Abstract
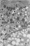
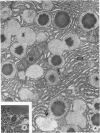
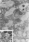
The pathogenesis of a spontaneously occurring exocrine pancreatic insufficiency (EPI) syndrome in CBA/J mice was studied at the ultrastructural level. Initial cytologic manifestations of this syndrome are seen as a progressive digestion of the zymogen granules, beginning at the periphery and proceeding toward the granule interior. Granule membrane breakdown, fusion of neighboring granules, and a release of zymogen contents into the cytoplasm are frequently observed in later stages; in some cases the entire granule contents appear digested before membrane breakdown is observed. In either case, pathologic changes are subsequently observed in mitochondria and rough endoplasmic reticulum. Remnants of lysed cells are then engulfed by invading macrophages, and infiltration by fat cells is observed. Secretory ducts and islets of Langerhans show no pathologic changes even after total autolysis of the exocrine pancreas. Morphologic evidence showing zymogen granule destabilization, coupled with biochemical evidence presented in an accompanying paper, indicate that intracellular autodigestion is the mechanism of exocrine cell death.
Full text
PDF













Images in this article
Selected References
These references are in PubMed. This may not be the complete list of references from this article.
- Angiolelli R. F., Rio G. J. Infectious pancreatic necrosis virus-induced pancreatic lesions in Swiss albino mice: electron microscopy. Am J Vet Res. 1972 Jul;33(7):1513–1520. [PubMed] [Google Scholar]
- Boiocchi M., Della Torre G., Della Porta G. Genetic control of endogenous C-type virus production in pancreatic acinar cells of C57BL/He and C57BL/6J mice. Proc Natl Acad Sci U S A. 1975 May;72(5):1892–1894. doi: 10.1073/pnas.72.5.1892. [DOI] [PMC free article] [PubMed] [Google Scholar]
- Craighead J. E. Pathogenicity of the M and E variants of the encephalomyocarditis (EMC) virus. II. Lesions of the pancreas, parotid and lacrimal glands. Am J Pathol. 1966 Mar;48(3):375–386. [PMC free article] [PubMed] [Google Scholar]
- Gardner M. B., Henderson B. E., Officer J. E., Rongey R. W., Parker J. C., Oliver C., Estes J. D., Huebner R. J. A spontaneous lower motor neuron disease apparently caused by indigenous type-C RNA virus in wild mice. J Natl Cancer Inst. 1973 Oct;51(4):1243–1254. doi: 10.1093/jnci/51.4.1243. [DOI] [PMC free article] [PubMed] [Google Scholar]
- HERMAN L., FITZGERALD P. J. The degenerative changes in pancreatic acinar cells caused by DL-ethionine. J Cell Biol. 1962 Feb;12:277–296. doi: 10.1083/jcb.12.2.277. [DOI] [PMC free article] [PubMed] [Google Scholar]
- Lansdown A. B. Exocrine pancreatic insufficiency: a comparison of the clinical findings with the epi/epi mutation and Coxsackievirus B infection in mice. J Hered. 1974 Nov-Dec;65(6):378–378. doi: 10.1093/oxfordjournals.jhered.a108557. [DOI] [PubMed] [Google Scholar]
- Lombardi B., Estes L. W., Longnecker D. S. Acute hemorrhagic pancreatitis (massive necrosis) with fat necrosis induced in mice by DL-ethionine fed with a choline-deficient diet. Am J Pathol. 1975 Jun;79(3):465–480. [PMC free article] [PubMed] [Google Scholar]
- Nevalainen T. J., Janigan D. T. Degeneration of mouse pancreatic acinar cells during fasting. Virchows Arch B Cell Pathol. 1974 Mar 19;15(2):107–118. doi: 10.1007/BF02889329. [DOI] [PubMed] [Google Scholar]
- PAPPENHEIMER A. M., KUNZ L. J., RICHARDSON S. Passage of Coxsackie virus (Connecticut-5 strain) in adult mice with production of pancreatic disease. J Exp Med. 1951 Jul 1;94(1):45–64. doi: 10.1084/jem.94.1.45. [DOI] [PMC free article] [PubMed] [Google Scholar]
- Pivetta O. H., Green E. L. Exocrine pancreatic insufficiency: a new recessive mutation in mice. J Hered. 1973 Sep-Oct;64(5):301–302. doi: 10.1093/oxfordjournals.jhered.a108420. [DOI] [PubMed] [Google Scholar]
- Trautschold I., Werle E., Zickgraf-Rüdel G. Uber den Kallikrein-Trypsin-Inhibitor. Arzneimittelforschung. 1966 Nov;16(11):1507–1515. [PubMed] [Google Scholar]
- WACHSTEIN M., MEISEL E. Equal effectiveness of L and D-ethionine in producing tissue damage in rats and mice. Proc Soc Exp Biol Med. 1953 Jan;82(1):70–72. doi: 10.3181/00379727-82-20027. [DOI] [PubMed] [Google Scholar]
- WALTERS M. N., JOSKE R. A., LEAK P. J., STANLEY N. F. MURINE INFECTION WITH REOVIRUS: I. PATHOLOGY OF THE ACUTE PHASE. Br J Exp Pathol. 1963 Aug;44:427–436. [PMC free article] [PubMed] [Google Scholar]






