Abstract
In pathogenic bacteria, a large number of sRNAs coordinate adaptation to stress and expression of virulence genes. To better understand the turnover of regulatory sRNAs in the model pathogen, Salmonella typhimurium, we have constructed mutants for several ribonucleases (RNase E, RNase G, RNase III, PNPase) and Poly(A) Polymerase I. The expression profiles of four sRNAs conserved among many enterobacteria, CsrB, CsrC, MicA and SraL, were analysed and the processing and stability of these sRNAs was studied in the constructed strains. The degradosome was a common feature involved in the turnover of these four sRNAs. PAPI-mediated polyadenylation was the major factor governing SraL degradation. RNase III was revealed to strongly affect MicA decay. PNPase was shown to be important in the decay of these four sRNAs. The stability of CsrB and CsrC seemed to be independent of the RNA chaperone, Hfq, whereas the decay of SraL and MicA was Hfq-dependent. Taken together, the results of this study provide initial insight into the mechanisms of sRNA decay in Salmonella, and indicate specific contributions of the RNA decay machinery components to the turnover of individual sRNAs.
INTRODUCTION
Regulatory mechanisms involving small untranslated RNAs (sRNAs) have received considerable attention over the past decade. Eukaryotic and prokaryotic cells contain a wealth of these regulators with determinant roles in the post-transcriptional control of gene expression. To date, a variety of experimental and computational approaches have identified close to hundred sRNA genes in Escherichia coli K12 (1–3), many of which are conserved in diverse enteric bacteria, including pathogenic Salmonella species (4).
The mechanisms by which sRNAs modulate gene expression are diverse, and two general modes of action have been established, dividing regulatory RNAs into two classes (5). The sRNAs belonging to the first class act by interaction with a protein to modify its activity. The other class consists of sRNAs that act by base pairing with one or more target mRNAs. Most of these antisense RNAs act with partial complementarity over trans-encoded target mRNAs to modify their translation and/or stability. Such trans-sRNAs typically require the bacterial RNA chaperone, Hfq, both for target interaction and for intracellular stability. It is generally assumed that Hfq binds both the regulator and the target RNA, favouring their interaction. Hfq enhances the stability of many sRNAs in vivo, by protecting them from degradation (6–10).
To understand the action of regulatory sRNAs, it is also fundamental to study the processing and turnover of these molecules. Previous work in Escherichia coli and other bacteria established that the sRNAs differ greatly in stability, what is probably related with their biological function; some are very stable with long half-lives whilst others are turned over within few minutes (6,11). Since ribonucleases (RNases) are key modulators of RNA decay, the identification of the RNases that contribute to the decay of individual sRNAs is essential for a more general understanding of sRNA turnover in vivo.
In E. coli, the main endoribonucleases are RNase E, RNase G and RNase III (12,13). RNase E is a single-stranded-specific endoribonuclease with a main role in E. coli mRNA decay, being also involved in the processing of ribosomal and transfer RNAs. RNase E is also one of the main enzymes forming the degradosome, a multiprotein complex involved in the decay of many RNAs (14,15). RNase G (also known as CafA protein), was shown to be a homologue of the N-terminal catalytic domain of RNase E (16,17). This endoribonuclease is involved in the 5′ end-processing of 16S rRNA and also in mRNA degradation in E. coli. Both RNase E and RNase G cleave single-stranded regions of structured RNAs, and share a preference for 5′ monophosphate termini and AU-rich sequences of RNA (18). RNase III is specific for double-stranded RNA and plays multiple roles in the processing of rRNA and mRNA (19). This enzyme can also affect the decay of some messages (20,21). Exoribonucleases are enzymes that degrade RNA from its extremity (13,22–25). PNPase, one of the main exoribonucleases, is widespread both in the eubacteria and eukaryotes and associates with RNase E in the degradosome (15). Poly(A) polymerase I (PAP I) can also modulate RNA stability by adding poly(A) tails to the 3′ end of RNAs (26–29). The Poly(A) tail provides a ‘toehold’ for the efficient exonucleolytic degradation of the RNA (especially if this RNA is structured). PAP I can be a main factor involved in mRNA decay and affects other processes such as transcription and proteolysis (30,31).
In this work we report the construction, in the pathogen Salmonella typhimurium, of mutant strains for RNase E, G, III, PNPase and PAP I. We have investigated the effects of these mutants on the accumulation and turnover of four regulatory sRNAs of Salmonella (CsrB, CsrC, MicA and SraL). CsrB and CsrC are an example of regulatory RNAs that interact with a protein. Together with the RNA-binding protein CsrA, they form the Csr (Carbon Storage Regulator) complex, one of the key regulatory circuits of virulence in Salmonella (32,33). CsrB and CsrC sRNAs have similar structures with multiple stem-loops that sequester several CsrA proteins impairing their interaction with the targets (34). MicA sRNA is expressed in numerous enterobacteria (35), and has been shown to repress the trans-encoded ompA and lamB porin mRNAs in E. coli and Salmonella (7,35,36). Outer membrane protein A (OmpA) was the first and most studied MicA target. ompA mRNA levels decrease upon entry into stationary phase (7,35,37), concomitantly with MicA accumulation. MicA binds to ompA mRNA translation initiation region (TIR) interfering with ribosome binding (35), which most likely renders the mRNA more accessible to endonucleolytic cleavage. SraL sRNA was previously described in E. coli (38,39), and sraL genes have been predicted in several enteric bacteria (4). However, SraL function and target(s) have yet to be elucidated.
The results obtained in this work give relevant information about the expression of these four sRNAs in Salmonella and identify some of the main enzymes that are involved in their turnover, bringing initial insight into the underlying mechanisms of sRNA decay in this bacterial model organism.
MATERIALS AND METHODS
Bacterial strains and plasmids
All Salmonella strains used in this study are isogenic derivatives of the wild-type Salmonella enterica serovar Typhimurium strain SL1344. Strains and Plasmids used in this study are listed in Table 1. The RNase mutants were constructed following the lambda-red recombinase method (40), with few modifications. The strain carrying plasmid pKD46 was grown in SOC with ampicillin and 0.2% l-arabinose at 28°C to an OD600 of 0.5 and then made electrocompetent by successive washings in ice-cold water and concentrating 400-fold in ice-cold 10% glycerol. To construct the deletion strains, the cat chloramphenicol-resistance gene was amplified from plasmid pKD3 with oligonucleotides carrying ∼50 bp-homology extensions to the respective target genes. For the construction of RNase III− mutant (JVS-938 strain) the Kan-resistance cassette was amplified from pKD4 plasmid. Fifty microlitres of competent cells were mixed with the purified PCR product (∼100 ng) in a chilled cuvette (0.2 cm electrode gap) and electroporated (18 kV cm−1). Subsequently, 1 ml of pre-warmed SOC medium was added, and cells were recovered after incubation for 1 h at 37°C before selection on LB agar plates with the appropriate antibiotics. All mutations were moved to a fresh SL1344 background by P22 HT105/1 int-201 transduction (41).
Table 1.
List of strains and plasmids used in this work
| Strain | Relevant Markers/Genotype | Source/Reference |
|---|---|---|
| S. typhimurium, SL1344 | StrRhisG rpsL xyl | (87), provided by Dirk Bumann, MPI-IB Berlin |
| CMA-537 | SL1344 rne-537 (Δrne::CmR) | This study |
| CMA-539 | SL1344 pnp-539 (Δpnp::CmR) | This study |
| CMA-542 | SL1344 pcnB-542 (ΔpcnB::CmR) | This study |
| CMA-550 | SL1344 rng-550 (Δrng::CmR) | This study |
| CMA-555 | SL1344 ompA-555 (ΔompA::CmR) | This study |
| JVS-938 | SL1344 rnc-938 (Δrnc::KanR) | This study |
| JVS-00255 | SL1344 Δhfq::CmR | (42) |
| JVS-00067 | SL1344 ΔcsrB::KanR | This studya |
| JVS-00084 | SL1344 ΔcsrC::KanR | This studya |
| E. coli DH5α | recA1 endA1 gyrA96 thi-hsdR17 supE44 relA1 ΔlacZYA-argFU169 f80dLacZDM15 | New England Biolabs |
| Plasmid | Comment | Origin/Marker | Reference |
|---|---|---|---|
| pSVA-5 | IPTG inducible plasmid expressing PNPase | pSE420/AmpR | This study |
| pKD3 | Template for mutants construction; carries chloramphenicol-resistance cassette | oriRγ/AmpR | (40) |
| pKD4 | Template for mutants construction; carries kanamycin-resistance cassette | oriRγ/AmpR | (40) |
| pKD46 | Red Helper Plasmid | AmpR | (40) |
aJ.Vogel lab (Papenfort et al., manuscript in preparation)
The mutant strains were constructed as shown in Figure S1 of Supplementary Data. All gene deletions were verified by PCR. C-terminal truncation of RNase E in CMA-537 was verified by PCR and western blot using an E. coli RNase E antiserum that cross-reacts with Salmonella homologue (kindly provided by A. J. Carpousis).
For construction of pSVA-5 plasmid (Table 1) expressing PNPase, a PCR fragment containing the entire pnp sequence was amplified from SL1344 chromosome and was cloned into the XbaI and EcoRI sites of the IPTG inducible plasmid pSE420 (Invitrogen). Competent E. coli DH5α cells (New England Biolabs) were used for cloning procedures during plasmid construction.
Bacterial growth
All strains were grown in Luria–Bertani (LB) broth at 37°C and 220 r.p.m. throughout this study, unless stated otherwise. SOC medium was used to recover cells after transformation. Electroporation and heat-shock procedures were used for transformation of Salmonella and E. coli, respectively. M9 was used for experiments with minimal medium. Conditions indicated as ‘SPI-1 and SPI-2 inducing conditions’ corresponded to growth in high salt medium (0.3 M NaCl) with low oxygen in sealed Falcon tubes, as described for SPI-1 induction (42), and in PCN medium (1 mM phosphate, pH 5.8) as described for SPI-2 induction (43).
Growth medium was supplemented with the following antibiotics where appropriate: ampicillin (100 μg/ml), kanamycin (50 μg/ml), chloramphenicol (25 μg/ml) and streptomycin (90 μg/ml).
RNA extraction and northern blot analysis
Overnight cultures were diluted 1/100 in fresh medium and grown to the indicated cell densities at OD600 (growth medium and conditions are detailed in the respective figure legends). Culture samples were collected, mixed with 0.2 volume of stop solution (5% water-saturated phenol, 95% ethanol), and frozen in liquid nitrogen. After thawing on ice, bacteria were pelleted by centrifugation (2 min, 16 000 r.c.f., 4°C), and RNA was isolated using the Trizol method (Invitrogen) following the manufacture's instructions. For stability experiments, rifampicin (500 mg ml−1) and nalidixic acid (20 mg ml−1) were added to cells grown in LB at 37°C, 220 r.p.m., till OD2 and/or 6 h after. Incubation was continued and culture aliquots were withdrawn at the times indicated in the respective figures. RNA was extracted, visualized on agarose gel and then quantified on a Nanodrop machine (NanoDrop Technologies).
For northern blot analysis, RNA samples were denatured for 10 min at 80°C in RNA loading buffer (95% [v/v] formamide, 0.1% [w/v] xylene cyanol, 0.1% [w/v] bromophenol blue, 10 mM EDTA), separated on 8.3 M urea/6% polyacrylamide gels, and transferred to Hybond-XL membranes (GE Healthcare) by electroblotting (1 h, 50 V, 4°C) in a tank blotter (Peqlab, Germany). Following pre-hybridization of the membranes in Rapid-hyb Buffer (GE Healthcare), membranes were hybridized at 70°C with riboprobes, or at 42°C in the case of oligoprobes. After hybridization, membranes were rinsed at room temperature in a 2× SSC/0.1% SDS solution, followed by washing in three subsequent 15 min steps in SSC (2×, 1× or 0.5×, respectively)/0.1% SDS solutions at the hybridization temperature. Membranes hybridized with the oligoprobes were rinsed in 5× SSC/0.1% SDS solution followed by three wash steps at 42°C in SSC (5×, 1× and 0.5×, respectively)/0.1% SDS solutions. Signals were visualized on a Phosphorimager (FLA-3000 Series, Fuji), and band intensities quantified with AIDA software (Raytest, Germany).
Primer extension analysis
Total RNA was extracted as described above. Primers CsrC-II and CsrC-IV are complementary to CsrC in positions +37 to +57 and +151 to +170, respectively, (+1 corresponds to RNA start site). Primer CsrB-III is complementary CsrB in positions +302 to +321 relative to CsrB start site. Primers were end-labelled using T4 polynucleotide kinase and [-32P]ATP (Fermentas). Unincorporated [32P]-γ-ATP was removed using a MicroSpinTM G-25 Column (GE Healthcare). A total of 2 pmol of primer was annealed to 10 μg of RNA and cDNA was synthesized using 200 U of Superscript III RT from Invitrogen. The same labelled primer was used to generate a corresponding DNA sequencing ladder using the Cycle Reader DNA Sequencing Kit (Fermentas). The PCR fragment used as template for the sequencing reaction was amplified from SL1344 strain with primers CsrC-IV and CsrC-seq for CsrC and CsrB-III and CsrB-seq for CsrB. The primer extension products were separated in parallel with the sequencing ladder on a 6% polyacrylamide sequencing gel containing 7 M urea. The gel was dried and exposed. Signals were visualized in a PhosphorImager (Storm Gel and Blot Imaging system, Amersham Bioscience).
Hybridization probes
Primers for template amplification are listed in Table S1 (Supplementary Data). Standard polymerase chain reactions were carried out on genomic DNA. Riboprobes were generated from PCR fragments (a T7 RNA polymerase promoter sequence was added by the antisense primer) in the presence of an excess of [32P]-α-UTP over unlabelled UTP using the Ambion T7 polymerase Maxiscript kit. DNA oligonucleotides were labelled with [32P]-γ-ATP using T4 polynucleotide kinase (Fermentas). All labelled probes were purified over G50 columns (GE Healthcare) to remove unincorporated nucleotides prior to hybridization.
RESULTS
Construction and characterization of Salmonella RNase mutant strains
All RNase mutants (listed in Table 1) were constructed in the virulent Salmonella typhimurium strain, SL1344. The sequences of the genomic regions of interest, taken from the unfinished genome of SL1344 (http://www.sanger.ac.uk/Projects/Salmonella), were compared with that of the sequenced Salmonella strain LT2 (44) and found to be identical.
Our strategy was to create Salmonella mutants similar to those that have been characterized in E. coli (45–47). The RNase gene sequences of both bacteria were compared in terms of amino acids and nucleotide sequences in order to create equivalent gene deletions. Deletion/substitution mutants were constructed through the replacement of part of the coding sequence by a resistance marker (for details see Materials and Methods section and Figure S1 in the Supplementary Data). For RNase E, encoded by an essential gene (rne), we have constructed a mutant, which is deleted for the C-terminal scaffold of the enzyme (rne-537 mutation). This is the region responsible for the protein–protein interactions in the formation of the ribonucleolytical complex called degradosome (48). A similar mutant exists in E. coli (rne-131 mutation). This mutant was reported to stabilize mRNAs, leaving rRNA processing unaffected (49). The mutant is defective in both the interaction with the chaperon Hfq, and the assembly of a functional degradosome (9,50).
Loss of RNase III function in the RNase III− insertion mutant was confirmed by a specific defect in rRNA processing. That is, the absence of a functional RNase III impairs rRNA processing in both E. coli and Salmonella (51,52). In Salmonella typhimurium, RNase III promotes the excision of intervening sequences (IVSs) causing the fragmentation of 23S rRNA (52), which we observed to be abrogated in the RNase III− mutant strain constructed here (data not shown).
We have compared the growth properties of the wild-type SL1344 with RNase and PAP I mutant strains grown in Luria broth at 37°C (Figure 1). For the majority of the mutants, the lag period necessary for recovery from stationary phase was comparable to the wild-type strain. Loss of RNase III resulted in the slowest growth rate (Figure 1); the generation time of the RNase III− mutant doubled in comparison to the wild-type strain. We note that this growth defect was even more severe on plates since this strain took ∼24–36 h to form colonies of the size formed by the wild-type strain overnight. The RNase E and PNPase mutations also affected growth rate, causing a slower growth. Namely, rne-537 mutant had a longer generation time (41 min) than the wild type (30 min). Regarding the RNase G− deficient strain, albeit the generation time was not significantly different, the strain reached a considerably higher cell density in stationary phase.
Figure 1.
Comparison of growth profiles of wild-type, RNase III, E, G, PNPase and PAP I mutant strains. Strains were grown in LB medium at 37°C. The values of generation time are the result of at least three independent growth curves.
Analysis of sRNA expression under different growth conditions
Many of the sRNAs previously characterized in E. coli K12 are induced under specific stress conditions, e.g. upon oxidative stress (53), DNA damage (54), cold shock (55), iron stress (56) and osmotic stress (57). However, the steady-state levels of many of such sRNAs are also increased in stationary phase (11,38,58). Therefore, we first analysed the expression of the four sRNAs selected here in wild-type cells at different phases of growth in LB and minimal media, in order to determine conditions in which we could study their processing and decay. We also included two growth conditions known to induce the two major Salmonella virulence regions, i.e. the Salmonella Pathogenicity Islands (SPI) 1 and 2. The virulence genes encoded by SPI-1 facilitate the entry of Salmonella into non-phagocytic cells. SPI-1 genes are specifically expressed in early stationary phase cultures of Salmonella grown in standard LB medium (59), and are also highly induced by oxygen tension and elevated osmolarity (60). The genes of SPI-2 encode virulence factors for intra-macrophage survival and systemic disease; these genes are upregulated, in vitro, in minimal media with low phosphate and magnesium concentrations (43).
The CsrB (363 nt) and CsrC (244 nt) RNAs highly accumulated upon entry into stationary phase (in LB) and under SPI-1 inducing conditions (Figure 2). This pattern was in agreement with previous observations that the Csr system represses a variety of stationary-phase genes, and that the loss of both CsrB and CsrC significantly reduces SPI-1 gene expression and epithelial cell invasion (33). The blots shown in Figure 2 also indicate that these two sRNAs are not expressed under SPI-2 inducing conditions, i.e. when the genes necessary for proliferation of Salmonella in macrophages are transcribed.
Figure 2.
Analysis of sRNA expression under different growth conditions. Northern blot analysis of sRNA expression in Salmonella SL1344 grown under different conditions as indicated in figure labels. Cells were grown in LB at 37°C till OD600 of 0.4 (OD0.4), 2 (OD2), 6 h after (OD2 + 6 h) and for twenty-four hours (24 h). Cells were also grown under conditions of induction of pathogenicity islands 1 and 2 (SPI-1, SPI-2) and in minimal medium till an OD600 of 2 (M9). A total of 2.5 μg of RNA were run on a 6% PAA/8.3 M urea gel, blotted and probed as described in Material and Methods section.
The ∼74 nt sRNA MicA became detectable at early stationary phase of growth in LB medium, and strongly accumulated when growth further slowed down (Figure 2), as shown previously (61,62). Interestingly, MicA levels under SPI-1 and SPI-2 inducing conditions were comparable to those in stationary phase.
SraL (140 nt) was not detectable before the cells reached stationary phase (Figure 2), which is fully in line with the late stationary phase-specific expression of SraL in E. coli (38,58). For all the four sRNAs studied, the expression was low at twenty-four hours of growth (24 h) as compared to the OD2 + 6 h condition. Interestingly, there was no substantial accumulation of these sRNAs in minimal medium (M9), even though growth in minimal medium constitutes a stress for the cell. Note that few E. coli sRNAs have a high expression under this condition (11,38,58).
In summary, all four sRNAs were significantly expressed at OD2 + 6 h, which we have chosen as the ‘consensus’ condition to subsequently study their decay in rifampicin-treatment experiments.
Degradosome is a major factor in sRNA turnover in Salmonella
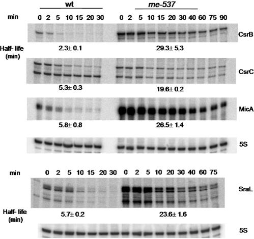
RNase E is the enzyme that serves as the scaffold for the other protein components in the degradosome assembly. The absence of degradosome assembly (C-terminal truncation in rne-537 mutant) caused a large stabilization of all four sRNAs studied in this work. Notably, for CsrB, CsrC and MicA the absence of a full-length RNase E had the strongest stabilization effect in comparison to the other RNase mutants investigated here. Figure 3 shows that CsrB was highly stabilized (>12-fold) in this mutant since it decayed with a half-life of ∼29 min as compared to ∼2 min in the wild type. The other CsrA-antagonist, CsrC sRNA, was stabilized ∼4-fold. The CsrB and CsrC sRNA decay was not strictly logarithmic; it was biphasic. The fact that both sRNAs are highly structured, i.e. CsrB and CsrC contain 16 and 8 stem-loops respectively, may help explain this behaviour (32,33). Their decay is very fast at the first minutes but at the second phase it is very slow, which may be due to the occurrence of highly stable intermediates during the decay. Since it was difficult to determine an exact half-life we have chosen to compare the stability of the sRNAs over the stage where the decay is still logarithmic. Thus, in wild-type Salmonella, the half-lives of CsrB and CsrC are ∼2 min and ∼5 min, respectively (Figure 3).
Figure 3.
RNase E mutation strongly affects sRNA stability. Northern blot analysis of the stability of CsrB, CsrC, MicA and SraL transcripts in wild- type and rne-537 mutant. RNA was extracted from bacteria grown in LB medium at 37°C, till 6 h after OD600 2. At this time, a mixture of rifampicin and nalidixic acid was added to growing cells and samples were removed at the times indicated. Total RNA was extracted and 20 μg of RNA (each lane) was separated on a 6%PAA/8.3M urea gel. The gel was then blotted to a Hybond-N+ membrane and hybridized with the corresponding sRNA riboprobe. Details of RNA extraction and ‘northern blot’ procedure are described in Materials and Methods section. The three first panels (CsrB, CsrC, MicA) correspond to the same membrane that was hybridized with each of the sRNA probes indicated. SraL was hybridized with another membrane. In each case, the membrane was stripped and then probed for 5S RNA as loading control. The band corresponding to the full-length transcript was quantified and plotted versus time of extraction (in minutes) to calculate the half-life of the sRNA. A representative membrane is shown and the half-life values indicated correspond to the average of several ‘northern blot’ experiments with RNAs from at least two independent extractions.
The impairment of degradosome formation also impacted on MicA decay, with a ∼5-fold stabilization of the transcript. Similarly, SraL transcripts were also significantly stabilized in this mutant, i.e. ∼4-fold (Figure 3).
Due to the substantial effects of rne-537 mutant on the decay of these sRNAs, we also investigated the effects of two additional major endoribonucleases, RNase III and G. Neither mutant substantially affected CsrB or CsrC stability (Figure 4). However, whereas CsrC transcript possesses two bands in the wild type, in the RNase III mutant the larger band (∼240 nt) is the most prominent, which probably means that the ribonuclease has a role in the processing of this sRNA. Regarding MicA, RNase G does not seem to be involved in this sRNA decay under the growth condition assayed here. However, the loss of RNase III activity rendered this sRNA exceptionally stable (Figure 5A).
Figure 4.
Endoribonuclease III and G do not significantly affect CsrB and CsrC turnover rates. Analysis of (A) CsrB and (B) CsrC decay in the absence of RNase III and RNase G. The experimental procedure was similar to the one described in Figure 3. The same membrane was, in each case, probed for 5S RNA as loading control. A representative membrane is shown and the half-life values correspond to the average of several ‘northern blot’ experiments with RNAs from at least two independent extractions.
Figure 5.
Analysis of MicA turnover. (A) Comparison of the effects of endoribonucleases G and III and PAP I in MicA stability. (B) RNase E and PNPase mutations highly affect the stability of MicA sRNA. The experimental procedure was similar to the one described in Figure 3. The same membrane was, in each case, probed for 5S RNA as loading control. A representative membrane is shown and the half-life values correspond to the average of several ‘northern blot’ experiments with RNAs from at least two independent extractions.
PNPase absence affects sRNA turnover in different ways
PNPase is the other ribonuclease component of the degradosome. We have also investigated the effects of the loss of this enzyme. Absence of PNPase had a large effect on MicA stability, causing a ∼3.3-fold increase in MicA half-life (Figure 5B). However, this stabilization effect was slightly less than the one obtained in the absence of degradosome assembly (∼5-fold). SraL sRNA was stabilized to a similar degree in the absence of PNPase and in the rne-537 mutant (∼3- and ∼4-fold, respectively; Figure 9A). Moreover, both mutants resulted in a similar SraL RNA pattern (see below). In contrast, absence of PNPase resulted in a CsrB RNA pattern entirely different from the wild-type strain. Specifically, several decay intermediates became observable, which were not detected in the wild-type strain. Since the growth rate can affect the expression and processing of sRNAs, we tested whether this alteration was maintained in another growth condition. In standard media (LB), CsrB is most highly expressed in early stationary phase (OD600 of 2, Figure 2). The same CsrB degradation pattern in pnp mutant was obtained at both growth conditions (Figure 6A). Regarding CsrC sRNA, the pattern of the bands was also changed in the PNPase− strain (Figure 6B). Complementation of PNPase−, by providing pnp in trans from a plasmid, restored both CsrB and CsrC degradation pattern to the wild-type characteristics (Figure 6).
Figure 9.
The role of RNase E, PNPase, RNase III and PAPI in SraL regulation. (A) Comparison of rne-537 and PNPase mutations in SraL decay. (B) Analysis of the effect of RNase III and PAP I in the decay and processing of SraL transcript.
Figure 6.
Analysis of PNPase effect on CsrB and CsrC decay. Northern blot analysis of (A) CsrB and (B) CsrC transcripts decay in wild-type, PNPase− mutant and a strain where the mutation was complemented with a plasmid overexpressing PNPase. Strains were grown until 6 h after OD2. The value of CsrC half-life in PNPase− mutant was not determined (nd) since the degradation of the transcript is immediately stabilized after the first five minutes of decay. In the first phase of the curve, the transcript decay rate is not significantly different from the wild type. Procedures in both cases were essentially as described in Figure 3. In each case, the membrane was stripped and then probed for 5S RNA as loading control.
In order to analyse the origin of this different decay pattern for CsrB and CsrC in some of the mutant strains analysed, we have mapped the 5′ end of the corresponding breakdown products in these strains. For CsrC, we have used two distinct primers along the sRNA, one located close to the terminator and the other binding at the middle of the sRNA (primers II and IV, respectively, in Figure 7A). In all the strains analysed, primer extension analysis of CsrC yielded a unique extension product that corresponded to the 5′ end of full-length CsrC RNA (Figure 7C). Interestingly, the intensity of the primer extension signal obtained with primer IV varies among the strains analysed. In strain RNase III−, the intensity of the larger fragment is much higher than in wild type and PNPase−. This is in full agreement to what is seen in the northern blot (Figure 7B, full-length probe). This must be due to the fact that the shorter fragment has a different 3′ end at which primer IV (near the end of the sRNA) cannot anneal. Therefore, the extension product in this reaction corresponds only to the larger fragment as opposed to what is observed with primer II, which detects both the large and the short fragment (Figure 7C). Therefore, we have done northern blot analysis of the two sRNAs using different probes along the two genes, to confirm these predictions. In the case of CsrC, the hybridization of the sRNA with a riboprobe encompassing the entire gene gives two major products in the wild type (Figure 7B, full-length probe). The shorter fragment is dependent of RNase III and accumulates in PNPase− strain. When using the primer IV, located near the terminator of the sRNA (Figure 7A), the larger band was the only fragment detectable. This seems to result from the fact that the shorter band has a different 3′ end and does not anneal with primer IV. With primers I, II and III this shorter band is detected. The results from northern blot analysis confirmed primer extension results and showed that the intermediary fragments have the same 5′ ends but different 3′ ends.
Figure 7.
Mapping of CsrC degradation intermediates. (A) CsrC sRNA structure representing the approximated location of the different probes used for northern blot and primer extension. Here, I to IV indicate primers CsrC-I to CsrC-IV, respectively. CsrC secondary structure was generated using RNADraw 1.01 based on Ref. (33). (B) Northern blot analysis of CsrC RNA in wt, PNPase− and RNase III− mutants, with the different probes represented in A. The analysis was done at late stationary-phase OD2 + 6 h. (1) wild-type SL1344, (2) RNase III− and (3) PNPase−. (C) Primer extension analysis using the radiolabelled primers CsrC-II and CsrC-IV, that were annealed to total RNA from SL1344 (wt) and isogenic PNPase− and RNase III− mutants. The reaction product of this analysis was unique and similar for the two primers used. The asterisk (*) marks the 3′-terminus of the extension product that is coincident with the sequence published by Ref. (33). (1) Wild-type SL1344, (2) RNase III−, (3) PNPase− and (4) CsrC−.
The CsrB primer located near the terminator (primer III in Figure 8A) also gave a unique band in the primer extension (Figure 8C). The 5′ end mapped to the +1 site of CsrB in Salmonella. The northern blot analysis using different probes along the CsrB RNA sequence has also revealed that the intermediary bands that accumulate in PNPase− strain have different 3′ ends. When using primer III near the terminator, we were only able to see the band corresponding to full-length CsrB. With primer II, annealing between nts 210 and 240 we were able to detect the full-length band and the band corresponding to ∼240 nt (Figure 8B). Primer I, annealing approximately between the 160 and 180 nt, gave the same band pattern as with a probe directed against the entire CsrB RNA (Figure 8B).
Figure 8.
Mapping of CsrB degradation intermediates. (A) CsrB sRNA structure representing the approximated location of the different probes used for northern blot and primer extension. A to C indicate primers CsrB-I to CsrB-III, respectively. CsrC secondary structure was generated using RNADraw 1.01 based on Ref. (32). (B) Northern blot analysis of CsrB RNA in wt, PNPase and rne-537 mutants, with the different probes represented in A. The analysis was done at late stationary-phase OD2 + 6 h. (1) wild-type SL1344, (2) rne-537 and (3) PNPase−. (C) Primer extension analysis using the radiolabelled primer CsrB−III that was annealed to total RNA from SL1344 (wt) and isogenic PNPase− and rne-537 mutants. The reaction product of this analysis was unique and similar for the two primers used. The asterisk (*) marks the 3′-terminus of the extension product that is coincident with the sequence published by Ref. (32). (1) Wild-type SL1344, (2) rne-537, (3) PNPase− and (4) CsrB−.
Polyadenylation as a determinant factor in SraL decay
Our analysis of SraL decay in several RNase mutants and the PAP I− mutant revealed several differences with respect to the wild type. First, SraL is highly stabilized in PAP I− mutant (>5-fold; Figure 9B). This large stabilization indicates that polyadenylation is required for the decay of this sRNA. Interestingly, 3′ RACE experiments performed in E. coli revealed the existence of 3′ A-tails of different lengths in the SraL transcript (38). The decay of SraL was also slower in the rne-537 and PNPase− mutants, with a higher stabilization in the rne-537 (Figure 9A). The wild-type strain and both mutants showed an accumulation of a smear of slightly larger transcripts. This size heterogeneity was absent in ΔpcnB mutant (Figure 9B). Previous northern blot analysis of SraL in E. coli also showed this effect in a PAP I− mutant (38). This data suggests that the presence of poly(A) tails of different lengths in SraL transcript causes these discrete differences in size. The upper band (band X in Figure 9A) shown to accumulate in PNPase and degradosome mutants was reduced in the wild-type strain. In PAP I− mutant, the primary SraL transcript corresponded to the smaller band (Y), which is a defined sharp band (Figure 9B). We predict that this is due to the absence of transcript polyadenylation in the PAP I− mutant. One striking difference in the RNase III- mutant is that the transcript appeared as a single defined band. The size of this band corresponds to the larger band, X. The levels of SraL were higher in this mutant. In spite of this, the absence of the endoribonuclease (Figure 9B) did not significantly change RNA stability. Alterations in transcription levels should account for those differences in steady-state levels that cannot be explained by stability, since the amount of RNA in a cell is determined by the balance of its transcription and degradation.
Analysis of the Hfq influence on the decay of those small RNAs
In order to determine the influence of Hfq on the stability of these four sRNAs in Salmonella, we have analysed its decay in an hfq mutant strain. As shown in Figure S2 (Supplementary Data), the absence of Hfq did not seem to significantly affect the decay of CsrB and CsrC. In turn, Hfq mutation strongly destabilized MicA sRNA (6-fold decrease in half-life). Similarly, loss of Hfq function decreased the half-life of SraL ∼3-fold.
DISCUSSION
Small RNA function has been studied in E. coli K12, and comparatively little is known about these regulators in other enterobacterial species. The analysis of sRNA levels in different growth conditions has revealed that the four sRNAs are highly expressed in late stationary-phase. Moreover, we have obtained valuable information about particular conditions of expression of these sRNAs in Salmonella, probably related to its function and targets in this bacterium. Namely, growth in SPI-1 and SPI-2 inducing media induced the expression of CsrB, CsrC, MicA and SraL. The induction of these sRNAs under those conditions may indicate a relation with virulence functions. It is worthwhile mentioning that considerable differences in the expression of sRNAs have been reported in E. coli and Salmonella, probably related to their specific role in each bacterium (63,64).
The Salmonella CsrB and CsrC sRNAs share strong sequence homology with their respective E. coli counterparts, and have been shown to act as CsrA antagonists. In E. coli, CsrA is foremost known as a global regulator of carbon metabolism (65,66). In E. coli, CsrA is a global regulator of carbon metabolism. In Salmonella, it has been shown to regulate specialized virulence determinants not found in E. coli (32,67). The CsrB and CsrC expression patterns reported here are in good agreement with the proposed function of these sRNAs as antagonists of CsrA. This protein negatively controls the SPI-1 encoded virulence genes that allow Salmonella to invade non-phagocytic cells. CsrB and CsrC are upregulated in SPI-1 media as well as in early stationary phase (OD600 of 2), the other condition known to induce the invasion genes. They may therefore act to alleviate the CsrA repression of invasion genes and ensure an optimal epithelial invasion by Salmonella (63). In contrast, both sRNAs are repressed in SPI-2 media, a condition that negatively regulates invasion genes and induces the SPI-2 virulence factors needed for intra-macrophage survival and systemic disease.
SraL sRNA was originally identified in E. coli, and in this report we show that it is also expressed in Salmonella. The factors that drive sraL transcription are unknown yet. We have observed that SraL levels are highly accumulated in stationary phase and SPI-2 inducing conditions. The accumulation under SPI-2 induction indicates a possible role for this sRNA in Salmonella virulence, in particular, after internalization of Salmonella into host cells.
Interestingly, the levels of the stationary phase-specific MicA sRNA were also high in SPI-2 induction conditions. Up-regulation of the σE regulon, which facilitates the envelope stress response, was previously reported upon macrophage infection (68), the condition that SPI-2 medium is meant to mimic. It is well established that micA expression is strictly dependent on the alternative sigma factor, σE (61,62,69,70). The raise of MicA levels in SPI-2 medium may be a consequence of the induction of σE under this condition.
Our analysis of sRNA processing and decay showed that the degradosome is required for the decay of the sRNAs studied here. That is, an rne mutation impairing degradosome formation strongly increased the half-life of the four sRNAs. Nevertheless, we observed that other factors contribute differently to sRNA decay. We propose that RNase E and PNPase cooperate in the decay of these two sRNAs via the degradosome. In this model, CsrB and CsrC decay is most probably initiated by RNase E, since the mutation in the C-terminal scaffold of the enzyme caused a strong stabilization of the transcripts. Moreover, the other endoribonucleases analysed (G and III) had no significant effect on CsrB and CsrC decay. Both sRNAs are highly structured molecules; in Salmonella CsrB has 16 predicted stem-loops (32) and CsrC has 8 (33). Some of these stem-loops carry the AGGA motif, similar to an RBS, the putative recognition site for CsrA on its target messages. Several characterized sRNAs have in its sequence a rho-independent terminator (71). Both CsrB and CsrC have a 3′-terminal stem-loop characteristic of rho-independent terminators. During CsrB and CsrC decay several endonucleolytical cleavages must occur, followed by exonucleolytical cleavage by PNPase. PNPase was shown to be a key factor in the decay of the CsrB and CsrC sRNAs in Salmonella, similar to a recent observation in E. coli (72). The absence of this exoribonuclease caused a considerable change of the CsrB and CsrC degradation patterns with the concomitant accumulation of several decay intermediates. Primer extension and northern blot analysis of CsrB and CsrC sRNAs showed that the accumulating intermediates have different 3′ ends. RNA degradation pathways typically require endoribonucleolytic cleavages followed by the action of non-specific 3′–5′ processive exoribonucleases. Exoribonucleases can have different specificities over substrates and in some cases there is the accumulation of stable intermediates in the absence of a single exoribonuclease (23,73,74). Purified PNPase is unable to digest through extensive secondary structures (75). However, in vivo association of PNPase with an RNA helicase can contribute to PNPase degradation through highly structured RNAs. Moreover, it has been proposed that PAP I facilitates the degradation of highly folded intermediates by providing a 3′ toehold for the progression of the enzyme (76). However, we have seen that the loss of PAP I activity did not affect the stability of either of these two sRNAs (Figure S3 in Supplementary Data) indicating that in this case, polyadenylation of these transcripts is not necessary for exonucleolytic activity. We have mentioned earlier that RNase III did not have an effect on CsrB and CsrC stability. However, in the case of CsrC, the processing of the sRNA is RNase III dependent. In the wild-type strain, two bands are visible for this sRNA. The second band is RNase III dependent and accumulates in PNPase− mutant. The 5′ end analysis of CsrC in both strains revealed similar 5′ ends. Therefore RNase III must initially process CsrC at one of the 3′ longer stems, generating this second band. It is not known at what level this fragment is necessary for sRNA activity.
We have also analysed if CsrB and CsrC stability depends on Hfq. Analysis of their decay in an hfq mutant revealed that Hfq is not needed for the stability of these two sRNAs. This is in agreement with E. coli data for these two sRNAs (39,58,72). Since CsrB and CsrC belong to the class of protein regulator sRNAs, a dependence on Hfq was not expected.
We have also studied in detail the decay of SraL in our mutant strains and have found that in the absence of PNPase activity and degradosome assembly, there was a slower decay of the sRNA with a concomitant accumulation of a smear of slightly larger transcripts (most likely polyadenylated precursors). In the PAP I− mutant, SraL is remarkably stabilized and the bands corresponding to longer SraL molecules were absent, supporting that SraL is polyadenylated. The absence of RNase III caused the accumulation of a larger band of defined length. Several internal cleavage sites were previously mapped in E. coli SraL (38). RNase III could be the enzyme responsible for the initial cut in SraL, possibly within the SraL terminator, which overlaps the terminator of soxR encoded on the opposite strand. After RNase III cleavage, RNase E and PNPase may act cooperatively in the transcript decay with the help of PAP I polymerase. It is known that poly(A) tails are the preferred substrate for PNPase and accelerate the decay process. A similar mechanism of decay was previously reported for the degradation of the plasmid-encoded RNAI (28,77) and for RNAs that regulate replication and partition of R1 plasmids (78,79).
According to our data, Hfq stabilizes SraL ∼3-fold. Wassarman and co-workers (58) were not able to confirm Hfq binding to SraL in their Hfq co-immunoprecipitation analysis in E. coli. Whilst SraL mechanism and targets have yet to be revealed, our results indicate that SraL belongs to the group of Hfq-dependent sRNAs.
MicA turnover was seen to be significantly dependent on degradosome and PNPase. ompA mRNA is the main MicA target. The rate-limiting step in the decay of this message was assigned to endoribonuclease E (80). PNPase was also shown to be one of the exoribonucleases affecting ompA mRNA in stationary-phase (37). This suggests that the same enzymes are responsible for the regulation of the sRNA and the respective target. However, other targets are being discovered for this sRNA. A very recent report shows that MicA downregulates expression of lamB gene in Salmonella, also in a Hfq-dependent way (36). Additionally, MicA may also interact with the 5′ UTR of luxS to which it is transcribed in opposite direction (81). Interestingly, we have seen that in the absence of RNase III MicA is extremely stable. RNase III can recognize and cleave perfect RNA duplexes formed by interacting RNAs. The regulation of MicA by RNase III may involve the interaction with its target RNA, since MicA forms an extended RNA duplex that is close to the length ideal for RNase III substrates. This could implicate the coupling of sRNA-target regulation, as previously reported for RyhB sRNA (6). However, the unaltered stability of MicA in the absence of ompA (Figure S4 in Supplementary Data) shows that MicA degradation is independent of ompA. Regarding Hfq influence on the turnover of the four sRNAs analysed, MicA showed the strongest dependence on Hfq for stability. It is known that the MicA-dependent decay of ompA-mRNA depends on Hfq. In vitro studies revealed that Hfq facilitates binding of the regulatory RNA to the translational initiation region of this target (35). Our results indicate that Hfq is also involved in protecting MicA from degradation in Salmonella.
Few reports have shown an involvement of endoribonuclease III in bacterial sRNA decay. However, it is known that enzymes of the RNase III family are key players in the mechanisms of regulation of noncoding RNAs in eukaryotes (82). These enzymes, specific for double-stranded RNAs, are essential in the biogenesis of the eukaryotic noncoding RNAs that participate in the process of RNA Interference (miRNAs, siRNAs). A role for this enzyme was also expected in bacterial sRNA regulation. In fact, it was reported that RNase III is responsible for the cleavage of tisAB mRNA upon IstR-1 sRNA binding, in E. coli (54,83). In addition, it was proposed (84) that RyhB sRNA decay in vivo is dependent on this endoribonuclease upon base pairing of the sRNA to the 5′-UTR of its mRNA target. Similarly, RNase III also contributes to the negative control of spa (encoding the surface protein A) and other virulence factor-encoding mRNAs by the regulatory RNAIII in the Gram-positive pathogen, Staphylococcus aureus (85,86). Our results in Salmonella show that the effect of RNase III varied among the sRNAs studied.
The Salmonella mutants deficient in enzymes that affect sRNA and mRNA turnover will be very important for post-transcriptional studies in this bacterial model pathogen. The work presented here has identified some of the enzymes directly involved in the decay of sRNAs. We conclude that sRNA decay cannot be easily generalized. The role of each of the enzymes cooperating in sRNA turnover depends on the specific sRNA and its respective decay mechanism.
SUPPLEMENTARY DATA
Supplementary Data are available at NAR Online.
ACKNOWLEDGEMENTS
The authors would like to thank J. Andrade for critical reading of this manuscript and M. G. Conde for technical assistance. S.C.V. was recipient of a Fundação para a Ciência e Tecnologia (FCT) Doctoral Fellowship (SFRH/BD/6479/2001) and I.J.S. was recipient of a FCT research fellowship. Funding for this work was partially provided by a Portuguese-German joint program to C.M.A. and J.V. (GRICES-DAAD). The work at the Instituto de Tecnologia Química e Biológica was supported by FCT (Portugal). Funding to pay the Open Access publication charges for this article was provided by Fundação para a Ciência e a Tecnologia, Portugal.
Conflict of interest statement. None declared.
REFERENCES
- 1.Majdalani N, Vanderpool CK, Gottesman S. Bacterial small RNA regulators. Crit. Rev. Biochem. Mol. Biol. 2005;40:93–113. doi: 10.1080/10409230590918702. [DOI] [PubMed] [Google Scholar]
- 2.Storz G, Altuvia S, Wassarman KM. An abundance of RNA regulators. Annu. Rev. Biochem. 2005;74:199–217. doi: 10.1146/annurev.biochem.74.082803.133136. [DOI] [PubMed] [Google Scholar]
- 3.Vogel J, Sharma CM. How to find small non-coding RNAs in bacteria. Biol. Chem. 2005;386:1219–1238. doi: 10.1515/BC.2005.140. [DOI] [PubMed] [Google Scholar]
- 4.Hershberg R, Altuvia S, Margalit H. A survey of small RNA-encoding genes in Escherichia coli. Nucleic Acids Res. 2003;31:1813–1820. doi: 10.1093/nar/gkg297. [DOI] [PMC free article] [PubMed] [Google Scholar]
- 5.Storz G, Opdyke JA, Zhang A. Controlling mRNA stability and translation with small, noncoding RNAs. Curr. Opin. Microbiol. 2004;7:140–144. doi: 10.1016/j.mib.2004.02.015. [DOI] [PubMed] [Google Scholar]
- 6.Massé E, Escorcia FE, Gottesman S. Coupled degradation of a small regulatory RNA and its mRNA targets in Escherichia coli. Genes Dev. 2003;17:2374–2383. doi: 10.1101/gad.1127103. [DOI] [PMC free article] [PubMed] [Google Scholar]
- 7.Rasmussen AA, Eriksen M, Gilany K, Udesen C, Franch T, Petersen C, Valentin-Hansen P. Regulation of ompA mRNA stability: the role of a small regulatory RNA in growth phase-dependent control. Mol. Microbiol. 2005;58:1421–1429. doi: 10.1111/j.1365-2958.2005.04911.x. [DOI] [PubMed] [Google Scholar]
- 8.Valentin-Hansen P, Eriksen M, Udesen C. The bacterial Sm-like protein Hfq: a key player in RNA transactions. Mol. Microbiol. 2004;51:1525–1533. doi: 10.1111/j.1365-2958.2003.03935.x. [DOI] [PubMed] [Google Scholar]
- 9.Aiba H. Mechanism of RNA silencing by Hfq-binding small RNAs. Curr. Opin. Microbiol. 2007;10:134–139. doi: 10.1016/j.mib.2007.03.010. [DOI] [PubMed] [Google Scholar]
- 10.Urban JH, Vogel J. Translational control and target recognition by Escherichia coli small RNAs in vivo. Nucleic Acids Res. 2007;35:1018–1037. doi: 10.1093/nar/gkl1040. [DOI] [PMC free article] [PubMed] [Google Scholar]
- 11.Vogel J, Bartels V, Tang TH, Churakov G, Slagter-Jager JG, Huttenhofer A, Wagner EG. RNomics in Escherichia coli detects new sRNA species and indicates parallel transcriptional output in bacteria. Nucleic Acids Res. 2003;31:6435–6443. doi: 10.1093/nar/gkg867. [DOI] [PMC free article] [PubMed] [Google Scholar]
- 12.Régnier P, Arraiano CM. Degradation of mRNA in bacteria: emergence of ubiquitous features. Bioessays. 2000;22:235–244. doi: 10.1002/(SICI)1521-1878(200003)22:3<235::AID-BIES5>3.0.CO;2-2. [DOI] [PubMed] [Google Scholar]
- 13.Arraiano CM, Maquat LE. Post-transcriptional control of gene expression: effectors of mRNA decay. Mol. Microbiol. 2003;49:267–276. doi: 10.1046/j.1365-2958.2003.03545.x. [DOI] [PubMed] [Google Scholar]
- 14.Carpousis AJ, Van Houwe G, Ehretsmann C, Krisch HM. Copurification of E. coli RNAase E and PNPase: evidence for a specific association between two enzymes important in RNA processing and degradation. Cell. 1994;76:889–900. doi: 10.1016/0092-8674(94)90363-8. [DOI] [PubMed] [Google Scholar]
- 15.Carpousis AJ, Vanzo NF, Raynal LC. mRNA degradation. A tale of poly(A) and multiprotein machines. Trends Genet. 1999;15:24–28. doi: 10.1016/s0168-9525(98)01627-8. [DOI] [PubMed] [Google Scholar]
- 16.Lee K, Bernstein JA, Cohen SN. RNase G complementation of rne null mutation identifies functional interrelationships with RNase E in Escherichia coli. Mol. Microbiol. 2002;43:1445–1456. doi: 10.1046/j.1365-2958.2002.02848.x. [DOI] [PubMed] [Google Scholar]
- 17.Li Z, Pandit S, Deutscher MP. RNase G (CafA protein) and RNase E are both required for the 5′ maturation of 16S ribosomal RNA. EMBO J. 1999;18:2878–2885. doi: 10.1093/emboj/18.10.2878. [DOI] [PMC free article] [PubMed] [Google Scholar]
- 18.Ow MC, Perwez T, Kushner SR. RNase G of Escherichia coli exhibits only limited functional overlap with its essential homologue, RNase E. Mol. Microbiol. 2003;49:607–622. doi: 10.1046/j.1365-2958.2003.03587.x. [DOI] [PubMed] [Google Scholar]
- 19.Nicholson AW. Function, mechanism and regulation of bacterial ribonucleases. FEMS Microbiol. Rev. 1999;23:371–390. doi: 10.1111/j.1574-6976.1999.tb00405.x. [DOI] [PubMed] [Google Scholar]
- 20.Santos JM, Drider D, Marujo PE, Lopez P, Arraiano CM. Determinant role of E. coli RNase III in the decay of both specific and heterologous mRNAs. FEMS Microbiol. Lett. 1997;157:31–38. doi: 10.1111/j.1574-6968.1997.tb12749.x. [DOI] [PubMed] [Google Scholar]
- 21.Régnier P, Grunberg-Manago M. RNase III cleavages in non-coding leaders of Escherichia coli transcripts control mRNA stability and genetic expression. Biochimie. 1990;72:825–834. doi: 10.1016/0300-9084(90)90192-j. [DOI] [PubMed] [Google Scholar]
- 22.Frazão C, McVey CE, Amblar M, Barbas A, Vonrhein C, Arraiano CM, Carrondo MA. Unravelling the dynamics of RNA degradation by ribonuclease II and its RNA-bound complex. Nature. 2006;443:110–114. doi: 10.1038/nature05080. [DOI] [PubMed] [Google Scholar]
- 23.Amblar M, Barbas A, Gomez-Puertas P, Arraiano CM. The role of the S1 domain in exoribonucleolytic activity: substrate specificity and multimerization. RNA. 2007;13:317–327. doi: 10.1261/rna.220407. [DOI] [PMC free article] [PubMed] [Google Scholar]
- 24.Mohanty BK, Kushner SR. Polynucleotide phosphorylase functions both as a 3′ right-arrow 5′ exonuclease and a poly(A) polymerase in Escherichia coli. Proc. Natl Acad. Sci. USA. 2000;97:11966–11971. doi: 10.1073/pnas.220295997. [DOI] [PMC free article] [PubMed] [Google Scholar]
- 25.Cairrão F, Cruz A, Mori H, Arraiano CM. Cold shock induction of RNase R and its role in the maturation of the quality control mediator SsrA/tmRNA. Mol. Microbiol. 2003;50:1349–1360. doi: 10.1046/j.1365-2958.2003.03766.x. [DOI] [PubMed] [Google Scholar]
- 26.Sarkar N. Polyadenylation of mRNA in prokaryotes. Annu. Rev. Biochem. 1997;66:173–197. doi: 10.1146/annurev.biochem.66.1.173. [DOI] [PubMed] [Google Scholar]
- 27.Hajnsdorf E, Braun F, Haugel-Nielsen J, Regnier P. Polyadenylylation destabilizes the rpsO mRNA of Escherichia coli. Proc. Natl Acad. Sci. USA. 1995;92:3973–3977. doi: 10.1073/pnas.92.9.3973. [DOI] [PMC free article] [PubMed] [Google Scholar]
- 28.Xu F, Cohen SN. RNA degradation in Escherichia coli regulated by 3′ adenylation and 5′ phosphorylation. Nature. 1995;374:180–183. doi: 10.1038/374180a0. [DOI] [PubMed] [Google Scholar]
- 29.O’Hara EB, Chekanova JA, Ingle CA, Kushner ZR, Peters E, Kushner SR. Polyadenylylation helps regulate mRNA decay in Escherichia coli. Proc. Natl Acad. Sci. USA. 1995;92:1807–1811. doi: 10.1073/pnas.92.6.1807. [DOI] [PMC free article] [PubMed] [Google Scholar]
- 30.Marujo PE, Hajnsdorf E, Le Derout J, Andrade R, Arraiano CM, Régnier P. RNase II removes the oligo(A) tails that destabilize the rpsO mRNA of Escherichia coli. RNA. 2000;6:1185–1193. doi: 10.1017/s135583820000073x. [DOI] [PMC free article] [PubMed] [Google Scholar]
- 31.Santos JM, Freire P, Mesquita FS, Mika F, Hengge R, Arraiano CM. Poly(A)-polymerase I links transcription with mRNA degradation via sigmaS proteolysis. Mol. Microbiol. 2006;60:177–188. doi: 10.1111/j.1365-2958.2006.05078.x. [DOI] [PubMed] [Google Scholar]
- 32.Altier C, Suyemoto M, Ruiz AI, Burnham KD, Maurer R. Characterization of two novel regulatory genes affecting Salmonella invasion gene expression. Mol. Microbiol. 2000;35:635–646. doi: 10.1046/j.1365-2958.2000.01734.x. [DOI] [PubMed] [Google Scholar]
- 33.Fortune DR, Suyemoto M, Altier C. Identification of CsrC and characterization of its role in epithelial cell invasion in Salmonella enterica serovar Typhimurium. Infect. Immun. 2006;74:331–339. doi: 10.1128/IAI.74.1.331-339.2006. [DOI] [PMC free article] [PubMed] [Google Scholar]
- 34.Liu MY, Gui G, Wei B, Preston J.F., III, Oakford L, Yuksel U, Giedroc DP, Romeo T. The RNA molecule CsrB binds to the global regulatory protein CsrA and antagonizes its activity in Escherichia coli. J. Biol. Chem. 1997;272:17502–17510. doi: 10.1074/jbc.272.28.17502. [DOI] [PubMed] [Google Scholar]
- 35.Udekwu KI, Darfeuille F, Vogel J, Reimegard J, Holmqvist E, Wagner EG. Hfq-dependent regulation of OmpA synthesis is mediated by an antisense RNA. Genes Dev. 2005;19:2355–2366. doi: 10.1101/gad.354405. [DOI] [PMC free article] [PubMed] [Google Scholar]
- 36.Bossi L, Figueroa-Bossi N. A small RNA downregulates LamB maltoporin in Salmonella. Mol. Microbiol. 2007;65:799–810. doi: 10.1111/j.1365-2958.2007.05829.x. [DOI] [PubMed] [Google Scholar]
- 37.Andrade JM, Cairrão F, Arraiano CM. RNase R affects gene expression in stationary phase: regulation of ompA. Mol. Microbiol. 2006;60:219–228. doi: 10.1111/j.1365-2958.2006.05092.x. [DOI] [PubMed] [Google Scholar]
- 38.Argaman L, Hershberg R, Vogel J, Bejerano G, Wagner EG, Margalit H, Altuvia S. Novel small RNA-encoding genes in the intergenic regions of Escherichia coli. Curr. Biol. 2001;11:941–950. doi: 10.1016/s0960-9822(01)00270-6. [DOI] [PubMed] [Google Scholar]
- 39.Zhang A, Wassarman KM, Rosenow C, Tjaden BC, Storz G, Gottesman S. Global analysis of small RNA and mRNA targets of Hfq. Mol. Microbiol. 2003;50:1111–1124. doi: 10.1046/j.1365-2958.2003.03734.x. [DOI] [PubMed] [Google Scholar]
- 40.Datsenko KA, Wanner BL. One-step inactivation of chromosomal genes in Escherichia coli K-12 using PCR products. Proc. Natl Acad. Sci. USA. 2000;97:6640–6645. doi: 10.1073/pnas.120163297. [DOI] [PMC free article] [PubMed] [Google Scholar]
- 41.Schmieger H. The fate of the bacterial chromosome in P22-infected cells of Salmonella typhimurium. Mol. Gen. Genet. 1971;110:238–244. doi: 10.1007/BF00337836. [DOI] [PubMed] [Google Scholar]
- 42.Sittka A, Pfeiffer V, Tedin K, Vogel J. The RNA chaperone Hfq is essential for the virulence of Salmonella typhimurium. Mol. Microbiol. 2007;63:193–217. doi: 10.1111/j.1365-2958.2006.05489.x. [DOI] [PMC free article] [PubMed] [Google Scholar]
- 43.Lober S, Jackel D, Kaiser N, Hensel M. Regulation of Salmonella pathogenicity island 2 genes by independent environmental signals. Int. J. Med. Microbiol. 2006;296:435–447. doi: 10.1016/j.ijmm.2006.05.001. [DOI] [PubMed] [Google Scholar]
- 44.McClelland M, Sanderson KE, Spieth J, Clifton SW, Latreille P, Courtney L, Porwollik S, Ali J, Dante M, et al. Complete genome sequence of Salmonella enterica serovar Typhimurium LT2. Nature. 2001;413:852–856. doi: 10.1038/35101614. [DOI] [PubMed] [Google Scholar]
- 45.Arraiano CM, Yancey SD, Kushner SR. Stabilization of discrete mRNA breakdown products in ams pnp rnb multiple mutants of Escherichia coli K-12. J. Bacteriol. 1988;170:4625–4633. doi: 10.1128/jb.170.10.4625-4633.1988. [DOI] [PMC free article] [PubMed] [Google Scholar]
- 46.Viegas SC, Schmidt D, Kasche V, Arraiano CM, Ignatova Z. Effect of the increased stability of the penicillin amidase mRNA on the protein expression levels. FEBS Lett. 2005;579:5069–5073. doi: 10.1016/j.febslet.2005.08.018. [DOI] [PubMed] [Google Scholar]
- 47.Cairrão F, Arraiano CM. The role of endoribonucleases in the regulation of RNase R. Biochem. Biophys. Res. Commun. 2006;343:731–737. doi: 10.1016/j.bbrc.2006.03.040. [DOI] [PubMed] [Google Scholar]
- 48.Vanzo NF, Li YS, Py B, Blum E, Higgins CF, Raynal LC, Krisch HM, Carpousis AJ. Ribonuclease E organizes the protein interactions in the Escherichia coli RNA degradosome. Genes Dev. 1998;12:2770–2781. doi: 10.1101/gad.12.17.2770. [DOI] [PMC free article] [PubMed] [Google Scholar]
- 49.Lopez PJ, Marchand I, Joyce SA, Dreyfus M. The C-terminal half of RNase E, which organizes the Escherichia coli degradosome, participates in mRNA degradation but not rRNA processing in vivo. Mol. Microbiol. 1999;33:188–199. doi: 10.1046/j.1365-2958.1999.01465.x. [DOI] [PubMed] [Google Scholar]
- 50.Ow MC, Liu Q, Kushner SR. Analysis of mRNA decay and rRNA processing in Escherichia coli in the absence of RNase E-based degradosome assembly. Mol. Microbiol. 2000;38:854–866. doi: 10.1046/j.1365-2958.2000.02186.x. [DOI] [PubMed] [Google Scholar]
- 51.Amblar M, Viegas SC, López P, Arraiano CM. Homologous and heterologous expression of RNase III from Lactococcus lactis. Biochem. Biophys. Res. Commun. 2004;323:884–890. doi: 10.1016/j.bbrc.2004.08.167. [DOI] [PubMed] [Google Scholar]
- 52.Burgin AB, Parodos K, Lane DJ, Pace NR. The excision of intervening sequences from Salmonella 23S ribosomal RNA. Cell. 1990;60:405–414. doi: 10.1016/0092-8674(90)90592-3. [DOI] [PubMed] [Google Scholar]
- 53.Altuvia S, Weinstein-Fischer D, Zhang A, Postow L, Storz G. A small, stable RNA induced by oxidative stress: role as a pleiotropic regulator and antimutator. Cell. 1997;90:43–53. doi: 10.1016/s0092-8674(00)80312-8. [DOI] [PubMed] [Google Scholar]
- 54.Vogel J, Argaman L, Wagner EG, Altuvia S. The small RNA IstR inhibits synthesis of an SOS-induced toxic peptide. Curr. Biol. 2004;14:2271–2276. doi: 10.1016/j.cub.2004.12.003. [DOI] [PubMed] [Google Scholar]
- 55.Sledjeski DD, Gupta A, Gottesman S. The small RNA, DsrA, is essential for the low temperature expression of RpoS during exponential growth in Escherichia coli. EMBO J. 1996;15:3993–4000. [PMC free article] [PubMed] [Google Scholar]
- 56.Massé E, Gottesman S. A small RNA regulates the expression of genes involved in iron metabolism in Escherichia coli. Proc. Natl Acad. Sci. USA. 2002;99:4620–4625. doi: 10.1073/pnas.032066599. [DOI] [PMC free article] [PubMed] [Google Scholar]
- 57.Delihas N, Forst S. MicF: an antisense RNA gene involved in response of Escherichia coli to global stress factors. J. Mol. Biol. 2001;313:1–12. doi: 10.1006/jmbi.2001.5029. [DOI] [PubMed] [Google Scholar]
- 58.Wassarman KM, Repoila F, Rosenow C, Storz G, Gottesman S. Identification of novel small RNAs using comparative genomics and microarrays. Genes Dev. 2001;15:1637–1651. doi: 10.1101/gad.901001. [DOI] [PMC free article] [PubMed] [Google Scholar]
- 59.Song M, Kim HJ, Kim EY, Shin M, Lee HC, Hong Y, Rhee JH, Yoon H, Ryu S, et al. ppGpp-dependent stationary phase induction of genes on Salmonella pathogenicity island 1. J. Biol. Chem. 2004;279:34183–34190. doi: 10.1074/jbc.M313491200. [DOI] [PubMed] [Google Scholar]
- 60.Lee CA, Falkow S. The ability of Salmonella to enter mammalian cells is affected by bacterial growth state. Proc. Natl Acad. Sci. USA. 1990;87:4304–4308. doi: 10.1073/pnas.87.11.4304. [DOI] [PMC free article] [PubMed] [Google Scholar]
- 61.Figueroa-Bossi N, Lemire S, Maloriol D, Balbontin R, Casadesus J, Bossi L. Loss of Hfq activates the sigmaE-dependent envelope stress response in Salmonella enterica. Mol. Microbiol. 2006;62:838–852. doi: 10.1111/j.1365-2958.2006.05413.x. [DOI] [PubMed] [Google Scholar]
- 62.Papenfort K, Pfeiffer V, Mika F, Lucchini S, Hinton JC, Vogel J. SigmaE-dependent small RNAs of Salmonella respond to membrane stress by accelerating global omp mRNA decay. Mol. Microbiol. 2006;62:1674–1688. doi: 10.1111/j.1365-2958.2006.05524.x. [DOI] [PMC free article] [PubMed] [Google Scholar]
- 63.Altier C, Suyemoto M, Lawhon SD. Regulation of Salmonella enterica serovar typhimurium invasion genes by csrA. Infect. Immun. 2000;68:6790–6797. doi: 10.1128/iai.68.12.6790-6797.2000. [DOI] [PMC free article] [PubMed] [Google Scholar]
- 64.Jones AM, Goodwill A, Elliott T. Limited role for the DsrA and RprA regulatory RNAs in rpoS regulation in Salmonella enterica. J. Bacteriol. 2006;188:5077–5088. doi: 10.1128/JB.00206-06. [DOI] [PMC free article] [PubMed] [Google Scholar]
- 65.Romeo T, Gong M, Liu MY, Brun-Zinkernagel AM. Identification and molecular characterization of csrA, a pleiotropic gene from Escherichia coli that affects glycogen biosynthesis, gluconeogenesis, cell size, and surface properties. J. Bacteriol. 1993;175:4744–4755. doi: 10.1128/jb.175.15.4744-4755.1993. [DOI] [PMC free article] [PubMed] [Google Scholar]
- 66.Liu MY, Yang H, Romeo T. The product of the pleiotropic Escherichia coli gene csrA modulates glycogen biosynthesis via effects on mRNA stability. J. Bacteriol. 1995;177:2663–2672. doi: 10.1128/jb.177.10.2663-2672.1995. [DOI] [PMC free article] [PubMed] [Google Scholar]
- 67.Lawhon SD, Frye JG, Suyemoto M, Porwollik S, McClelland M, Altier C. Global regulation by CsrA in Salmonella typhimurium. Mol. Microbiol. 2003;48:1633–1645. doi: 10.1046/j.1365-2958.2003.03535.x. [DOI] [PubMed] [Google Scholar]
- 68.Eriksson S, Lucchini S, Thompson A, Rhen M, Hinton JC. Unravelling the biology of macrophage infection by gene expression profiling of intracellular Salmonella enterica. Mol. Microbiol. 2003;47:103–118. doi: 10.1046/j.1365-2958.2003.03313.x. [DOI] [PubMed] [Google Scholar]
- 69.Johansen J, Rasmussen AA, Overgaard M, Valentin-Hansen P. Conserved small non-coding RNAs that belong to the sigmaE regulon: role in down-regulation of outer membrane proteins. J. Mol. Biol. 2006;364:1–8. doi: 10.1016/j.jmb.2006.09.004. [DOI] [PubMed] [Google Scholar]
- 70.Udekwu KI, Wagner EG. Sigma E controls biogenesis of the antisense RNA MicA. Nucleic Acids Res. 2007;35:1279–1288. doi: 10.1093/nar/gkl1154. [DOI] [PMC free article] [PubMed] [Google Scholar]
- 71.Davis BM, Waldor MK. RNase E-dependent processing stabilizes MicX, a Vibrio cholerae sRNA. Mol. Microbiol. 2007;65:373–385. doi: 10.1111/j.1365-2958.2007.05796.x. [DOI] [PMC free article] [PubMed] [Google Scholar]
- 72.Suzuki K, Babitzke P, Kushner SR, Romeo T. Identification of a novel regulatory protein (CsrD) that targets the global regulatory RNAs CsrB and CsrC for degradation by RNase E. Genes Dev. 2006;20:2605–2617. doi: 10.1101/gad.1461606. [DOI] [PMC free article] [PubMed] [Google Scholar]
- 73.Cheng ZF, Deutscher MP. An important role for RNase R in mRNA decay. Mol. Cell. 2005;17:313–318. doi: 10.1016/j.molcel.2004.11.048. [DOI] [PubMed] [Google Scholar]
- 74.Mackie GA. Ribonuclease E is a 5′-end-dependent endonuclease. Nature. 1998;395:720–723. doi: 10.1038/27246. [DOI] [PubMed] [Google Scholar]
- 75.Vincent HA, Deutscher MP. Substrate recognition and catalysis by the exoribonuclease RNase R. J. Biol. Chem. 2006;281:29769–29775. doi: 10.1074/jbc.M606744200. [DOI] [PubMed] [Google Scholar]
- 76.Coburn GA, Mackie GA. Reconstitution of the degradation of the mRNA for ribosomal protein S20 with purified enzymes. J. Mol. Biol. 1998;279:1061–1074. doi: 10.1006/jmbi.1998.1842. [DOI] [PubMed] [Google Scholar]
- 77.Cohen SN. Surprises at the 3′ end of prokaryotic RNA. Cell. 1995;80:829–832. doi: 10.1016/0092-8674(95)90284-8. [DOI] [PubMed] [Google Scholar]
- 78.Dam Mikkelsen N, Gerdes K. Sok antisense RNA from plasmid R1 is functionally inactivated by RNase E and polyadenylated by poly(A) polymerase I. Mol. Microbiol. 1997;26:311–320. doi: 10.1046/j.1365-2958.1997.5751936.x. [DOI] [PubMed] [Google Scholar]
- 79.Soderbom F, Binnie U, Masters M, Wagner EG. Regulation of plasmid R1 replication: PcnB and RNase E expedite the decay of the antisense RNA,CopA. Mol. Microbiol. 1997;26:493–504. doi: 10.1046/j.1365-2958.1997.5871953.x. [DOI] [PubMed] [Google Scholar]
- 80.Melefors O, von Gabain A. Site-specific endonucleolytic cleavages and the regulation of stability of E. coli ompA mRNA. Cell. 1988;52:893–901. doi: 10.1016/0092-8674(88)90431-x. [DOI] [PubMed] [Google Scholar]
- 81.Udekwu KI. Uppsala: Uppsala University; 2007. Ph.D. thesis. [Google Scholar]
- 82.Carmell MA, Hannon GJ. RNase III enzymes and the initiation of gene silencing. Nat. Struct. Mol. Biol. 2004;11:214–218. doi: 10.1038/nsmb729. [DOI] [PubMed] [Google Scholar]
- 83.Darfeuille F, Unoson C, Vogel J, Wagner EG. An antisense RNA inhibits translation by competing with standby ribosomes. Mol. Cell. 2007;26:381–392. doi: 10.1016/j.molcel.2007.04.003. [DOI] [PubMed] [Google Scholar]
- 84.Afonyushkin T, Vecerek B, Moll I, Blasi U, Kaberdin VR. Both RNase E and RNase III control the stability of sodB mRNA upon translational inhibition by the small regulatory RNA RyhB. Nucleic Acids Res. 2005;33:1678–1689. doi: 10.1093/nar/gki313. [DOI] [PMC free article] [PubMed] [Google Scholar]
- 85.Huntzinger E, Boisset S, Saveanu C, Benito Y, Geissmann T, Namane A, Lina G, Etienne J, Ehresmann B, et al. Staphylococcus aureus RNAIII and the endoribonuclease III coordinately regulate spa gene expression. EMBO J. 2005;24:824–835. doi: 10.1038/sj.emboj.7600572. [DOI] [PMC free article] [PubMed] [Google Scholar]
- 86.Boisset S, Geissmann T, Huntzinger E, Fechter P, Bendridi N, Possedko M, Chevalier C, Helfer AC, Benito Y, et al. Staphylococcus aureus RNAIII coordinately represses the synthesis of virulence factors and the transcription regulator Rot by an antisense mechanism. Genes Dev. 2007;21:1353–1366. doi: 10.1101/gad.423507. [DOI] [PMC free article] [PubMed] [Google Scholar]
- 87.Hoiseth SK, Stocker BA. Aromatic-dependent Salmonella typhimurium are non-virulent and effective as live vaccines. Nature. 1981;291:238–239. doi: 10.1038/291238a0. [DOI] [PubMed] [Google Scholar]
Associated Data
This section collects any data citations, data availability statements, or supplementary materials included in this article.









