Abstract
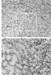
Renal tubulointerstitial lesions (RTL) were observed with high frequency in CBA/J mice more than 2 months old. RTL were characterized by interstitial infiltrates of lymphocytes and macrophages in the corticomedullary zone. Multinucleated structures sometimes resembling giant cells were present, and there was destruction of tubules and tubular basement membranes in areas of infiltration. Glomeruli appeared normal. RTL were first seen in 12 to 22 CBA/J mice 2.5 to 3 months old. By the age of 7 to 9 months, 35 to 45 mice were affected, and all 24 mice 12 months old or older had RTL. CBA/J mice had these unique renal lesions whether they were purchased and examined immediately, were obtained as weanlings andreared in our quarters or those of another institution, or were fourth generation descendants of purchased breeders. The propensity to develop RTL has been present in this strain for at least 2 years. RTL were not observed in C57BL/6J mice housed for 14 months with affected animals or in a survey of CBA/HUmc, C57BL/6J, A/J, BALB/cJ, or C3H/HeJ mice. Immunofluorescent examination of CBA/J kidneys appears to rule out antitubular basement membrane autoantibodies or immune complexes in the pathogenesis of RTL.
Full text
PDF















Images in this article
Selected References
These references are in PubMed. This may not be the complete list of references from this article.
- Andres G. A., McCluskey R. T. Tubular and interstitial renal disease due to immunologic mechanisms. Kidney Int. 1975 Apr;7(4):271–289. doi: 10.1038/ki.1975.38. [DOI] [PubMed] [Google Scholar]
- DERINGER M. K., DUNN T. B., HESTON W. E. Results of exposure of strain C3H mice to chloroform. Proc Soc Exp Biol Med. 1953 Jul;83(3):474–479. doi: 10.3181/00379727-83-20389. [DOI] [PubMed] [Google Scholar]
- Heptinstall R. H. Interstitial nephritis. A brief review. Am J Pathol. 1976 Apr;83(1):213–236. [PMC free article] [PubMed] [Google Scholar]
- Lyon M. F., Hulse E. V. An inherited kidney disease of mice resembling human nephronophthisis. J Med Genet. 1971 Mar;8(1):41–48. doi: 10.1136/jmg.8.1.41. [DOI] [PMC free article] [PubMed] [Google Scholar]
- Sommer V. M., Rudofsky U. H., Gabrielsen A. E. Immune complexes in skin of NZB/NZW mice. Clin Exp Immunol. 1975 Dec;22(3):461–467. [PMC free article] [PubMed] [Google Scholar]






