Abstract
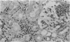
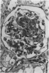
We investigated the effect of high doses (50 mg/kg/day) of i.v. methylprednisolone ("pulses") on a model of acute serum sickness in rabbits, using bovine serum albumen as antigen and endotoxin as an adjuvant. The pulses were given on 2 consecutive days at one of the following times during antigen elimination: Days 1 and 2, Days 5 and 6, and Days 8 and 9. Methylprednisolone did not alter antibody production, or the size of circulating immune complexes. Pulses given at any period inhibited the fibrinoid necrosis associated with arteritis, but did not otherwise lessen the histopathological changes. Pulses given on Days 1 and 2 or at the end of immune elimination on Days 8 and 9 increased proteinuria and haematuria, and tended to increase histopathological changes, whereas pulses given at the onset of immune elimination on Days 5 and 6 in contrast reduced haematuria, but had a variable effect on proteinuria and organ damage. In this model high-dose steroids produced no consistent amelioration of the disease, apart from reduced fibrinoid necrosis, and at some times there was a tendency for the disease to be exacerbated.
Full text
PDF








Images in this article
Selected References
These references are in PubMed. This may not be the complete list of references from this article.
- Cathcart E. S., Idelson B. A., Scheinberg M. A., Couser W. G. Beneficial effects of methylprednisolone "pulse" therapy in diffuse proliferative lupus nephritis. Lancet. 1976 Jan 24;1(7952):163–166. doi: 10.1016/s0140-6736(76)91272-1. [DOI] [PubMed] [Google Scholar]
- Cole B. R., Brocklebank J. T., Kienstra R. A., Kissane J. M., Robson A. M. "Pulse" methylprednisolone therapy in the treatment of severe glomerulonephritis. J Pediatr. 1976 Feb;88(2):307–314. doi: 10.1016/s0022-3476(76)81009-8. [DOI] [PubMed] [Google Scholar]
- Fauci A. S. Mechanisms of the immunosuppressive and anti-inflammatory effects of glucocorticosteroids. J Immunopharmacol. 1978 1979;1(1):1–25. doi: 10.3109/08923977809027327. [DOI] [PubMed] [Google Scholar]
- GERMUTH F. G., Jr A comparative histologic and immunologic study in rabbits of induced hypersensitivity of the serum sickness type. J Exp Med. 1953 Feb 1;97(2):257–282. doi: 10.1084/jem.97.2.257. [DOI] [PMC free article] [PubMed] [Google Scholar]
- Germuth F. G., Jr, Valdes A. J., Senterfit L. B., Pollack A. D. A unique influence of cortisone on the transit of specific macromolecules across vascular walls in immune complex disease. Johns Hopkins Med J. 1968 Mar;122(3):137–153. [PubMed] [Google Scholar]
- Henson P. M., Cochrane C. G. Acute immune complex disease in rabbits. The role of complement and of a leukocyte-dependent release of vasoactive amines from platelets. J Exp Med. 1971 Mar 1;133(3):554–571. doi: 10.1084/jem.133.3.554. [DOI] [PMC free article] [PubMed] [Google Scholar]
- Holdsworth S. R., Neale T. J., Wilson C. B. Abrogation of macrophage-dependent injury in experimental glomerulonephritis in the rabbit. Use of an antimacrophage serum. J Clin Invest. 1981 Sep;68(3):686–698. doi: 10.1172/JCI110304. [DOI] [PMC free article] [PubMed] [Google Scholar]
- Hunsicker L. G., Shearer T. P., Plattner S. B., Weisenburger D. The role of monocytes in serum sickness nephritis. J Exp Med. 1979 Sep 19;150(3):413–425. doi: 10.1084/jem.150.3.413. [DOI] [PMC free article] [PubMed] [Google Scholar]
- KNIKER W. T., COCHRANE C. G. PATHOGENIC FACTORS IN VASULAR LESIONS OF EXPERIMENTAL SERUM SICKNESS. J Exp Med. 1965 Jul 1;122:83–98. doi: 10.1084/jem.122.1.83. [DOI] [PMC free article] [PubMed] [Google Scholar]
- Neild G. H., Lee H. A. Methylprednisolone pulse therapy in the treatment of polyarteritis nodosa. Postgrad Med J. 1977 Jul;53(621):382–387. doi: 10.1136/pgmj.53.621.382. [DOI] [PMC free article] [PubMed] [Google Scholar]
- O'Neill W. M., Jr, Etheridge W. B., Bloomer H. A. High-dose corticosteroids: their use in treating idiopathic rapidly progressive glomerulonephritis. Arch Intern Med. 1979 May;139(5):514–518. doi: 10.1001/archinte.139.5.514. [DOI] [PubMed] [Google Scholar]
- RICH A. R., BERTHRONG M., BENNETT I. L., Jr The effect of cortisone upon the experimental cardiovascular and renal lesions produced by anaphylactic hypersensitivity. Bull Johns Hopkins Hosp. 1950 Dec;87(6):549–567. [PubMed] [Google Scholar]
- Shigematsu H., Kobayashi Y. Accelerated serum sickness in the rabbit. II. Glomerular ultrastructural lesions in transient proliferative and progressive disorganizing glomerulonephritis. Virchows Arch A Pathol Anat Histol. 1976 Mar 5;369(4):269–282. doi: 10.1007/BF00432449. [DOI] [PubMed] [Google Scholar]



