Abstract
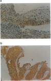
Although expression of the bcl-2 protein has been investigated in a number of non-haematological malignancies, little is known of its distribution in premalignant lesions. Expression of bcl-2 was investigated immunohistochemically in archival biopsies of normal (n = 8) and dysplastic bronchial epithelium (n = 56) and in 31 bronchial resection margins and their corresponding carcinomas. All dysplasias had lost the prominent basal staining pattern seen in histologically normal epithelium. Two were negative and six had occasional basal positive cells. In 37 cases up to 66% of the epithelial cells throughout the full epithelial thickness were bcl-2 positive with weak to moderate staining intensity. In 11 cases, all severe dysplasias, strong expression was observed in > 90% of the epithelial cells. Four patterns of bcl-2 expression in dysplasias were identified and an increasingly aberrant pattern of bcl-2 expression correlated with an increasing grade of dysplasia (Spearman's rank correlation, P < or = 0.0001). Sixty-five per cent of the carcinomas contained bcl-2-positive cells. Patients with non-small-cell lung carcinomas (n = 27) in which > 50% of the tumour cells were bcl-2 positive showed a survival advantage compared with those with 0-25% bcl-2-positive cells (P = 0.02). No correlation was found between p53 expression (Walker et al., 1994) and bcl-2 expression in dysplasias or carcinomas.
Full text
PDF





Images in this article
Selected References
These references are in PubMed. This may not be the complete list of references from this article.
- Akao Y., Otsuki Y., Kataoka S., Ito Y., Tsujimoto Y. Multiple subcellular localization of bcl-2: detection in nuclear outer membrane, endoplasmic reticulum membrane, and mitochondrial membranes. Cancer Res. 1994 May 1;54(9):2468–2471. [PubMed] [Google Scholar]
- Bennett W. P., Colby T. V., Travis W. D., Borkowski A., Jones R. T., Lane D. P., Metcalf R. A., Samet J. M., Takeshima Y., Gu J. R. p53 protein accumulates frequently in early bronchial neoplasia. Cancer Res. 1993 Oct 15;53(20):4817–4822. [PubMed] [Google Scholar]
- Castle V. P., Heidelberger K. P., Bromberg J., Ou X., Dole M., Nuñez G. Expression of the apoptosis-suppressing protein bcl-2, in neuroblastoma is associated with unfavorable histology and N-myc amplification. Am J Pathol. 1993 Dec;143(6):1543–1550. [PMC free article] [PubMed] [Google Scholar]
- Cleary M. L., Smith S. D., Sklar J. Cloning and structural analysis of cDNAs for bcl-2 and a hybrid bcl-2/immunoglobulin transcript resulting from the t(14;18) translocation. Cell. 1986 Oct 10;47(1):19–28. doi: 10.1016/0092-8674(86)90362-4. [DOI] [PubMed] [Google Scholar]
- Frost J. K., Ball W. C., Jr, Levin M. L., Tockman M. S., Erozan Y. S., Gupta P. K., Eggleston J. C., Pressman N. J., Donithan M. P., Kimball A. W., Jr Sputum cytopathology: use and potential in monitoring the workplace environment by screening for biological effects of exposure. J Occup Med. 1986 Aug;28(8):692–703. doi: 10.1097/00043764-198608000-00031. [DOI] [PubMed] [Google Scholar]
- Gazdar A. F. The molecular and cellular basis of human lung cancer. Anticancer Res. 1994 Jan-Feb;14(1B):261–267. [PubMed] [Google Scholar]
- Haldar S., Negrini M., Monne M., Sabbioni S., Croce C. M. Down-regulation of bcl-2 by p53 in breast cancer cells. Cancer Res. 1994 Apr 15;54(8):2095–2097. [PubMed] [Google Scholar]
- Hirano T., Franzén B., Kato H., Ebihara Y., Auer G. Genesis of squamous cell lung carcinoma. Sequential changes of proliferation, DNA ploidy, and p53 expression. Am J Pathol. 1994 Feb;144(2):296–302. [PMC free article] [PubMed] [Google Scholar]
- Hockenbery D. M., Zutter M., Hickey W., Nahm M., Korsmeyer S. J. BCL2 protein is topographically restricted in tissues characterized by apoptotic cell death. Proc Natl Acad Sci U S A. 1991 Aug 15;88(16):6961–6965. doi: 10.1073/pnas.88.16.6961. [DOI] [PMC free article] [PubMed] [Google Scholar]
- Hockenbery D., Nuñez G., Milliman C., Schreiber R. D., Korsmeyer S. J. Bcl-2 is an inner mitochondrial membrane protein that blocks programmed cell death. Nature. 1990 Nov 22;348(6299):334–336. doi: 10.1038/348334a0. [DOI] [PubMed] [Google Scholar]
- Jacobson M. D., Burne J. F., King M. P., Miyashita T., Reed J. C., Raff M. C. Bcl-2 blocks apoptosis in cells lacking mitochondrial DNA. Nature. 1993 Jan 28;361(6410):365–369. doi: 10.1038/361365a0. [DOI] [PubMed] [Google Scholar]
- Kerr J. F., Winterford C. M., Harmon B. V. Apoptosis. Its significance in cancer and cancer therapy. Cancer. 1994 Apr 15;73(8):2013–2026. doi: 10.1002/1097-0142(19940415)73:8<2013::aid-cncr2820730802>3.0.co;2-j. [DOI] [PubMed] [Google Scholar]
- Korsmeyer S. J. Bcl-2 initiates a new category of oncogenes: regulators of cell death. Blood. 1992 Aug 15;80(4):879–886. [PubMed] [Google Scholar]
- Lauwers G. Y., Scott G. V., Hendricks J. Immunohistochemical evidence of aberrant bcl-2 protein expression in gastric epithelial dysplasia. Cancer. 1994 Jun 15;73(12):2900–2904. doi: 10.1002/1097-0142(19940615)73:12<2900::aid-cncr2820731205>3.0.co;2-0. [DOI] [PubMed] [Google Scholar]
- Lee J. S., Lippman S. M., Hong W. K., Ro J. Y., Kim S. Y., Lotan R., Hittelman W. N. Determination of biomarkers for intermediate end points in chemoprevention trials. Cancer Res. 1992 May 1;52(9 Suppl):2707s–2710s. [PubMed] [Google Scholar]
- Lee J. S., Pathak S., Hopwood V., Tomasovic B., Mullins T. D., Baker F. L., Spitzer G., Neidhart J. A. Involvement of chromosome 7 in primary lung tumor and nonmalignant normal lung tissue. Cancer Res. 1987 Dec 1;47(23):6349–6352. [PubMed] [Google Scholar]
- Leek R. D., Kaklamanis L., Pezzella F., Gatter K. C., Harris A. L. bcl-2 in normal human breast and carcinoma, association with oestrogen receptor-positive, epidermal growth factor receptor-negative tumours and in situ cancer. Br J Cancer. 1994 Jan;69(1):135–139. doi: 10.1038/bjc.1994.22. [DOI] [PMC free article] [PubMed] [Google Scholar]
- Lithgow T., van Driel R., Bertram J. F., Strasser A. The protein product of the oncogene bcl-2 is a component of the nuclear envelope, the endoplasmic reticulum, and the outer mitochondrial membrane. Cell Growth Differ. 1994 Apr;5(4):411–417. [PubMed] [Google Scholar]
- Lotem J., Sachs L. Regulation by bcl-2, c-myc, and p53 of susceptibility to induction of apoptosis by heat shock and cancer chemotherapy compounds in differentiation-competent and -defective myeloid leukemic cells. Cell Growth Differ. 1993 Jan;4(1):41–47. [PubMed] [Google Scholar]
- Lu Q. L., Hanby A. M., Nasser Hajibagheri M. A., Gschmeissner S. E., Lu P. J., Taylor-Papadimitriou J., Krajewski S., Reed J. C., Wright N. A. Bcl-2 protein localizes to the chromosomes of mitotic nuclei and is correlated with the cell cycle in cultured epithelial cell lines. J Cell Sci. 1994 Feb;107(Pt 2):363–371. doi: 10.1242/jcs.107.2.363. [DOI] [PubMed] [Google Scholar]
- Lu Q. L., Poulsom R., Wong L., Hanby A. M. Bcl-2 expression in adult and embryonic non-haematopoietic tissues. J Pathol. 1993 Apr;169(4):431–437. doi: 10.1002/path.1711690408. [DOI] [PubMed] [Google Scholar]
- McDonnell T. J., Troncoso P., Brisbay S. M., Logothetis C., Chung L. W., Hsieh J. T., Tu S. M., Campbell M. L. Expression of the protooncogene bcl-2 in the prostate and its association with emergence of androgen-independent prostate cancer. Cancer Res. 1992 Dec 15;52(24):6940–6944. [PubMed] [Google Scholar]
- Miyashita T., Harigai M., Hanada M., Reed J. C. Identification of a p53-dependent negative response element in the bcl-2 gene. Cancer Res. 1994 Jun 15;54(12):3131–3135. [PubMed] [Google Scholar]
- Miyashita T., Krajewski S., Krajewska M., Wang H. G., Lin H. K., Liebermann D. A., Hoffman B., Reed J. C. Tumor suppressor p53 is a regulator of bcl-2 and bax gene expression in vitro and in vivo. Oncogene. 1994 Jun;9(6):1799–1805. [PubMed] [Google Scholar]
- Miyashita T., Reed J. C. bcl-2 gene transfer increases relative resistance of S49.1 and WEHI7.2 lymphoid cells to cell death and DNA fragmentation induced by glucocorticoids and multiple chemotherapeutic drugs. Cancer Res. 1992 Oct 1;52(19):5407–5411. [PubMed] [Google Scholar]
- Nakagawa K., Yamamura K., Maeda S., Ichihashi M. bcl-2 expression in epidermal keratinocytic diseases. Cancer. 1994 Sep 15;74(6):1720–1724. doi: 10.1002/1097-0142(19940915)74:6<1720::aid-cncr2820740613>3.0.co;2-t. [DOI] [PubMed] [Google Scholar]
- Nuorva K., Soini Y., Kamel D., Autio-Harmainen H., Risteli L., Risteli J., Vähäkangas K., Päkkö P. Concurrent p53 expression in bronchial dysplasias and squamous cell lung carcinomas. Am J Pathol. 1993 Mar;142(3):725–732. [PMC free article] [PubMed] [Google Scholar]
- Pendleton N., Dixon G. R., Burnett H. E., Occleston N. L., Myskow M. W., Green J. A. Expression of proliferating cell nuclear antigen (PCNA) in dysplasia of the bronchial epithelium. J Pathol. 1993 Jun;170(2):169–172. doi: 10.1002/path.1711700212. [DOI] [PubMed] [Google Scholar]
- Pezzella F., Jones M., Ralfkiaer E., Ersbøll J., Gatter K. C., Mason D. Y. Evaluation of bcl-2 protein expression and 14;18 translocation as prognostic markers in follicular lymphoma. Br J Cancer. 1992 Jan;65(1):87–89. doi: 10.1038/bjc.1992.16. [DOI] [PMC free article] [PubMed] [Google Scholar]
- Pezzella F., Morrison H., Jones M., Gatter K. C., Lane D., Harris A. L., Mason D. Y. Immunohistochemical detection of p53 and bcl-2 proteins in non-Hodgkin's lymphoma. Histopathology. 1993 Jan;22(1):39–44. doi: 10.1111/j.1365-2559.1993.tb00067.x. [DOI] [PubMed] [Google Scholar]
- Pezzella F., Tse A. G., Cordell J. L., Pulford K. A., Gatter K. C., Mason D. Y. Expression of the bcl-2 oncogene protein is not specific for the 14;18 chromosomal translocation. Am J Pathol. 1990 Aug;137(2):225–232. [PMC free article] [PubMed] [Google Scholar]
- Pezzella F., Turley H., Kuzu I., Tungekar M. F., Dunnill M. S., Pierce C. B., Harris A., Gatter K. C., Mason D. Y. bcl-2 protein in non-small-cell lung carcinoma. N Engl J Med. 1993 Sep 2;329(10):690–694. doi: 10.1056/NEJM199309023291003. [DOI] [PubMed] [Google Scholar]
- Pietenpol J. A., Papadopoulos N., Markowitz S., Willson J. K., Kinzler K. W., Vogelstein B. Paradoxical inhibition of solid tumor cell growth by bcl2. Cancer Res. 1994 Jul 15;54(14):3714–3717. [PubMed] [Google Scholar]
- Pilotti S., Collini P., Rilke F., Cattoretti G., Del Bo R., Pierotti M. A. Bcl-2 protein expression in carcinomas originating from the follicular epithelium of the thyroid gland. J Pathol. 1994 Apr;172(4):337–342. doi: 10.1002/path.1711720408. [DOI] [PubMed] [Google Scholar]
- Piris M. A., Pezzella F., Martinez-Montero J. C., Orradre J. L., Villuendas R., Sanchez-Beato M., Cuena R., Cruz M. A., Martinez B., Pezella F [corrected to Pezzella F. ]. p53 and bcl-2 expression in high-grade B-cell lymphomas: correlation with survival time. Br J Cancer. 1994 Feb;69(2):337–341. doi: 10.1038/bjc.1994.61. [DOI] [PMC free article] [PubMed] [Google Scholar]
- Ramani P., Lu Q. L. Expression of bcl-2 gene product in neuroblastoma. J Pathol. 1994 Mar;172(3):273–278. doi: 10.1002/path.1711720308. [DOI] [PubMed] [Google Scholar]
- Roth J. A. New approaches to treating early lung cancer. Cancer Res. 1992 May 1;52(9 Suppl):2652s–2657s. [PubMed] [Google Scholar]
- Segal N. H., Cohen R. J., Haffejee Z., Savage N. BCL-2 proto-oncogene expression in prostate cancer and its relationship to the prostatic neuroendocrine cell. Arch Pathol Lab Med. 1994 Jun;118(6):616–618. [PubMed] [Google Scholar]
- Sentman C. L., Shutter J. R., Hockenbery D., Kanagawa O., Korsmeyer S. J. bcl-2 inhibits multiple forms of apoptosis but not negative selection in thymocytes. Cell. 1991 Nov 29;67(5):879–888. doi: 10.1016/0092-8674(91)90361-2. [DOI] [PubMed] [Google Scholar]
- Silvestrini R., Veneroni S., Daidone M. G., Benini E., Boracchi P., Mezzetti M., Di Fronzo G., Rilke F., Veronesi U. The Bcl-2 protein: a prognostic indicator strongly related to p53 protein in lymph node-negative breast cancer patients. J Natl Cancer Inst. 1994 Apr 6;86(7):499–504. doi: 10.1093/jnci/86.7.499. [DOI] [PubMed] [Google Scholar]
- Sozzi G., Miozzo M., Tagliabue E., Calderone C., Lombardi L., Pilotti S., Pastorino U., Pierotti M. A., Della Porta G. Cytogenetic abnormalities and overexpression of receptors for growth factors in normal bronchial epithelium and tumor samples of lung cancer patients. Cancer Res. 1991 Jan 1;51(1):400–404. [PubMed] [Google Scholar]
- Sundaresan V., Ganly P., Hasleton P., Rudd R., Sinha G., Bleehen N. M., Rabbitts P. p53 and chromosome 3 abnormalities, characteristic of malignant lung tumours, are detectable in preinvasive lesions of the bronchus. Oncogene. 1992 Oct;7(10):1989–1997. [PubMed] [Google Scholar]
- Tockman M. S., Gupta P. K., Pressman N. J., Mulshine J. L. Considerations in bringing a cancer biomarker to clinical application. Cancer Res. 1992 May 1;52(9 Suppl):2711s–2718s. [PubMed] [Google Scholar]
- Tsujimoto Y., Cossman J., Jaffe E., Croce C. M. Involvement of the bcl-2 gene in human follicular lymphoma. Science. 1985 Jun 21;228(4706):1440–1443. doi: 10.1126/science.3874430. [DOI] [PubMed] [Google Scholar]
- Tsujimoto Y., Croce C. M. Analysis of the structure, transcripts, and protein products of bcl-2, the gene involved in human follicular lymphoma. Proc Natl Acad Sci U S A. 1986 Jul;83(14):5214–5218. doi: 10.1073/pnas.83.14.5214. [DOI] [PMC free article] [PubMed] [Google Scholar]
- Tsujimoto Y. Stress-resistance conferred by high level of bcl-2 alpha protein in human B lymphoblastoid cell. Oncogene. 1989 Nov;4(11):1331–1336. [PubMed] [Google Scholar]
- Walker C., Robertson L. J., Myskow M. W., Pendleton N., Dixon G. R. p53 expression in normal and dysplastic bronchial epithelium and in lung carcinomas. Br J Cancer. 1994 Aug;70(2):297–303. doi: 10.1038/bjc.1994.296. [DOI] [PMC free article] [PubMed] [Google Scholar]
- Willingham M. C., Bhalla K. Transient mitotic phase localization of bcl-2 oncoprotein in human carcinoma cells and its possible role in prevention of apoptosis. J Histochem Cytochem. 1994 Apr;42(4):441–450. doi: 10.1177/42.4.7907352. [DOI] [PubMed] [Google Scholar]