Abstract
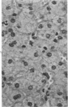
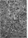
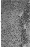
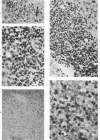
The histologic manifestations in the livers of chimpanzees inoculated with hepatitis A and B virus were compared with each other and correlated with biochemical, serologic, and virologic observations. Both types of hepatitis reveal alterations similar to those seen in human hepatitis, but the lesions--particularly the hepatocellular necrosis--are far milder. Hepatitis Type A in chimpanzees is a disease of short incubation period and duration. The hepatocytic alterations are mainly restricted to the periportal areas, and the parenchymal changes are less severe than the portal inflammation. The lesions correlated well with biochemical changes, the presence of virus in the liver, and its shedding in the stool. In contrast, experimental Type B hepatitis has a long incubation period and longer duration, involves the entire lobular parenchyma, and is, if anything, more severe in the lobular centers while portal inflammation is less conspicuous. Biochemical alterations and presence of virus in the liver correlate with these lesions, and the antibody response is similar to that seen in man. The chimpanzee is a useful model for studying the pathogenesis of viral hepatitis; additional study of serial morphologic events may contribute to our understanding of the clinical differences between hepatitis Type A and Type B.
Full text
PDF

















Images in this article
Selected References
These references are in PubMed. This may not be the complete list of references from this article.
- Barker L. F., Chisari F. V., McGrath P. P., Dalgard D. W., Kirschstein R. L., Almeida J. D., Edington T. S., Sharp D. G., Peterson M. R. Transmission of type B viral hepatitis to chimpanzees. J Infect Dis. 1973 Jun;127(6):648–662. doi: 10.1093/infdis/127.6.648. [DOI] [PubMed] [Google Scholar]
- Barker L. F., Maynard J. E., Purcell R. H., Hoofnagle J. H., Berquist K. R., London W. T., Gerety R. J., Krushak D. H. Hepatitis B virus infection in chimpanzees: titration of subtypes. J Infect Dis. 1975 Oct;132(4):451–458. doi: 10.1093/infdis/132.4.451. [DOI] [PubMed] [Google Scholar]
- Barker L. F., Maynard J. E., Purcell R. H., Hoofnagle J. H., Berquist K. R., London W. T. Viral hepatitis, type B, in experimental animals. Am J Med Sci. 1975 Jul-Aug;270(1):189–195. doi: 10.1097/00000441-197507000-00026. [DOI] [PubMed] [Google Scholar]
- Berquist K. R., Peterson J. M., Murphy B. L., Ebert J. W., Maynard J. E., Purcell R. H. Hepatitis B antigens in serum and liver of chimpanzees acutely infected with hepatitis B virus. Infect Immun. 1975 Sep;12(3):602–605. doi: 10.1128/iai.12.3.602-605.1975. [DOI] [PMC free article] [PubMed] [Google Scholar]
- Bradley D. W., Maynard J. E., Berquist K. R., Krushak D. H. Hepatitis B and serum DNA polymerase activities in chimpanzees. Nature. 1974 Sep 27;251(5473):356–357. doi: 10.1038/251356a0. [DOI] [PubMed] [Google Scholar]
- Brzosko W. J., Krawczyński K., Nazarewicz T., Morzycka M., Nowoslawski A. Glomerulonephritis associated with hepatitis-B surface antigen immune complexes in children. Lancet. 1974 Aug 31;2(7879):477–482. doi: 10.1016/s0140-6736(74)92012-1. [DOI] [PubMed] [Google Scholar]
- Caramia F., De Bac C., Ricci G. Virus-like particles within hepatocytes of Australia antigen carriers. Am J Dis Child. 1972 Apr;123(4):309–311. doi: 10.1001/archpedi.1972.02110100041014. [DOI] [PubMed] [Google Scholar]
- Deinhardt F., Holmes A. W., Capps R. B., Popper H. Studies on the transmission of human viral hepatitis to marmoset monkeys. I. Transmission of disease, serial passages, and description of liver lesions. J Exp Med. 1967 Apr 1;125(4):673–688. doi: 10.1084/jem.125.4.673. [DOI] [PMC free article] [PubMed] [Google Scholar]
- Deinhardt F., Holmes A. W., Wolfe L. G. Hepatitis in marmosets. J Infect Dis. 1970 Mar;121(3):351–352. doi: 10.1093/infdis/121.3.351. [DOI] [PubMed] [Google Scholar]
- Dienstag J. L., Feinstone S. M., Purcell R. H., Hoofnagle J. H., Barker L. F., London W. T., Popper H., Peterson J. M., Kapikian A. Z. Experimental infection of chimpanzees with hepatitis A virus. J Infect Dis. 1975 Nov;132(5):532–545. doi: 10.1093/infdis/132.5.532. [DOI] [PubMed] [Google Scholar]
- Edgington T. S., Ritt D. J. Intrahepatic expression of serum hepatitis virus-associated antigens. J Exp Med. 1971 Oct 1;134(4):871–885. doi: 10.1084/jem.134.4.871. [DOI] [PMC free article] [PubMed] [Google Scholar]
- Feinman S. V., Berris B., Sinclair J. C., Wrobel D. M., Alter H. J., Holland P. V. Relation of hepatitis-B-antigen subtypes in symptom-free carriers to geographical origin and liver abnormalities. Lancet. 1973 Oct 20;2(7834):867–869. doi: 10.1016/s0140-6736(73)92003-5. [DOI] [PubMed] [Google Scholar]
- Feinstone S. M., Kapikian A. Z., Purceli R. H. Hepatitis A: detection by immune electron microscopy of a viruslike antigen associated with acute illness. Science. 1973 Dec 7;182(4116):1026–1028. doi: 10.1126/science.182.4116.1026. [DOI] [PubMed] [Google Scholar]
- Feinstone S. M., Kapikian A. Z., Purcell R. H., Alter H. J., Holland P. V. Transfusion-associated hepatitis not due to viral hepatitis type A or B. N Engl J Med. 1975 Apr 10;292(15):767–770. doi: 10.1056/NEJM197504102921502. [DOI] [PubMed] [Google Scholar]
- Gerety R. J., Hoofnagle J. H., Nortman D. F., Barker L. F. Hepatitis B surface antigen (HBS Ag) subtypes and indices of clinical disease. Gastroenterology. 1975 May;68(5 Pt 1):1253–1260. [PubMed] [Google Scholar]
- Gocke D. J., Hsu K., Morgan C., Bombardieri S., Lockshin M., Christian C. L. Association between polyarteritis and Australia antigen. Lancet. 1970 Dec 5;2(7684):1149–1153. doi: 10.1016/s0140-6736(70)90339-9. [DOI] [PubMed] [Google Scholar]
- Gocke D. J., Hsu K., Morgan C., Bombardieri S., Lockshin M., Christian C. L. Vasculitis in association with Australia antigen. J Exp Med. 1971 Sep 1;134(3 Pt 2):330s–336s. [PubMed] [Google Scholar]
- Hollinger F. B., Bradley D. W., Maynard J. E., Dreesman G. R., Melnick J. L. Detection of hepatitis A viral antigen by radioimmunoassay. J Immunol. 1975 Nov;115(5):1464–1466. [PubMed] [Google Scholar]
- Holmes A. W., Deinhardt F., Wolfe L., Froesner G., Paterson D., Casto B., Conrad M. E. Specific neutralization of human hepatitis type A in marmoset monkeys. Nature. 1973 Jun 15;243(5407):419–420. doi: 10.1038/243419a0. [DOI] [PubMed] [Google Scholar]
- Holmes A. W., Wolfe L., Deinhardt F., Conrad M. E. Transmission of human hepatitis to marmosets: further coded studies. J Infect Dis. 1971 Nov;124(5):520–521. doi: 10.1093/infdis/124.5.520. [DOI] [PubMed] [Google Scholar]
- Holmes A. W., Wolfe L., Rosenblate H., Deinhardt F. Hepatitis in marmosets: induction of disease with coded specimens from a human volunteer study. Science. 1969 Aug 22;165(3895):816–817. doi: 10.1126/science.165.3895.816. [DOI] [PubMed] [Google Scholar]
- Le Bouvier G. L. Editorial: Subtypes of hepatitis B antigen: clinical relevance? Ann Intern Med. 1973 Dec;79(6):894–896. doi: 10.7326/0003-4819-79-6-894. [DOI] [PubMed] [Google Scholar]
- Ling C. M., Overby L. R. Prevalence of hepatitis B virus antigen as revealed by direct radioimmune assay with 125 I-antibody. J Immunol. 1972 Oct;109(4):834–841. [PubMed] [Google Scholar]
- London W. T., Alter H. J., Lander J., Purcell R. H. Serial transmission in rhesus monkeys of an agent related to hepatitis-associated antigen. J Infect Dis. 1972 Apr;125(4):382–389. doi: 10.1093/infdis/125.4.382. [DOI] [PubMed] [Google Scholar]
- Mascoli C. C., Ittensohn O. L., Villarejos V. M., Arguedas J. A., Provost P. J., Hilleman M. R. Recovery of hepatitis agents in the marmoset from human cases occurring in Costa Rica. Proc Soc Exp Biol Med. 1973 Jan;142(1):276–282. doi: 10.3181/00379727-142-37005. [DOI] [PubMed] [Google Scholar]
- Melnick J. L., Parks W. P. Hepatitis in marmosets. J Infect Dis. 1970 Mar;121(3):353–354. doi: 10.1093/infdis/121.3.353. [DOI] [PubMed] [Google Scholar]
- Moritsugu Y., Dienstag J. L., Valdesuso J., Wong D. C., Wagner J., Routenberg J. A., Purcell R. H. Purification of hepatitis A antigen from feces and detection of antigen and antibody by immune adherence hemagglutination. Infect Immun. 1976 Mar;13(3):898–908. doi: 10.1128/iai.13.3.898-908.1976. [DOI] [PMC free article] [PubMed] [Google Scholar]
- Nowoslawski A., Krawczynski K., Nazarewicz T., Slusarczyk J. Immunopathological aspects of hepatitis type B. Am J Med Sci. 1975 Sep-Oct;270(2):229–239. doi: 10.1097/00000441-197509000-00002. [DOI] [PubMed] [Google Scholar]
- Nowoslawski A., Krawczyński K., Brzosko W. J., Madaliński K. Tissue localization of Australia antigen immune complexes in acute and chronic hepatitis and liver cirrhosis. Am J Pathol. 1972 Jul;68(1):31–56. [PMC free article] [PubMed] [Google Scholar]
- Oldstone M. B., Dixon F. J. Pathogenesis of chronic disease associated with persistent lymphocytic choriomeningitis viral infection. II. Relationship of the anti-lymphocytic choriomeningitis immune response to tissue injury in chronic lymphocytic choriomeningitis disease. J Exp Med. 1970 Jan 1;131(1):1–19. doi: 10.1084/jem.131.1.1. [DOI] [PMC free article] [PubMed] [Google Scholar]
- Parks W. P., Melnick J. L. Attempted isolation of hepatitis viruses in marmosets. J Infect Dis. 1969 Nov;120(5):539–547. doi: 10.1093/infdis/120.5.539. [DOI] [PubMed] [Google Scholar]
- Parks W. P., Melnick J. L., Voss W. R., Singer D. B., Rosenberg H. S., Alcott J., Casazza A. M. Characterization of marmoset hepatitis virus. J Infect Dis. 1969 Nov;120(5):548–559. doi: 10.1093/infdis/120.5.548. [DOI] [PubMed] [Google Scholar]
- Prince A. M., Trepo C. Role of immune complexes involving SH antigen in pathogenesis of chronic active hepatitis and polyarteritis nodosa. Lancet. 1971 Jun 26;1(7713):1309–1312. doi: 10.1016/s0140-6736(71)91883-6. [DOI] [PubMed] [Google Scholar]
- Purcell R. H., Wong D. C., Moritsugu Y., Dienstag J. L., Routenberg J. A., Boggs J. D. A microtiter solid-phase radioimmunoassay for hepatitis A antigen and antibody. J Immunol. 1976 Feb;116(2):349–356. [PubMed] [Google Scholar]
- Ray M. B., Desmet V. J., Fevery J., De Groote J., Bradburne A. F., Desmyter J. Distribution patterns of hepatitis B surface antigen (HBsAg) in the liver of hepatitis patients. J Clin Pathol. 1976 Feb;29(2):94–100. doi: 10.1136/jcp.29.2.94. [DOI] [PMC free article] [PubMed] [Google Scholar]
- Schulman A. N., Dienstag J. L., Jackson D. R., Hoofnagle J. H., Gerety R. J., Purcell R. H., Barker L. F. Hepatitis A antigen particles in liver, bile, and stool of chimpanzees. J Infect Dis. 1976 Jul;134(1):80–84. doi: 10.1093/infdis/134.1.80. [DOI] [PubMed] [Google Scholar]






