Abstract
Here, we report data concerning the discovery in adult human peripheral blood of a precursor cell population able to differentiate into CD4+CD3+αβ+ mature T cells. These cells, which represent 0.1–0.5% of total peripheral blood mononuclear cells (PBMC), express substantial levels of CD4, but lack CD3 surface expression. At a molecular level, they express the pre-T cell receptor α (pTα) gene, CD3-γ, CD-δ and CD-ε, and RAG-1 recombination enzyme and have initiated rearrangements in the T cell receptor (TCR)-β locus (D–J). Moreover, low levels of CD3ε protein, but not of TCR-β chain, can be detected in their cytoplasm. Our results suggest that CD4+CD3− cells identified in peripheral blood are different from CD3−CD4+CD8− thymocytes and may contain precursors of an extrathymic T cell differentiation pathway.
In murine T cell development, early thymocytes that productively rearrange the TCR-β locus are selected to continue maturation. This happens because of the coupling of the rearranged β chain with the invariant pre–TCR-α (pTα)1 protein (1, 2). This pre-TCR regulates early T cell development; later stages are under the control of the mature TCR, composed of the α and β chains (3). The TCR-β–pTα heterodimer is associated with CD3 molecules (4), and signals triggered by the pre-TCR induce expansion and differentiation of immature precursor cells (5).
Analysis of pTα gene-deficient mice provided formal proof that expression of the pre-TCR is required in the transition of CD25+ double-negative (DN) T cell precursors into small CD4+CD8+ thymocytes (5). This transition normally occurs through a stage in which maturing thymocytes proliferate vigorously and lose the expression of CD25. Nevertheless, low levels of mature αβ T cells can be detected in the periphery of pTα knockout mice, suggesting that the expression of pTα is necessary for quantitative expansion of maturing thymocytes, but not crucial for differentiation.
Using murine pTα cDNA as a probe, we were able to show that a comparable gene was expressed in human thymocytes (6). Amino acid sequence comparison between human and mouse pTα cDNAs revealed high sequence homology in the extracellular as well as the transmembrane region, but complete divergence in the cytoplasmic region. Recently, another group cloned human pTα cDNA and performed a comparison of the developmental regulation of pTα, TCR-β, TCR-α, and RAG-1 gene expression, providing a picture of the maturational progression of early human intrathymic stages (7).
We have previously shown that murine pTα expression is exquisitely T lineage specific and occurs in pro-T cells outside the thymus, in the earliest T cell precursors identified in the thymus, and in sites that support extrathymic T cell development (gut and liver), (8). Consistent with these observations, pTα RNA could not be detected in human non–T cells including B, NK, myeloid, and dendritic cells (7). Here, we have used the expression of the pTα gene as a tool to identify a human T cell precursor in the peripheral blood of adult donors.
Material and Methods
Antibodies.
Cell staining was performed using the following mouse anti–human mAbs: phycoerythrin-conjugated (R-PE)–CD4, fluorescein-conjugated FITC–CD3, FITC–CD14, R-PE–CD5, biotin–CD10, R-PE–CD33, biotinylated HLA-DR, and RPE– CD34 (Becton Dickinson, San Jose, CA); tricolor CD4, biotinylated CD2 and RPE–CD7 (Caltag Laboratories, San Francisco, CA), CD45RA (IgG2b) and B7-2 (IgG2b) (PharMingen, San Diego, CA), FITC–pan-TCR-αβ (T Cell Diagnostic, Inc., Boston, MA). To deplete samples from CD3+ cells, we used TR66 mAb (9) that was FITC conjugated according to standard procedures. For TCR-β cytoplasmic staining we used HB-9283 supernatant (American Type Culture Collection). Second-step antibodies used were goat anti–mouse IgG1 R-PE or FITC conjugated (Southern Biotechnology Associates, Inc.)
Surface Staining and Sorting of Lymphocytes.
PBMC were separated from 50–60 ml blood from 25–33-yr-old male volunteers by standard Ficoll gradient centrifugation, resuspended in PBS containing 2% FCS at 107 cells per ml, and stained following standard procedures. Stained samples were analyzed and sorted on either FACScan®, FACStar Plus®, or FACS Vantage®. Sorted populations were reanalyzed by the same machines to test purity.
Cell Depletion.
A single-cell suspension was first stained, as described previously, with FITC-conjugated TR66 mAb and, subsequently, PBMC were depleted of CD3+ cells using Dynabeads (Milan, Switzerland).
Cytoplasmic Staining.
Sorted cells (0.5–1 × 105) were washed twice in PBS and fixed in 500 μl of 2% paraformaldehyde for 20 min at room temperature. Samples were washed again twice with PBS and, subsequently, lysed in 1 ml Saponin buffer (0.5% Saponin, 10 mM Hepes, 5% FCS) for 10 min at room temperature. Samples were then stained for 30 min at room temperature with HB-9283 supernatant specific for TCR-β cytoplasmic chain or CD3–FITC. After washing twice with Saponin buffer, goat anti– mouse IgG1 R-PE antibody was added in the case of TCR-β cytoplasmic staining. As background controls, for the TCR-β cytoplasmic staining we used the second-step antibody alone (goat anti–mouse IgG1 R-PE) and for CD3 cytoplasmic staining an irrelevant FITC-conjugated antibody (CD20; Becton Dickinson).
Cell Cycle Analysis.
Sorted cells (0.5–1 × 105) were fixed in 2 ml 70% ethanol at 4°C overnight. Samples were than centrifuged at 2,000 rpm for 5 min and resuspended in 250 μl RNAse A (Sigma, Buchs, Switzerland) (0.5 mg/ml in 0.1 M Tris, pH 7.5, 0.1 M NaCl) and incubated for 30 min at 37°C. Without centrifuging, 250 μl pepsin (Sigma, Buchs, Switzerland) (1 mg/ml in 0.4% HCl) were added and samples were incubated for 15 min at 37°C. Without centrifuging, 500 μl ethidium bromide (0.02 mg/ml, 0.2 M Tris, pH 8–8.5, 0.5% BSA) were added and samples were incubated for another 15 min at room temperature protected from light with aluminum foil. At the end of incubation, samples were kept on ice until analysis. Analysis was performed on a FACScan®, equipped with the doublets discriminating module (DDM).
Reverse Transcription–PCR.
In the analysis of pTα and CD3 expression in the total population, cells (0.5 × 105) were directly sorted into 500 μl of RNAzol (Cinna Scientific, Houston, TX) in Eppendorf tubes. Total RNA was extracted according to the protocol of the manufacturer. cDNA was prepared with random hexamer primers and reverse transcribed with a Superscript kit (GIBCO BRL, Gaithersburg, MD). In the analysis of pTα expression in a limited amount of cells, we used the automatic cell deposit unit technique (ACDU): cells (50, 20, 10, 5, and 1) were directly sorted in 5 μl PBS in 96-well PC plates type H (Costar, Cambridge, MA). After sorting, plates were immediately put on dry ice and left for 30 min. cDNA was made directly in the plates after heating for 2 min at 95°C using MMLV reverse transcriptase and random hexamer primers at 37°C. Primers used were oligonucleotides specific for pTα (5′-GGCACACCCTTTCCTTCTCTG-3′ and 5′-GCAGGTCCTGGCTGTAGAAGC-3′), for CD3ε (5′-GTCTCCATCTCTGGAACCACAG-3′ and 5′-GGCCTTTCTATTCTTGCTCCAG-3′), for CD3γ (5′-GGAGGAATTCACTGACATGGAACAGGGGAAGG-3′ and 5′-ACTCGAATTCCTGAGTTCAATTCCTCCTCAAC-3′), for CD3δ (5′-GTGAATTGCAATACCAGCATC-3′ and 5′-GCTGTACTGAGCATCATCTC-3′) and for RAG-1 (5′-CCAAATTGCAGACATCTCAAC-3′ and 5′-CAACATCTGCCTTCACATCGATCC-3′) gene transcripts. PCRs were done in a 30 μl reaction mixture containing 50 mM KCl, 10 mM Tris–HCl (pH 8.3), 1.5 mM MgCl2, 10 mM mixed dNTP, 10 pM of each oligonucleotide primer, and 1 U AmpliTaq DNA polymerase (Roche Diagnostic System). DNA was amplified for 35 cycles at an annealing temperature of 55°C for pTα and RAG-1 and 63°C for CD3 with a thermal cycling machine (Perkin-Elmer Cetus). A 9-μl portion of each amplified product was examined by 1.3% agarose gel electrophoresis and stained with ethidium bromide. In the case of ACDU procedure, a first PCR was done directly in the plates on total cDNA samples in 85 μl reaction at 55°C annealing temperature for 30 cycles using an Hybaid Omnigen PCR machine. Subsequently, 2 μl of each sample was used for a second PCR following the procedure described above. Primers used were the same for both PCRs. Primers to detect DJβ rearrangements at a transcriptional level were the following: 5′TGGGAGGGGCTGTTTTTGT-3′ and 5′-GATCTCATAGAGGATGGTGGC-3′.
DNA Extraction and PCR.
DNA was prepared from cells by directly sorting them in PBS. Subsequently, 5 μl of proteinase K (20 mg/ml; Merck, Darmstadt, Germany) was added and sample were left at 55°C for 2 h. Phenol/chloroform extraction and DNA precipitation followed, according to standard procedures. PCR conditions were as described elsewhere (10) using TBF1 (upstream, the Dβ1 segment) and TBR1 (downstream, the Jβ1–6 element) primers (10) for genomic DJβ amplification.
Southern Blot Analysis.
Some of the gels containing PCR products were blotted for 2 h with 0.4N NaOH and subsequently hybridized, according to standard procedures, with the following different oligonucleotides: for RAG-1 gene product with 5′-ACCATCCACAGGACCATGGACTGG-3′, for DJβ rearrangements of the TCR-β locus with TBR3 (10), for immature D–J–C transcripts from the β locus with a Cβ-specific oligo 5′-GAGCCATCAGAAGCAGAGATC-3′.
Hybrid Human/Mouse Fetal Thymic Organ Cultures.
The in vitro development of human T cells was studied using the hybrid human/mouse fetal thymic organ culture (FTOC) (11). Fetal thymi from embryos of RAG-1–deficient mice were dissected on day 15–16 of gestation and precultured for 5 d in the presence of 1.35 mM 2-deoxyguanosine (Sigma, St. Louis, MO) to remove endogenous thymocytes. Next, the thymic lobes were cocultured for 2 d in hanging drops in wells of a Terasaki plate with human progenitor cells and transferred to nucleopore filters, which were layered over gelfoam rafts in 6-well plates (Costar). The lobes populated with human cells were cultured for the indicated number of days in Yssel's medium (12) supplemented with 2% normal human serum and 5% FCS. To analyze differentiation of human cells, the mouse thymi were dispersed into single cell suspensions and stained with mAbs specific for human cell surface antigens.
Liquid Cultures in the Presence of Cytokines.
To test T cell differentiation potential, 1 × 104 sorted cells were cocultured with irradiated (3,000 rads) allogeneic PBMC as feeder cells in U-bottomed 96-well plates in complete RPMI medium with 5% human serum (HS), 0.1 μg/ml PHA, 1,000 U/ml IL-2, and 500 U/ml IL-7. After 10 d, growing cells were stained and analyzed by FACS®.
Limiting Dilution Analysis.
Flow cytometry–sorted progenitor cells were carefully spun down and diluted in the same medium described above for T cell differentiation, containing 1 × 106/ml irradiated allogeneic PBMC as feeder cells. 1 cell/well was distributed in Terasaki plates. After 10–15 d, growing wells were transferred in U-bottomed 96-well plates and cells stained and analyzed by FACS®.
Results
Identification of a pTα+ Population in Peripheral Blood.
By PCR analysis of retrotranscribed mRNA of PBMC of adult donors we were able to detect low levels of pTα message in all of the samples tested (data not shown; Fig. 1 B, lane 1). Depletion of CD3+ T cells from PBMC did not abrogate the detection of pTα expression by PCR. This result was expected, because mature T cells have completely lost expression of pTα (6–8). In view of our previously demonstration (6) that the thymic subset expressing the highest levels of pTα is CD3−CD4+CD8− (immature single positive, ISP), we investigated whether expression of CD4 was shared by pTα+ cells in PBMC. Fig. 1 demonstrates that this is indeed the case, because sorted CD4+, CD3− cells (Fig. 1 A, shown in the box, R2) expressed pTα (Fig. 1 B, lane 2). No pTα message could be detected in total PBMC depleted of CD4+CD3−CD14− cells (Fig. 1 B, lane 3). Monocytes, which also express low levels of CD4 but are CD3−, were excluded from the selection by staining with a specific mAb (CD14) and on the basis of their size (Fig. 1 A). Interestingly, the physical parameters (FSC versus SSC) of the pTα+ subset differ substantially from those of mature lymphocytes and monocytes, in that pTα+ cells have a size and a cell complexity intermediate between lymphocytes and monocytes (Fig. 1 A, bottom). This cell population represents, in different healthy adult individuals analyzed (25–35 yr old), 3–9% of gated cells (R1) and 0.1–0.5% of the total PBMC, obtained by Ficoll preparation.
Figure 1.

(A) FACScan® analysis of presorted and sorted cells from PBMC. Mononuclear cells were separated from total PB by standard Ficoll gradient centrifugation, CD3 depleted using FITC–TR66 mAb and stained with CD4–PE- and CD14–FITC-specific mAbs. Top left, CD3/CD14 versus CD4 staining pattern of cells gated through R1 (FSC versus SSC, bottom left). R1 determined by backgating R2 into FSC versus SSC (see also size pattern, bottom right). Top and bottom right, cells after sorting (purity close to 100%). (B) CD4+CD3−CD14− sorted cells express pTα. RT–PCR analysis for the expression of pTα (top) and β-actin (bottom) was performed on total PBMC, CD4+CD3−CD14− sorted cells according to gates shown in A and total sorted PBMC gating out CD4+ CD3−CD14− (PBMC, CD4+CD3−CD14−). To ascertain that PCR products shown were derived from pTα cDNA, gels were blotted and probed with a pTα-specific oligonucleotide (data not shown).
Partial DJβ Rearrangement and β Gene Transcription in pTα+ Cells in Peripheral Blood.
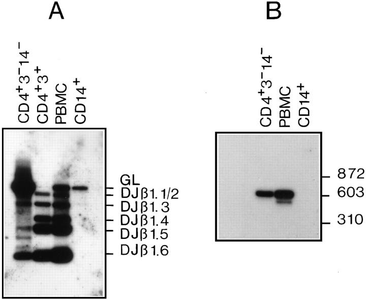
Rearrangement of B cell (13) and T cell (14) antigen receptor gene loci to form functional VDJ gene segments is a key molecular event in lymphocyte ontogeny. In the thymus, DJβ rearrangements precede V(D)Jβ rearrangements (15). Therefore, the pattern of TCR β gene rearrangements represents a helpful marker to assess the maturational stage of a given population and its possible commitment to the T cell lineage. To analyze the rearrangement status of the TCR-β locus (DJβ versus germline configuration) in the pTα+ population observed in human peripheral blood, genomic DNA was isolated from CD4+CD3−CD14− pTα+ cells, and a recently described (10) PCR-based method was used, to amplify the DJβ1 gene region specifically. Relevant controls in which DNA was obtained either from CD4+CD3+ mature T lymphocytes, CD14+ monocytes (obtained from FACS® sorting), or from unseparated PBMC were run in parallel. The primer combination used in this method allows to amplify, in a single PCR reaction, a germline-derived DNA fragment of 3 kb and/or several shorter DNA products derived from DJβ rearranged loci. PCR products are then blotted and hybridized with an internal oligonucleotide probe.
Several DJβ rearrangements (DJβ1.3, DJβ1.5, and DJβ1.6) could be demonstrated in genomic DNA from CD4+CD3− CD14− progenitors, in addition to a dominant germline band (GL) (Fig. 2 A). As expected, monocytes (CD14+) were characterized by the presence of an amplification product only in germline configuration, while in mature T cells (CD4+CD3+) and total PBMC all the different DJβ rearrangements were present. As expected, a band corresponding to germline gene configuration also could be detected in PBMC because of the presence of non-T populations. This result suggests the presence of T cell lineage committed cells within the pTα+ CD4+CD3− population.
Figure 2.
Detection of partial (D–J) rearrangements of the TCR-β locus. (A) At DNA level. Genomic DNA was isolated from sorted CD4+CD3−CD14−, CD4+CD3+, CD14+, and total PBMC and amplified by PCR using TBF1 and TBR1 primers to detect Dβ1–Jβ1 rearrangements. Normal PBMC and monocytes (CD14+) were used as positive and negative controls, respectively. PCR products were blotted and hybridized with TBR3 probe. PCR products, ranging from 200 to 3,000 bp, and the Jβ segment used are indicated. GL, germline. (B) At RNA level. Total RNA was first isolated from sorted CD4+CD3−CD14−, CD14+, and from total PBMC and, subsequently, RT–PCR using TBF1 and Cβ primer set was performed. PCR products were blotted and probed with a Cβ-specific primer.
To ascertain whether the presence of DJβ rearrangements was paralleled by transcription of the rearranged genes, we tested for the presence of transcripts corresponding to the partial DJβ rearrangements by RT–PCR. Total RNA was isolated from sorted peripheral populations (CD4+CD3− CD14− and CD14+) or total PBMC and reverse transcribed into cDNA before amplification with a primer specific for the upstream Dβ1 sequence together with a Cβspecific primer. PCR products were analyzed by Southern blotting with an internal oligo specific for the Cβ region. All cDNA were controlled for integrity with β-actin primers before D–J–C amplification (data not shown). Results are shown in Fig. 2 B, in which the presence of a transcript of 600 bp, corresponding to partial DJβ rearrangement, is detected both in unfractionated PBMC and sorted CD4+ CD3−CD14− cells, but not in CD14+ monocytes. Taken together, these results show that both rearrangement of, and transcription from TCR-β loci are present in a fraction of the pTα+ cell population present in peripheral blood.
The CD4+CD3−CD14− Cell Population Expresses RAG-1 Gene and Is Not Cycling.
Previous studies have shown that analysis of the expression of RAG-1 and RAG-2 genes and of TCR transcription are useful to trace early events during T cell development both in murine and in human T cell development (7, 16). As independent confirmation of DJβ rearrangement of the TCR-β locus of CD4+CD3−CD14− cells, we tested for RAG-1 gene expression in two different preparations of CD4+CD3−CD14− cells from human peripheral blood. RAG-1 message could indeed be detected in both preparations (Fig. 3 A, lanes 1 and 2), as well as in DN cells from thymus, but not in mature CD4+CD3+ T cells.
Figure 3.
CD4+CD3−CD14− cell population expresses RAG-1 and is not cycling. (A) RT–PCR analysis on two different samples of sorted CD4+CD3−CD14− PBMC (1, 2), mature T cells (CD4+CD3+) and DN thymocytes (DN Thymus). PCR products were blotted and probed with a RAG-1-specific oligonucleotide. (B) Cell cycle analysis on sorted CD4+CD3−CD14− (top) and on Jurkat T cell line (bottom).
Because CD3−CD4+CD8− immature thymocytes are actively cycling, we then asked whether peripheral pTα+, CD4+CD3−CD14− cells were also characterized by active proliferation. Analysis of DNA content in the potential T cell precursor population revealed that all of the cells were in G0–G1 phase of the cell cycle, while TCR-αβ+ Jurkat T cell line showed also G2–S phases (Fig. 3 B). Thus, CD4+ CD3−CD14− cells are in a resting state, express RAG-1 and pTα, and carry DJ rearrangements at the TCR-β locus.
Cell Surface Phenotype Analysis.
CD4+CD3−CD14− cells were isolated by flow cytometry as described above (see Fig. 1) and subsequently stained with a set of monoclonal antibodies specific for cell surface markers. Fig. 4 shows that sorted cells homogeneously expressed high levels of CD45RA, intermediate levels of MHC class II HLA-DR, low levels of the costimulatory molecule B7-2, but did not express the hematopoietic progenitor cell surface antigen CD34 or the neutral endopeptidase CD10, both present on a T, B, NK, and DC cell precursor population recently described in human bone marrow (17). Only a very small fraction, around 2–5% of sorted cells, expressed CD5 and CD7, found on mature and immature T cells. A higher fraction, 15–40% depending on the different individuals analyzed, expressed the T- and NK-specific molecule CD2. CD33, expressed on myeloid progenitors and monocytes, also presented a bimodal distribution with most of the cells expressing low levels of the marker (CD33dim). Both CD33+ and CD33− cells expressed pTα (data not shown). CD4+CD3−CD14− cells did not exhibit detectable levels of the lineage-specific cell markers CD1a, CD8, CD16, and CD56, CD19 and CD20, γδ TCR and CD83 (data not shown).
Figure 4.
Cell surface analysis of pTα+ cells. Mononuclear cells were separated with standard Ficoll gradient and depleted of CD3+ cells with FITC–TR66 mAb. Three-color analysis was then performed using CD4- and CD14-specific mAbs in combination with a third antibody of interest (histograms of which are shown in the figure): in the case of biotinylated antibodies (CD2, CD10, and HLA-DR), CD4–R-PE and CD14–FITC and, subsequently, APC were used; in the case of directly PE-labeled antibodies (CD5, CD7, CD33, and CD34), CD4–tricolor and CD14–FITC were used. When staining with CD33 or B7-2 mAbs we had to sort CD4+CD3−CD14− cells, as shown in Fig. 1, and restain them with one of the two antibodies that were then detected with mouse anti–human IgG2.
Expression of CD3 Subunits but Not TCR-β Chain in CD4+CD3−CD14−PBMC.
Although the pTα+ peripheral blood cell population does not express CD3 on the cell surface, as assessed by FACS® analysis, we investigated whether transcripts for the different components of this TCR-associated signalling molecule could be detected. For this purpose, cDNA from CD4+CD3−CD14− sorted cells was amplified with three different sets of primers specific for CD3-γ, CD3-ε, and CD3-δ transcripts, respectively. Analysis of the PCR products showed that CD4+CD3− CD14− cells expressed all three CD3 components, as can be observed in the T cell line MOLT 4 (Fig. 5 A); CD3-γ was found to be expressed in low amount, because it appeared barely detectable on agarose gels after staining with ethidium bromide; nonetheless, the presence of the message was readily detectable after hybridization with a specific internal probe of the blotted PCR products (data not shown).
Figure 5.
(A) CD3-γ, CD3-ε, and CD3-δ transcripts are expressed in pTα+ cells. RT–PCR analysis with primers specific for three components (γ, ε, and δ) of the CD3 signaling molecule was performed on CD4+ CD3−CD14− cell population. The T cell line MOLT4 and water were used as positive and negative controls, respectively. (B) CD3-ε molecule, but not TCR β chain, is present in the cytoplasm of pTα+ cells. Cytoplasmic staining was performed with a TCR-β–specific (top right and left) or a CD3-ε–specific (bottom right and left) mAbs on a T cell clone (right top and bottom) and on CD4+CD3−CD14− sorted PBMC (left top and bottom). In the case of TCR-β cytoplasmic staining, mouse anti– human IgG1 was subsequently used. Dotted histogram lines represent negative controls that were the following: for β-cytoplasmic, mouse anti–human IgG1 alone and for CD3-cytoplasmic, CD20–FITC.
The concomitant expression of transcripts of pTα and CD3 components in the CD4+CD3−CD14− cell population, together with the described rearrangement of TCR-β genes, raised the possibility that, at this stage, such cells might assemble in their cytoplasm a putative human preTCR complex consisting of a TCR-β chain associated with the pTα chain. To test this possibility we performed cytoplasmic staining to detect the presence of TCR-β and CD3-ε proteins in CD4+CD3−CD14− cells. Flow cytometric analysis shown in Fig. 5 B revealed that while pTα+ cells do not express TCR-β chain in the cytoplasm, all cells within this population express CD3-ε protein, but at lower levels than in a mature human T cell clone. Specificity of the CD3-ε cytoplasmic staining was confirmed by relevant controls, and in particular by the lack of any FACS® profile shift in similarly stained B lymphocytes and dendritic cells (data not shown). The absence of TCR-β chain in the cytoplasm of CD4+CD3−CD14− cells is consistent with lack of VDJβ rearrangements at DNA level (data not shown). These data indicate that while some components of such putative human pre-TCR, and in particular CD3-ε, are not only transcribed, but also translated into proteins, others, like the TCR-β chain are only present in the form of D–J transcript, while no translation can be detected.
Only a Fraction of CD4+CD3−CD14− Expresses pTα.
To define whether all CD4+CD3−CD14− cells or, on the other hand, only a fraction of them expressed pTα, we performed PCR-based analysis of pTα expression on discrete numbers of sorted CD4+CD3−CD14− PBMC obtained with the ACDU technique. In brief, 50, 20, 10, or 5 CD4+CD3−CD14− cells were directly sorted in 96-well plates and cDNA was synthesized directly in the plates. Two rounds of PCR followed, a first one on the total cDNA obtained and a second one on a fraction of the first PCR product (2 μl). For both PCRs, the same pTα-specific primers were used.
When we initially restricted our analysis to duplicates of each sorted cell aliquots (50, 20, 10, 5, cells; Fig. 6, top left), a positive reaction could be detected in all the wells, down to the ones that contained 5 cells/well. To try and get a more accurate and reliable estimate of the frequency, ten separate PCR reactions were run, each on a well containing 5 cells (Fig. 6, top right). The analysis of the results showed a positive signal in 50% of the samples. Assuming that our PCR was 100% efficient on these 5-cell samples, a frequency of pTα+ cells of 1/7 can be calculated using Poisson's equation.
Figure 6.
pTα expression in the CD2− and CD2+ of CD4+CD3− CD14− cells. Limited amounts (50, 20, 10, 5) of CD4+CD3−CD14− cells were directly sorted in 96-well plates and analyzed for the expression of pTα gene by two rounds of PCR using the same primers (top right and left). The analysis was first performed on different cell numbers in duplicate (top left) and then on the same cell number 10 times (top right). In the bottom panel, the same analysis on different cell numbers (20, 10, 5, 1) in duplicate of CD2− and CD2+ fractions of CD4+ CD3−CD14− cells is shown. CD4+CD3−CD14− total sorted cell population and water were the positive and negative controls, respectively.
Next, we asked whether differences existed in the frequency of pTα+ cells in the two subsets that could be identified by differential expression of CD2. Therefore, we separated our starting population into CD2+ and CD2− (see Fig. 4) subsets and performed the same PCR-based analysis. This showed an enriched pTα+ cell frequency in the CD2− subset where all samples containing 5 cells/well scored positive, whereas only 50% of the samples containing 10 cells/well showed a positive PCR reaction in the CD2+ subset (Fig. 6, bottom).
T Cell Differentiation Potential.
The fact that the CD4+CD3− CD14− PB cell population was found to express CD3-γ, CD3-δ, and CD3-ε, pTα, and RAG-1 transcripts, and has partially rearranged the TCR-β locus strongly suggested that committed T cell precursors were present. Moreover, the phenotype of these cells resembles that of the CD3− CD4+CD8− ISP thymocytes. These latter cells differentiate into DP and CD4+TCR-αβ+ cells in mouse FTOC. To analyze the T cell developmental potential, CD4+CD3− CD14− peripheral blood cells were introduced into FTOC. After 3 wk of incubation only few human cells were recovered from the FTOC with CD4+CD3−CD14− peripheral blood cells. To determine accurately the phenotype of these cells, we stained with anti-CD45, anti-CD4, and anti-CD3 or anti-CD8. Fig. 7 shows that almost all human cells expressed high levels of CD3 and CD4. The CD4+ cells completely lack CD8. This pattern of differentiation is distinct from what we observe with CD3−CD4+CD8− ISP thymocytes, which give rise to a majority of DP and SP cells (Fig. 7).
Figure 7.
The capacities of CD4+CD3−CD14− PBMC and CD4+ CD3−CD8−thymocytes of developing into T cells in an FTOC. PBMC and thymocytes were cultured for 3 wk with mouse RAG-1 −/− thymic lobes as indicated in Materials and Methods and analyzed with PE, FITC, and tricolor-labeled mAbs against CD45 (to discriminate between mouse and human cells) CD3, CD4, and CD8.
As the CD2− and CD2+ fractions were differentially enriched in pTα-expressing cells, we asked whether either population could give rise to mature T cells when cultured in the presence of irradiated feeder cells, IL-2, IL-7, and PHA. CD3−CD4+CD8− thymocytes are completely unable to grow under these conditions (Spits, H., unpublished data). However, when 1 × 105 sorted potential precursor cells were cultured under these conditions, we observed that, while CD2+ cells developed into either CD4+CD3+ resembling mature T cells or CD4+CD3− cells (Fig. 8 A), CD2− cells were not able to expand. CD4+CD3− cells developing from the CD2+ fraction were found to have CD3 and TCR-β proteins in the cytoplasm and, after restimulation, gradually acquired CD3 surface expression (data not shown). pTα expression was not present in both CD4+ CD3+ and CD4+CD3− phenotypes obtained (data not shown).
Figure 8.
CD3low to CD3high T cells can be generated from the CD2+ fraction of CD4+CD3− CD14− PB cell population. (A) FACS® profile of cultured CD2+, CD4+CD3−CD14− cells after 10 d of growth in IL-2, IL-7, PHA in the presence of allogeneic irradiated feeder cells. Double staining with CD4–PE and CD3–FITC is shown. (B) FACS® profiles of some representative clones obtained by limiting dilution of CD4+CD3−CD14− sorted cells. Culture conditions used were the same as described above for bulk cultures. Double staining with CD4–PE and CD3–FITC is shown.
To characterize further the progeny obtained from CD4+CD3−CD14− starting population, we cloned it by limiting dilution. Cloning frequencies ranging from 5 to 10% were observed in five different experiments performed; in addition, according to what was previously shown in bulk culture experiments, all clones were CD4+, but expressed different levels of CD3 molecule on the cell surface, varying from CD3high to CD3−. In Fig. 8 B, some representative clones are shown; interestingly, some of them were characterized by a smear in CD3 expression. All the different clones obtained, independently from their level of CD3 expression, became, after repeated stimulations, CD3high and TCR-αβ+, suggesting that stimulation favored the assembling of a functional TCR on the cell surface.
Discussion
In the present work, we describe a novel population of T cell progenitors present in human peripheral blood. This cell population lacks CD3 on the cell membrane, expresses CD4, but not the early hematopoietic progenitor cell marker CD34. The latter molecule has been shown to be expressed on all of the early T cell progenitor populations described until now, both inside (19) and outside the thymus (17, 20–22). Despite the absence of CD34, these cells have characteristics of committed T cell progenitors. Specifically, these cells show partial TCR-β locus rearrangements (DJ but not VDJ) and have transcripts of genes of pTα and RAG-1. Moreover, these cells express CD3-δ, CD3-γ, and CD3-ε genes. The fact that these CD4+CD3− cells do not express CD34 and that they were found to be the only fraction in total PBMC positive for pTα, is in contrast with some recently published data (7) in which CD34+ cells isolated from both adult and cord blood (CB) were found to be pTα+. We failed to detect pTα message in CD34+ cells present in either PB (data not shown) and CB (Blom, B., and H. Spits, manuscript in preparation). This discrepancy may be due to differences in the purification of CD34+ cells; moreover, CD34+ cells were obtained with G-CSF treatment (7); it is possible that in this way pTα+ cells are mobilized from bone marrow, where we can detect pTα RNA in CD34+ cells (data not shown).
Cells within this population can develop into CD4+ TCR-αβ+ cells in both FTOC as well as with IL-2, IL-7, and PHA. This latter development is not due to selective outgrowth of mature T cells, because the cloning efficiency (5–10%) is much higher than the theoretical contamination of cell surface CD3+ cells (0.1–0.5%). In addition, the possibility that CD4+CD3−CD14− cells are derived from activated mature CD4+ T cells that have downregulated the TCR seems to be highly unlikely because, in contrast with mature T cells, these cells do not express the TCR-β protein in the cytoplasm. Moreover, also the relatively low levels of CD3-ε protein in the cytoplasm, size and cell complexity (FSC versus SSC) distinguish the CD4+CD3− CD14− cells from mature T cells.
The development of CD4+CD3−CD14− peripheral blood cells into CD4+TCR-αβ+ cells in both a human/mouse hybrid FTOC as well as with IL-2, IL-7, and PHA clearly demonstrates the presence of T cell precursors in adult PBMC and could suggest that they are prothymocytes on their way to the thymus. Cells, similar to the CD4+ peripheral blood cells, with partial DJβ rearrangements and pTα gene expression have been identified in day 15.5 murine fetal blood and were shown to be able to home in the thymus and to give rise to DP and SP thymocytes (23). A fraction (∼65%) of these fetal blood murine cells also expressed CD4 (Rodewald, H.R., personal communication). It is possible that the CD4+CD3−CD14− PBMC are the direct precursors of the CD3−CD4+CD8− ISP cells in the thymus. These latter cells are actively dividing, express CD1, CD5, and CD7, and develop into DP and SP cells in an FTOC and in human thymic fragments transplanted SCID mice. However, although CD4+CD3−CD14− cells and CD3−CD4+CD8− ISP thymocytes share expression of CD4 and of pTα, the two populations are distinct both with respect to phenotypic and differentiation characteristics (Table 1). The most conspicuous phenotypic difference concerns the expression of CD1a, which is present on all ISP thymocytes but not on the CD4+CD3−CD14− PBMC and CD45RA, which has an opposite expression pattern. More importantly, CD4+CD3−CD14− PBMC are not able to develop in the hybrid human/mouse FTOC in double positive (DP) cells, but only into single-positive (SP) CD4+CD3+ cells, whereas DP and few CD3+ SP are obtained from ISP thymocytes in the same experimental conditions. Moreover, it is impossible to expand ISP thymocytes with IL-2, IL-7, PHA, and feeder cells as observed for CD4+CD3−CD14− PBMC both in bulk culture and in limiting dilution (results not shown). If these CD3−CD4+ PBMC are prothymocytes, one should assume that cells of different developmental stages can enter the thymus, because the thymus also contains CD34+CD1− progenitor cells with the TCR in germline configuration and the capacity to develop into T cells, DC, and NK cells (18). One should also expect to find a population that is intermediate between CD3−CD4+ PBMC and ISP thymocytes. Such a population has not yet been described in the human thymus. Based on the fact that the thymus in adults is severely involuted, it may be reasoned that there is not an influx of new progenitors into the thymus in adults. This notion, together with the observations pointing to substantial differences with ISP thymic precursors, in particular with respect to the capacity to develop into DP cells in a FTOC, could raise the alternative possibility that CD4+CD3−CD14− cells represent an extrathymic pathway of T cell development. Studies with nude mice have shown that mature T cells can develop in aged mice in the absence of a thymus (24), indicating that this organ is not required for development of some T cells. CD3−Thy-1low cells have been found in the bone marrow of nude mice that have partial DJ rearrangements of the TCR-β locus (25). A transcript containing TCR-β constant region sequences but not variable region sequences was amplified, suggesting that an unrearranged TCR-β gene locus is transcriptionally active in this bone marrow population. These characteristics of Thy-1lowCD3− cells in nude bone marrow cells are very similar to those of the CD3−CD4+ PBMC population described here. T cells that develop in nude mice have a different TCR-Vβ repertoire than euthymic controls (26) and some TCR-Vβ can be expressed on extrathymically developed cells that are deleted in euthymic controls (27). The TCR-Vβ repertoire of the CD3+ cells that develop from the CD4+CD3− CD14− has not yet been investigated in detail. However, we can exclude that these circulating PBMC are the precursors of those T cells that express a monomorphic TCR (Vα24, Vβ11) (28, 29), because none of the CD4+CD3+ cells developing from CD4+CD3−CD14− PBMC cells were found to be Vα24+Vβ11+ (data not shown).
Table 1.
Phenotypic and Functional Comparison between CD3−CD4+CD8− Immature Single-positive Cells (CD4+CD3−, ISP) Present in Thymus and CD4+CD3− Cells Identified in Peripheral Blood
| Thymus CD4+CD3−, ISP | Peripheral blood CD4+CD3− | |||
|---|---|---|---|---|
| pTα | + | + | ||
| cCD3 | + | + | ||
| cTCR-β | − | − | ||
| CD1a | + | − | ||
| CD2 | 100% | 15–40% | ||
| CD7 | 100% | 2–5% | ||
| CD5 | 100% | 2–5% | ||
| CD10 | nt | − | ||
| CD45Rα | ± | + | ||
| CD33 | − | ± | ||
| B7-2 | nt | + | ||
| HLA-DR | + | + | ||
| Cell cycle | +++ | − | ||
| TCR-β locus | ||||
| DJβ rearrangement | + | + | ||
| FTOC | DP, SP | SP | ||
| PHA, IL-2, IL-7 | − | + |
nt, not tested. +++, a lot.
Acknowledgments
We thank H. von Boehmer for advice and support; K. Hafen for expert technical assistance; H.P. Strahlberger for art work; L. Inverardi, A. Kruisbeek, and H.R. Rodewald for critical reading of the manuscript; E. Ten Boeckel for suggestions concerning the PCR, T. Goebel, T. Winkler, G. Wiedle, A. Young, J. Bachl, J. Kirberg, T. Borgreffe, C. Schwaerzeler, C. Schaniel, R. Ceredig, M. Kopf, R. Mussman, M. Colonna, and volunteers working at the Basel Institute for Immunology for providing their blood.
Footnotes
The Basel Institute for Immunology was founded and is supported by F. Hoffmann–La Roche, Limited, Basel, Switzerland.
Address corespondence to Ludovica Bruno, Imperial Cancer Research Fund, Lymphocyte Molecular Biology Laboratory, Lincoln's Inn Fields, WC2A 3PX London, UK.
1 Abbreviations used in this paper: ACDU, automatic cell deposit unit technique; CB, cord blood; DN, double negative; DP, double positive; FTOC, fetal thymic organ culture; GL, germline; HS, human serum; ISP, immature single positive; MMLV, murine maloney leukemia virus; pTα, pre-T cell receptor α gene; SP, single positive.
References
- 1.Groettrup M, von Boehmer H. T cell receptor beta chain dimers on immature thymocytes of normal mice. Eur J Immunol. 1993;23:1393–1396. doi: 10.1002/eji.1830230633. [DOI] [PubMed] [Google Scholar]
- 2.Saint-Ruf C, Ungewiss K, Groettrup M, Bruno L, Fehling HJ, von Boehmer H. Analysis and expression of a cloned pre-T cell receptor gene. Science (Wash DC) 1994;266:1208–1212. doi: 10.1126/science.7973703. [DOI] [PubMed] [Google Scholar]
- 3.von Boehmer H. Developmental biology of T cells in the T-cell receptor transgenic mice. Annu Rev Immunol. 1990;8:531–556. doi: 10.1146/annurev.iy.08.040190.002531. [DOI] [PubMed] [Google Scholar]
- 4.Groettrup M, Baron A, Griffith G, Palacios R, von Boehmer H. T cell receptor (TCR) beta chain homodimers on the surface of immature but not mature alpha, gamma, delta chain deficient T cell lines. EMBO (Eur Mol Biol Organ) J. 1992;11:2735–2745. doi: 10.1002/j.1460-2075.1992.tb05339.x. [DOI] [PMC free article] [PubMed] [Google Scholar]
- 5.Fehling HJ, Krotkova A, Saint-Ruf C, von Boehmer H. Crucial role of the pre-T cell receptor a gene in development of αβ but not γδ T cells. Nature (Lond) 1995;375:795–798. doi: 10.1038/375795a0. [DOI] [PubMed] [Google Scholar]
- 6.Del Porto P, Bruno L, Mattei MG, von Boehmer H, Saint C, Ruf Cloning and comparative analysis of the human pre-T-cell receptor α-chain gene. Proc Natl Acad Sci USA. 1995;92:12105–12109. doi: 10.1073/pnas.92.26.12105. [DOI] [PMC free article] [PubMed] [Google Scholar]
- 7.Ramiro AR, Trigueros C, Marquez C, San JL, Millan, Toribio ML. Regulation of pre-T cell receptor (pTα–TCRβ) gene expression during human thymic development. J Exp Med. 1996;184:519–530. doi: 10.1084/jem.184.2.519. [DOI] [PMC free article] [PubMed] [Google Scholar]
- 8.Bruno L, Rocha B, Rolink A, von Boehmer H, Rodewald HR. Intra- and extra-thymic expression of the pre-T cell receptor α gene. Eur J Immunol. 1995;25:1877–1882. doi: 10.1002/eji.1830250713. [DOI] [PubMed] [Google Scholar]
- 9.Lanzavecchia A, Scheiddeger D. The use of hybrid hybridomas to target human cytotoxic T lymphocytes. Eur J Immunol. 1987;17:105–111. doi: 10.1002/eji.1830170118. [DOI] [PubMed] [Google Scholar]
- 10.Ktorza S, Blanc C, Laurent C, Sarun S, Verpilleux MP, Debré P, Schmitt C. Complete TCR-δ rearrangements and partial (D–J) recombination of the TCR-β locus in CD34+7+precursors from human cord blood. J Immunol. 1996;156:4120–4127. [PubMed] [Google Scholar]
- 11.Fisher AG, Larson L, Goff LK, Restall DE, Happerfield L, Merkenschlager M. Human thymocytes development in organ cultures. Int Immunol. 1991;3:1–5. doi: 10.1093/intimm/2.6.571. [DOI] [PubMed] [Google Scholar]
- 12.Yssel H, de Vries JE, Koken M, van Blitterswijk W, Spits H. A serum-free medium for the generation and propagation of functional human cytotoxic and helper T cell clones. J Immunol Methods. 1984;72:219–225. doi: 10.1016/0022-1759(84)90450-2. [DOI] [PubMed] [Google Scholar]
- 13.Tonegawa S. Somatic generation of antibody diversity. Nature (Lond) 1983;302:575–581. doi: 10.1038/302575a0. [DOI] [PubMed] [Google Scholar]
- 14.Davis MM. Molecular genetics of the T cell–receptor beta chain. Annu Rev Immunol. 1985;3:537–560. doi: 10.1146/annurev.iy.03.040185.002541. [DOI] [PubMed] [Google Scholar]
- 15.Kronenberg M, Siu G, Hood LE, Shastri N. The molecular genetics of the T-cell antigen receptor and T-cell antigen recognition. Annu Rev Immunol. 1986;4:2736–2742. doi: 10.1146/annurev.iy.04.040186.002525. [DOI] [PubMed] [Google Scholar]
- 16.Wilson A, Werner H, MacDonald R. Two waves of recombinase gene expression in developing thymocytes. J Exp Med. 1994;179:1355–1360. doi: 10.1084/jem.179.4.1355. [DOI] [PMC free article] [PubMed] [Google Scholar]
- 17.Galy A, Travis M, Cen D, Cen B. Human T, B, natural killer, and dendritic cells arise from a common bone marrow progenitor cell subset. Immunity. 1995;3:459–473. doi: 10.1016/1074-7613(95)90175-2. [DOI] [PubMed] [Google Scholar]
- 18.Res P, Jaleco AC, Noteboom E, Weijer K, Spits H. CD34+CD38dimcells in the human thymus can differentiate into T, natural killer and dendritic cells but are distinct from stem cells. Blood. 1996;87:5196–5206. [PubMed] [Google Scholar]
- 19.Galy A, Verma S, Bárcena A, Spits H. Precursors of CD3+CD4+CD8+cells in the human thymus are defined by the expression of CD34: delineation of early events in human thymic development. J Exp Med. 1993;178:391–399. doi: 10.1084/jem.178.2.391. [DOI] [PMC free article] [PubMed] [Google Scholar]
- 20.Galy A, Webb S, Cen D, Murray LJ, Condino J, Negrin RS, Chen BP. Generation of T cells from cytokine-mobilized peripheral blood and adult bone marrow CD34+cells. Blood. 1994;84:104–111. [PubMed] [Google Scholar]
- 21.Galy A, Cen D, Travis M, Chen S, Chen BP. Delineation of T-progenitor activity within the CD34+compartment of adult bone marrow. Blood. 1995;85:2770–2779. [PubMed] [Google Scholar]
- 22.Spits H. Early stages in human and mouse T-cell development. Curr Opin Immunol. 1994;6:212–221. doi: 10.1016/0952-7915(94)90094-9. [DOI] [PubMed] [Google Scholar]
- 23.Rodewald HR, Kretzschmar K, Takeda S, Hohl C, Dessing M. Identification of pro-thymocytes in murine fetal blood: T lineage commitment can precede thymus colonization. EMBO (Eur Mol Biol Organ) J. 1994;13:4229–4240. doi: 10.1002/j.1460-2075.1994.tb06743.x. [DOI] [PMC free article] [PubMed] [Google Scholar]
- 24.Rocha B, Vassalli P, Guy-Grand D. The extrathymic T-cell development pathway. Immunol Today. 1992;13:449–454. doi: 10.1016/0167-5699(92)90074-H. [DOI] [PubMed] [Google Scholar]
- 25.Soloff RS, Wang TG, Lybarger L, Dempsey D, Chervenak R. Trancsription of the TCR-beta locus inititates in adult murine bone marrow. J Immunol. 1995;154:3888–3901. [PubMed] [Google Scholar]
- 26.Rocha B. Characterization of V beta–bearing cells in athymic (nu/nu) mice suggests an extrathymic pathway for T cell differentiation. Eur J Immunol. 1990;20:919–925. doi: 10.1002/eji.1830200430. [DOI] [PubMed] [Google Scholar]
- 27.Hodes RJ, Sharrow SO, Solomon A. A failure of T cell receptor V beta negative selection in an athymic environment. Science (Wash DC) 1989;246:1041–1044. doi: 10.1126/science.2587987. [DOI] [PubMed] [Google Scholar]
- 28.Lantz O, Bendelac A. An invariant T cell receptor alpha chain is used by a unique subset of major histocompatibility complex class I–specific CD4+ and CD4−8−T cells in mice and humans. J Exp Med. 1994;180:1097–1106. doi: 10.1084/jem.180.3.1097. [DOI] [PMC free article] [PubMed] [Google Scholar]
- 29.Della Bona, P., E. Padovan, G. Casorati, M. Brockhaus, and A. Lanzavecchia. An invariant Vα24–JαQ/Vβ11 T cell receptor is expressed in all individual by clonally expanded CD4−8−T cells. J Exp Med. 1994;180:1171–1176. doi: 10.1084/jem.180.3.1171. [DOI] [PMC free article] [PubMed] [Google Scholar]










