Abstract
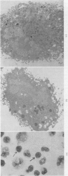
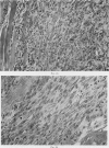
Whole body X-irradiation (400 rad) of C57BL mice, either before or after i.m. implantation of the syngeneic fibrosarcoma, FS6, influenced both the growth of the tumours and their cellular composition, particularly their macrophage content. Pre-irradiation resulted in slower initial growth of tumours, and a concomitant lack of host-cell infiltration, but when tumours began to grow at a rate parallel to controls infiltration by host cells was demonstrable. Similarly, irradiation of the tumour-bearing host resulted in a temporary cessation of growth, and a decrease in the macrophage content, which did not return to control levels for 2-3 weeks after irradiation. The significance of these results is discussed in relation to the possibility that infiltrating host cells, particularly macrophages, may stimulate the growth of this tumour.
Full text
PDF









Images in this article
Selected References
These references are in PubMed. This may not be the complete list of references from this article.
- Auerbach R., Arensman R., Kubai L., Folkman J. Tumor-induced angiogenesis: lack of inhibition by irradiation. Int J Cancer. 1975 Feb 15;15(2):241–245. doi: 10.1002/ijc.2910150209. [DOI] [PubMed] [Google Scholar]
- Birbeck M. S., Carter R. L. Observations on the ultrastructure of two hamster lymphomas with particular reference to infiltrating macrophages. Int J Cancer. 1972 Mar 15;9(2):249–257. doi: 10.1002/ijc.2910090202. [DOI] [PubMed] [Google Scholar]
- Den Otter W., Evans R., Alexander P. Differentiation of immunologically specific cytotoxic macrophages into two types on the basis of radiosensitivity. Transplantation. 1974 Nov;18(5):421–428. doi: 10.1097/00007890-197411000-00006. [DOI] [PubMed] [Google Scholar]
- Eccles S. A., Alexander P. Macrophage content of tumours in relation to metastatic spread and host immune reaction. Nature. 1974 Aug 23;250(5468):667–669. doi: 10.1038/250667a0. [DOI] [PubMed] [Google Scholar]
- Eccles S. A., Bandlow G., Alexander P. Monocytosis associated with the growth of transplanted syngeneic rat sarcomata differing in immunogenicity. Br J Cancer. 1976 Jul;34(1):20–27. doi: 10.1038/bjc.1976.116. [DOI] [PMC free article] [PubMed] [Google Scholar]
- Evans R. Macrophages in syngeneic animal tumours. Transplantation. 1972 Oct;14(4):468–473. doi: 10.1097/00007890-197210000-00011. [DOI] [PubMed] [Google Scholar]
- Gauci C. L., Alexander P. The macrophage content of some human tumours. Cancer Lett. 1975 Sep;1(1):29–32. doi: 10.1016/s0304-3835(75)94826-0. [DOI] [PubMed] [Google Scholar]
- Gimbrone M. A., Jr, Cotran R. S., Leapman S. B., Folkman J. Tumor growth and neovascularization: an experimental model using the rabbit cornea. J Natl Cancer Inst. 1974 Feb;52(2):413–427. doi: 10.1093/jnci/52.2.413. [DOI] [PubMed] [Google Scholar]
- Haskill J. S., Yamamura Y., Radov L. Host responses within solid tumors: non-thymus-derived specific cytotoxic cells within a murine mammary adenocarcinoma. Int J Cancer. 1975 Nov 15;16(5):798–809. doi: 10.1002/ijc.2910160512. [DOI] [PubMed] [Google Scholar]
- Henson P. M. The adherence of leucocytes and platelets induced by fixed IgG antibody or complement. Immunology. 1969 Jan;16(1):107–121. [PMC free article] [PubMed] [Google Scholar]
- JERNE N. K., NORDIN A. A. Plaque formation in agar by single antibody-producing cells. Science. 1963 Apr 26;140(3565):405–405. [PubMed] [Google Scholar]
- Mansell P. W., Ichinose H., Reed R. J., Krementz E. T., McNamee R., Di Luzio N. R. Macrophage-mediated destruction of human malignant cells in vivo. J Natl Cancer Inst. 1975 Mar;54(3):571–580. [PubMed] [Google Scholar]
- Messner R. P., Jelinek J. Receptors for human gamma G globulin on human neutrophils. J Clin Invest. 1970 Dec;49(12):2165–2171. doi: 10.1172/JCI106435. [DOI] [PMC free article] [PubMed] [Google Scholar]
- Miller R. G., Phillips R. A. Separation of cells by velocity sedimentation. J Cell Physiol. 1969 Jun;73(3):191–201. doi: 10.1002/jcp.1040730305. [DOI] [PubMed] [Google Scholar]
- Phillips P., Steward J. K., Kumar S. Tumour angiogenesis factor (TAF) in human and animal tumours. Int J Cancer. 1976 May 15;17(5):549–558. doi: 10.1002/ijc.2910170502. [DOI] [PubMed] [Google Scholar]
- Russel S. W., Doe W. F., Cochrane C. G. Number of macrophages and distribution of mitotic activity in regressing and progressing Moloney sarcomas. J Immunol. 1976 Jan;116(1):164–166. [PubMed] [Google Scholar]
- Sidky Y. A., Auerbach R. Lymphocyte-induced angiogenesis: a quantitative and sensitive assay of the graft-vs.-host reaction. J Exp Med. 1975 May 1;141(5):1084–1100. doi: 10.1084/jem.141.5.1084. [DOI] [PMC free article] [PubMed] [Google Scholar]
- Szymaniec S., James K. Studies on the Fc receptor bearing cells in a transplanted methylcholanthrene induced mouse fibrosarcoma. Br J Cancer. 1976 Jan;33(1):36–50. doi: 10.1038/bjc.1976.5. [DOI] [PMC free article] [PubMed] [Google Scholar]
- Van Loveren H., Den Otter W. Macrophages in solid tumors. I. Immunologically specific effector cells. J Natl Cancer Inst. 1974 Oct;53(4):1057–1060. doi: 10.1093/jnci/53.4.1057. [DOI] [PubMed] [Google Scholar]
- Volkman A., Collins F. M. Recovery of delayed-type hypersensitivity in mice following suppressive doses of X-radiation. J Immunol. 1968 Nov;101(5):846–859. [PubMed] [Google Scholar]
- Wood G. W., Gillespie G. Y., Barth R. F. Receptor sites for antigen-antibody complexes on cells derived from solid tumors: detection by means of antibody sensitized sheep erythrocytes labeled with technetium-99m. J Immunol. 1975 Mar;114(3):950–957. [PubMed] [Google Scholar]
- Zipursky A., Brown E. J. The ingestion of IgG-sensitized erythrocytes by abnormal neutrophils. Blood. 1974 May;43(5):737–742. [PubMed] [Google Scholar]


