Abstract
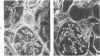
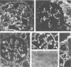
Immunofluorescent studies have demonstrated that actomyosin (AMY) is present in the mesangium in a restrictive pattern, whereas fibroblast surface antigen (FSA) has a more extensive mesangial distribution. Antibody to glomerular basement membrane (GBM) is localized to the GBM. One hundred ninety-six tissue samples, including 17 from normal subjects, 94 from patients with primary renal diseases, and 85 from transplanted kidneys, were examined for changes in distribution of AMY, FSA, and GBM antigens. The distribution of AMY and FSA in the mesangium is markedly increased in width in patients with diabetic nephropathy, and the GBM is thickened. AMY and FSA are mildly increased in patients with glomerulonephritis and GBM is normal. Patients with membranoproliferative glomerulonephritis (MPGN) show a loss of all glomerular antigens. Increased mesangial AMY was found in 12 of 37 transplanted kidneys in diabetic patients vs 4 of 33 nondiabetics 0 to 4 years after transplantation (P < 0.025). This difference is more notable at 2 to 4 years, with 5 of 9 diabetics showing increased AMY vs 0 of 6 nondiabetic patients (P < 0.0005). In MPGN, 5 of 8 tissues showed decreased mesangial AMY vs 3 of 36 diabetic patients (P < 0.0005) and 1 of 32 patients with other glomerulopathies (P < 0.0005). GBM thickening is not associated with specific pretransplant diseases. In transplanted kidneys, the pattern of FSA is dissociated from that of AMY: over half of all patients have increased FSA, even when AMY is normal. Whether this unique finding in transplanted kidneys reflects an increase in the synthesis of FSA by mesangial cells or the failure to clear this (circulating) antigen from the mesangial matrix is unknown.
Full text
PDF

















Images in this article
Selected References
These references are in PubMed. This may not be the complete list of references from this article.
- Accinni L., Natali P. G., Vassallo L., Hsu K. S., De Martino C. Immunoelectron microscopic evidence of contractile proteins in the cellular and acellular components of mouse kidney glomeruli. Cell Tissue Res. 1975 Oct 13;162(3):297–312. doi: 10.1007/BF00220176. [DOI] [PubMed] [Google Scholar]
- Becker C. G. Demonstration of actomyosin in mesangial cells of the renal glomerulus. Am J Pathol. 1972 Jan;66(1):97–110. [PMC free article] [PubMed] [Google Scholar]
- Bernik M. B. Contractile activity of human glomeruli in culture. Nephron. 1969;6(1):1–10. doi: 10.1159/000179708. [DOI] [PubMed] [Google Scholar]
- Blantz R. C., Konnen K. S., Tucker B. J. Angiotensin II effects upon the glomerular microcirculation and ultrafiltration coefficient of the rat. J Clin Invest. 1976 Feb;57(2):419–434. doi: 10.1172/JCI108293. [DOI] [PMC free article] [PubMed] [Google Scholar]
- Cebra J. J., Goldstein G. Chromatographic purification of tetramethylrhodamine-immune globulin conjugates and their use in the cellular localization of rabbit gamma-globulin polypeptide chains. J Immunol. 1965 Aug;95(2):230–245. [PubMed] [Google Scholar]
- Elema J. D., Hoyer J. R., Vernier R. L. The glomerular mesangium: uptake and transport of intravenously injected colloidal carbon in rats. Kidney Int. 1976 May;9(5):395–406. doi: 10.1038/ki.1976.49. [DOI] [PubMed] [Google Scholar]
- Fish A. J., Michael A. F., Vernier R. L., Brown D. M. Human glomerular cells in tissue culture. Lab Invest. 1975 Sep;33(3):330–341. [PubMed] [Google Scholar]
- Hoyer L. W., De los Santos R. P., Hoyer J. R. Antihemophilic factor antigen. Localization in endothelial cells by immunofluorescent microscopy. J Clin Invest. 1973 Nov;52(11):2737–2744. doi: 10.1172/JCI107469. [DOI] [PMC free article] [PubMed] [Google Scholar]
- Kuusela P., Ruoslahti E., Engvall E., Vaheri A. Immunological interspecies cross-reactions of fibroblast surface antigen (fibronectin). Immunochemistry. 1976 Aug;13(8):639–642. doi: 10.1016/0019-2791(76)90203-2. [DOI] [PubMed] [Google Scholar]
- Linder E., Vaheri A., Ruoslahti E., Wartiovaara J. Distribution of fibroblast surface antigen in the developing chick embryo. J Exp Med. 1975 Jul 1;142(1):41–49. doi: 10.1084/jem.142.1.41. [DOI] [PMC free article] [PubMed] [Google Scholar]
- Marquardt H., Wilson C. B., Dixon F. J. Human glomerular basement membrane. Selective solubilization with chaotropes and chemical and immunologic characterization of its components. Biochemistry. 1973 Aug 14;12(17):3260–3266. doi: 10.1021/bi00741a018. [DOI] [PubMed] [Google Scholar]
- Mauer S. M., Miller K., Goetz F. C., Barbosa J., Simmons R. L., Najarian J. S., Michael A. F. Immunopathology of renal extracellular membranes in kidneys transplanted into patients with diabetes mellitus. Diabetes. 1976 Aug;25(8):709–712. doi: 10.2337/diab.25.8.709. [DOI] [PubMed] [Google Scholar]
- Mauer S. M., Steffes M. W., Michael A. F., Brown D. M. Studies of diabetic nephropathy in animals and man. Diabetes. 1976;25(2 Suppl):850–857. [PubMed] [Google Scholar]
- McLean R. H., Geiger H., Burke B., Simmons R., Najarian J., Vernier R. L., Michael A. F. Recurrence of membranoproliferative glomerulonephritis following kidney transplantation. Serum complement component studies. Am J Med. 1976 Jan;60(1):60–72. doi: 10.1016/0002-9343(76)90534-9. [DOI] [PubMed] [Google Scholar]
- Michael A. F., Jr, Drummond K. N., Good R. A., Vernier R. L. Acute poststreptococcal glomerulonephritis: immune deposit disease. J Clin Invest. 1966 Feb;45(2):237–248. doi: 10.1172/JCI105336. [DOI] [PMC free article] [PubMed] [Google Scholar]
- Miller F., Lazarides E., Elias J. Application of immunologic probes for contractile proteins to tissue sections. Clin Immunol Immunopathol. 1976 May;5(3):416–428. doi: 10.1016/0090-1229(76)90051-9. [DOI] [PubMed] [Google Scholar]
- Parikh I., March S., Cuatercasas P. Topics in the methodology of substitution reactions with agarose. Methods Enzymol. 1974;34:77–102. doi: 10.1016/s0076-6879(74)34009-8. [DOI] [PubMed] [Google Scholar]
- Pollard T. D., Thomas S. M., Niederman R. Human platelet myosin. I. Purification by a rapid method applicable to other nonmuscle cells. Anal Biochem. 1974 Jul;60(1):258–266. doi: 10.1016/0003-2697(74)90152-3. [DOI] [PubMed] [Google Scholar]
- Rukosuev V. S., Nanaev A. K. K gistogenezu mezangial'nykh kletok klubochkov pochek. Biull Eksp Biol Med. 1975 Mar;79(3):115–117. [PubMed] [Google Scholar]
- Ruoslahti E., Vaheri A. Interaction of soluble fibroblast surface antigen with fribrinogen and fibrin. J Exp Med. 1975 Feb 1;141(2):497–501. doi: 10.1084/jem.141.2.497. [DOI] [PMC free article] [PubMed] [Google Scholar]
- Scheinman J. I., Fish A. J., Brown D. M., Michael A. J. Human glomerular smooth muscle (mesangial) cells in culture. Lab Invest. 1976 Feb;34(2):150–158. [PubMed] [Google Scholar]
- Weber K., Osborn M. The reliability of molecular weight determinations by dodecyl sulfate-polyacrylamide gel electrophoresis. J Biol Chem. 1969 Aug 25;244(16):4406–4412. [PubMed] [Google Scholar]
- Whittingham S., Mackay I. R., Irwin J. Autoimmune hepatitis. Immunofluorescence reactions with cytoplasm of smooth muscle and renal glomerular cells. Lancet. 1966 Jun 18;1(7451):1333–1335. doi: 10.1016/s0140-6736(66)92131-3. [DOI] [PubMed] [Google Scholar]
- Yamada K. M., Yamada S. S., Pastan I. Cell surface protein partially restores morphology, adhesiveness, and contact inhibition of movement to transformed fibroblasts. Proc Natl Acad Sci U S A. 1976 Apr;73(4):1217–1221. doi: 10.1073/pnas.73.4.1217. [DOI] [PMC free article] [PubMed] [Google Scholar]









