynovial carbon granuloma. Nature. 1966 Aug 13;211(5050):771–772. doi: 10.1038/211771a0. [DOI] [PubMed] [Google Scholar]
- BAIRATI A., PERNIS B., MILANESI S. RICERCHE MICROSCOPICHE E SUBMICROSCOPICHE SULLA EVOLUZIONE DEL GRANULOMA SILICOTICO SPERIMENTALE E SULLA REAZIONE DELLA SUA STAZIONE LINFATICA. II. INDAGINI SUBMICROSCOPICHE. Boll Soc Ital Biol Sper. 1963 Oct 31;39:1219–1221. [PubMed] [Google Scholar]
- CARDNO S. S., STEINER J. W. IMPROVEMENT OF STAINING TECHNICS FOR THIN SECTIONS OF EPOXY-EMBEDDED TISSUE. Am J Clin Pathol. 1965 Jan;43:1–8. doi: 10.1093/ajcp/43.1.1. [DOI] [PubMed] [Google Scholar]
- DAVIS J. M. THE ULTRASTRUCTURAL CHANGES THAT OCCUR DURING THE TRANSFORMATION OF LUNG MACROPHAGES TO GIANT CELLS AND FIBROBLASTS IN EXPERIMENTAL ASBESTOSIS. Br J Exp Pathol. 1963 Dec;44:568–575. [PMC free article] [PubMed] [Google Scholar]
- EPSTEIN W. L. Contribution to the pathogenesis of zirconium granulomas in man. J Invest Dermatol. 1960 Mar;34:183–188. doi: 10.1038/jid.1960.28. [DOI] [PubMed] [Google Scholar]
- EPSTEIN W. L., SKAHEN J. R., KRASNOBROD H. Granulomatous hypersensitivity to zirconium: localization of allergen in tissue and its role in formation of epithelioid cells. J Invest Dermatol. 1962 Apr;38:223–232. doi: 10.1038/jid.1962.40. [DOI] [PubMed] [Google Scholar]
- EPSTEIN W. L., SKAHEN J. R., KRASNOBROD H. THE ORGANIZED EPITHELIOID CELL GRANULOMA: DIFFERENTIATION OF ALLERGIC (ZIRCONIUM) FROM COLLOIDAL (SILICA) TYPES. Am J Pathol. 1963 Sep;43:391–405. [PMC free article] [PubMed] [Google Scholar]
- Epstein W. L. Granulomatous hypersensitivity. Prog Allergy. 1967;11:36–88. [PubMed] [Google Scholar]
- GUSEK W., MESTWERDT W. ZUR HISTOLOGIE UND CYTOMORPHOLOGIE DES EXPERIMENTELLEN BERYLLIUMGRANULOMS. Verh Dtsch Ges Pathol. 1963;47:221–226. [PubMed] [Google Scholar]
- Gillman T., Wright L. J. Autoradiographic evidence suggesting in vivo transformation of some blood mononuclears in repair and fibrosis. Nature. 1966 Mar 12;209(5028):1086–1090. doi: 10.1038/2091086a0. [DOI] [PubMed] [Google Scholar]
- NISHIURA M. The electron microscopic basis of the pathology of leprosy. Int J Lepr. 1960 Oct-Dec;28:357–400. [PubMed] [Google Scholar]
- POLICARD A., COLLET A., PREGERMAIN S. Aspects divers de l'ergastoplasme dans certains type cellulaires du granulome silicotique experimental. Z Zellforsch Mikrosk Anat. 1957;46(2):147–154. [PubMed] [Google Scholar]
- SUTER E., RAMSEIAR H. CELLULAR REACTIONS IN INFECTION. Adv Immunol. 1964;27:117–173. doi: 10.1016/s0065-2776(08)60707-5. [DOI] [PubMed] [Google Scholar]
- Siltzbach L. E. Significance and specificity of the Kveim reaction. Acta Med Scand Suppl. 1964;425:74–78. doi: 10.1111/j.0954-6820.1964.tb05702.x. [DOI] [PubMed] [Google Scholar]
- Volkman A. The origin and turnover of mononuclear cells in peritoneal exudates in rats. J Exp Med. 1966 Aug 1;124(2):241–254. doi: 10.1084/jem.124.2.241. [DOI] [PMC free article] [PubMed] [Google Scholar]
- Wanstrup J., Christensen H. E. Sarcoidosis. 1. Ultrastructural investigations on epithelioid cell granulomas. Acta Pathol Microbiol Scand. 1966;66(2):169–185. doi: 10.1111/apm.1966.66.2.169. [DOI] [PubMed] [Google Scholar]
- Wiener J., Spiro D., Zunker H. O. A cellular study of tuberculin sensitivity. Am J Pathol. 1965 Nov;47(5):723–763. [PMC free article] [PubMed] [Google Scholar]









