Abstract
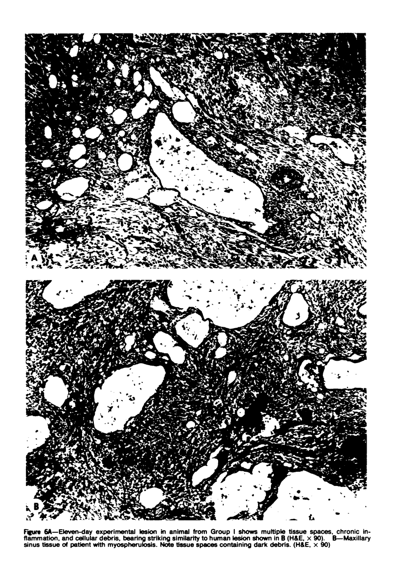
Tissue lesions similar to those in human myospherulosis were reproduced in experimental animals and studied by light and electron microscopy. The lesions were produced by the use of petrolatum-based antibiotic ointments. These ointments, which are marketed as nonsterile products, are similar to those used for hemostatic packing in otolaryngologic surgery. To date, use of these ointments has been reported to precede the finding of human paranasal sinus myospherulosis. The exact nature of the structures of myospherulosis remains unknown. The experimental evidence strongly suggests that they can be iatrogenically produced by the use of these nonsterile ointments.
Full text
PDF













Images in this article
Selected References
These references are in PubMed. This may not be the complete list of references from this article.
- Hutt M. S., Fernandes B. J., Templeton A. C. Myospherulosis (subcutaneous spherulocytisc disease). Trans R Soc Trop Med Hyg. 1971;65(2):182–188. doi: 10.1016/0035-9203(71)90215-x. [DOI] [PubMed] [Google Scholar]
- McClatchie S., Bremner A. D. Unusual subcutaneous swellings in African patients. East Afr Med J. 1969 Nov;46(11):625–633. [PubMed] [Google Scholar]
- McClatchie S., Warambo M. W., Bremner A. D. Myospherulosis: a previously unreported disease? Am J Clin Pathol. 1969 Jun;51(6):699–704. doi: 10.1093/ajcp/51.6.699. [DOI] [PubMed] [Google Scholar]