Abstract
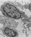
With removal of large numbers of macrophages by airway lavage, Type 1 cells were isolated in heterogeneous cell populations following the stepwise dissociation of lung tissue. Using a carefully timed collagenase-trypsin digestive sequence at 37 C, unwanted cellular and noncellular lung components were minimized prior to selective release of Type 1 cells. Resulting heterogeneous cell suspensions containing well-preserved Type 1 cells, as determined by electron microscopy, were layered onto a shallow gradient (3 to 6% Ficoll in minimal essential medium [MEM]) and separated at unit gravity into enriched subpopulations of various cell types. These included various fractions enriched with respect to Type 1 cells (70%), Type 2 cells (82%), and macrophages (81%). Identification of Type 1 cells following their isolation and gradient enrichment was established by light microscopic staining techniques and by specific cell surface characteristics in vitro as visualized by electron microscopy.
Full text
PDF























Images in this article
Selected References
These references are in PubMed. This may not be the complete list of references from this article.
- Alpert S. M., Schwartz B. B., Lee S. D., Lewis T. R. Alveolar protein accumulation. A sensitive indicator of low level oxidant toxicity. Arch Intern Med. 1971 Jul;128(1):69–73. doi: 10.1001/archinte.128.1.69. [DOI] [PubMed] [Google Scholar]
- Bowden D. H., Adamson Y. R. Reparative changes following pulmonary cell injury. Ultrastructural, cytodynamic, and surfactant studies in mice after oxygen exposure. Arch Pathol. 1971 Oct;92(4):279–283. [PubMed] [Google Scholar]
- Brain J. D., Frank N. R. Recovery of free cells from rat lungs by repeated washings. J Appl Physiol. 1968 Jul;25(1):63–69. doi: 10.1152/jappl.1968.25.1.63. [DOI] [PubMed] [Google Scholar]
- Dominguez E. A., Liebow A. A., Bensch K. G. Studies on the pulmonary air-tissue barrier. I. Absorption of albumin by the alveolar wall. Lab Invest. 1967 Jun;16(6):905–911. [PubMed] [Google Scholar]
- Douglas W. H., Kaighn M. E. Clonal isolation of differentiated rat lung cells. In Vitro. 1974 Sep-Oct;10(3-4):230–237. doi: 10.1007/BF02615237. [DOI] [PubMed] [Google Scholar]
- Drochmans P., Wanson J. C., Mosselmans R. Isolation and subfractionation on ficoll gradients of adult rat hepatocytes. Size, morphology, and biochemical characteristics of cell fractions. J Cell Biol. 1975 Jul;66(1):1–22. doi: 10.1083/jcb.66.1.1. [DOI] [PMC free article] [PubMed] [Google Scholar]
- Evans M. J., Cabral L. J., Stephens R. J., Freeman G. Transformation of alveolar type 2 cells to type 1 cells following exposure to NO2. Exp Mol Pathol. 1975 Feb;22(1):142–150. doi: 10.1016/0014-4800(75)90059-3. [DOI] [PubMed] [Google Scholar]
- Frazier M. E., Hadley J. G., Andrews T. K., Drucker H. Use of thermolysin for the dissociation of lung tissue into cellular components. Lab Invest. 1975 Sep;33(3):231–238. [PubMed] [Google Scholar]
- Gould K. G., Jr, Clements J. A., Jones A. L., Felts J. M. Dispersal of rabbit lung into individual viable cells: a new model for the study of lung metabolism. Science. 1972 Dec 15;178(4066):1209–1210. doi: 10.1126/science.178.4066.1209. [DOI] [PubMed] [Google Scholar]
- Hackenbrock C. R. Ultrastructural bases for metabolically linked mechanical activity in mitochondria. I. Reversible ultrastructural changes with change in metabolic steady state in isolated liver mitochondria. J Cell Biol. 1966 Aug;30(2):269–297. doi: 10.1083/jcb.30.2.269. [DOI] [PMC free article] [PubMed] [Google Scholar]
- Hymer W. C., Evans W. H., Kraicer J., Mastro A., Davis J., Griswold E. Enrichment of cell types from the rat adenohypophysis by sedimentation at unit gravity. Endocrinology. 1973 Jan;92(1):275–287. doi: 10.1210/endo-92-1-275. [DOI] [PubMed] [Google Scholar]
- Hymer W. C., Snyder J., Wilfinger W., Swanson N., Davis J. A. Separation of pituitary mammotrophs from the female rat by velocity sedimentation at unit gravity. Endocrinology. 1974 Jul;95(1):107–122. doi: 10.1210/endo-95-1-107. [DOI] [PubMed] [Google Scholar]
- Kapanci Y., Weibel E. R., Kaplan H. P., Robinson F. R. Pathogenesis and reversibility of the pulmonary lesions of oxygen toxicity in monkeys. II. Ultrastructural and morphometric studies. Lab Invest. 1969 Jan;20(1):101–118. [PubMed] [Google Scholar]
- Kikkawa Y., Yoneda K., Smith F., Packard B., Suzuki K. The type II epithelial cells of the lung. II. Chemical composition and phospholipid synthesis. Lab Invest. 1975 Mar;32(3):295–302. [PubMed] [Google Scholar]
- Kikkawa Y., Yoneda K. The type II epithelial cell of the lung. I. Method of isolation. Lab Invest. 1974 Jan;30(1):76–84. [PubMed] [Google Scholar]
- Kraicer J., Herlant M., Duclos P. Changes in adenohypophyseal cytology and nucleic acid content in the rat 32 days after bilateral adrenalectomy and the chronic injection of cortisol. Can J Physiol Pharmacol. 1967 Nov;45(6):947–956. doi: 10.1139/y67-112. [DOI] [PubMed] [Google Scholar]
- MOSCONA A. Rotation-mediated histogenetic aggregation of dissociated cells. A quantifiable approach to cell interactions in vitro. Exp Cell Res. 1961 Jan;22:455–475. doi: 10.1016/0014-4827(61)90122-7. [DOI] [PubMed] [Google Scholar]
- Mage M. G., Evans W. H., Peterson E. A. Enrichment of antibody plaque-forming cells of spleen by sedimentation at unit gravity. Proc Soc Exp Biol Med. 1968 Feb;127(2):478–481. doi: 10.3181/00379727-127-32719. [DOI] [PubMed] [Google Scholar]
- Meyer E. C., Dominguez E. A., Bensch K. G. Pulmonary lymphatic and blood absorption of albumin from alveoli. A quantitative comparison. Lab Invest. 1969 Jan;20(1):1–8. [PubMed] [Google Scholar]
- Miller R. G., Phillips R. A. Separation of cells by velocity sedimentation. J Cell Physiol. 1969 Jun;73(3):191–201. doi: 10.1002/jcp.1040730305. [DOI] [PubMed] [Google Scholar]
- PACKER L. SIZE AND SHAPE TRANSFORMATIONS CORRELATED WITH OXIDATIVE PHOSPHORYLATION IN MITOCHONDRIA. II. STRUCTURAL CHANGES IN MITOCHONDRIAL MEMBRANE FRAGMENTS. J Cell Biol. 1963 Sep;18:495–501. doi: 10.1083/jcb.18.3.495. [DOI] [PMC free article] [PubMed] [Google Scholar]
- Rosenbaum R. M., Picciano P. The type 1 alveolar lining cells of the mammalian lung. II. In vitro identification via the cell surface and ultrastructure of isolated cells from adult rabbit lung. Am J Pathol. 1978 Jan;90(1):123–144. [PMC free article] [PubMed] [Google Scholar]
- Wanson J. C., Drochmans P., May C., Penasse W., Popowski A. Isolation of centrolobular and perilobular hepatocytes after phenobarbital treatment. J Cell Biol. 1975 Jul;66(1):23–41. doi: 10.1083/jcb.66.1.23. [DOI] [PMC free article] [PubMed] [Google Scholar]
- Weibel E. R. The mystery of "non-nucleated plates" in the alveolar epithelium of the lung explained. Acta Anat (Basel) 1971;78(3):425–443. doi: 10.1159/000143605. [DOI] [PubMed] [Google Scholar]
- Yamamoto E., Wittner M., Rosenbaum R. M. Resistance and susceptibility to oxygen toxicity by cell types of the gas-blood barrier of the rat lung. Am J Pathol. 1970 Jun;59(3):409–436. [PMC free article] [PubMed] [Google Scholar]





